2023年9月11日,四川大学华西医院心脏内科陈茂教授、冯沅教授联合多学科经导管心脏瓣膜病介入治疗团队,首次应用TaurusTrio经股主动脉瓣置换系统连续两日成功入组8例。入组患者均为不能常规开展外科手术的重度主动脉瓣反流患者。手术过程顺利,人工瓣膜植入后位置理想,形态良好,术后即刻主动脉瓣反流消失,平均器械时间仅二十余分钟(from sheath-in to sheath-out),进一步展示了TaurusTrio这一经临床验证的成熟技术的安全性与易操作性,极大缩短了术者学习曲线,使得经股主动脉瓣反流介入治疗这一术式未来可以更加快速的应用和普及。本次手术的成功完成,标志着TaurusTrio治疗主动脉瓣反流中国多中心注册临床试验在西南地区分中心正式启动入组,也标志着全球首创定位键专利技术推动国内主动脉瓣反流治疗走向微创化、精准化全新时代。

首日入组一例患者信息
本例为华西医院首日入组的其中一例挑战的88.0mm大瓣环PAR患者,患者 76岁男性,存在持续性心房颤动及脑梗死后遗症。术前超声心动图提示为三叶式主动脉瓣,窦部明显增宽,VC 7.0mm,EROA 0.45cm²,Rvol 57mL,LVEDV 141ml,LVESV 60ml,LVEF 58%。
主动脉根部评估

主动脉瓣瓣环周长:88.0mm,周长径:28.0mm

LVOT 周长:101.6mm,周长径:32.4mm

SOV:41.8mm*39.3mm*42.0mm

STJ 周长:109.6mm,周长径:34.9mm

升主动脉周长径:37.6mm

升主动脉长度:66.8mm,瓣环水平夹角44度

左冠开口高度16.7mm

右冠开口高度23.1mm


HU850未见钙化
血管外周及入路评估



整体入路血管条件尚可,血管内径可,患者有明显的脊柱侧弯,并伴有腹主动脉瘤,降主动脉稍有扭曲,腹主动脉、降主动脉及弓顶有少许钙化斑块。
TaurusTrio植入过程
患者深度镇静后超声引导下建立入路,跨瓣后左室放置预塑形导丝,使用TaurusTrio系统定制的等效于18F超长导引鞘定位STJ。输送系统装载THV27瓣膜,在大鞘保护下从右股动脉送入,安全通过降主动脉及钙化弓顶。在右窦中心位下,回撤导引鞘远端至降主动脉后定位键展开,使用调弯功能改善瓣膜同轴性,DSA下观察THV从大弯侧调至居中,再通过旋转定位手柄在右窦中心位下调整三个定位键与原生窦一一对齐,后推进THV使定位键进入窦底,实现Commissural alignment,通过造影依次确认无、右、左窦内定位键及深度后,最终脱钩释放。术后即刻超声心动图评估显示瓣膜位置良好,无瓣周漏,无中心反流,血流动力学指标优异。

术中影像

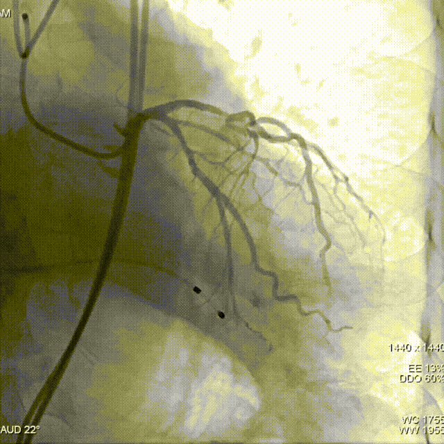
冠脉造影

导引鞘定位STJ

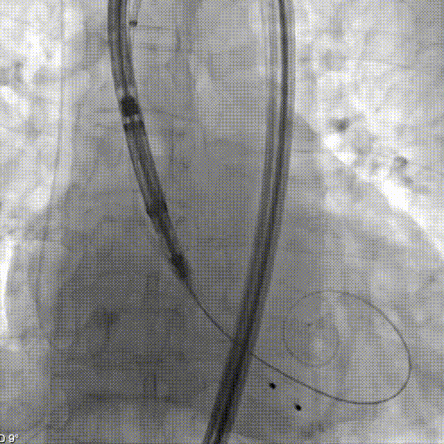
定位键展开

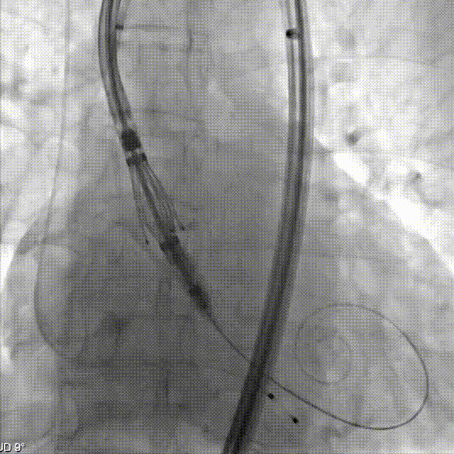
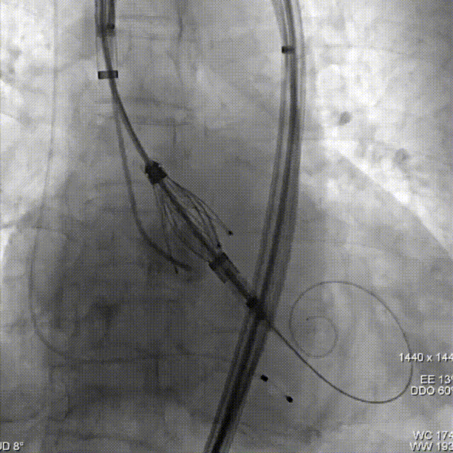
瓣膜同轴调整

定位键与原生窦对齐

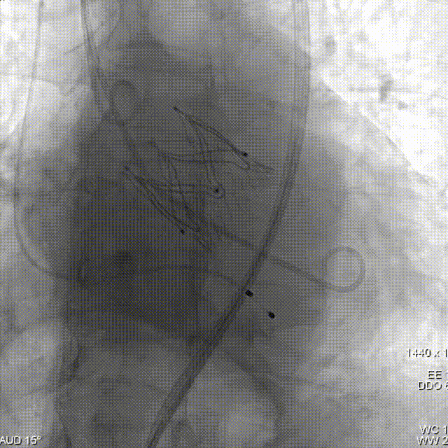
依次三窦内造影确认深度

THV释放

最终造影
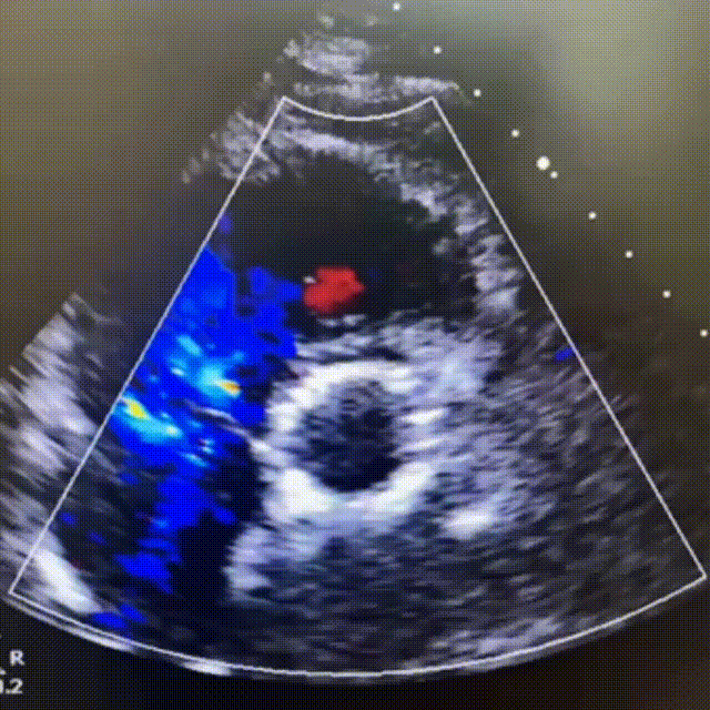
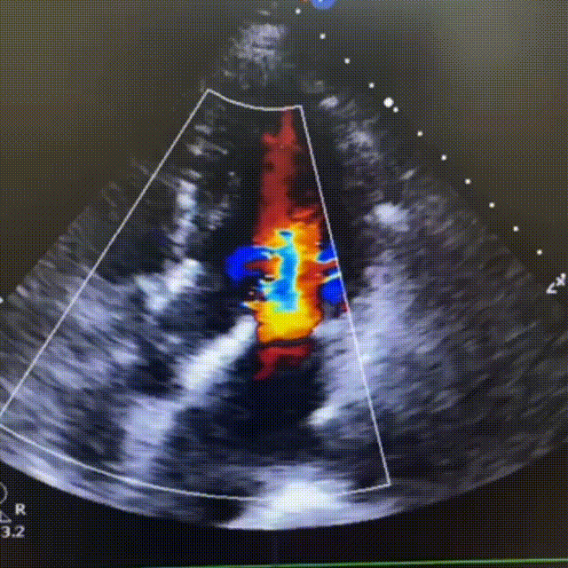
超声影像

TTE下主动脉瓣短轴和五腔心角度下,血流动力学结果优异,反流即刻消失。
全球首创定位键专利设计,重度AR迎来经股TAVR治疗新方案
主动脉瓣反流是瓣膜病领域的重要挑战之一。一项基于美国一百万例AI大数据样本的研究结果在TVT 2023得到发布,真实世界中度及以上AR的临床评估和接受干预的比例仍不理想,而基于左室扩张程度分层后死亡率的对比发现,LVESDi>25mm/m²的重度AR患者2年死亡率37.2%,而中度也已高达34.3%,这更加提示了针对AR患者临床管理和治疗干预的必要性。
由于主动脉瓣环和主动脉根部扩张,以及患者原生瓣叶钙化不足,采用传统经导管主动脉瓣置换(TAVR)器械存在瓣膜位移以及瓣周漏的风险,目前TAVR治疗孤立性慢性主动脉瓣反流仍然具有挑战性。2006年JenaValve公司成立,在瓣膜设计之初全球首创定位键专利技术,并在2009年将首个带定位键的经心尖JenaValve系统应用于患者治疗,标志着独创的以夹持原生瓣叶为锚定方式的TAVR产品成为一种新的瓣膜病解决方案。

推动创新,惠及更多患者
2022年初,沛嘉医疗(9996.HK)和JenaValve公司达成战略合作,在中国大陆,通过license-in其所有相关技术专利,实现TaurusTrio经导管主动脉瓣系统自产化,并与JenaValve Trilogy产品实现技术一致性。目前,沛嘉医疗已完成TaurusTrio系统的技术转移,中国内地已正式开展多中心注册临床试验,将结合国外临床数据,与国内专家总结TaurusTrio的中国人群临床应用经验,未来更好的服务于我国广大的主动脉瓣疾病患者。

TaurusTrio独有的定位键设计可夹持原生瓣叶,降低瓣膜位移及瓣中瓣等并发症的手术风险,可视化的定位键采用多层保护,精准定位的同时避免瓣叶损伤。独特的支架切割工艺实现流入端致密骨架设计,提供锚定与有效封堵;流出端超大网孔,配合输送系统实现对合缘对齐,进一步保障假体瓣膜植入无位移、密封效果及冠脉再介入。

专家寄语
陈茂教授:主动脉瓣反流是目前TAVR介入治疗技术的一个难题,目前除了经心尖类的产品,没有特定的经股动脉路径的治疗器械,TaurusTrio这一创新产品对这类病人提供了有效的干预手段和治疗措施,并且能取得非常好的治疗效果,具有较高安全性。相信这类创新器械的出现会为我国众多的AR病人带来治疗的福音。
冯沅教授:近日我们中心应用TaurusTrio经导管主动脉瓣系统治疗了多例心脏大、EF值偏低的纯反流病人,此款精细设计的瓣膜非常易于使用,标准化流程操作极大的提升了手术安全性,患者术中平稳,手术结果非常好,瓣膜释放后没有明显反流,位置稳定。这一创新瓣膜可称为TAVR经股介入利器,希望能尽早上市,造福于国内主动脉瓣反流患者,用最小的创伤获取最大的治疗效果。