7月1日,重庆大学附属中心医院(重庆市急救医疗中心)TAVI团队应用J-Valve为一名超大瓣环、纯主动脉瓣反流患者完成该院第一台经心尖TAVR。
由胸心外科、心内科、超声科、麻醉科和医学影像科等多个专业团队共同合作完成。术前,对患者进行了细致的评估和术前准备工作。术中,在实时超声监测和影像学导引下,团队严密配合、精准操作,保证了手术的成功。经过团队的共同努力,术后,患者的症状得到了显著的改善。
左右滑动查看更多
病史简介
老年男性,主诉反复胸闷2+年,加重2+月。
本院超声显示:主动脉瓣回声增强略增粗,瓣膜开放尚可,Vmax约为2.3m/s (PGmean约11mmHg),主动脉瓣瓣下录到红色血流束峰速约为4.6m/s,VCW约0.7cm。
超声提示:主动脉瓣增厚伴重度反流,主动脉硬化、左室壁明显增厚,肺动脉压尚可,左室舒张功能稍下降。主动脉根部增宽,左心房室内径增大。LVEF 57%。
术前超声

入院诊断
老年性心脏瓣膜病:主动脉瓣重度关闭不全;左心房室增大、心功能II级。
冠状动脉粥样硬化性心脏病:不稳定性心绞痛、左主干+前降支支架植入术后、回旋支球囊扩张术后;
高血压病3级、很高危;
CT分析
患者主动脉瓣三叶式,瓣叶基本等大,瓣叶增厚,瓣叶未见明显钙化。主动脉瓣环周长折算直径约29.3mm:

主动脉根部径线:


双侧冠脉开口高度可LCA:14.5mm, RCA:22.9mm;右冠轻度钙化,左冠及分支中度钙化:

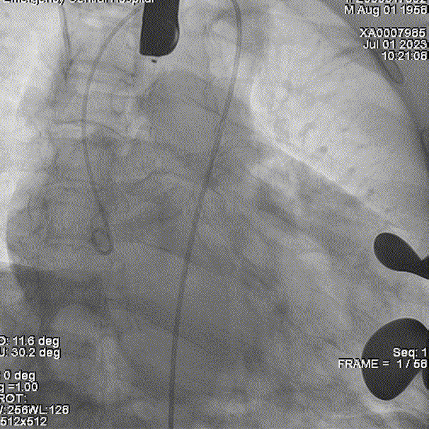
术中建议造影角度RAO:12°,CAU:30°:

心室角度55度:

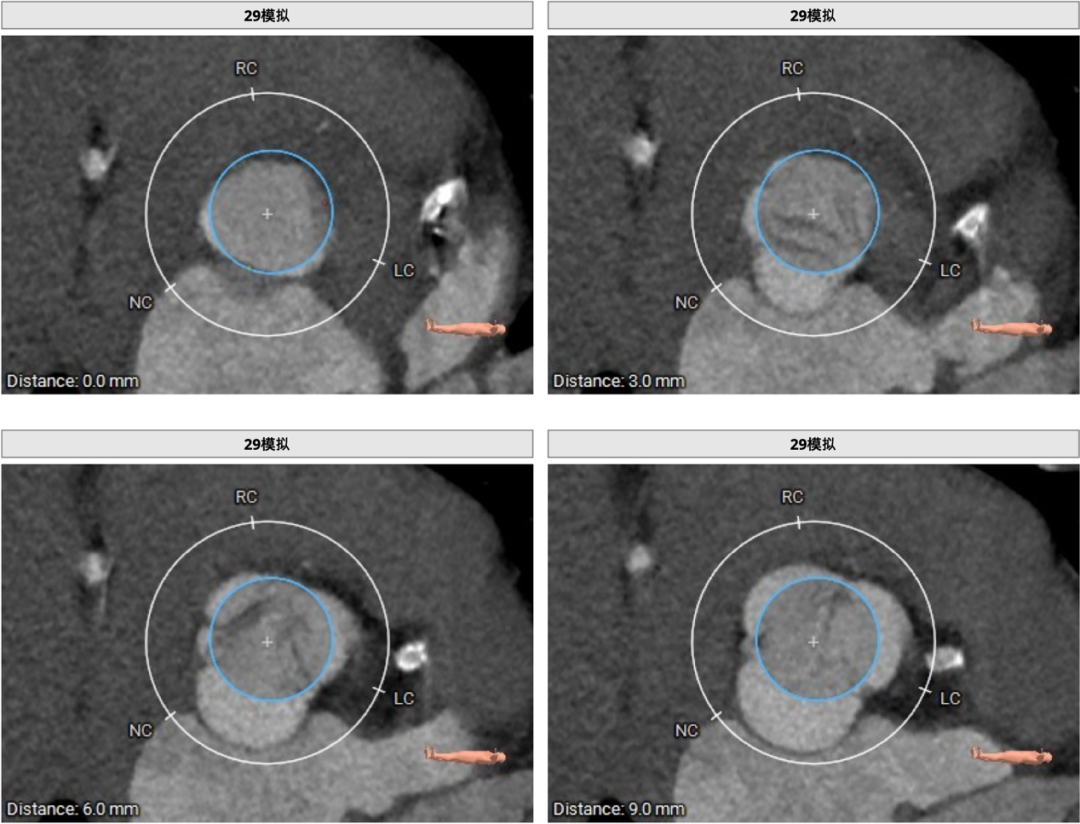
29mm瓣膜模拟效果:


手术步骤
猪尾导管置于右冠窦行根部造影(右冠窦向右侧转位):

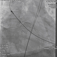
穿刺置入导丝,建立轨道。定位件进入对应窦部:

将瓣膜件降至瓣环平面,造影下定位:

释放J-valve29#瓣膜:

复查根部造影,未见明显反流,瓣膜形态和位置满意,双侧冠脉显影良好:

即刻复查超声,瓣架位置合适、形态佳,瓣叶功能正常,未见明显反流:

术后超声
密切止血,缝合以及闭合入路,手术顺利结束。
术后总结
这是重庆大学附属中心医院开展的首台经心尖TAVR手术。这一成功案例不仅为患者带来了新的希望和改善生活质量的机会,也为未来该院持续开展TAVR手术奠定了坚实基础。


