2023年4月7日,北京清华长庚医院心血管中心在副院长张萍教授带领下,由心血管内科首席专家王伟民教授和副主任薛亚军教授牵头,联合麻醉科、血管外科、心脏外科以及手术室、导管室等组成团队,在赵俊来、韩治伟、张鸥、耿雨、王银堂等主治医师及翟彦龙技师共同配合下,成功为一名大瓣环、小心室的三叶式重度主动脉瓣膜狭窄高龄高危患者植入了美敦力Evolut PRO经导管主动脉瓣膜系统(TAVR),术中得到阜外医院吴永健教授和陈阳教授的指导。本例手术为北京清华长庚医院首例Evolut PRO瓣膜植入,手术过程十分顺利,患者术后恢复良好。

美敦力TAVR自膨胀瓣膜在全球拥有3.2万名患者的临床数据,具有高生存率、低卒中率、极少的瓣周漏以及优秀的血流动力学特性。应用于全球160个国家与地区,使得40多万名瓣膜病患者获益。Evolut PRO为美敦力第三代TAVR产品,在秉承经典环上瓣设计理念的基础上增加了稳定的多次可回收功能以及生物组织外裙边,大大提高手术安全性和成功率,带给患者更好的临床获益。
72岁,男性;
主诉:间断胸闷、心悸1年,加重2周;
现病史:
1年余前患者活动后出现胸闷、心悸,无胸痛,无咳嗽、咳痰、咯血、发热,盗汗,无黑矇、一过性意识丧失、大小便失禁等,持续约10分钟,休息后缓解;
近1月自觉上述症状较前加重,每次休息难缓解,伴血压升高,需服用速效救心丸及降压药后,方可好转;
2周前出现胸闷、心悸,伴有全身乏力、大汗,无黑矇,一过性意识丧失,无腹痛、腹泻,症状持续不缓解。
就诊于本院急诊:查心肌损伤标物升高,心电图示完全性右束支阻滞,胸前导联V3-V6 ST段压低,行超声心动图检查示左心增大,室间隔及左室壁增厚,主动脉瓣钙化,重度狭窄,轻度关闭不全,二尖瓣后叶瓣环钙化并少量反流,左室整体收缩及舒张功能减低,考虑诊断为“主动脉瓣重度狭窄”。
平均压差79mmHg,峰值流速6.69m/s,EF值66%,主动脉瓣钙化重度狭窄伴轻度关闭不全,二尖瓣后叶瓣环钙化并少量反流,左心增大,室间隔及左室壁增厚。





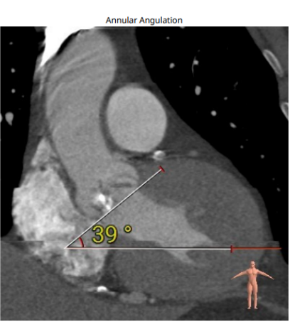
三叶瓣,瓣环偏大,右无瓣叶钙化重;LVOT直径小于瓣环直径,呈漏斗形;窦部直径可,STJ及升主直径偏小,双冠脉高度可;主动脉根部角度约39°;室间隔及室壁增厚,LV偏小。

环上钙化分布较为均匀,限制区高度4-12mm,开口最受限处位于环上8mm,预估瓣膜锚定良好。



双侧股动脉入路内径可,走行良好,主动脉弓部及腹主动脉可见钙化。
三叶瓣,瓣叶钙化重,限制区高锚定力可,LVOT上宽下窄有利于密封,预装29型号Evolut PRO瓣膜;
主入路选择RFA,20Fr大鞘;
23mm球囊预扩,目标植入深度环下3mm。

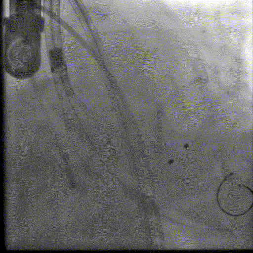
置入左室加硬导丝

23mm球囊预扩,无明显腰征及反流

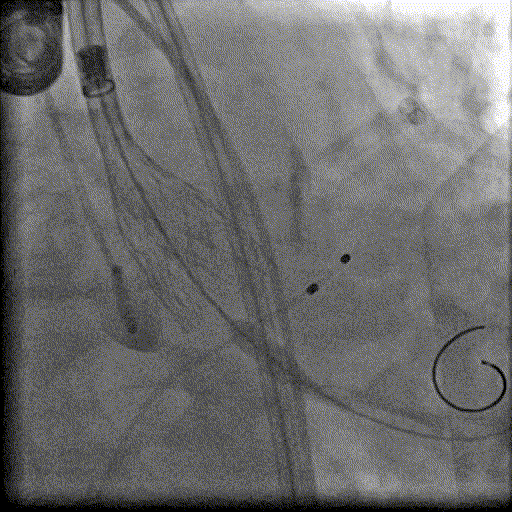
输送系统过弓及跨瓣

初始释放位置造影

释放至80%

造影确认深度及冠脉灌注情况

完全释放并撤回输送系统

最终造影

右侧股动脉入路检查

左侧股动脉入路检查

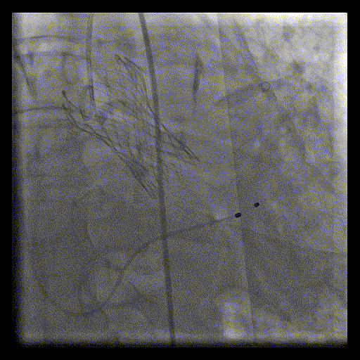
瓣膜形态

微量瓣周漏
植入后造影微量反流,超声提示瓣膜工作良好,最大跨瓣流速1.7m/s,平均跨瓣压差几乎为0,造影检查主入路,血管未见损伤,手术顺利结束。
主动脉瓣狭窄是一种物理结构性改变,药物难以起到作用, 需要采用手术治疗才能进行根本性纠正。包括传统外科手术以及创新介入技术—— 经导管主动脉瓣膜置换术(TAVR),TAVR顺应新时代医疗趋势的疗法,有伤口小、恢复快、术后生活质量高等特点。
该例患者主动脉瓣环偏大,右无瓣叶钙化重,环上限制区较高,STJ和升主动脉直径偏小,对于瓣膜选型、植入深度把控以及密封性提出了重重挑战。经团队综合评估,选用进口美敦力Evolut PRO瓣膜,释放更稳定,封堵更理想,以达到更好的患者获益。
本次手术过程中,整个TAVR团队有条不紊,操作熟练,瓣膜完美释放位置理想,术后瓣膜工作稳定,造影未见明显反流,植入效果显著,且术后未发生相关并发症,充分展现了术者团队精湛的技艺。
北京清华长庚医院心血管中心结构性心脏病治疗学组,将继续践行医者初心,尽最大努力救治各类瓣膜性心脏病及先天性心脏病患者,为更多百姓健康保驾护航!
专家简介
张萍
清华大学附属北京清华长庚医院
中国老年保健医学研究会数智健康分会主任委员,中华医学会心血管病学分会委员兼信息化学组组长,中国医师协会心力衰竭工作委员会副主任委员,中国生物工程学会心律学分会副主任委员,中国医促会心律心电分会副主任委员,全国医药卫生企业协会慢病管理分会会长,中国康复学会心血管康复分会常委,北京医学会心血管病分会副主任委员、北京医师协会心血管医师分会常委等职务,《ESC cardiovascular》副主编、《中华心脏与心律杂志》副主编、《PACE》、《Cardiology Discovery》、《中华心血管病杂志》、《中华心律失常杂志》、《中华心力衰竭和心肌病杂志》、《临床心电学杂志》等编委。擅长各类心律失常及冠心病、心衰、心肌病、高血压及疑难为重心血管疾病救治,曾获“人民好医生”、“白求恩式好医生”,中国杰出起搏贡献奖,享受国务院政府特殊津贴。
王伟民
北京大学人民医院
向上滑动阅览
薛亚军
清华大学附属北京清华长庚医院


