2023年4月6日,中国医学科学院阜外医院深圳医院潘湘斌教授团队同台应用J-Valve和Mitraclip为一名主动脉瓣和二尖瓣反流的患者成功完成全超声引导下TEER+同台TAVR的一站式手术治疗。
该患者为83岁的双瓣反流高危高龄患者,外科换瓣风险极高,微创介入治疗是首选。为最大程度保证治疗效果,潘湘斌教授、万俊义教授团队经过缜密的术前评估,对患者病变瓣膜解剖结构进行精准判断后,认为无法通过单一瓣膜手术改善另一个瓣膜病变,决定采取TEER+TAVR一站式手术解决双瓣反流问题。但患者朋友之前TAVR手术失败的惨痛经历,导致患者对TAVR相当抵触,治疗一度停滞不前。经过充分沟通,患者了解到潘湘斌教授会亲自操刀进行手术,遂愿意配合治疗,顺利完成手术,术后即刻效果良好,患者症状得到明显改善。
病例特点:主动脉瓣反流和二尖瓣反流、横位心
病史简介
患者为83岁女性,主诉劳累后气促3年余。
超声显示:升主动脉34mm、窦部34mm,左房(前后/横径) 41/40mm,左室(舒张期/收缩期)58/37 mm,EF 66%。彩色多普勒显示主动脉瓣和二尖瓣反流。
超声提示:左心增大;心脏瓣膜病,主动脉瓣中重度关闭不全,二尖瓣中度关闭不全。
CT分析
患者主动脉瓣三叶式,瓣叶基本等大,瓣叶稍增厚,未见明显钙化;主动脉瓣环周长折算直径约27.3mm:

左室流出道凸出:

升主动脉最宽处40.0mm:

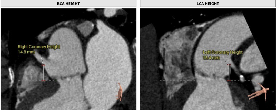
双侧冠脉开口高度可LCA:15.4mm,RCA:14.8mm,左右冠脉轻度钙化:

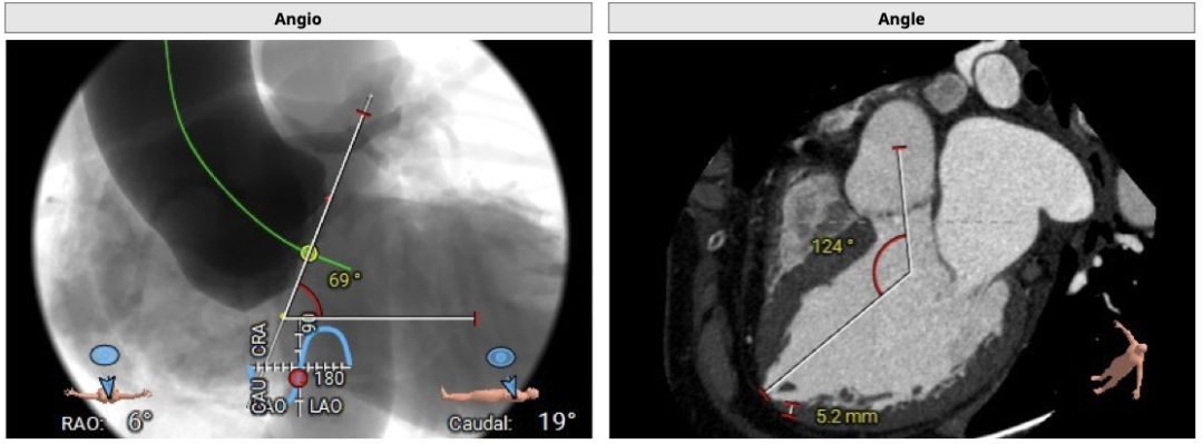
术中建议造影角度RAO:7°,CAU:19°(其它参考角度如下图):

横位心,心室角度69度:

降主动脉走行迂曲:

手术步骤
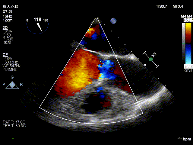
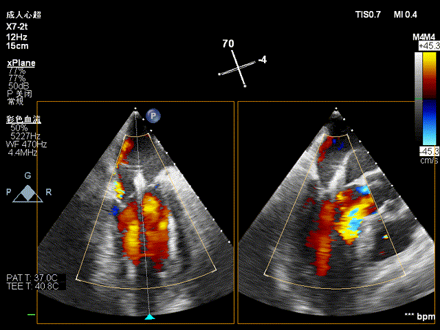
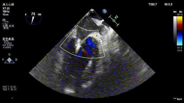
术前超声见主动脉瓣反流:

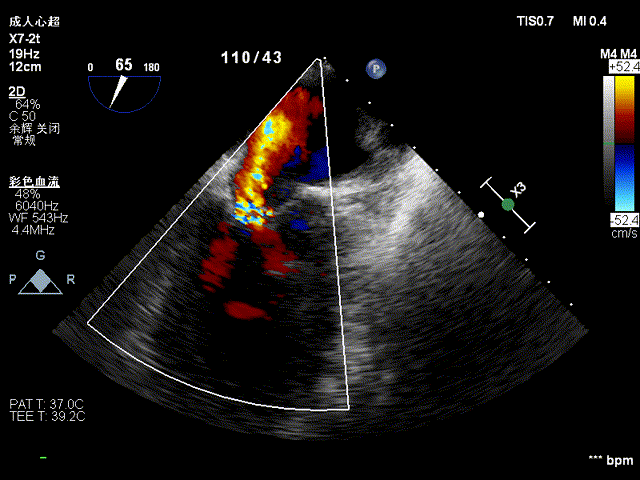
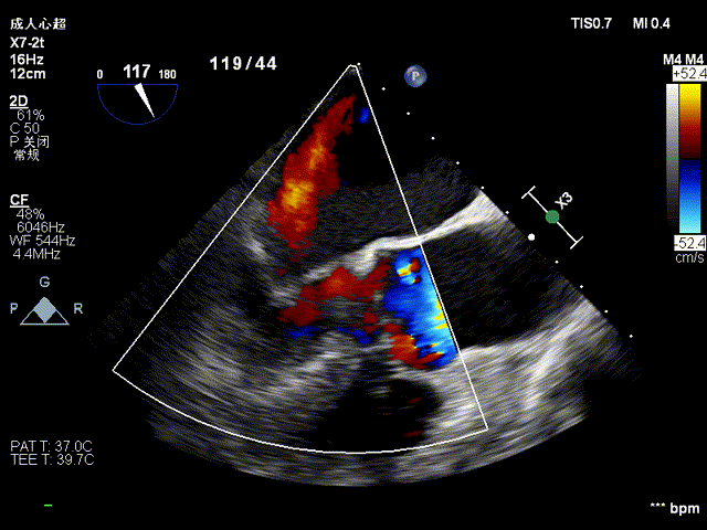
二尖瓣中大量反流:


全超声引导下TEER
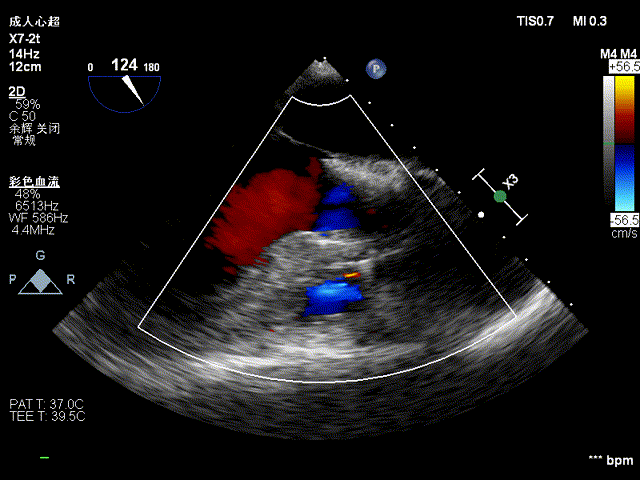
导丝进行房间隔穿刺:

CDS放置在二尖瓣处:

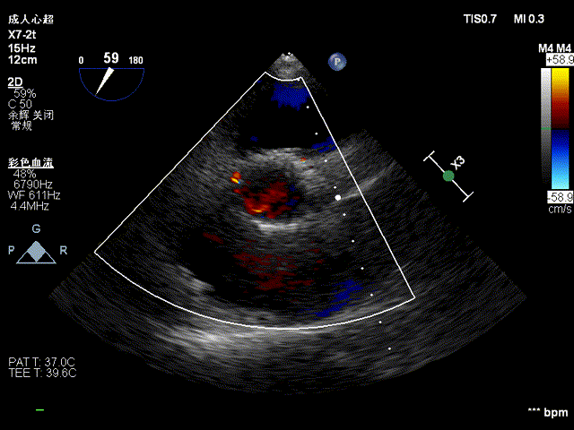
打开夹子,调整弹道垂直于二尖瓣瓣环:

将MitraClip推进至左心室,捕获瓣叶:

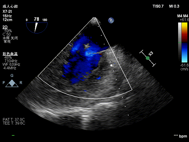
捕捉瓣叶后,经超声心动图确认瓣叶夹持牢固,释放瓣膜夹:


经心尖TAVR
主动脉根部造影后,介入器跨瓣:

定位件进入窦部:

将瓣膜件降至合适水平面:


释放瓣膜后,复查根部造影,未见明显反流,瓣膜形态和位置满意,双侧冠脉显影良好:

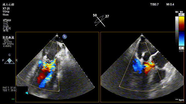
复查超声显示主动脉瓣架深度合适、位置稳定,瓣叶启闭正常,未见明显瓣周反流:


二尖瓣反流较术前显著减少:

彻底止血,闭合心尖和外周切口,手术圆满结束。
在此例手术中,最大的亮点是潘湘斌教授团队采用国际首创的全超声引导介入治疗技术完成TEER后再进行TAVR。超声作为唯一影像引导手段,可替代放射线进行介入治疗,消除了由于放射线引起的医源性损伤,进一步保护了患者和医生的生命健康。
据悉,潘湘斌教授带领团队不断实践,挑战完成全超声引导下不同类型的介入手术,现在,全超声引导介入治疗技术已经从一种单一的技术创新变成了一套技术体系、一种成熟的方法学系统,可以攻克不同类型的疾病,进一步扩大了适应证,为更多患者带来优质高效的医疗服务。
专家简介
潘湘斌
中国医学科学院阜外医院
向上滑动阅览
