
高国亮 黑龙江省第二医院
简要病史
患者马某,男67岁,因“心前区疼痛1个月,加重1天”入院。
现病史:患者1个月前因心前区疼痛到当地医院就诊,诊断为“急性下壁心肌梗死”,急诊行冠脉内介入治疗,因冠脉钙化严重,反复尝试支架不能顺利植入右冠脉病变处,单纯行冠脉球囊扩张术后下台。术后患者规律应用抗血小板药物,今日患者再次出现心前区疼痛,休息后症状缓解不佳,急诊由外院转入我院,急诊以“急性冠脉综合征”收入我科。患者病程中体重未见减轻,饮食正常,睡眠正常。
既往史:既往冠心病史10年,2017年因为急性心肌梗死行冠脉内支架治疗。
查体:未见明显阳性体征。
检查结果
辅助检查:心肌酶、肌钙蛋白未见异常,NT-BNP:360pg/ml。
心电图、心脏彩超如下:


临床诊断
急性下壁心肌梗死,
冠状动脉粥样硬化性心脏病。
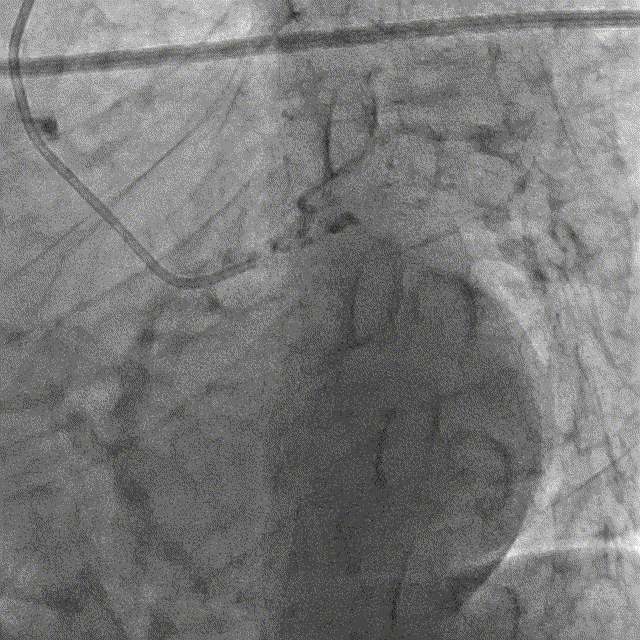
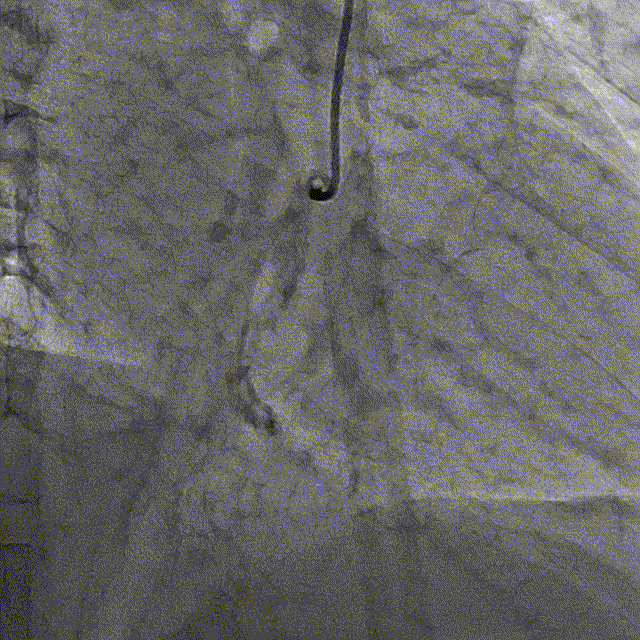
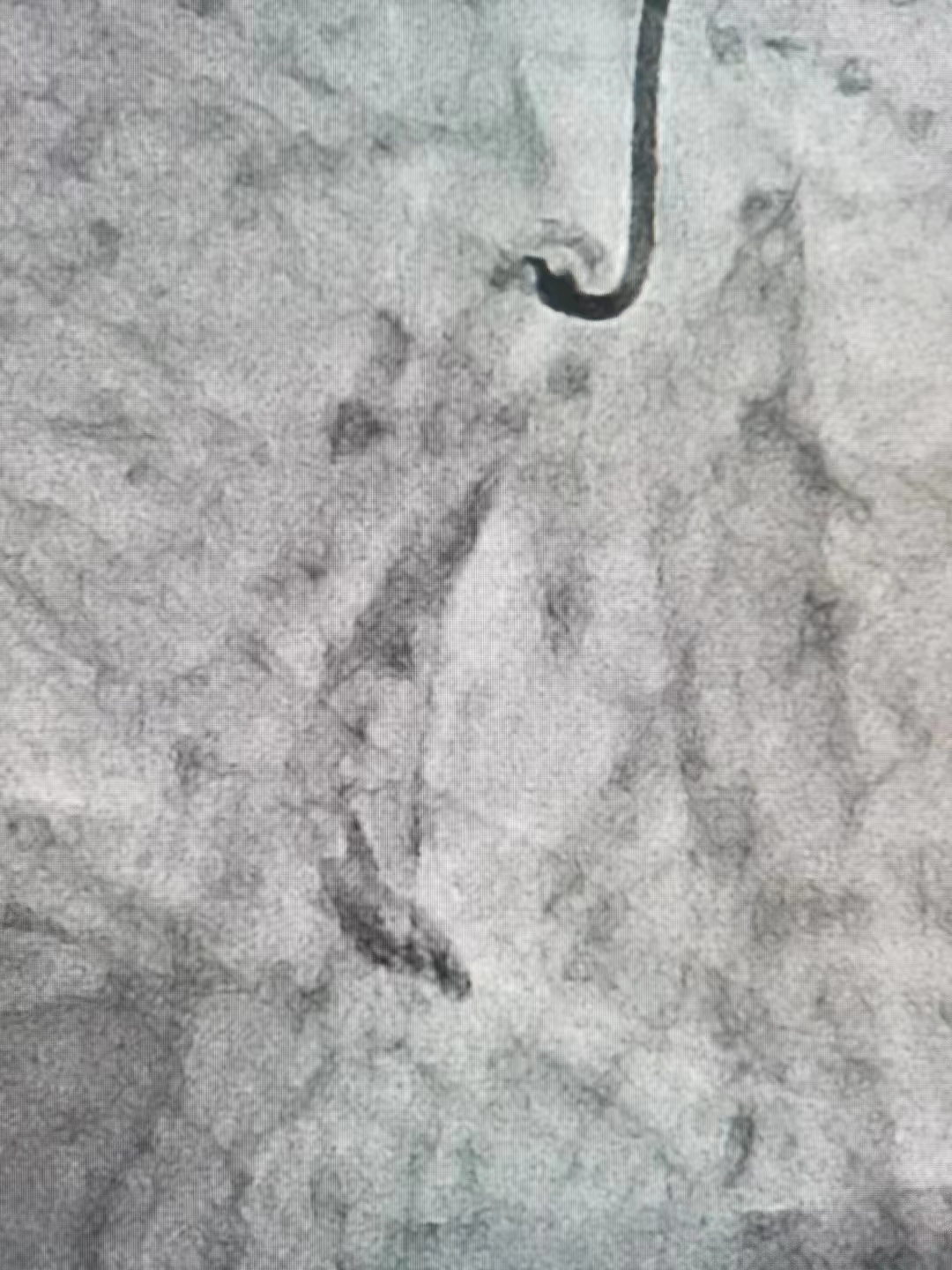
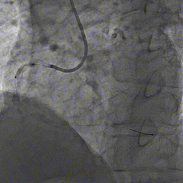
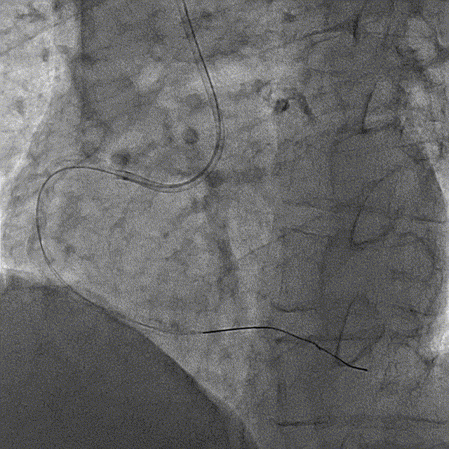
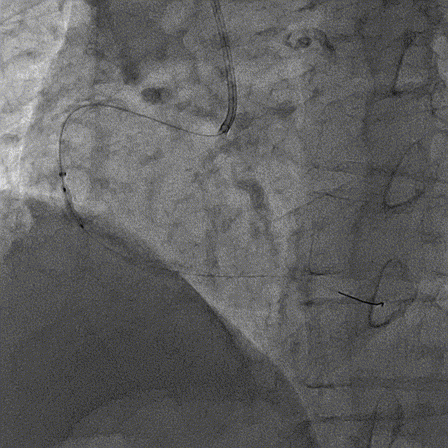
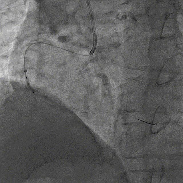
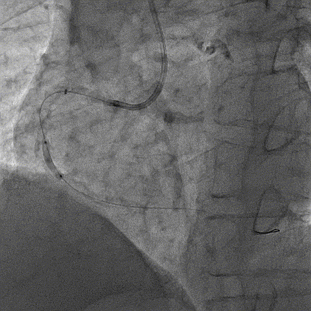
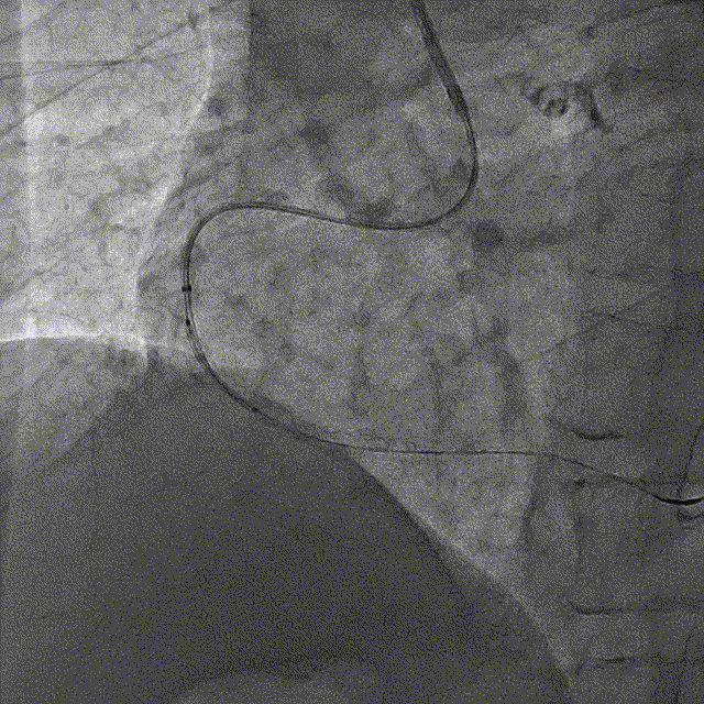
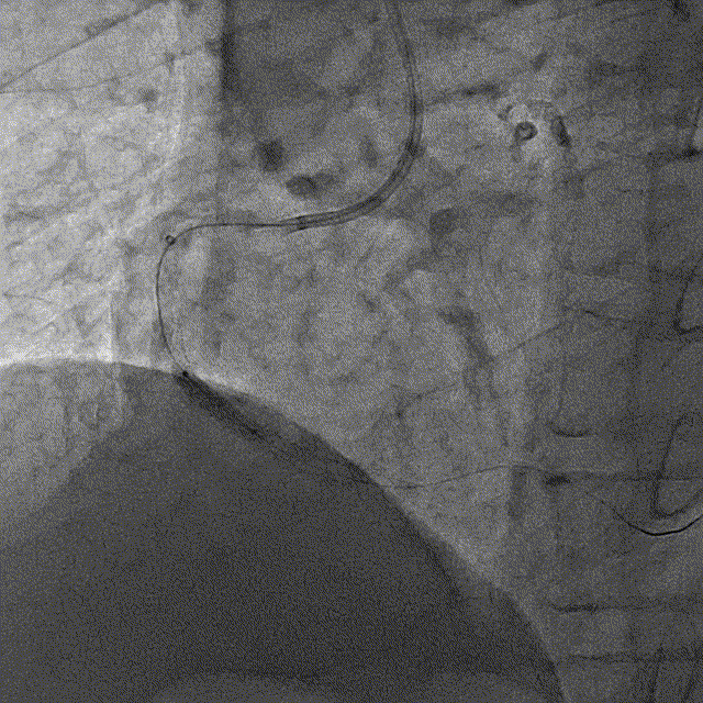
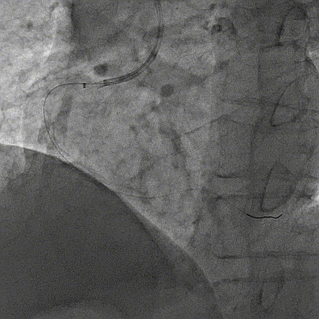
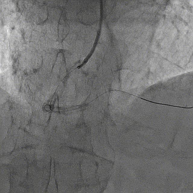
冠脉造影






冠脉造影结果:LM外膜钙化,内膜不光滑,中段狭窄90%,TIMI3级。LCX外膜钙化,内膜不光滑,TIMI3级。RCA外膜钙化,内膜不光滑,近段狭窄80%,中段狭窄90%,可见破损斑块,TIMI3级。




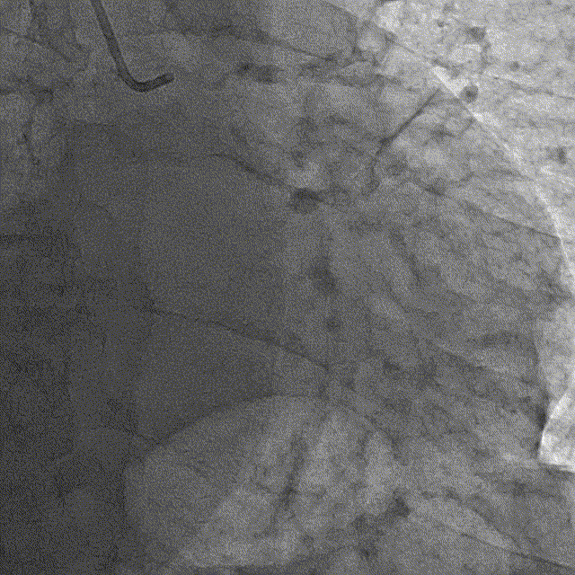
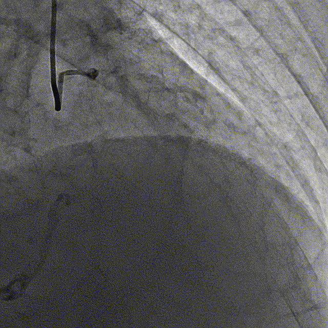
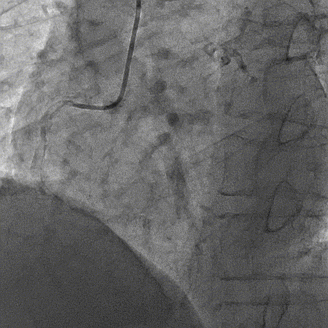
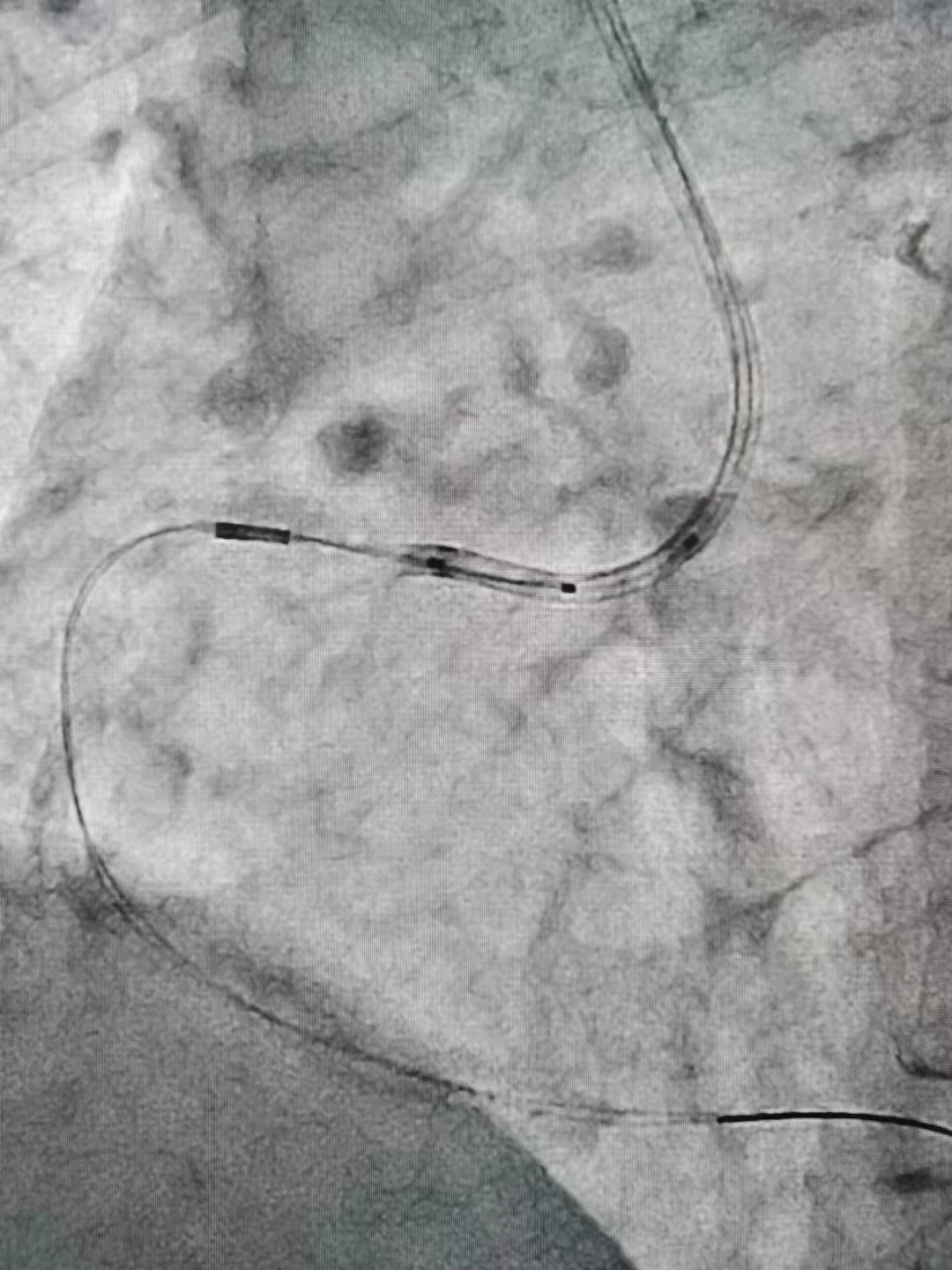
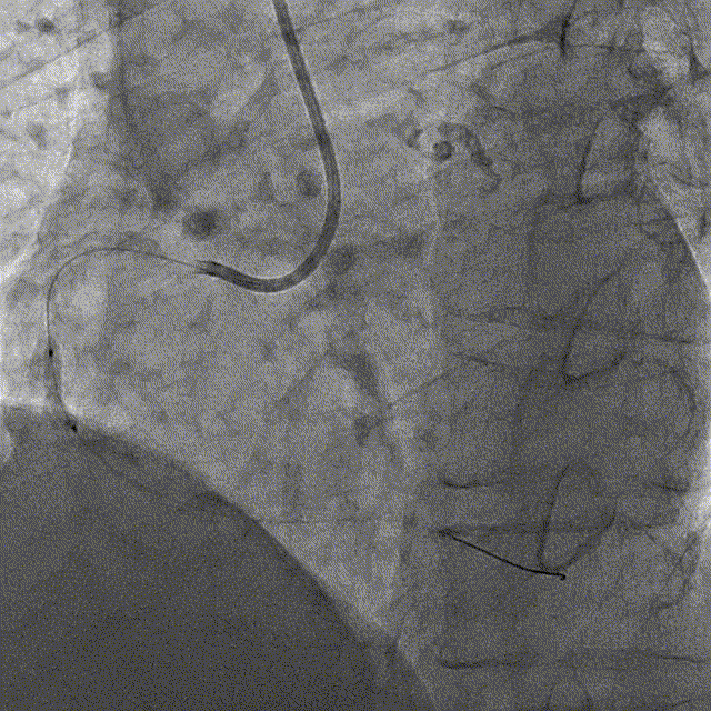
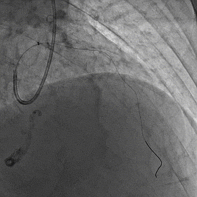
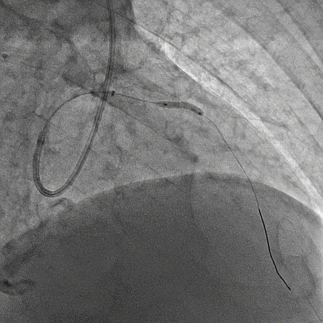
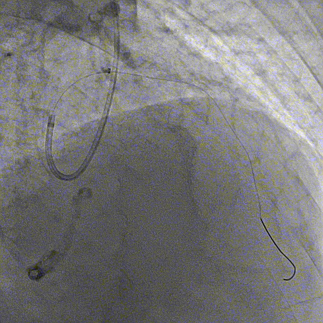
冠脉内介入治疗




















术后心电图

专家介绍
- 高国亮 -
黑龙江省第二医院
主任医师,现任黑龙江省第二医院心内三科、CCU病房及中心导管室负责人,心内三科副主任,持国家卫健委签发的心血管介入诊疗规范化管理准入证,黑龙江省动脉粥样硬化与冠心病专业委员会委员,黑龙江省医师协会高血压专业委员会委员,黑龙江省预防医学会心源性脑卒中预防与控制专业委员会委员;黑龙江省临床药学医疗质量控制中心专家库成员;对心血管内科常见疾病:冠心病、心律失常、心力衰竭、高血压等有独特专长,擅长心血管及周围血管介入诊疗技术,尤其在冠脉介入诊疗领域,特别是急性心肌梗死、不稳定型心绞痛等急性胸痛的介入诊治成绩突出,个人每年独立完成冠脉介入手术百余例,其中包括冠脉内支架植入术、冠状动脉内药物球囊扩张术、心脏永久起搏器安置术、CRTD及ICD植入、下腔静脉滤器植入术、周围血管介入治疗等先进技术。在实践中不断总结经验,撰写的《糖尿病患者经皮冠状动脉介入术后治疗的初步探讨》、《冠脉支架介入治疗急性梗死的疗效观察》、《药物球囊在心肌梗死分叉病变中的效果观察》等多篇论文,在国家级医学期刊发表,产生了一定的影响。从事心血管临床诊疗工作16年余,在不断丰富临床技能与经验的同时,积极开展科研工作,参与的《化学消融治疗肥厚性心肌病》、《抗核磁起搏器的临床应用》、《“拘禁”球囊技术治疗冠脉分叉病变》等课题均获得了不错的成绩。

长按二维码关注“一脉同行”
