西安交通大学第一附属医院应用Shockwave球囊成功治疗冠脉支架内新生钙化病变患者

近日,西安交通大学第一附属医院心血管内科在袁祖贻教授带领下,由郭宁主任医师、罗永百副主任医师及宁菲菲主治医师等组成的冠心病介入治疗团队,成功救治了一位右冠及左主干冠状动脉支架植入术后,再狭窄部位存在严重新生钙化病变的患者,术中应用Shockwave血管内冲击波球囊斑块碎裂术(Intravascular Lithotripsy,IVL)改善局部斑块结构,并通过IVUS进行精准评估,成为国内率先将IVL技术应用到合并冠脉支架内新生钙化病变的医院之一,再次体现了西安交通大学第一附属医院心血管内科的综合治疗水平。

该患者为68岁女性,14年前于当地医院接受冠脉介入治疗,于左主干至前降支、回旋支及右冠状动脉共植入5枚支架,近10天来再次出现劳力性胸痛,于当地医院造影提示右冠中段支架及左主干支架内再狭窄,回旋支支架内闭塞,由于家属拒绝行CABG治疗,当地医院尝试处理右冠支架再狭窄时球囊未能扩张,为求进一步诊治遂转入西安交通大学第一附属医院心血管内科进一步诊治。

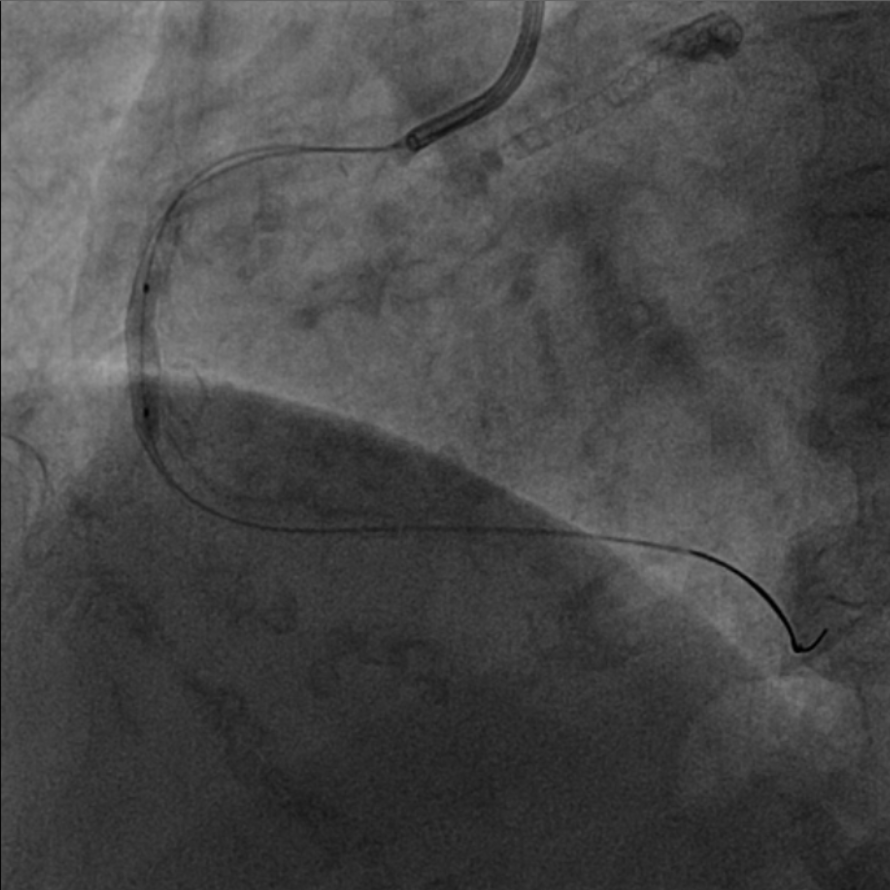
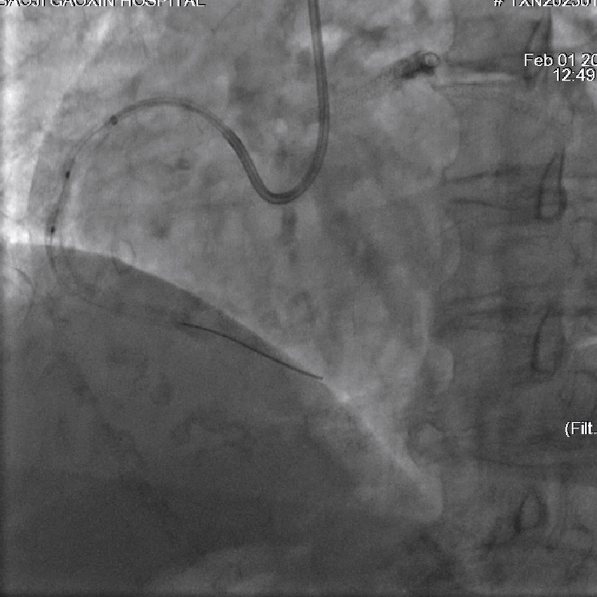
图1 外院手术过程,RCA无法扩张

该患者入院后,完善相关检查并再次建议行CABG治疗,但家属仍拒绝,遂考虑再次行PCI手术干预。冠脉造影提示患者冠脉右冠状动脉中段70-95%再狭窄,左主干末端80%狭窄,前降支原支架中远段 80-95%再狭窄,回旋支完全闭塞,急需手术尽快解决冠脉血流灌注问题,否则随时有生命风险,但患者多处支架内/节段内再狭窄,造影提示钙化明显,外院已尝试无法扩张,经手术团队充分讨论后,计划在IABP支持下,先进行右冠状动脉干预,利用IVUS精准评估原支架再狭窄部位情况,采用旋磨或Shockwave冲击波球囊处理无法扩张的病变部位,右冠处理后择期进行左冠状动脉干预。在制定了详尽的手术计划后,手术团队首先对患者的右冠状动脉行IVUS检查,结果提示该患者右冠中段支架局部膨胀不良,局部支架面积6.67mm²,管腔内多处可见钙化小结及270°以上钙化,IVUS钙化积分达3分。由于膨胀不良处原支架后方可见钙化斑块,常规旋磨效果不佳,对于此类钙化病变,IVL处理是最佳方案。手术团队对近端采取棘突球囊及高压球囊进行扩张,采用Guidezilla辅助下输送3.0mmx12mm Shockwave冲击波球囊于右冠钙化处进行冲击波钙化斑块碎裂术,通过IVUS证实支架内的新生钙化病变得到松解,原膨胀不良部位支架面积达到7.76mm²,后经过高压球囊充分预处理,顺利完成右冠支架植入,术后复查右冠原膨胀不良部位支架面积9.17mm²。

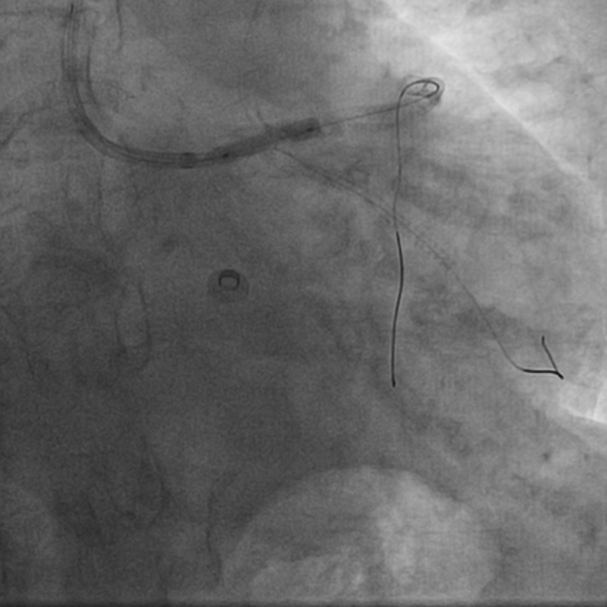
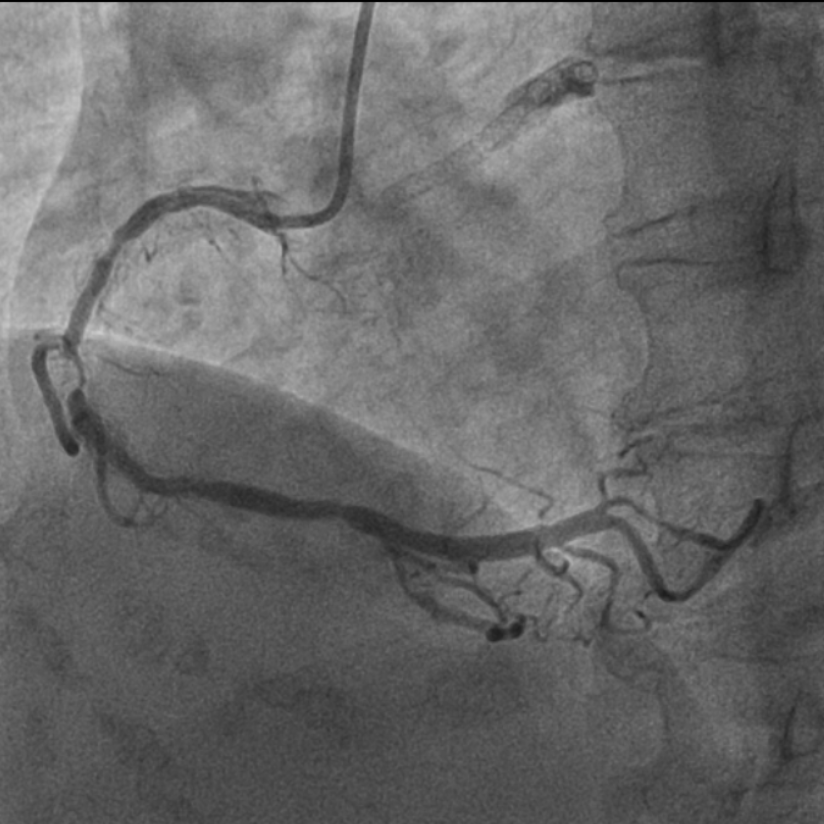
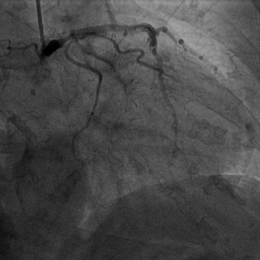
图2 术前造影提示多处再狭窄,冠脉钙化明显

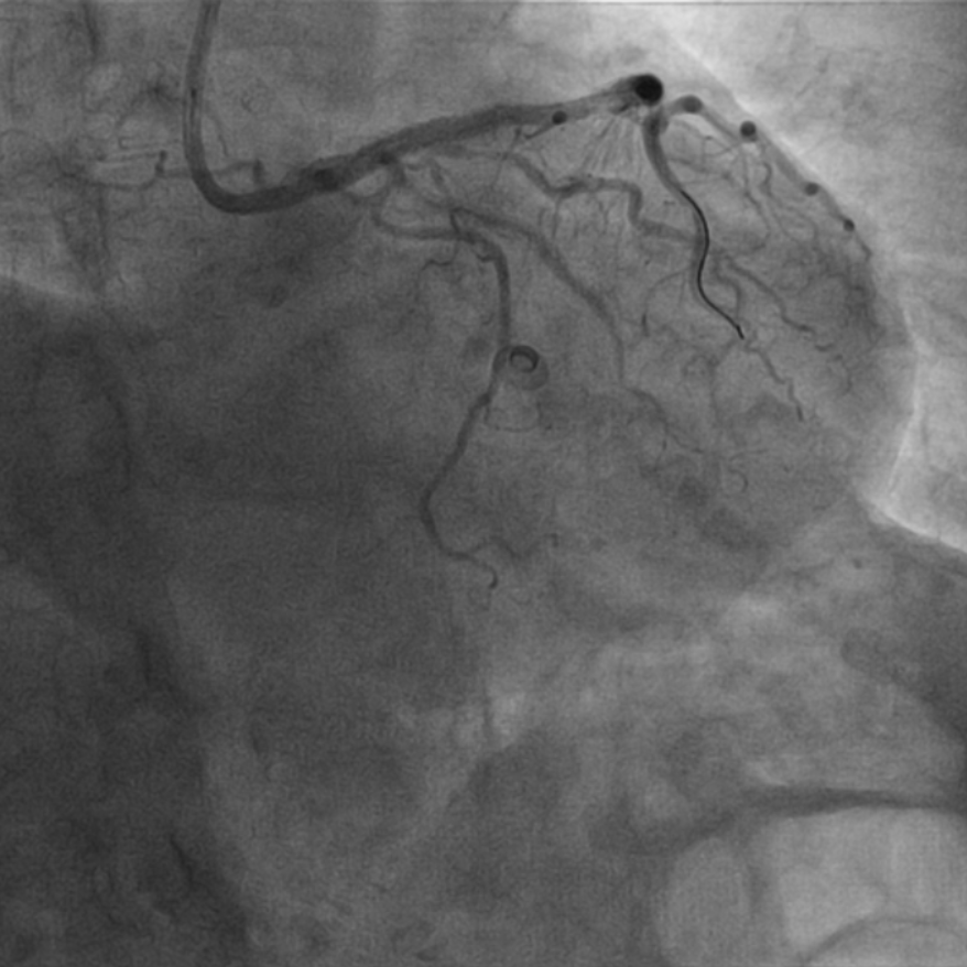
图3 IVUS示右冠中段支架膨胀不良,支架内多处可见新生钙化病变

图4 3.0 Shockwave处理后可见钙化断裂 高压球囊验证膨胀良好

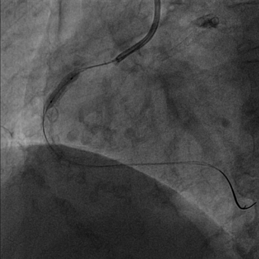
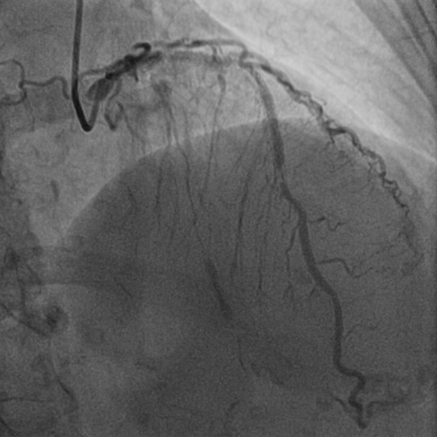
图5 术后造影及IVUS检查提示支架膨胀良好    

2天后再次干预患者左冠状动脉,首先开通回旋支并进行球囊扩张,采用IVUS进行前降支至左主干支架评估,IVUS提示左主干末端原支架内可见新生环状钙化病变,采用3.0x12mm Shockwave预处理后可见钙化断裂,并再次经高压球囊预处理,于前降支至左主干植入支架,术后造影及IVUS均提示支架膨胀良好,左主干MSA 9.96mm²。患者经介入干预后,胸痛症状较前明显缓解,体力活动较前恢复。

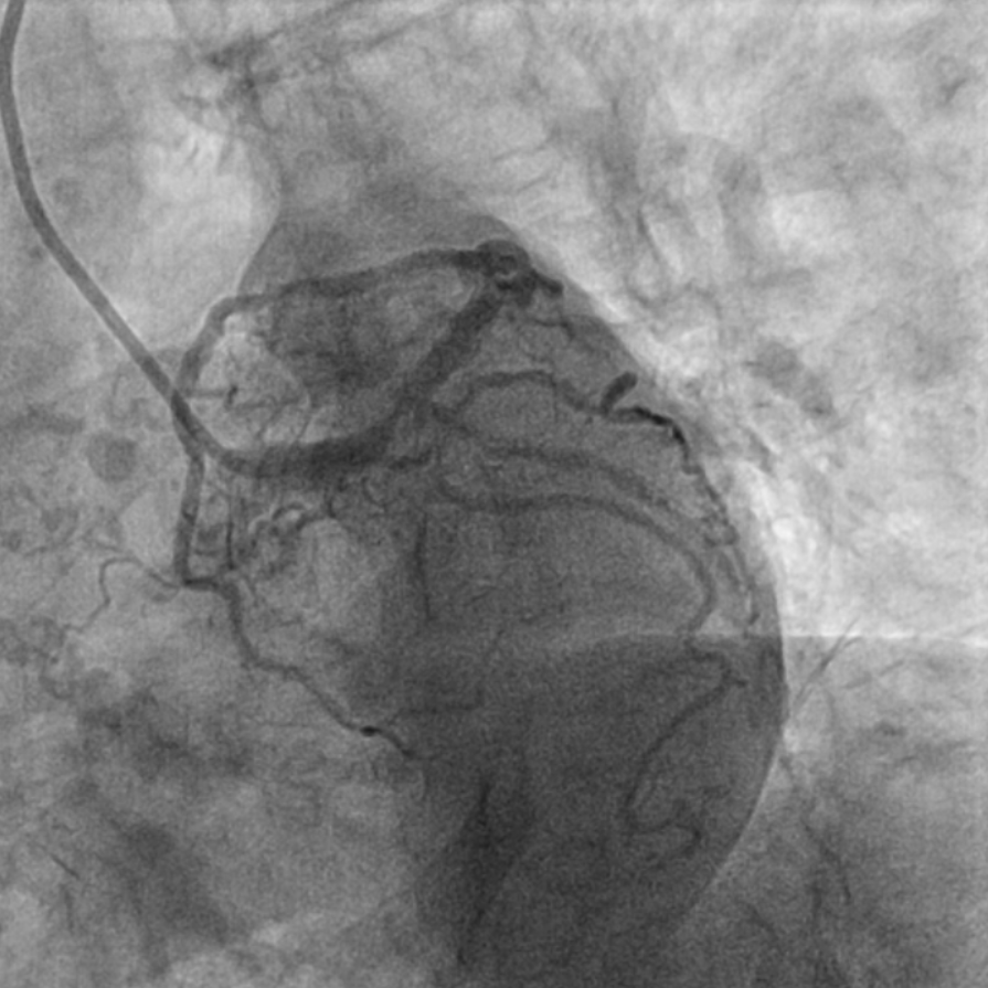
图6

冠脉支架植入术是目前治疗冠心病的重要方法之一,在过去40年中,PCI取得了显著进展。裸金属支架可降低血管突然闭塞、冠状动脉夹层、血管收缩性重塑等发生率,从而克服普通球囊血管成形术的局限。但裸金属支架植入后,由于成纤维细胞增殖和新生内膜形成,支架再狭窄(in stent restenosis,ISR)的发生率较高,DES抗增殖药物的释放可抑制新生内膜的过度形成,减少 ISR的发生,降低不良心血管事件发生率,改善患者预后, 但仍然存在ISR和ST等严重晚期并发症,随着时间的推移,各代 DES中靶病变血运重建的累积发生率仍在增加。 

支架内再狭窄的发生机制较为复杂,包括患者相关或生物因素、手术因素、解剖因素和支架因素。冠状动脉钙化导致血管高阻力,对血管扩张的反应较差,增加了冠状动脉介入(PCI)的难度和风险,也是导致支架血栓形成和再狭窄等不良结果的主要因素。金属裸支架时代的再狭窄多表现为平滑肌细胞及新生内膜形成,而由于抗增殖药物及聚合物的存在,植入药物涂层支架的患者血管炎症状态更明显,大量富脂的泡沫状巨噬细胞在支架段新生内膜下聚集,可伴有坏死核、钙化、血栓的发生,从而导致部分患者出现支架内新生动脉粥样硬化(in stent neoatherosclerosis,ISNA)形成。与BMS相比,DES中 ISNA发生的频率更高、时间更早,且ISNA发生率随时间推移而升高。与传统的动脉粥样硬化类似,ISNA也可能会出现钙化病变形成,从而进一步增加了ISR的处理难度。既往对于此类病变,往往采用超高压球囊、棘突/切割球囊、冠状动脉旋磨或激光消融等方式进行处理。但针对冠脉支架内新生钙化病变,现有的治疗方式均存在一定的局限性。Shockwave冲击波球囊技术则提供了新的治疗选择,可通过声压力波,选择性作用于钙化病灶,将钙化病变震裂,使血管恢复弹性,为后续药物支架的置入提供更理想的管腔,安全性较高,同时可以缩减手术时间,提高手术效率,降低风险。

手术团队术中IVUS精准评估患者的冠脉结构,进一步明确ISR的发生机制及无法扩张的原因,大胆采用Shockwave血管内冲击波球囊改善局部钙化分布,最终取得良好的效果,再次体现了西安交通大学第一附属医院心血管内科针对复杂、高危且有血运重建指征患者(Complex Higher risk Indicated Patients,CHIP)的介入治疗水平。

专家简介

郭宁

西安交通大学第一附属医院

向上滑动阅览

主任医师,医学博士,硕士生导师,美国哥伦比亚大学医学中心及美国心血管研究基金会访问学者,美国心脏病学院(FACC)及欧洲心脏病学会(FESC)专家会员。现任西安交通大学医学院第一附属医院心内科副主任,四病区主任。主要研究方向为冠心病的临床与基础研究,尤其是冠心病的腔内影像学及生理学研究,为卫健委及中国医师协会冠心病介入培训导师。兼任中华医学会心血管病学分会冠脉腔内影像及生理学学组委员,中国医疗保健国际交流促进会心血管疾病预防与治疗分会常务委员,中华医学会心血管病学分会青年委员,中华医学会心血管病学分会心血管病影像学组委员,中国医师协会重症医学分会心脏重症专家委员会委员,中国医师协会心血管内科医师分会国际交流工作委员会委员,中华医学会陕西省心血管病学分会委员兼秘书,卫生部冠心病介入培训导师,陕西省医学会心血管内科分会委员兼秘书等。Circulation中文版、European Heart Journal Cardiovascular Imaging中文版、ESC Cardiovascular中文版及Cardiology Plus杂志编委。为国际与国内多个会议的faculty成员,近5年来多次受邀请在国际、国内学术会议上大会发言,包括ACC(美国)、TCT(美国)、C3(美国)、ENCORE(韩国)、以及国内的CHC、CIT、介入论坛、东方会、长城会等。主持及参与国家自然科学基金项目3项,陕西省科技攻关项目3项,国际与国内多中心临床研究10余项。发表文章20余篇,最高影响因子14.429分(Circulation)。参编专著7部。

罗永百

西安交通大学第一附属医院

医学硕士,副主任医师。毕业于西安交通大学,主要研究方向为冠心病介入治疗及冠脉腔内影像学。现任中华医学会冠心病与动脉粥样硬化学组秘书,陕西省保健学会高血压学组委员、陕西省心血管介入质控中心秘书、西安医学会心血管病分会委员。从事心血管内科疾病诊疗十余年,对本专业的常见病、多发病等以及急重症等疾病的诊断和治疗有扎实的基础知识和丰富的临床实践经验,累计完成冠脉介入治疗手术4000余例,擅长复杂危重冠脉手术治疗。参编有《冠状动脉超声》、《冠状动脉腔内影像学》等专业著作。参与多项国家自然科学基金及陕西省自然科学基金工作,获陕西省科学技术进步奖二等奖。

宁菲菲

西安交通大学第一附属医院

医学博士,助理研究员、主治医师。毕业于西安交通大学,博士期间在英国剑桥大学学校访问。主要研究方向为心律失常及离子通道疾病。擅长心血冠危重患者的诊疗,主要从事冠心病、心力衰竭、心律失常患者的的长期管理工作。发表学术论文10余篇,主持省级自然科学基金一项,参与国家自然科学基金项目多项。

阅读数: 3277