2023年5月5日,在首都医科大学附属北京安贞医院院长张宏家教授亲临指导下,心脏瓣膜病介入中心主任宋光远教授携团队吴文辉教授,刘新民教授,卢志南教授,姜正明教授,科雨彤教授,携手加拿大麦吉尔大学医疗中心Nicolo Piazza教授,使用Peijia HighLife TSMVR系统成功完成两例经股静脉房间隔二尖瓣置换术,完成分中心首例入组。首例正式入组病例为一例功能性二尖瓣返流患者,手术过程顺利,完成导丝轨道建立仅20多分钟,手术时间68分钟,验证了HighLife TSMVR产品在多模态影像评估及标准化手术流程指导下的可行性与易操作性, 手术即刻效果理想。此例手术的顺利开展, 标志着Peijia HighLife TSMVR系统全国多中心临床试验进入推进阶段, 也标志着北京安贞医院在经股静脉房间隔二尖瓣置换技术的开展迈出坚实的一步。

北京安贞医院院长张宏家教授(右一),宋光远教授(左二)与Nicolo Piazza教授(右二)合影
患者基线
本例患者为北京安贞医院首例正式入组病例,该患者为71岁老年男性,高血压病史两年,合并动脉粥样硬化,高血脂症病史,因“阵发性呼吸困难半年”就诊,经充分标准化药物治疗后仍有相关症状。超声心动图提示重度二尖瓣返流(MR 4+),可见二尖瓣后叶栓系,有效返流口面积为0.38cm²,返流量63mL,瓣口面积为6.7cm²;轻度三尖瓣返流;轻度主动脉瓣返流;LVEDD 57mm,LVESD 42mm,LVEF 44%。诊断考虑为重度功能性二尖瓣返流(Carpentier IIIb型)。多学科团队讨论后认为其有二尖瓣干预指征,外科手术风险高危,决定使用Peijia HighLife TSMVR系统行经股静脉房间隔二尖瓣置换术。


术前经食道超声评估
手术策略
术前,宋光远教授带领团队与Nicolo Piazza教授、Jean Buithieu教授充分进行技术探讨与交流,基于详细的CT测量分析,判断评估患者术中风险并规划手术策略。
通过CT影像进行全时相二尖瓣瓣环径线测量、房间隔穿刺高度预估、各腔心投照角度选择,并模拟植入Peijia HighLife TSMVR瓣膜,预判人工瓣膜与毗邻组织贴靠良好且无左室流出道梗阻风险。该例患者瓣下腱索结构相对友好,对于导丝成环过程干扰较小,而患者左心房结构较小,预估房间隔穿刺位点较低(仅约3cm),瓣膜释放时空间相对受限,需额外注意。

手术过程及即刻结果
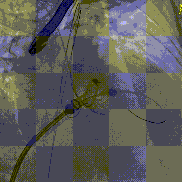
手术采用左侧股动脉入路与右侧股静脉入路,由股动脉入路将环形放置导管输送至瓣下预估深度并推送出合适角度,在高位开始多角度指引下导丝成环步骤。多学科团队紧密协作,在术前规划的DSA投射体位和科雨彤教授的超声引导配合下,宋光远教授精细操控,导丝顺利按预期路径环绕二尖瓣瓣叶,一次成型并将导丝头端送入升主,随后于升主中进行导丝抓捕,影像下对导丝环轨道进行充分验证,最后将导丝头端体外化,建立起固定环植入的重要轨道。


导丝围绕二尖瓣瓣叶成环


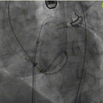
抓捕导丝并在超声下对导丝环位置进行验证

术中进行手术策略确认
随后在超声引导下进行房间隔穿刺,最终穿刺高度约3.4cm,顺利建立经房间隔入路。而后沿成环导丝于二尖瓣环下植入固定环,通过DSA及3D超声确认固定环完全关闭且位置合适。沿股静脉送入HighLife TSMVR瓣膜,首先释放瓣膜心室端,随后牵拉输送器,超声下观察,使瓣膜心室端与固定环充分贴合,旋即保持拉力并释放瓣膜心房端,人工瓣膜脱钩,在固定环的辅助下,于二尖瓣瓣环平面完成自同轴,最后逐步撤出人工瓣膜输送系统和固定环输送系统。即刻超声评估提示二尖瓣返流完全消失,无瓣周漏,人工瓣膜植入位置理想,形态良好,跨瓣压差1mmHg;LVOT压差6mmHg,无左室流出道梗阻风险;房间隔4mm左向右分流,无即刻封堵指征。手术成功完成!

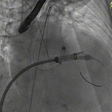
固定环植入

固定环位置评估

瓣膜释放心室端

瓣膜释放心房端

即刻左室造影

术后即刻超声评估
未来的展望
经导管二尖瓣置换面临诸多技术难题,例如二尖瓣解剖复杂性与异质性所带来的入路挑战、人工瓣膜锚定和密封困境、左室流出道梗阻风险等。现有经导管二尖瓣置换系统大多数是基于经心尖入路设计和/或主要依靠径向支撑力锚定或密封人工瓣膜,但经心尖入路因其创伤程度相对较大可能减少患者获益,径向支撑力锚定或密封机制影响心肌逆重构,并在工程角度必须使得人工瓣膜尺寸设计较大,导致器械输送困难。

专家简介
宋光远
首都医科大学附属北京安贞医院
向上滑动阅览
