近年来多个大规模临床研究证实,经导管主动脉瓣置换术治疗主动脉瓣重度狭窄安全、有效。随着技术和器械的改进,TAVR适应证不断拓宽,研究表明其治疗二叶式主动脉瓣同样取得满意效果——TVT 2023 LBCT美敦力Evolut Low Risk Bicuspid研究3年随访显示:美敦力Evolut二叶瓣低风险人群3年结果与三叶瓣患者媲美,极佳的血流动力学表现。
• 二叶瓣的植入深度控制与三叶瓣相比有哪些难点?
• 在最终释放前,如何通过递送系统张力和瓣膜形态预判瓣膜“上跳”或“下沉”的风险?
• 术前能否预估后扩的可能性,以预留足够的植入深度,降低后扩风险?
• 如需后扩,操作要点有哪些?
案例特色
• 男性,65岁,Type0 二叶式主动脉瓣,重度狭窄;
• 基于球囊sizing选择瓣膜尺寸;
• 完全释放后瓣架底部呈“收口”形态,是否后扩?瓣架是否有“弹出”风险?

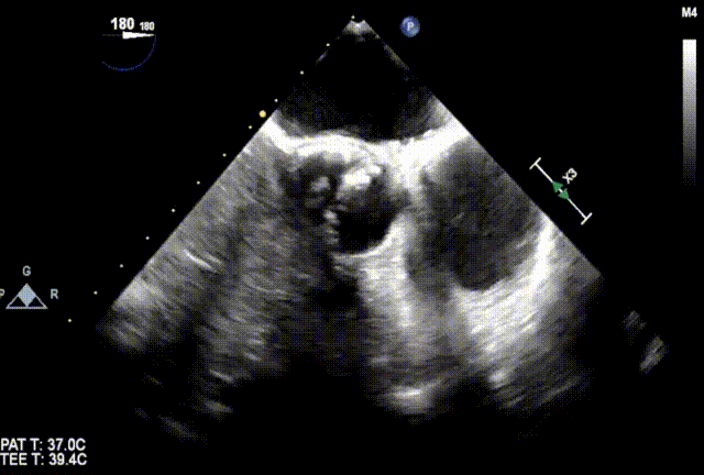
超声
• 男性,65岁;
• Type0 二叶式主动脉瓣,重度狭窄(Vmax:5.54m/s,平均压差:79mmHg,瓣口面积:0.43cm²);
• 左心房增大,左室壁增厚;
• 二尖瓣、三尖瓣反流(轻微);
• 左室壁节段性运动异常;
• 左室收缩功能正常低值(EF:54% ,EDV:83ml)。
CT分析
主动脉根部尺寸

Annulus
φ24.6mm ,P 77.3mm

LVOT
φ25.9mm,P 81.5mm

SOV Avg φ31.9mm

STJ Avg φ27.0mm

AAO Avg φ32.1mm

钙化



环上结构

Annulus φ24.6mm

Supra-Annulus 3mm
φ23.9mm

Supra-Annulus 5mm
φ23.8mm
Supra-Annulus 8mm
φ20.7mm

Supra-Annulus 10mm
φ20.9mm
Supra-Annulus 12mm
φ20.9mm
冠脉、左室

Height (L) 18.1mm
Height (R) 16.9mm

主动脉弓部



投照角度

跨瓣与球扩(短径角度)

瓣膜释放(虚拟Cusp overlap)
手术策略
• 23mm Z-Med球囊预扩;
• 视预扩情况选型瓣膜。
有明显腰无漏downsize至26mm瓣膜
否则按标准选29mm瓣膜



Oversizing
6%
18%
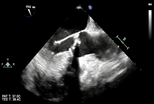
术前食道超声



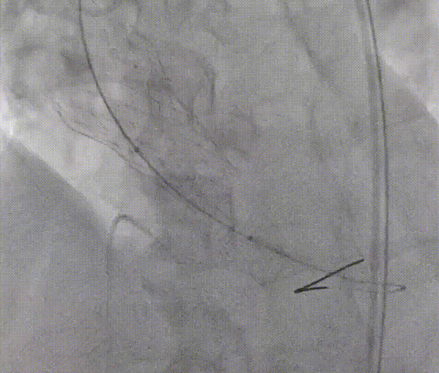
导丝跨瓣

主动脉根部造影

导丝跨瓣
球囊预扩张

10mm*10cm小球囊预扩

23mm Z-Med预扩张
根据预扩表现决定使用26mm瓣膜
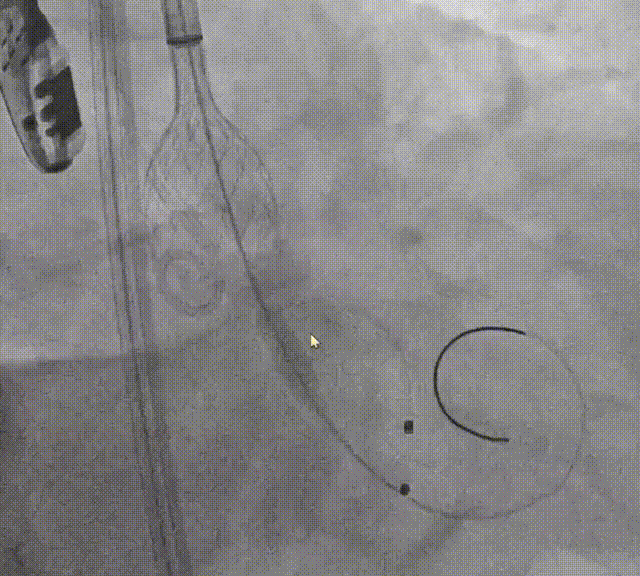
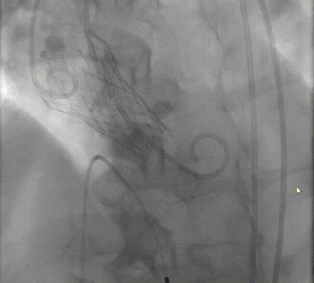
定位

初始定位

预释放后定位
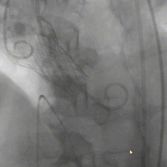
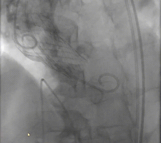
首次释放弹出


再次释放

深度评估

释放体位

LAO体位

释放脱钩

造影评估


跨瓣压差

术前120mmHg


释放后4mmHg
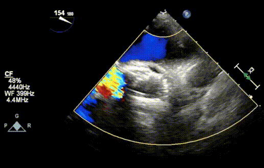
超声评估


后扩否?
瓣膜是否有弹出风险?如何避免?
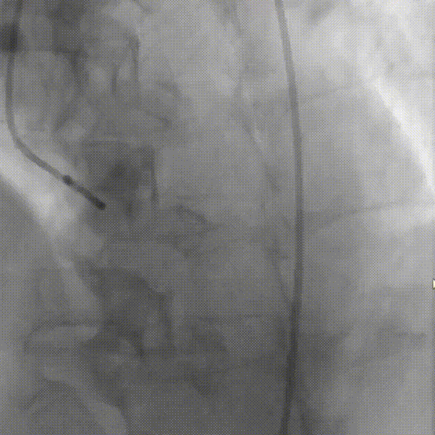
再次与根部造影对比


通过与术前主动脉根部造影的对比,确认两侧深度平均但较临界,可谨慎操作下尝试球囊后扩张以使流入端瓣架充分膨胀贴合自体瓣环,减少瓣周漏。
23mm Z-Med后扩张

最终结果


术后总结
考虑到0型二叶瓣限制区域明显增加对于瓣膜释放的影响,在美敦力TAVR Best Practice释放原则下,推荐LR共窦使用cusp overlap角度,一般情况下0型二叶瓣可使用短径角度,此案例使用了模拟LR cusp overlap的体位,以评估0型二叶瓣TAVR的传导系统影响。
1、起始释放位置建议Hat Marker在猪尾环中间位置往下,接近猪尾底部的位置;
2、当瓣膜与capsule扩张口齐平即将“开花”时,需确认瓣膜位置在自体瓣环平面以下;
3、最终植入深度建议为5mm。
在评判植入深度是否合理时,应特别关注瓣架形态,特别是瓣架底部扩张形态。如底部呈现“收口”形态,应谨慎评估植入深度,必要时回收瓣膜,调整为更深的释放位点;
当瓣膜完全释放后,瓣架仍呈“收口”形态,应充分评估后扩风险与获益,决定是否要后扩;
如需后扩,球囊充盈时建议轻推球囊,且待完全回抽球囊后再停起搏 ,以降低瓣膜脱位风险。
美敦力Evolut PRO为二叶瓣提供最佳解决方案
Evidence Matters
• 美敦力Evolut系统拥有最长瓣膜耐久性随访数据,为相对低龄的二叶瓣患者提供最长久的保障;
• 同时Evolut PRO也是国内唯一拥有中低风险适应证的自膨胀瓣膜;
• Evolut Low Risk Bicuspid研究3年结果、低危患者TVT注册真实世界证据均显示:美敦力Evolut 在二叶瓣和三叶瓣患者中疗效相当,血流动力学表现极佳。
Design Matters
• Evolut PRO稳定的多次可回收,精准定位二叶瓣最佳释放位置,从容释放;
• 瓣架软硬适中,兼顾通过性和径向支撑力,配合生物组织外裙边,以柔克刚、安全锚定、完美密封;
• 瓣叶高吊的环上瓣设计,保证更大的有效瓣口面积,不因二叶瓣选瓣downsize损失患者血流动力学。