2023年4月11日,在第九届中国瓣膜(杭州)会手术转播频道中,由复旦大学附属中山医院心外科魏来教授率领团队,应用上海纽脉医疗科技股份有限公司(“纽脉医疗”)自主研发的Mi-thos®经导管二尖瓣置换系统(“Mi-thos®”),为一名大瓣环重度二尖瓣反流、外科手术高危患者成功实施了经导管二尖瓣置换术(TMVR)。
线上主持人包括首都医科大学附属北京安贞医院张海波教授、北部战区总医院徐凯教授,就瓣膜锚定、术后反流等热点问题进行了讨论和讲解,两位专家均对本次手术过程及结果表示赞叹不已!

术者 复旦大学附属中山医院 魏来教授

线上嘉宾 首都医科大学附属北京安贞医院张海波教授、北部战区总医院徐凯教授、空军军医大学西京医院刘洋教授
患者情况
患者男性,86岁,二尖瓣前叶增厚脱垂伴重度反流,双房增大,左室后壁增厚,主动脉瓣钙化伴轻度主动脉瓣反流,重度肺动脉高压伴中重度三尖瓣反流。左心室舒张末内径55mm,收缩末内径29mm。STS评分10.6,属传统外科开胸手术高危人群。
术前评估

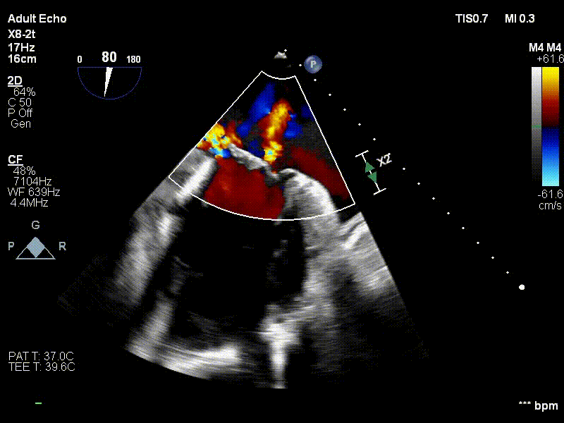
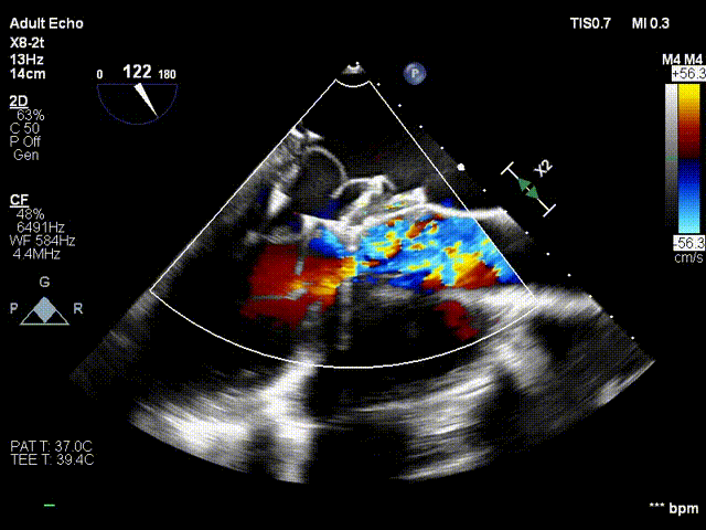
术前心超二尖瓣重度反流

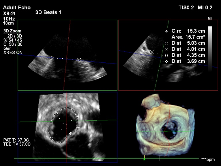
术前瓣口测量

术前CT评估收缩期瓣环

术前CT评估舒张期瓣环

术前CT评估模拟植入
手术过程
手术在中山医院杂交手术室内完成。手术运用DSA与三维经食道超声心动图监测,通过患者左胸约4cm的小切口经心尖途径将瓣膜输送进病变的二尖瓣部位,在心脏不停跳的状态下快速完成二尖瓣置换,术中几乎无出血、无传导阻滞、无流出道梗阻,血压心率均平稳。

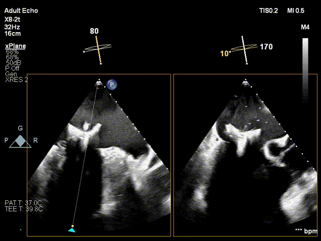
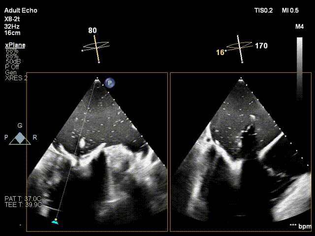
术中超声瓣膜定位

术中超声瓣膜释放

术中介入瓣膜顺利释放
术后介入二尖瓣瓣膜位置合适、瓣膜形态完整、有效瓣口面积3.7cm²,介入二尖瓣平均跨瓣压差3mmHg,无二尖瓣狭窄、无二尖瓣中心反流、无二尖瓣瓣周漏。手术顺利结束,患者术后24小时即离开监护室,回到普通病房。

术中复查造影,未见反流及瓣周漏


术后复查心超二尖瓣反流消失

术后总结
此次手术的成功,显示了Mi-thos®优越的手术效果及操控性能,对于解剖结构挑战较大的患者同样能实现理想的治疗效果,标志着Mi-thos®多中心确证性临床研究的又一次成功实践与探索,同时也为术者带来了更多信心!
Mi-thos®经导管二尖瓣置换术
纽脉医疗自主研发的Mi-thos®经导管二尖瓣置换系统是首款在中国进入FIM临床试验的创新二尖瓣置换的产品。Mi-thos®参与了中国科学技术部“十三五”重点研发计划,并获上海市科委“科技创新行动计划”生物医药领域科技支撑项目支持,累计申请26项国家专利。该产品已通过国家药品监督管理局(NMPA)审批,获准进入创新医疗器械特别审查程序,即“绿色通道”,进一步加快了其在中国的上市进程。
中山医院联合西京医院已成功完成Mi-thos®二尖瓣置换研究共24例,手术成功率100%,三个月死亡率为0,围术期无主要并发症发生,初步显示了产品良好的安全性和有效性,并基本确定了适应症选择要求和手术操作规范。多中心确证性临床研究将进一步证实手术及器械的安全性和有效性,为心外科专家在二尖瓣疾病领域提供更多可靠、安全的治疗方案,造福广大患者。
专家简介
魏来
复旦大学附属中山医院
主任医师,博导;复旦大学附属中山医院心外科副主任;微创心血管外科主任;上海市心脏瓣膜工程技术研究中心副主任;上海市医学会心脏大血管外科分会副主委;国家心血管病中心微创心血管外科专委会常委兼秘书长;中华医学会胸心血管外科学分会全国委员;中国医师协会心血管外科医师分会全国委员;中国医师协会腔内血管学分会心脏瓣膜病专家委员会副主委;中国医师协会机器人外科医师分会常委。
