2023年3月30日,国产信立泰最新LAMax LAAC®左心耳封堵器临床应用再传佳音——暨南大学附属第一医院郭军教授、陈小明教授团队成功应用LAMax LAAC®左心耳封堵器,为一名72岁脑卒中患者完成“射频消融联合左心耳封堵”一站式手术,最大程度降低了患者血栓和出血风险,有效遏制了可能再发的卒中风险,双管齐下,保证了患者最大化获益。

据悉,这也是LAMax LAAC®左心耳封堵器上市后,广州市的首例成功植入,不仅代表着广州地区房颤患者多了一种诊疗新选择,也标志着暨南大学附属第一医院在预防心源性脑卒中领域的新突破、新进展。
患者基本信息
此例手术患者为一名72岁男性,TEE检查提示左房及左心耳血栓前期改变,未见固体血栓;24小时动态心电图也提示“阵发性心房颤动”。CHA₂DS₂-VASc=5分,HAS-BLED=2分。患者不能耐受长期口服抗凝药物治疗,强烈建议行左心耳封堵治疗。
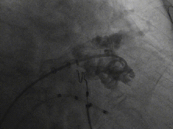
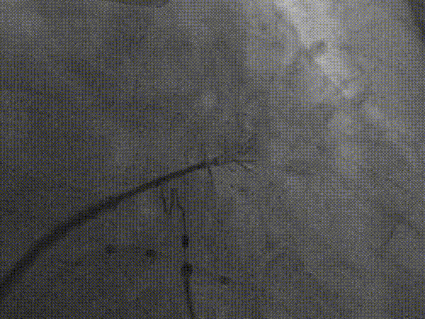
影像学检查结果


DSA下RAO 30°+CRAN20°、RAO 30°+CAUD20°左心耳造影
手术策略
“患者属于高危卒中,具有明确的左心耳封堵手术指征。”
据郭军教授介绍,左心耳封堵手术,可以封堵住血栓的来源——左心耳,一次性解决房颤病人脑卒中的问题,并且术后可以不用再长期口服抗凝药治疗,降低缺血性和出血性脑卒中的风险,已经成为房颤患者预防卒中的首选。同时,结合射频消融术,能够进一步消除患者的房颤症状,为患者的远期疗效打上“双保险”。
入院后,郭军教授、陈小明教授团队经过全面评估分析,最终确定了“射频消融联合左心耳封堵”的一站式手术方案。
手术过程


患者局麻后进行左心耳封堵术,在DSA造影下,观察左心耳为三分叶的仙人掌型,锚定区直径约21.25mm,开口部直径约22.79mm
考虑到封堵的安全性和无残留,郭军教授、陈小明教授团队最终选择了LAMax LAAC®2430 Normal型号左心耳封堵器,锚定伞锚定在共干区域,封堵盘覆盖左心耳口部。

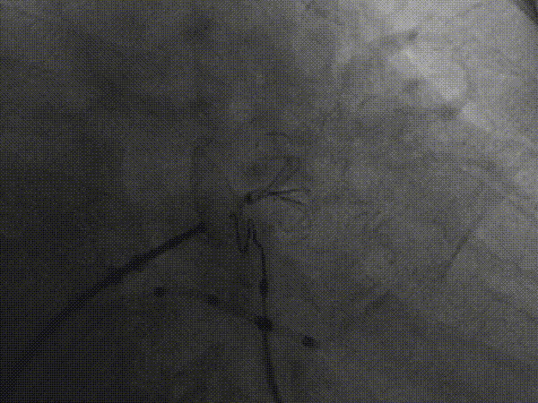
LAMax LAAC®左心耳封堵器锚定伞打开完全,锚定伞9个“J型”钩的圆头与中间Mark点接近同一个平面;封堵盘完全打开,形成“新月形”。右肩位造影检查,无残余分流

LAMax LAAC®左心耳封堵器封堵盘在DSA下牵拉15s,锚定伞稳定无移位



符合COVER原则,将LAMax LAAC®左心耳封堵器释放,再次DSA造影检查,封堵器形态无变化,封堵效果好,手术圆满完成
卓越性能,护航患者健康
任何一台手术的成功开展,都离不开患者、医生、器械共同形成的合力。
为保证手术圆满顺利进行,郭军教授、陈小明教授和团队成员术前充分准备,做好预案,术中步步为营、操作细致,整个手术过程谨慎而有序。
此次手术的成功,不仅反映出了团队的综合实力,也彰显出了选择合适器械的重要性。
“整个封堵过程安全性高、效果好、用时短,显示出了LAMax LAAC®左心耳封堵系统操作简便顺畅的卓越性能,患者术后身体康复良好,顺利出院。”
术后,郭军教授对LAMax LAAC®左心耳封堵器展现出的临床优越性赞不绝口。
郭军教授提到,LAMax LAAC®左心耳封堵器规格覆盖全面,适用于各种复杂结构的左心耳,在选择器械的过程中,能够为术者提供更多、更合适的型号,提前一步帮助术者规避了很多问题;同时,LAMax LAAC®左心耳封堵器的推送性能和支撑力都极其优秀,使得操作顺畅简便,而且可多次回收释放调整的功能,也为术者加了一层“保险”,更便捷安全,进一步保证了封堵效果。
最值得一提的是,LAMax LAAC®左心耳封堵器封堵膜的改性处理,可以加速内皮化、降低器械相关血栓的风险,是一款不可多得的房颤治疗新器械,为房颤患者带去了福音。
持续探索,不断发展壮大
“房颤作为最常见的心律失常之一,是引起卒中的最主要原因,严重威胁患者健康。”
对于像此病例一样的阵发性房颤患者,郭军教授强调,一经确诊一定要尽快接受治疗,及时降低卒中的风险。
左心耳封堵手术,是目前广受认可的预防房颤相关性卒中的治疗新技术,可显著降低心源性卒中发生的风险,是“脑心同治”理念的重要突破口。暨南大学附属第一医院作为国家级房颤中心认证单位,在郭军教授、陈小明教授的带领下,近年来已经发展成为华南地区最具专业实力、设备先进、专科特色显著的现代化房颤诊治中心之一,在左心耳封堵手术领域屡获突破,积累了丰富的经验。
此例手术的成功,可以说是郭军教授、陈小明教授团队在左心耳封堵手术领域中对于新器械的进一步探索,也是LAMax LAAC®左心耳封堵器临床使用范围的进一步扩大。
希望未来,LAMax LAAC®左心耳封堵器能够成为更多术者手中强有力的“武器”,为更多患者带去临床最佳选择和生命曙光。
专家简介
郭军
暨南大学附属第一医院
向上滑动阅览
陈小明
暨南大学附属第一医院
向上滑动阅览

