
莫问前程几许,只顾风雨兼程。
2024年1月9日,起搏新视界-2024年生理性起搏及起搏新技术手术直播间通过“线上会议”的形式隆重举行。会议由温州市医学会心血管病学分会主办,中国医师协会心律学专业委员会、中华医学会心电生理和起搏分会、浙江省医学会心血管病学分会和中华医学会心电生理和起搏分会希浦系统起搏工作委员会提供学术支持。
开幕致辞
为者常成,行者常至
▼▼▼

中华医学会心电生理和起搏分会名誉主任委员、中国医学科学院阜外医院张澍教授发表开幕致辞,他表示非常荣幸能够受邀参加活动,这是一场关于生理性起搏和起搏新技术交流与学习的盛会。近年来,心脏起搏器的治疗技术已经拯救了无数生命。随着这一技术的深入应用,我们不仅需要关注如何挽救病人的生命,还需特别关注如何改进起搏技术应用的效果并提高病人的生活质量。黄伟剑教授及其团队在希氏束起搏和左束支起搏的临床应用方面所做的贡献,不仅在国内,也在国际上发挥了积极的作用,这无疑是我们中国在国际起搏领域学习、交流和分享的标志性内容。
在此,要对黄伟剑教授及其团队,以及浙江省在这一领域做出大量工作的专家表示衷心的感谢。今天的直播活动将一如既往地关注生理性起搏应用的新技术,并探索和交流新发现的问题。再次感谢黄伟剑教授举办这样的活动,为我们提供了交流学习的机会。我代表我自己和我们的学会,预祝这次会议取得圆满成功。

中华医学会心电生理与起搏分会主任委员兼起搏学组组长、中国医学科学院阜外医院华伟教授在致辞中表示,生理性起搏是起搏领域近几年的热点,在未来的应用中,它将会越来越多地应用于心动过缓和心衰患者,具有非常好的应用前景。国内在这方面已经走在了国际前沿,特别是黄伟剑教授团队在左束支起搏方面不仅做了很多原创性工作,而且在普及方面也做了突出贡献。去年国际上发布了两个关于生理性起搏的共识,黄伟剑教授及其他国内专家都参与了指南的撰写,其中引用了大量我们国内的临床研究数据。这表明我国起搏领域的学术成果在国际上也占有重要地位。
今天的直播活动共有十台手术,涉及五家中心的参与,并且国内众多医院也参与了点评工作。此次活动的举办,将进一步推动和规范生理性起搏在国内的应用,提高这方面的应用水平,为患者带来更多的福音。最后,预祝本次会议取得圆满成功。

中华医学会心电生理和起搏分会候任主任委员、中山大学孙逸仙纪念医院王景峰教授在致辞中表示,生理性起搏的概念在上世纪八十年代和九十年代就已经提出,但随着传导系统起搏的出现,它被赋予了新的理念。黄伟剑教授团队在国内开创性工作,使得这项技术在器械成熟方面领先于全球,并多次被写入外国指南和专家共识。
此次举办手术直播间活动,为实际操作提供了非常好的平台,有利于生理性起搏技术的推广应用。全国同道们可以从活动中学习到许多优秀专家的经验,尤其中青年医生能从中获得更多对于新技术的了解。在此,他预祝活动取得圆满成功,并感谢黄伟剑教授团队为此次活动付出的辛勤努力。

浙江省医学会心血管分会主任委员、浙江大学医学院附属邵逸夫医院傅国胜教授在致辞中表示,在过去几年中,心血管领域取得了一项非常重要的进展,那就是希浦系统起搏。这个理念的提出和技术的探索,离不开中国学者的大力支持,特别是黄伟剑教授的主导工作。这项工作是我们最近几年中国心血管领域,也是全球心血管领域的一项非常重要的进展。这项技术或疗法在中国得到了广泛应用,使众多心血管病患者受益匪浅。这项技术在全球也得到了认可,包括欧洲等地的指南,甚至起搏电生理领域最高的杂志都邀请了我们相关的学者,特别是黄伟剑教授撰写了如何推广和应用这项技术的文章。
这个平台在黄伟剑教授的领导下,在全国各个学会的关心支持下,一直发展得非常好,对这项技术的普及与推广起到了非常重要的作用。相信今天的会议将取得更多的成果,祝贺本次会议能够顺利召开。

中华医学会心电生理和起搏分会希浦系统起搏工作委员会主任委员、温州医科大学附属第一医院黄伟剑教授在致辞中说道,有关标准化的传导系统起搏,尤其是生理性起搏技术,因其实用性、安全性及有效性而受到越来越多的欢迎。在中国学会领导和同仁们的支持与关爱下,我们已成功地推广了这项技术,并成为全球开展得较好的国家之一。
未来,我们将致力于进一步优化这项技术,包括在技术植入过程中的标准化、个体化、精准化以及更好的随访机制。今天,我们将重点讨论手术植入标准化、简化的相关问题,我们的目标是更高的成功率、更好的安全性和更精准的部位,努力将传导系统起搏推向更好的临床应用阶段。
今天活动将进行五家中心、十台手术的现场转播,并探索一些重要的技术关键点,我们希望这对大家有所帮助。最后期待会议的成功,祝愿大家新年安康,学有所成。
以“术”会友,以致匠心
▼▼▼
活动于全国五家知名中心开展直播:温州医科大学附属第一医院黄伟剑教授、苏蓝教授;厦门大学附属心血管病医院常栋教授、蔡彬妮教授、李桂阳教授、黄淑芬教授、;浙江大学医学院附属邵逸夫医院盛夏教授、叶炀教授、王敏教授;上海交通大学医学院附属同仁医院邱朝晖教授、吴献豪教授与复旦大学附属中山医院陈学颖教授;中山大学孙逸仙纪念医院医院陈样新教授、周淑娴教授、麦憬霆教授(按手术直播排序)。
五家直播中心联手参与,为大家带来了手术直播和MINI TALK等丰富多彩的内容。每个中心都带来了自己的经验和技术,与主持专家进行交流和讨论,分享了手术策略、操作步骤以及手术细节和技巧。
上下滑动查看更多专家术中风采
手术直播吸引了超过10000人次的线上观看人数,观众们纷纷留言评论,讨论异常热烈。线上评论区不时有观众提问,专家们也耐心解答,收获满满。此次活动不仅展示了各中心的实力和水平,也促进了各中心之间的合作和交流。同时,此次活动也得到了广大观众的热烈响应和好评,相信未来会有更多类似的活动举办,为我国生理性起搏事业的发展注入新的活力。
经典病例回顾,筑牢理论根基
▼▼▼
在各大中心手术演示直播间中,由云南省第一人民医院范洁教授、山西省心血管病医院王海雄教授、中国医学科学院阜外医院陈柯萍教授、上海市胸科医院李若谷教授、江苏省人民医院侯小锋教授、南昌大学第二附属医院陈琦教授、天津市胸科医院卢凤民教授、南京鼓楼医院蓝荣芳教授、武汉亚洲心脏病医院韩宏伟教授、哈尔滨医科大学附属第二医院栾颖教授等专家担任主持,从病例选择、诊疗过程体会总结等方面,对各中心的手术演示进行了深入的讨论。这些专家们从不同角度切入,扩宽了生理性起搏的诊疗思路,同时引入了诊治新技术,为疑难经典病例的学习提供了交流的平台。
上下滑动查看更多主持照片
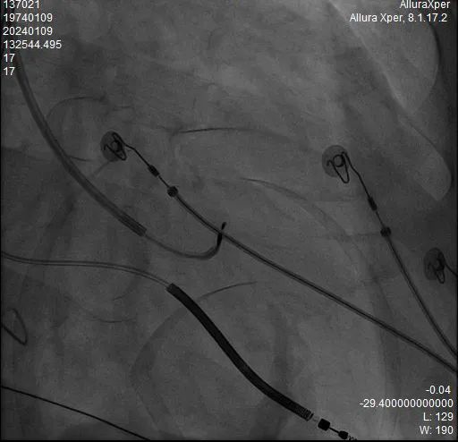
温州医科大学附属第一医院CSAE
标准化希浦系统植入流程

术前患者自身心电图LBBB,QRS宽度168ms

术中HIS电位H-V50MS

HBP起搏后高输出纠正LBBB

术中HIS电极影像

LBB电极术中传导束PVC

LBB影像位置

LBBP 术中S-NS变化



最终融合QRS
厦门大学附属心血管病医院CASE
AVB患者大电位高夺获阈值,电位损伤选择性夺获


上海交通大学医学院附属同仁医院CASE
术中传导束阈值趋势判断

LBBB患者术前

LBBP NS

LBBP S

术后融合:DDD SAV:120,单LV双极起搏 2.5V输出
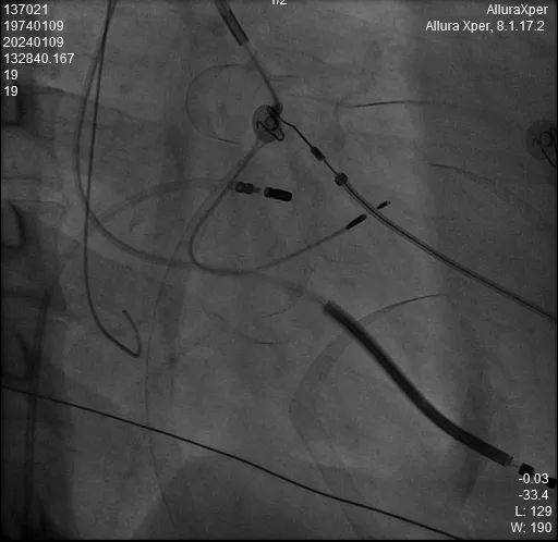
温州医科大学附属第一医院CSAE
AF快心室率心衰房室结消融电位损伤消融靶点

术前自身


HIS

HISD电位

HISD 电位损伤




术中影像 HIS-HISD-消融靶点
另外,在手术演示间隙的MINI TALK环节中,复旦大学附属中山医院陈学颖教授讨论了损伤电流在左束支起搏术中的应用价值。同时,江苏省人民医院侯小锋教授对左束支起搏术中的起搏测试进行了精彩的演讲。此外,温州医科大学附属第一医院苏蓝教授则对如何选择右室面拧入点做了详细说明。这些讨论和演讲内容丰富,对手术操作具有重要指导意义。
大会总结
笃行致远,惟实励新
▼▼▼

在活动结束之际,黄伟剑教授对会议进行了总结。他表示,得到学会领导、各大中心转播以及主持和线上朋友的支持,今天的直播活动非常成功,所有手术演示都保证了安全性和高质量。值得一提的是,这次活动手术演示覆盖了212个城市,吸引了超过一万人的点击量,这是一项非常难得的成就。
接着他特别提到,作为2024年第一场生理性起搏规范化培训课程,这次活动为参与者提供了深入而全面的培训,将带来更高的成功率、更精准的定位、更安全的植入以及更简化的流程,从而实现真正的左束支夺获!
同时,黄伟剑教授表示,希望将在下次活动中进行各中心轮换,并期待与各位专家同道进行面对面的讨论,继续努力提升希浦系统起搏的技术水平,并致力于循证医学研究和技术创新。最后,他强调,期待与各方共同努力,为未来的手术演示和培训活动创造更多的成功。

扫码回看直播










