3月27日,华中科技大学同济医学院附属协和医院董念国教授团队应用J-Valve完成1例TAVR手术。患者胸骨畸形,主动脉瓣重度反流,对手术团队的操作技巧和团队配合都提出了更高要求。术前团队结合患者各项评估制定了详尽的手术策略,术中瓣膜平稳释放,术后复查根部造影,未见明显反流,复查食道超声,未见明显瓣周漏,患者症状得到明显改善。
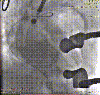
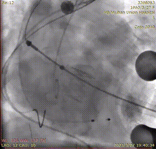
左右滑动查看术中原图,非专业人士请谨慎翻阅
病史简介
患者为63岁女性,主诉:间断气喘、心悸3年余。
心超显示:主动脉瓣为三叶瓣,瓣尖增厚,回声增强,瓣叶开放未见明显受限,闭合不佳。瓣环内径约2.1cm,主动脉窦部内径约3.6cm,窦管交界处内径约3.4cm,升主动脉内径约4.4cm;左心增大,左房前后径3.9cm,横径约4.4cm,长径约6.3m;左室前后径约4.8cm,横径约4.5cm,长径约7.9cm。
彩色多普勒显示:主动脉瓣口舒张期左室流出道侧见中至大量反流信号,峰速2.4m/s,压差24mmHg,LVEF 64%。
超声诊断:主动脉瓣重度关闭不全;升主动脉明显增宽;左心增大。
CT分析
患者主动脉瓣三叶式,瓣叶基本等大,瓣叶稍增厚,左右瓣叶交界黏连,瓣叶游离缘轻度钙化;主动脉瓣环周长折算直径约21.9mm:

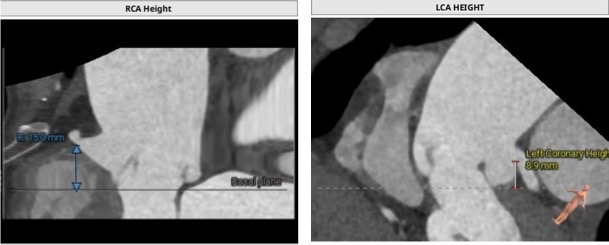
左侧冠脉开口高度低,LCA 8.9mm,左瓣叶长度11.1mm;右侧冠脉开口高度可,RCA 15.0mm:

左室流出道周长66.0mm:

窦管结合部平均直径34.8mm,升主动脉最大直径43.3mm:

SOV大小:

主动脉瓣环夹角42°:

腹主动脉散在钙化。主动脉弓降结合部迂曲,成角84°:

手术策略
该患者主动脉弓降结合部迂曲,成角极大达到84°,此外合并胸骨畸形、脊柱侧弯,CT测算的共平面工作体位难以实现,计划通过术中垫肩、减少左前斜角度,方便操作。考虑到患者瓣环周长21.9mm,拟使用25mm J-Valve。
手术步骤
猪尾放置于无冠窦行根部造影,通过垫患者左肩、最终左前斜12°,实现三窦切线位:

穿刺心尖,跨瓣。定位件进入窦部,造影确认:

将瓣膜降至合适平面,造影:

释放瓣膜:

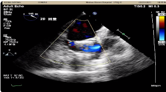
复查根部造影,未见明显反流,瓣膜形态和位置满意,双侧冠脉未见遮挡征象:

即刻复查食道超声,瓣架深度合适,未见明显瓣周漏:

彻底止血,闭合心尖手术切口,手术圆满结束。
本例患者主动脉弓降结合部迂曲,成角达到84°,同时合并胸骨畸形、脊柱侧弯,增加了手术操作难度;团队针对病例特点充分准备、紧密配合,J-Valve瓣膜也为团队提供了有力支持,保证了手术圆满成功。
华中科技大学同济医学院附属协和医院结构性心脏病TAVR团队
武汉协和医院心脏大血管外科在董念国教授的领导下,在结构性心脏病领域持续探索,屡创佳绩:从2017年起,率先开展华中地区TAVR、华中地区生物瓣瓣中瓣植入、零造影剂下TAVR手术,华中地区独立手术的中心、定位键一体式TAVR、单纯反流病变经皮TAVR手术,经心尖TAVR.该中心已成为华中地区率先带教指导推广TAVR技术的中心,是全国完成四个瓣膜置换中心之一。
专家简介
董念国
华中科技大学同济医学院附属协和医院
国家二级教授,主任医师,博士生导师,华中科技大学同济医学院附属协和医院心脏大血管外科主任,器官移植中心主任,心研所所长。
中华医学会胸心血管外科分会副主任委员,中国医师协会心血管外科分会副会长,美国胸心血管外科学会(AATS)、国际微创胸心外科学会(ISMICS)会员。
主持国家级重大/重点项目12项,发表论文400余篇,申请/授权国家发明专利36项,主编/主审专著9部。以第一完成人获国家科技进步二等奖1项,省部科技进步特等奖1项/一等奖5项。
尚小珂
华中科技大学同济医学院附属协和医院
陈澍
华中科技大学同济医学院附属协和医院
医学博士,心脏大血管外科副教授/副主任医师,硕士生导师,中国医师协会心血管外科医师分会结构性心脏病学组副组长,亚洲胸心外科医师协会(ASCVTS)会员,湖北省医学会胸心外科分会秘书,湖北省医师协会心血管外科医师分会委员,亚洲心脏瓣膜学会中国分会委员。擅长经导管瓣膜病诊疗,肥厚梗阻型心肌病的外科治疗,二尖瓣成形等。
钟禹成
华中科技大学同济医学院附属协和医院
张长东
华中科技大学同济医学院附属协和医院






