近日,福建医科大学附属协和医院(福建协和医院)心血管内科陈良龙教授带领心脏瓣膜病团队方军教授以及蔡炜博士、孙旭东主任医师等,联合四川大学华西医院冯沅教授,应用经导管人工肺动脉瓣膜系统(VenusP-Valve),成功为一名23岁法洛氏四联症术后重度肺动脉瓣关闭不全患者实施福建省首例经导管肺动脉瓣置换术(TPVR),术后数天患者顺利出院!

临床一般资料
患者23岁,男性,22年前行“法洛氏四联症根治术”,9月前出现活动后气促,以重体力活动或上坡时明显,感乏力。
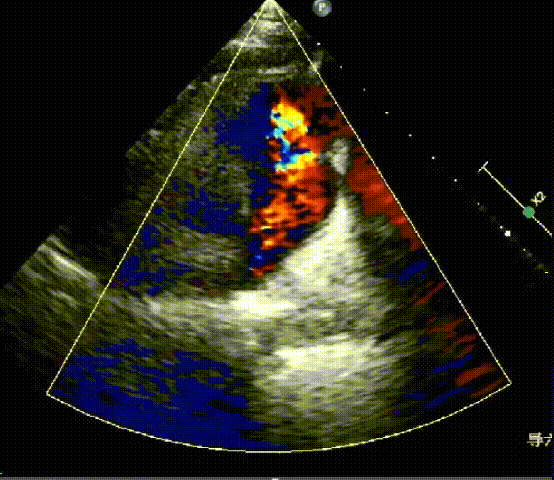
术前心脏超声
先天性心脏病,法洛氏四联症术后,重度肺动脉瓣关闭不全,最大跨瓣压差23mmHg,右室增大。

术前肺动脉CT
肺动脉瓣仅见部分瓣叶结构,主肺动脉(MPA)原窦部可见瘤样扩张,右室流出道(RVOT)结构较MPA明显扩张,整体MPA呈圆筒形。

手术过程
术中肺动脉造影:
重度肺动脉瓣关闭不全,大量返流。

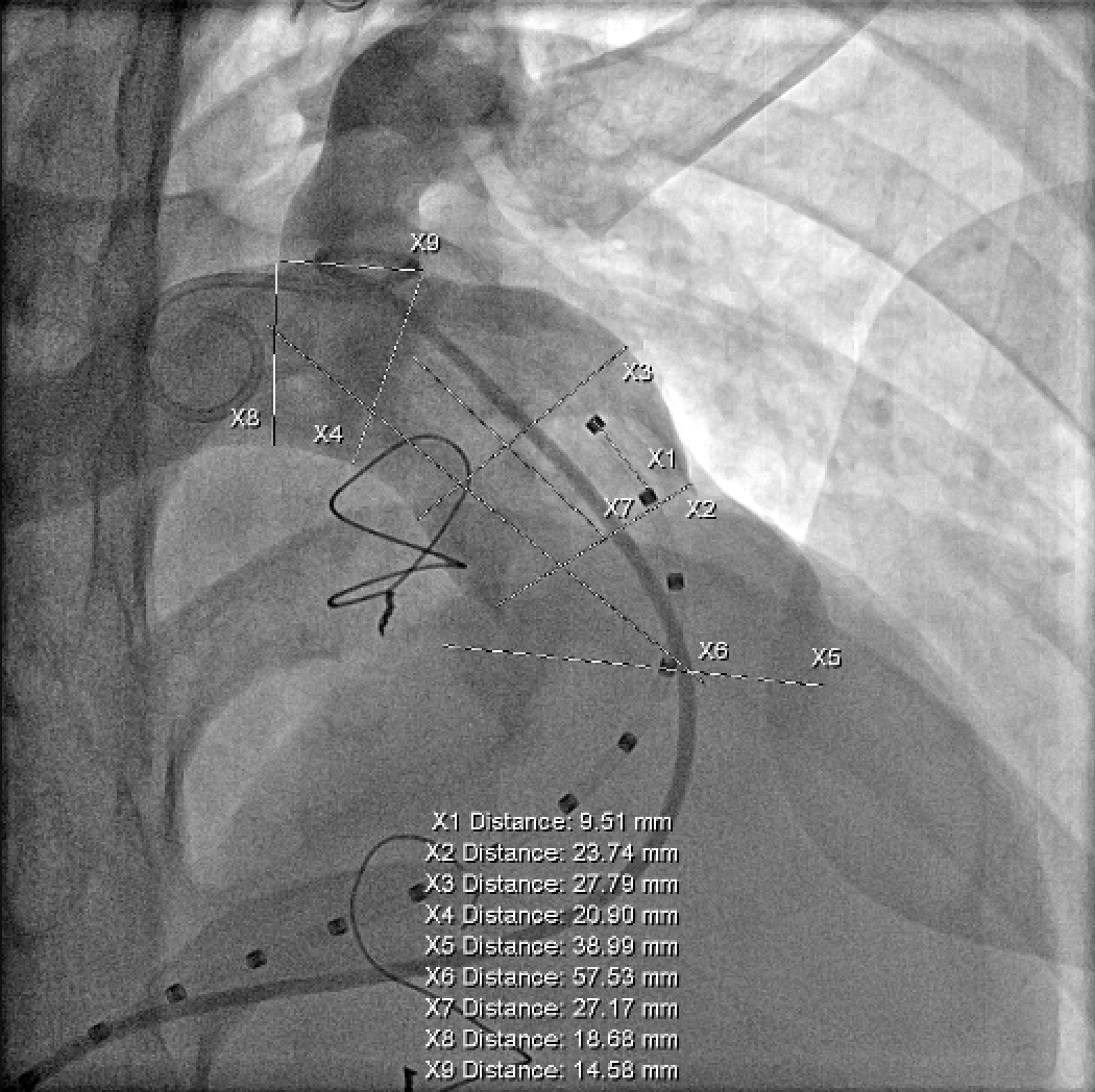
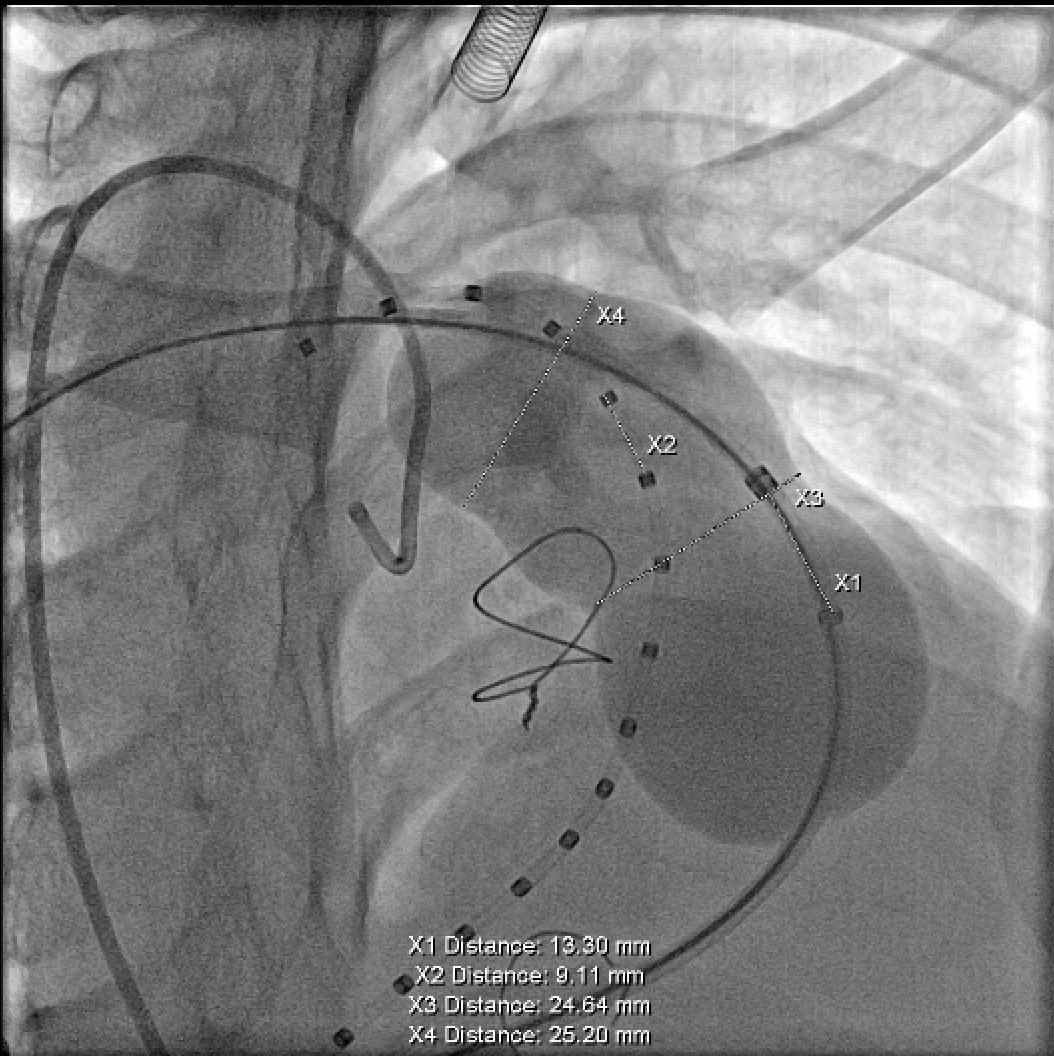
肺动脉造影测量肺动脉内径等参数:

术中球囊压迫试验:
送入超硬导丝建立轨道,送入顺应性球囊,球囊膨胀的同时行左冠状动脉造影,可见冠脉血流通畅,球囊未压迫冠状动脉。

使用顺应性球囊测量肺动脉内径等参数:

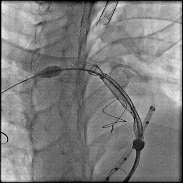
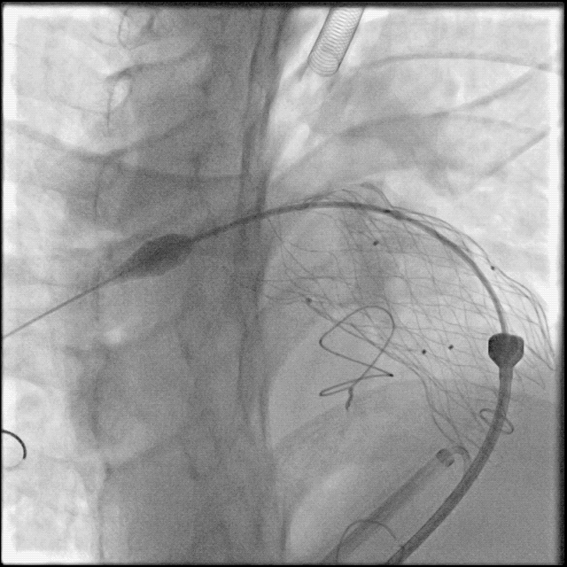
送入输送系统:
根据术前CT、术中造影及球囊测量结果,选择P34-25型号的VenusP-Valve瓣膜,使用圈套器辅助,沿超硬导丝送输送器至肺动脉分叉处。

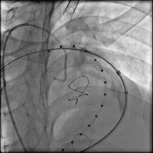
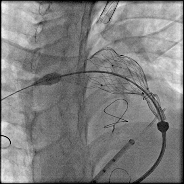
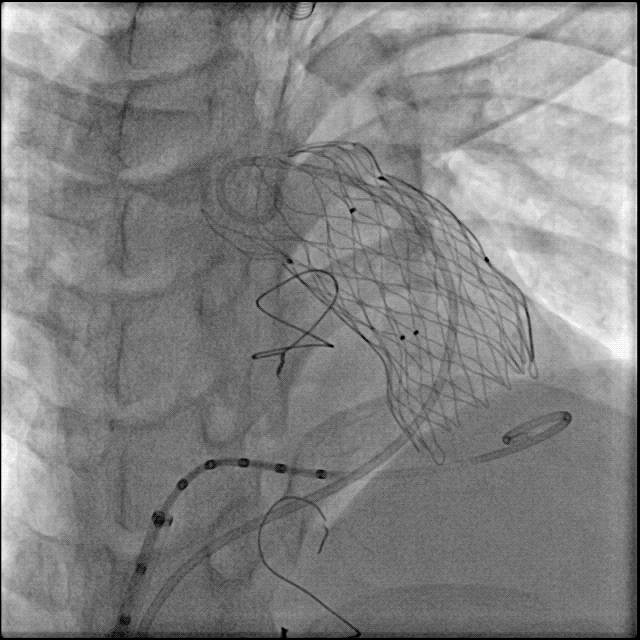
缓慢释放瓣膜,造影确认人工瓣膜起始位置准确:

继续释放瓣膜,反复造影确认人工瓣膜位置准确:

人工瓣膜释放完成,缓慢退出输送器:

造影确认无明显瓣周漏:

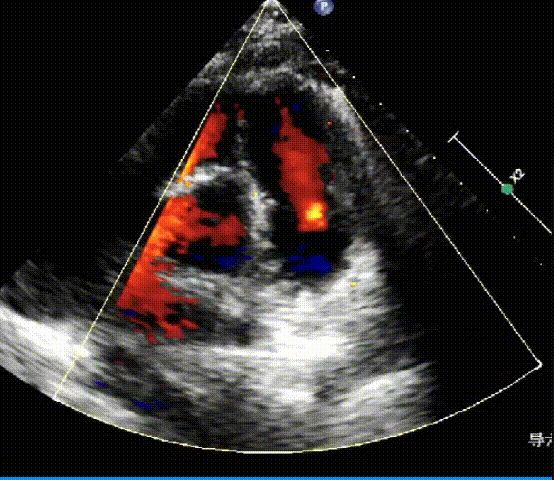
术后心脏超声
人工肺动脉瓣位置及功能正常,无明显关闭不全及瓣周漏。

经导管肺动脉瓣置换术取得圆满成功。
陈良龙教授表示:
肺动脉瓣关闭不全是法洛氏四联症等右室流出道梗阻性复杂先天性心脏病患者在接受外科补片加宽等右室流出道重建手术之后常见并发症,最终出现右心功能不全,表现活动耐力下降、腹胀、纳差、下肢水肿,心律失常,甚至猝死。传统再次开胸外科手术风险大,死亡率高。经导管肺动脉瓣置换术不需再次开胸及体外循环,手术创伤小,恢复快,是该类患者的首选治疗。
方军教授介绍:

专家简介
陈良龙
福建医科大学附属协和医院
方军
福建医科大学附属协和医院

