九江市第一人民医院生命活水心血管病医院完成ECMO支持下PCI+TAVR克艰难险阻 创生命奇迹

2023年4月3日,九江市第一人民医院生命活水心血管病医院陈玲教授廖然教授张历教授带领该院多学科团队,联合南昌大学第二附属医院徐劲松教授龚韧教授方海洋教授陆鹏教授等结构性心脏病团队,应用VenusA-Pro经导管主动脉瓣膜置换可回收输送系统完成一例ECMO(体外膜肺氧合技术)支持下PCI(经皮冠状动脉介入术)+TAVR(经导管主动脉瓣置换术)手术,历经6个多小时,成功挽救一名72岁濒死患者,创造生命奇迹,成为国内少数能够开展该技术的团队之一。

患者基本信息

患者:72岁,女性;

主述:反复胸闷4年余,加重1天;

超声提示:1.全心扩大并左心功能减退2.主动脉根部及升主动脉内径增宽3.主动脉瓣病变并重度狭窄、轻度返流,考虑:主动脉瓣二册畸形并钙化、退变4.二尖、三尖瓣、肺动脉瓣轻中度返流5.中度肺动脉高压。

CT分析

TYPE0型二叶瓣,瓣叶增厚,重度钙化,左冠开口高度约18.5mm,右冠开口高度约19mm,法式窦结构大,STJ高度约25.4mm、直径约42.2mm,升主动脉增宽,最宽处约56 mm,心脏角度约60°,左室大。

主动脉根部解剖及入路分析

MDT讨论结果

术前陈玲主任组织多学科会诊,认为患者主动脉瓣重度狭窄,重度钙化,冠脉阻塞、心室扩张,且心功能低,极易出现术中循环奔溃的风险,在ECMO支持下行TAVR+PCI一站式手术是更优更安全的方案;由于升主扩张和横位心,综合考虑采用通过性更加柔顺的Venus A-Pro系统,使其顺利的过弓、跨瓣膜,稳定释放。

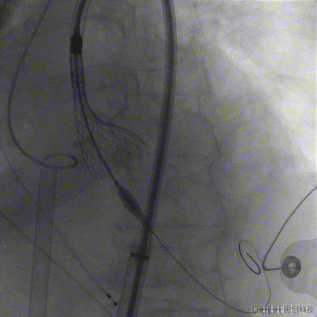
手术过程

冠脉PCI术前影像

冠脉PCI术后影像

主动脉根部造影

球囊扩张

瓣膜定位

瓣膜释放

球囊后扩

瓣膜置入后影像评估

术后总结

该患者病情严重复杂,重度心衰,冠脉病变、主动脉瓣二叶瓣畸形、重度狭窄、重度钙化,横位心等,这类患者极易出现瓣膜移位以及高低瓣现象,对输送系统的柔顺性及瓣膜定位提出了极高的要求,陈玲主任带领团队术前制定符合该患者病情的个性化诊疗方案,使用更柔顺的Venus A-Pro经导管主动脉瓣膜置换可回收输送系统,使其顺利的跨弓、跨瓣膜,术中协同努力,手术顺利完成,患者转危为安,临床症状明显改善,相信未来会有更好的生活质量提升!

专家简介

陈玲

九江市生命活水心血管病医院

向上滑动阅览

九江市第一人民医院生命活水心血管病医院执行院长,教授,主任医师,医学博士,硕士生导师。美国哥伦比亚大学医学中心留学,德国汉堡圣乔治医院心电生理中心访问学者,

全国第五届“白求恩式好医生”、江西省百千万人才、江西省卫生健康突出贡献中青年专家、九江市“双百”“双千”人才、九江市第六批专业技术拔尖人才,江西欧美留学人员委员会理事、九江市医学会心血管分会主任委员、九江市胸痛质控中心主任委员、江西省胸痛质控中心副主任委员、江西省医学会心电生理与起搏分会副主任委员、中国医师协会高血压专业委员会委员、江西省医学会心血管介入分会常务委员。

廖然

九江市生命活水心血管病医院

主治医师,硕士。擅长:冠心病、心律失常、心力衰竭诊治,尤其是冠脉介入治疗。九江市心血管病学分会委员.

张历

九江市生命活水心血管病医院

心血管内科,主治医师。从事心血管内科临床工作十三年,擅长心律失常及心力衰竭诊疗、缓慢型心律失常起搏介入治疗及心力衰竭器械辅助介入治疗,九江市医学会心血管病学分会秘书长、九江市脑心同治专业委员会委员、江西省心电生理和起搏分会青年委员。

徐劲松

南昌大学第二附属医院

向上滑动阅览

医学博士,博士生导师南昌大学第二附属医院心血管内科教研室副主任,江西省百千万人才人选,江西省高校中青年骨干教师,江西省卫生系统学术学科带头人培养对象,兼任中华医学会心血管病分会代谢性心脏病学组第一届委员,中国医师协会心血管病分会代谢性心肌病学组委员,江西省研究型医院学会胸痛分会副主任委员,江西省保健学会心血管病分会高血压学组副主任委员,江西省睡眠学会专业委员会理事,江西省睡眠学会心血管病专业委员会第一届常委。

长期从事心血管内科临床及科研工作,能够完成冠心病领域各种高难度手术,对心血管疑难及危重症处理具有很高的造诣,担任全国心血管疾病介入诊疗技术培训导师。主持国家自然科学基金1项,江西省自然科学基金1项,主持江西省科技支撑项目1项,发表SCI第一作者10余篇,国内核心期刊发表论文20余篇。获得江西省科技进步三等奖2项,江西省高校科技成果二等奖1项,国家专利1项。

龚韧

南昌大学第二附属医院

向上滑动阅览

心血管内科副主任医师 医学博士,留美访问学者,江西省医学会心血管病分会青年委员、江西省医学会数字医学分会青年委员,江西省医学会介入心血管病分会青年委员、江西省研究型医院协会胸痛分会委员、中国医学促进会青年委员、中国结构性心脏病委员会青年委员,亚太结构性心脏病俱乐部黄金会员。

从事心血管内科临床工作10余年,擅长冠心病复杂介入治疗、主动脉瓣疾病介入治疗,主持江西省自然科学基金一项、江西省科技研发重大项目一项,参与国家自然科学基金3项,第一作者/通讯作者发表论文10余篇,其中sci论文4篇,中文核心5篇,获得江西省科技进步三等奖一项,《中国心血管病研究》杂志青年编委。

方海洋

南昌大学第二附属医院

医学硕士,心血管内科主治医师。一直从事心血管内科临床及科研工作,擅长冠心病介入诊疗,接受过心脏瓣膜病介入技术标准化培训,目前主要致力于心脏瓣膜病介入治疗及心血管危重症诊疗工作,发表SCI及核心期刊6篇。

陆鹏

南昌大学第二附属医院

医学博士,副教授,硕士研究生导师,心血管内科副主任医师。诊疗特长:冠心病介入治疗、心脏急危重症治疗。学术任职、科研成果:主持国家自然科学基金1项,江西省自然科学基金1项。


阅读数: 1531