
2023年3月30日,在第四届中国结构性心脏病大会暨第三届卵圆孔未闭规范化诊疗研讨会上,中国医学科学院阜外医院潘湘斌教授团队成功完成局麻下单纯经胸超声引导(TTE)MitraClip™手术。手术中采用团队自主研发的超声引导专用介入引导导丝,全程仅使用经胸超声作为唯一影像引导手段,手术效果良好,术后即刻二尖瓣反流降至微量。来自美国、德国、意大利、波兰等国家的专家们线上观看了手术全过程,对本次手术表示惊叹,称赞中国TEER技术取得了新的突破。
患者基线评估
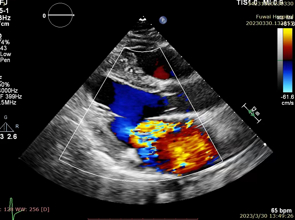
患者为高龄男性,年龄82岁。术前超声心动图诊断为重度退行性二尖瓣反流(MR 4+),反流位于2区,后叶P2区脱垂合并腱索断裂,多普勒检查可见大量偏心性反流。心脏团队评估该患者为外科高风险患者,考虑使用MitraClip™进行经导管二尖瓣缘对缘治疗,因患者有食道狭窄病史,经术前讨论评估,决定为该患者行单纯经胸超声(TTE)引导下MitraClip™手术。

患者术前超声
手术过程
在房间隔穿刺时,手术团队使用自主研发的超声引导专用介入导丝,该导丝头端呈纺锤形,在TTE下清晰可见,精准定位房间隔穿刺部位,波兰Zenon Hucze等专家给予了高度评价。

将CDS送入肺静脉

弹道垂直于二尖瓣平面

将MitraClip™推进至左心室,双臂朝向垂直于瓣叶边缘的长轴

将MitraClip™推进左心室并向后拉,直到二尖瓣瓣叶被抓捕,关闭夹子,反流几乎消失


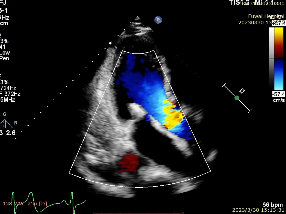
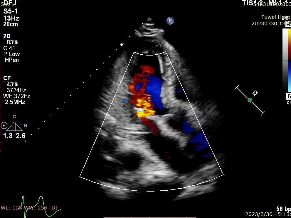
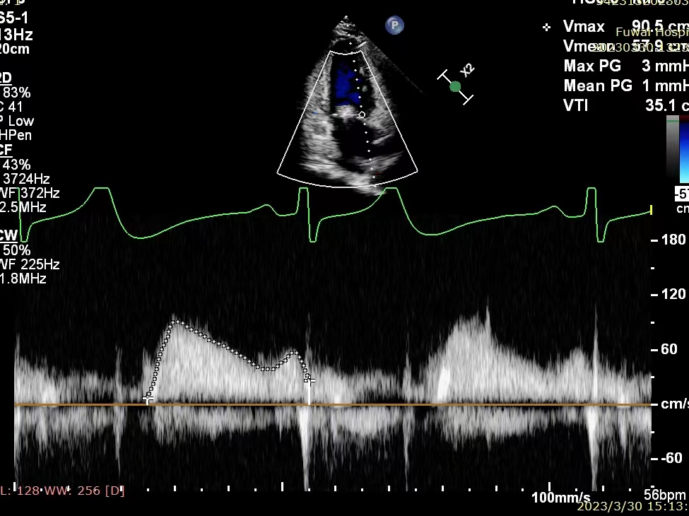
释放MitraClip™,超声显示反流降至微量,平均跨瓣压差3mmHg, 患者各项生理指标正常,手术顺利完成



术后即刻超声图
团队介绍
潘湘斌教授团队致力于单纯超声引导介入治疗结构性心脏病,经过十余年的发展,超声引导介入技术体系取得了从原理、方法到技术及产品的系统性突破,具有“不开刀、无放射线、无造影剂、无需全身麻醉”的巨大优势,可以治疗房间隔缺损、室间隔缺损、动脉导管未闭、卵圆孔未闭、肺动脉瓣狭窄、主动脉弓缩窄、主动脉瓣狭窄、二尖瓣狭窄、二尖瓣关闭不全、心房颤动等多种疾病,甚至实现了门诊手术治疗常见心血管疾病。团队以中国医学科学院阜外医院为依托,建立了国家结构性心脏病介入技术培训基地,培训了来自美国、德国、日本、阿根廷、肯尼亚、哈萨克斯坦、中国等30余个国家的学员3000余名。
报名邮箱
国家结构性心脏病介入技术培训班fuwai2021@163.com