2024年4月1日,兰州大学第二医院张小卫教授团队首次应用SENTINEL抗栓塞脑保护装置完成一例高难度TAVI手术,结束了TAVI手术的“裸奔”时代。该手术的成功实施标志着兰州大学第二医院在新技术的实践方面也走到了国内的前列。
该患者为主动脉瓣狭窄患者,高龄81Y,患者饱受疾病折磨,四处求医,最终在张小卫教授门诊收治入院,考虑患者实际情况计划采用保守治疗,当被告知有SENTINEL抗栓塞脑保护装置也可以进行手术治疗时,患者强烈要求进行手术治疗。计划通过在术前应用SENTINEL保护住通往脑部动脉血管,防止血栓及钙化进入头部出现卒中。
SENTINEL抗栓塞脑保护装置主要应用于结构手术中,例如TAVR手术,TAVR的并发症之一是卒中,其围术期平均发生率为4%。患者卒中后不仅生活质量严重下降,其死亡风险显著增加,危害巨大。SENTINEL 抗栓塞脑保护装置(SENTINEL-CPS)已被证实能在99%的TAVR患者术中捕获到碎片,从而在手术过程中减少脑血管不良事件,降低住院时间和死亡率。
病例简介
患者:81岁,男性
主诉:间断胸闷,心慌心悸2年,胸痛一天
术前诊断:主动脉瓣狭窄 。
主动脉瓣结构分析:
type 1型主动脉瓣,左右融合,瓣叶增厚,重度钙化,钙化分布于三窦瓣叶。
瓣环周长87.4mm,均径27.8mm;LVOT周长90.6mm,均径28.8mm。
瓣上4/6/8mm预估可推开周长为81.1、79.2、77.5mm。
建议20mm球囊预扩,TAV27瓣膜,备24瓣膜。
极重度钙化,存在瓣周漏可能。


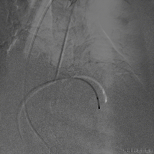
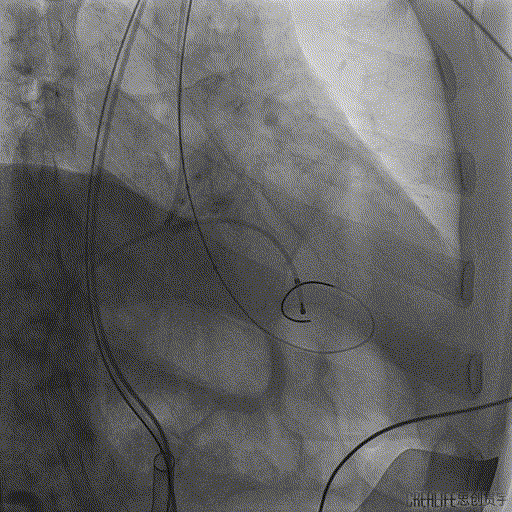
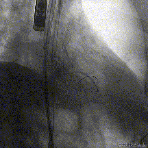
术中DSA影像








SENTINEL捕获并移除的碎片

张小卫教授在SENTINEL成功应用后表示:脑卒中是所有结构手术中一直非常头疼的问题,目前阶段会优先考虑在高龄,动脉硬化严重的TAVR以及二尖瓣狭窄患者中应用SENTINEL抗栓塞脑保护装置,其通过性和容忍度都非常优秀。该例患者虽然解剖复杂困难,但是整个操作相对简单仅用时3min即顺利成功植入,并且捕获到血栓,对于结构手术的安全保护作用意义深远。
SENTINEL抗栓塞脑保护装置
预防卒中 安心护脑
