2024年4月30日,西安国际医学中心医院心脏瓣膜介入团队,张金洲教授、马涛教授、杨金保教授、徐酉波教授联合应用国产创新器械DragonFly™经导管二尖瓣夹系统接连完成两例TEER手术且术中过程流畅,用时极短。患者均为高龄、外科手术高危,术后反流均下降至1+。在介入治疗二尖瓣疾病技术中,TEER应用为患者带来新策略,该项技术可大幅降低手术创伤和并发症的风险。

术后合影

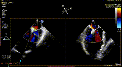
术中操作
两例患者难点:
瓣叶张力均较大,术中关闭二尖瓣夹,需注意避免瓣叶撕裂的风险。
Case 1
患者为69岁男性,因胸闷气短一周入院。心脏彩超提示:前叶长度:2.5cm,后叶长度:1.6cm,瓣口面积:6.0cm²,病变宽度:13mm。
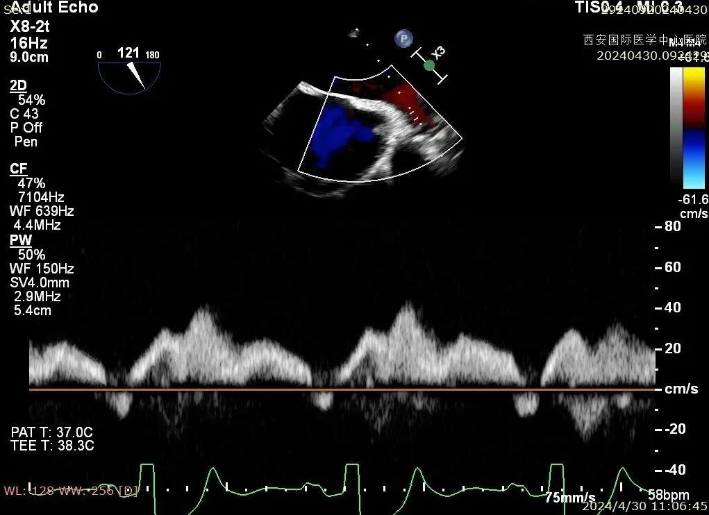
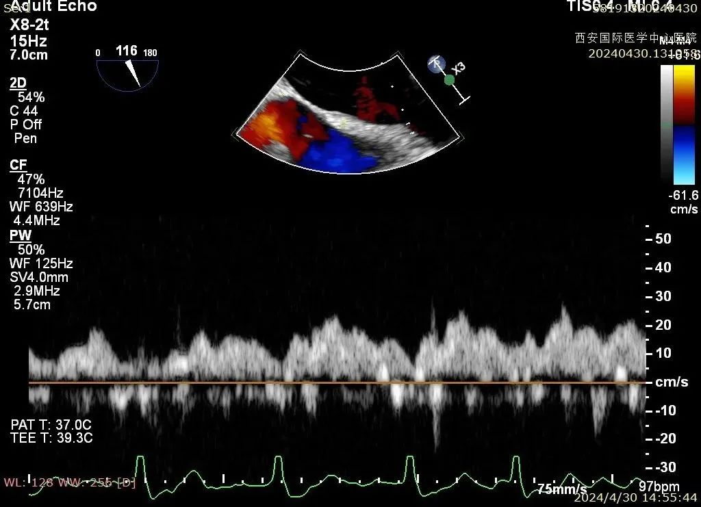
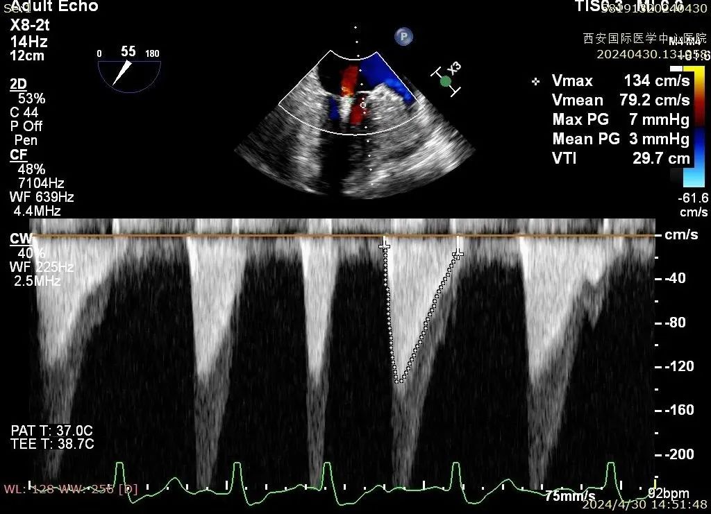
经心脏瓣膜介入团队评估后,决定先于2区植入一枚二尖瓣夹,后根据反流情况,考虑是否植入第二枚夹子。在DragonFly™精准操作下,最终患者术后反流降至1+,跨瓣压差为2mmHg,肺静脉逆流消失。
Case 1影像资料

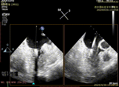
房间隔穿刺

二尖瓣夹系统植入

二尖瓣夹瓣上Trajectory

二尖瓣夹进入左室

二尖瓣夹捕获瓣叶

二尖瓣夹夹闭

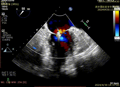
术后二尖瓣反流评估


术后结果
Case 2
患者为75岁女性,因间断性心慌气短8个月,加重两月入院,既往腔隙性脑梗塞,乳腺癌30年,已治愈。心脏彩超提示:前叶长度:2.9cm,后叶长度:1.2cm,瓣口面积:4.5cm²,病变宽度:13mm。
心脏瓣膜介入团队术中在2区植入一枚二尖瓣夹,关闭二尖瓣夹时时刻关注瓣叶张力,并随时释放张力。患者术后反流降至1+,跨瓣压差为3mmHg。
Case 2影像资料

房间隔穿刺

导引鞘系统植入

二尖瓣夹系统瓣上调整

二尖瓣夹系统进入左室

二尖瓣夹捕获瓣叶

二尖瓣夹夹闭

术后二尖瓣反流评估


术后结果
张金洲教授评价:
“结合该两例病例状态及临床成效,DragonFly™经导管二尖瓣夹系统表现出极佳治疗效果。这一创新器械,为高龄和高危二尖瓣疾病患者开辟了新的治疗途径。西安国际医学中心医院心脏瓣膜介入团队致力于心脏瓣膜疾病的研究、治疗和创新器械的应用,团队扎实手术技巧及稳定术中操作更是创新术式成功的重要保障之一,未来将为更多高龄、高危心脏瓣膜疾病人群提供高质量的医疗服务。”
DragonFly™经导管二尖瓣夹系统
1.中央封堵网搭配45度内夹合角度可调设计,降低中心残余反流的同时灵活调节术后压差。