3月3日,西安交通大学第一附属医院(西安交大一附院)心外科闫炀教授团队应用J-Valve,一日内连续完成3例TAVR。其中,第一例患者具有较高的冠脉遮挡风险;第二例患者为横位心,心室角度68°;第三例患者右冠重度狭窄,食管胃结合部恶性肿瘤。三例患者病情均较复杂,手术具有挑战性,经过充分的术前准备,团队紧密协作,凭借娴熟的操作及丰富的经验,顺利完成手术。术后三例患者冠脉及瓣膜功能恢复良好,无并发症发生,患者症状得到显著改善。

病例一:冠脉遮挡风险
病史简介
患者为68岁女性,主诉突发胸闷4月。
入院心电图显示窦性心律,超声提示升主动脉及主动脉窦部增宽、主动脉瓣中度关闭不全;左室增大、左室舒张功能减低;心包积液(少量);EF 70%。
入院诊断:主动脉瓣关闭不全;心功能III级;升主动脉扩张;左室扩大;心包积液;高血压3级(很高危);骨质疏松。
CT分析
患者主动脉瓣三叶式,瓣叶基本等大,瓣叶不厚,瓣叶未见明显钙化。主动脉瓣环周长折算直径约24.6mm:

左侧冠脉开口高度低,LCA 9.8mm,左冠瓣瓣叶长度约12.8mm;右侧冠脉开口高度可,RCA 14.3mm:


术中建议造影角度RAO 7°,CAU 14°(其它参考角度如下图):

升主动脉瘤样扩张,最大径53.9mm,窦管交界增宽:

主动脉弓、降主动脉及双侧髂总动脉见多发钙化;胸主动脉迂曲;心室角度57°:

手术步骤
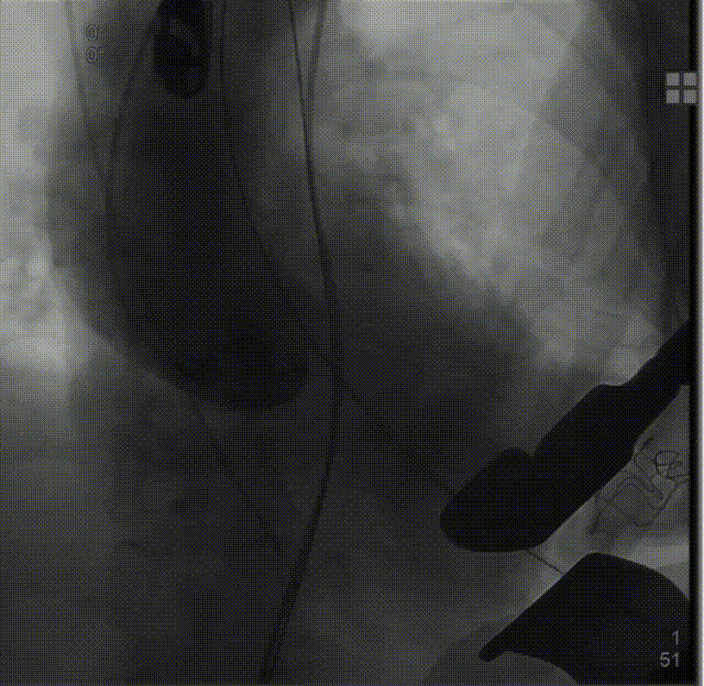
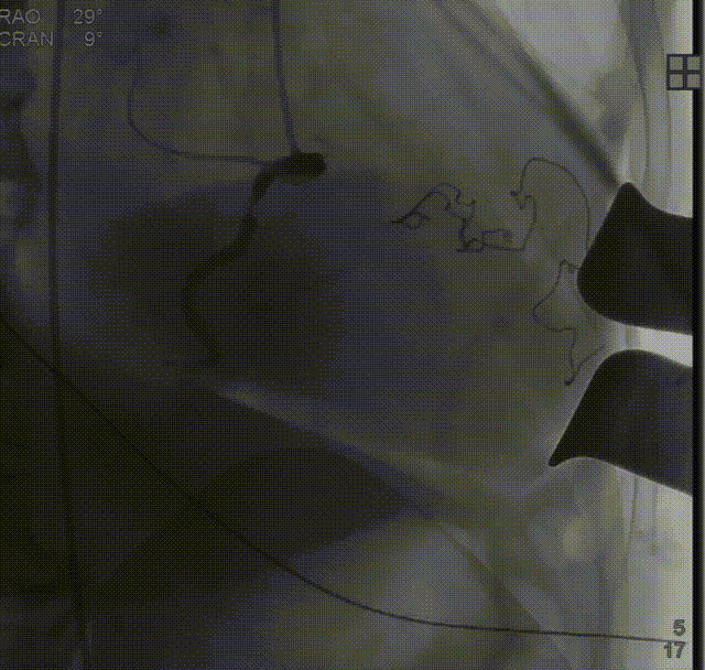
经股动脉送入猪尾导管,行根部造影:

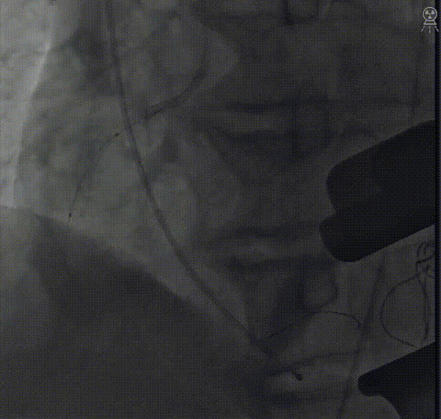
定位件入窦后造影:

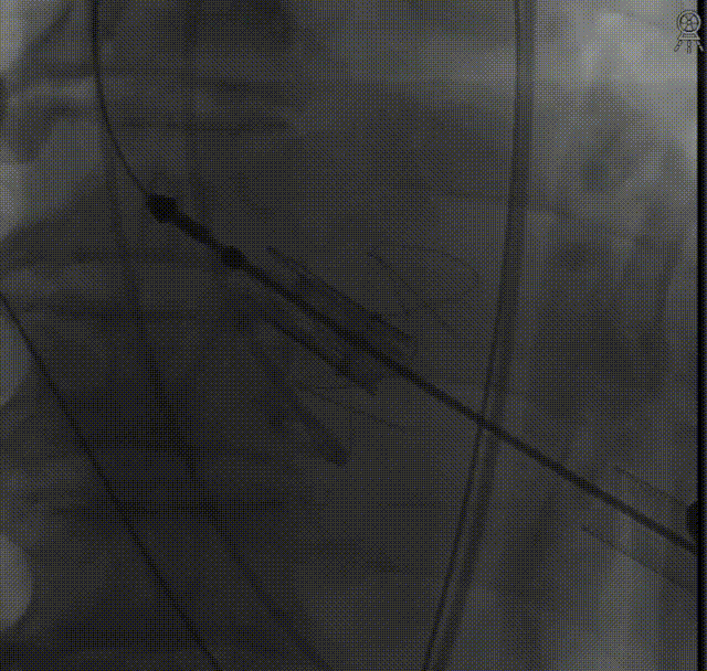
降落瓣膜件,完成释放:

复查根部造影,未见明显反流:

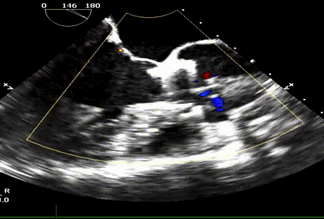
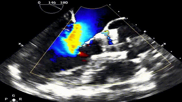
食道超声显示瓣架圆形展开,位置合适,未见显著反流:


仔细止血,逐层关胸,闭合外周入路,手术顺利完成。
病例二:横位心
病史简介
患者为71岁男性,因间断胸痛、心慌2年余,加重5月入院。
入院心电图显示窦性心律、左前分支阻滞、室性早搏;超声提示主动脉瓣轻度狭窄并重度关闭不全;左室增大;升主动脉增宽;左室壁均匀性增厚;左室舒缓功能减低。
入院诊断:非风湿性主动脉瓣狹窄伴关闭不全;心功能III级;左室扩大;升主动脉扩张;冠状动脉支架植入术后状态;高血压3级(很高危);2型糖尿病;多发腔隙性脑梗死;脑萎缩。
CT分析
患者主动脉瓣三叶式,瓣叶基本等大,瓣叶稍厚,右无冠瓣瓣叶游离缘轻度钙化,瓣叶交界钙化有融合;主动脉瓣环周长折算直径约29.0mm:


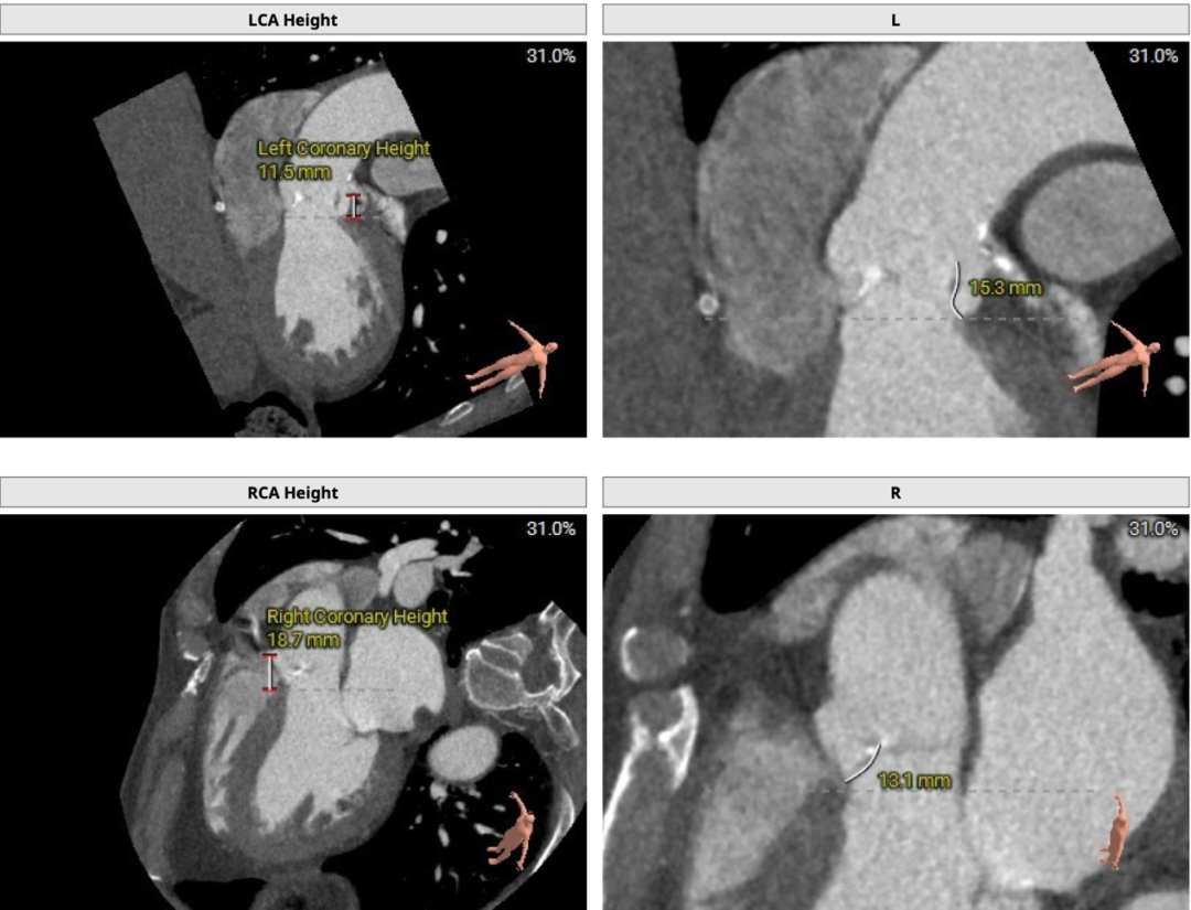
双侧冠脉开口高度可,LCA 11.5mm, RCA 18.7mm;右冠、左冠及分支轻度钙化:

术中建议造影角度LAO 4°,CAU 6°(其它考角度如下图):

横位心,心室角度68°:

主动脉弓、腹主动脉及双侧髂总动脉见多发钙化:

手术步骤
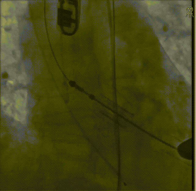
穿刺心尖,导丝跨瓣:

主动脉根部造影:

定位件入窦后造影:

降瓣至窦部:

完成瓣膜释放:

复查根部造影,未见明显反流:

台上复查食道超声,瓣架圆形展开,启闭良好:

关闭入路,缝合切口,手术顺利结束。
病例三:恶性肿瘤+同期PCI
病史简介
患者为83岁男性,因进食后哽咽不适入院。
心动超声提示:主动脉瓣重度关闭不全,左心增大、升主动脉及主动脉窦部增宽;左室舒张功能减低。
入院诊断:食管胃结合部恶性肿瘤;高血压3级(高危);心律失常;主动脉瓣重度关闭不全。
CT分析
患者主动脉瓣三叶式,瓣叶基本等大,瓣叶不厚,瓣叶未见明显钙化;主动脉瓣环周长折算直径约26.8mm:


双侧冠脉开口高度可,LCA 13.2mm,RCA 20.6mm:

术中建议造影角度LAO 3°,CAU 13°:

心室角度48°,入路角度146°:

手术步骤
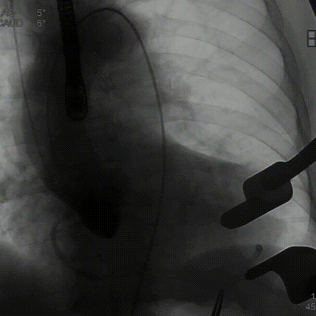
右冠造影,显示近段重度狭窄:

左冠造影未见明显狭窄:

于右冠植入冠脉支架一枚,冠脉血流通畅:


定位件入窦后造影:

降落瓣膜件:

140bpm快速起搏下释放瓣膜:

复查根部造影,未见明显反流:

食道超声瓣架位置正确,启闭良好,未见明显瓣周漏:


关闭入路,缝合切口,手术顺利结束。
本次手术中三例患者病情复杂,为手术带来多重风险和难度,闫炀教授团队迎难而上,一日内完成三例挑战。术前团队根据患者各项评估,因症施治,制定了个性化手术策略,在J-Valve瓣膜助力下顺利完成手术,患者症状得到明显改善。
此次手术的顺利完成,体现了闫炀教授团队日益精进的专业技艺和应对复杂病例的能力,团队在微创心脏瓣膜病、大血管疾病、体外生命支持、终末期心衰治疗等多个领域孜孜以求,实现多项突破。未来,团队将继续勠力同心,为本地区广大患者带来更优质、高效的医疗服务。
专家简介
闫炀
西安交通大学第一附属医院
向上滑动阅览
