“感觉好舒服,很顺。”
3月15日,南方医科大学南方医院CCU病区前的走廊上,身着病号服的老大爷对着镜头稳步走来,边走边述说着术后整个人的状态,同时竖起了两个大拇指。
谁也无法看出来,这位老大爷之前还因主动脉瓣疾病严重影响正常生活,没走几步路就会感觉到胸闷、头晕和喘憋气短,走起路来十分辛苦。直到南方医科大学南方医院修建成教授团队为他成功植入美敦力Evolut PRO瓣膜,带来了一场新生。
一台“满意”的手术
——您对手术的效果还满意吗?
——很满意。
在被问及手术效果时,老大爷这样回道。
据了解,患者8年前开始出现反复发作的胸闷、头晕。多年来一直以药物进行保守治疗为主,但效果不佳。后在病友的建议下,慕名来到南方医科大学南方医院,寻求修建成教授的帮助。
入院后,患者心脏彩超检查提示主动脉瓣增厚、钙化并重度狭窄及关闭不全(中度),且患者还存在轻度的二尖瓣和三尖瓣反流。
只有换瓣才能改善症状。
考虑到外科手术风险高,创伤大,团队决定为患者实施TAVR手术。由于患者为带脊二叶瓣,瓣上结构情况较为复杂,从既往的数据看,此类患者瓣膜的展开以及瓣周漏的情况会影响到远期预后。为保证手术疗效,修建成教授在器械选择上较为谨慎,经过多学科会诊最终确认应用美敦力的Evolut PRO 29mm瓣膜。

“我们知道美敦力这款瓣膜在三叶瓣上的表现非常优秀。本例手术我们在术前进行了充分的评估,从整个CT的分析上看,认为在二叶瓣患者中同样可以达到非常好的效果。”
修建成教授在术后采访中解释了选择此款瓣膜的原因,并介绍了手术策略。
一方面,患者相对年轻,来自CRT2023最新研究结果已经表明,美敦力TAVR五年瓣膜衰败率仅为SAVR一半,在随访中表现出了优异的耐久性。另一方面,Evolut PRO的瓣架结构能为患者保留冠脉通路,为之后行冠脉介入手术提供路径。
为给患者提供更好的预后,同时最大程度降低手术风险,修建成教授团队在每台手术之前都需要对手术的每个步骤每个细节反复研讨,对术中、术后可能出现的情况做好预案,做到胸有成竹,确保万无一失。
选择出合适的瓣膜,是做好预案的重要一步,也能更有效地降低手术风险。
非常理想的结果
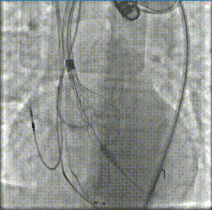
经过充分的术前评估和准备,修建成教授带领由医院心内、超声、麻醉、放射等多学科成员组成的手术团队,开始了这台TAVR手术。
穿刺、置管、跨瓣、扩张、释放瓣膜、测压、检测、拔管、手术结束……当天的DSA手术台上,修建成教授和团队有条不紊地完成着每一个步骤。术中的每一个步骤、每一个节点、每一个动作,团队每位成员都十分娴熟。最终成功在预定位置精准植入瓣膜。


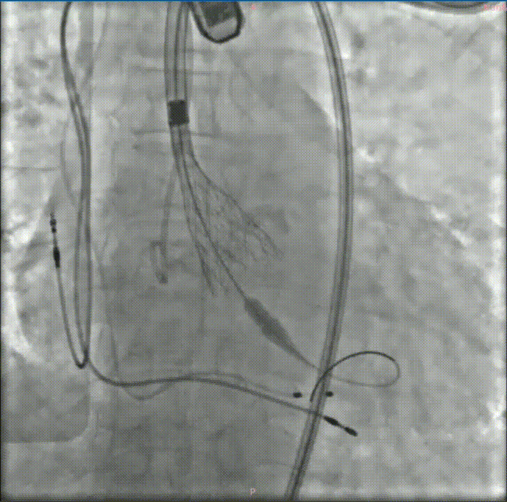
深度评估

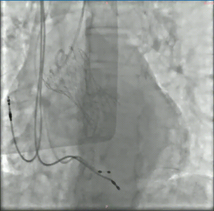
释放后造影

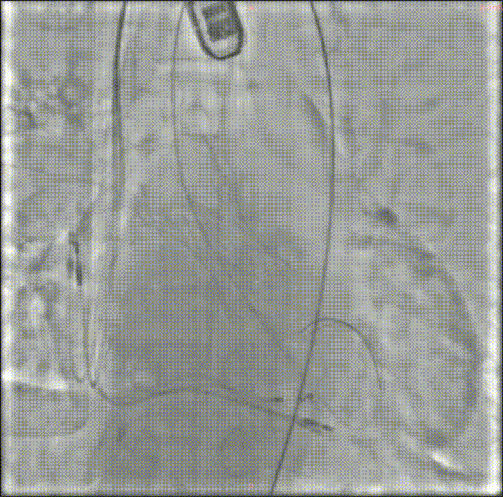
后扩
瓣膜植入后立即进入工作状态,术后造影显示瓣膜工作状态良好,无瓣周漏及明显跨瓣压差;冠脉无阻挡,无传导阻滞
采访中,修建成教授欣慰地分享了手术效果:“手术之后的结果也验证了我们术前的分析和想法。从影像学结果分析来看,我们把瓣周漏减少到非常低的水平,同时瓣膜的扩张、展开都非常好,可以说达到一个非常理想的结果。”
本次手术非常注重微创特性,患者伤口非常小,能够保证快速康复。患者在术后第二天便可下床活动,无胸痛、气促等症状,可以在病房外的走廊来回走动,同时他向科室全体医务人员表达了由衷的感谢。


探索新技术的中国经验
截至目前,修建成教授团队已成功应用Evolut PRO开展近10台TAVR手术,均获得圆满成功。虽然这些TAVR手术患者的病情复杂程度各有不同,但都在某种程度上反映出了我国主动脉瓣病变患者的疾病特点。
修建成教授表示,我国患者二叶瓣比例高,且大多钙化严重,应用Evolut PRO必然会遇到此类患者。
因此,如何去摸索出如美敦力Evolut PRO这类新瓣膜器械在我国患者人群中的最佳应用策略,是非常重要的。
以这一角度为切入点,修建成教授团队在TAVR新器械、新技术探索方面展开了大量工作。
自2018年正式开展医院首台TAVR手术以来,修建成教授团队在医院和麻醉科、重症监护病房,以及心外科等兄弟科室的支持下,多次应用国内外最新TAVR瓣膜器械,成功救治高难度复杂主动脉瓣病变患者,整体手术质量保持在较高水准。
截止到2022年团队已累计完成超百例TAVR手术,其中有超过50%的患者为带脊二叶瓣结构。
“这些患者最后的处理结果还都非常理想,这方面我们中心积累了一些自己相关的经验。而且我们对不同厂家的产品性能都有一定的了解,也方便我们针对患者的解剖结构,临床特点来选择更适合的瓣膜。”修建成教授补充道。
与此同时,修建成教授还十分注重年轻术者及TAVR手术微创性的发展,培养了一支可以24小时“备战”的团队,并积极探索极简式TAVR的应用,在为患者提供全天候诊疗服务的同时,也希望患者能更快康复。此外,团队不仅在主动脉瓣、二尖瓣等领域积极进取,不断提升手术水平,积累各类病例诊疗经验,而且目前在研多项临床研究项目。
“昨天进行手术的这位患者24小时就可以出院了。TAVR手术对患者的康复以及整个的心里感受,都是非常好的。这个病例也真正体现了TAVR这项技术给我们患者带来的便利。希望未来我们能有两支甚至多支的TAVR团队,可以随时为更多患者提供这项服务。”
以一例TAVR彰显一支团队的特色诊疗之路,疾走在结构性心脏病介入诊疗的道路上,修建成教授和团队还将书写出更多精彩,为南方医科大学南方医院的更多瓣膜病患者带去“心”生。
专家简介
修建成
南方医科大学南方医院
向上滑动阅览
