日前,阜外华中心血管病医院心外科程兆云教授团队,联合心脏超声科、麻醉科、手术室等多个科室,在复旦大学附属中山医院超声诊断科李伟老师的协助下成功完成“河南省首例经心尖介入二尖瓣缘对缘修复手术”(ValveClamp)。

据心外科王圣教授介绍,本次手术在纯超声引导环境下进行,术中患者心脏不停跳,仅需在肋间开一小口,具有低外科损伤与零辐射的特点。该患者为二尖瓣C2区反流,P3脱垂,后叶较短,瓣叶质地欠佳,通过植入一枚ValveClampIIIf型夹子后反流基本消失,导管时间40分钟。术后24H患者脱机转入普通病房,术后48H患者下床活动,目前患者状态良好。
患者信息
夏某某,女性,74岁。
超声数据
【二尖瓣相关参数】二尖瓣重度反流(继发性:Carpentier II型);A3:21mm P3:13mm,MVOA:5.3cm²,P3脱垂连枷,3区病变,瓣叶质地欠佳。
手术过程
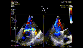
TEER:

术前反流



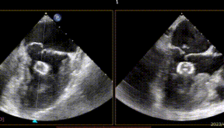
跨瓣球,跨瓣,方位练习,进鞘


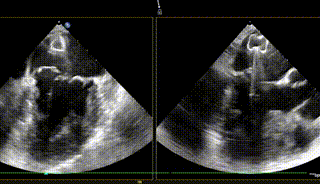
在MultiVue下定位与夹合


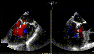
反流基本消失
难点分析
该患者为原发性二尖瓣反流患者,病变位置偏P3+PC。目前国内外专家对该类非典型病例患者的TEER治疗尚刚刚起步。由于非2区病变患者瓣膜反流位置较偏,操作器械系统输送到达目标位置困难、同时长轴切面与实际夹臂存在夹角,需要使用具有MultiVue(三维重建)功能的超声机器,且手术中缠绕腱索的风险增大,该类患者往往在筛选期就被拒绝难以得有救治,而ValveClamp系统通过心尖操作,选取最佳穿刺点,仅40分钟就植入1枚夹子,术后几乎无反流,充分显示器械操作便利性、高效性。该例手术的成功,标志着河南省二尖瓣反流经导管介入治疗方面取得新突破,该技术未来将造福更多省内二尖瓣反流患者。
术中剪影



背景介绍
目前我国二尖瓣返流患者超过1千万,有相当一部分患者尽管接受了规范的抗心衰治疗,仍存在严重的二尖瓣返流,心衰症状仍存在。近年来的研究表明,经导管的二尖瓣夹合手术可以降低患者的近中期死亡,二尖瓣夹合手术联合药物治疗的临床结局优于单纯药物治疗。小切口经心尖入路二尖瓣夹合手术,创伤小,避免体外循环及放射线损伤,操作简单,手术时间短,在单纯超声引导下就可以完成,是目前针对此类疾病的前沿治疗方法。此次手术的成功实施,是河南省首例经心尖二尖瓣夹合术,也为该类患者提供了微创有效的治疗方法。
医院介绍
阜外华中心血管病医院为全国首批国家区域医疗中心试点单位,是在国家卫健委关心支持和重视推动下,由中国医学科学院阜外医院、国家心血管病中心与河南省人民政府合作共建,依托河南省人民医院,按照现代医院管理制度要求建设的国家三级甲等公立医院,也是国家心血管病中心华中分中心所在地。
医院拥有15个临床学科,其中国家临床重点专科9个、河南省医学重点学科11个,国家卫健委重点实验室2个,省级重点实验室2个,省临床医学研究中心1个,省工程技术研究中心2个。医院现有职工1498人,其中卫技人员1293人,博硕士584人,博硕导师79人,高级职称219人,享受国务院特殊津贴专家和省管专家11人。
医院突出心血管专科特色,相关临床学科和医技部门协同发展。设置有肾内科、神经内科、神经外科、呼吸内科、胸外科、内分泌科、消化内科、骨科、普外科、急诊科、重症医学科、中医科和营养科等临床学科;麻醉科、手术部、体外循环科、放射科、核医学科、超声科、心肺功能科、输血科、检验科、病理科、介入中心、血液净化中心、内镜中心以及健康管理中心等医技部门。同时,医院积极发展心力衰竭、心脏移植、结构性心脏病、以及心脏康复医学等新兴学科。成立有心力衰竭病区、心脏移植病区、结构性心脏病病区、以及心脏康复病区等。
专家简介
程兆云
阜外华中心血管病医院
王圣
阜外华中心血管病医院

