2023年2月27日,空军军医大学西京医院心外科杨剑教授、刘洋教授、孟欣教授率领多学科团队,应用上海纽脉医疗科技股份有限公司(以下简称“纽脉医疗”)自主研发的Valveclip-M®经导管二尖瓣修复系统(以下简称“Valveclip-M®”),为一名重度退行性二尖瓣反流、外科手术高危患者成功实施了经导管二尖瓣缘对缘修复术(TMVR)。此次手术的顺利完成,标志着Valveclip-M®多中心确证性临床研究正式在西北地区开展患者植入。

患者情况
患者男性,63岁,主诉间歇性心悸5年,加重3月。门诊以“二尖瓣关闭不全”收入西京医院。术前超声提示:二尖瓣关闭不全,前叶26mm,后叶22mm,二尖瓣腱索断裂,后叶P1区及部分P2区脱垂,脱垂高度9mm,脱垂宽度15mm,舒张期瓣口面积约6.8cm²,反流束位置位于1区偏2区,Carpentier分型Ⅱ型,心功能Ⅳ级(NYHA分级)。

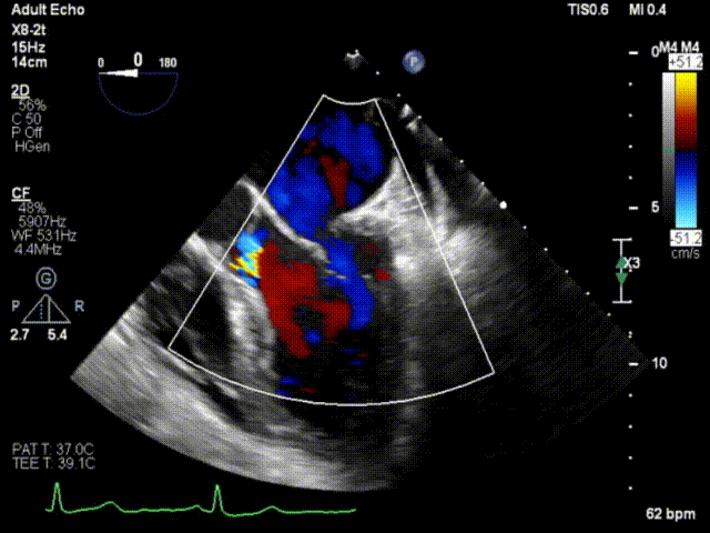
术前超声心动图1

术前超声心动图2
手术过程
经西京医院心脏团队评估,并使用3D打印技术模拟二尖瓣夹合器及输送系统植入过程,确认穿刺点高度,决定使用Valveclip-M®经导管二尖瓣修复系统大规格夹合器实施经导管二尖瓣缘对缘修复术(TMVR)。
手术运用DSA与三维经食道超声心动图监测,通过患者股静脉穿刺房间隔途径建立夹合器输送轨道,将夹合器送进左心房,借助夹合器输送系统通过病变的二尖瓣部位,在心脏不停跳的状态下快速完成二尖瓣脱垂瓣叶的破获和夹合,夹合位置满意,超声提示反流降至1+,遂释放夹合器,反流最终程度为1+,结束手术,手术过程耗时一小时左右。

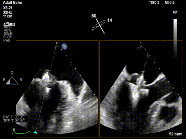
术中瓣叶捕获

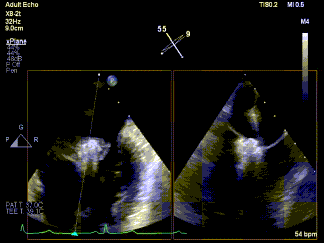
释放夹子

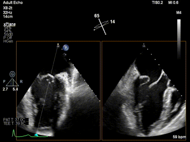
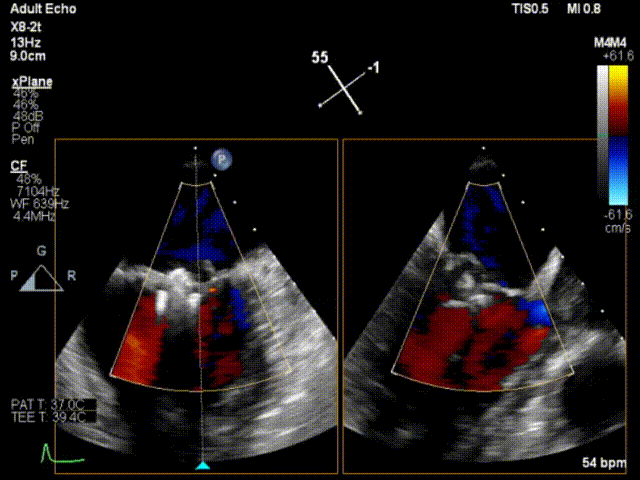
术后即刻超声心动图

术后即刻超声3D
纽脉医疗的Valveclip-M®系统是一款针对高危二尖瓣反流患者研发的经股静脉入路的缘对缘修复器械。该产品经股静脉入路,房间隔穿刺后到达左心房,通过操控输送器,实现夹合器的精确定位和夹合。应用Valveclip-M®系统的手术,术中无需体外循环,术后患者恢复较快,这为很多高危高龄患者及无法进行开胸手术的患者提供了新的安全、有效的治疗手段选择。本例应用Valveclip-M®系统的手术取得了良好的术后效果,患者二尖瓣反流量显著减少,症状明显减轻,目前已康复出院。
Valveclip-M®系统已于2021年7月获准进入创新医疗器械特别审查程序,即“绿色通道”。
目前,Valveclip-M®系统正全面推进多中心注册临床研究进程,该产品有望在不久的将来获证上市,造福广大二尖瓣反流患者。
关于纽脉
纽脉医疗自2015年成立以来,一直专注于国际先进水平的介入人工心脏瓣膜系统的研发与产业化。公司的产品线涵盖二尖瓣、主动脉瓣、肺动脉瓣、三尖瓣,是国内布局瓣膜介入治疗产品线最广的企业之一。以创新作为第一驱动力,纽脉医疗自主开发并完善了国内领先的研发技术平台,目前已申请300余项国内外专利,有三个在研产品获NMPA认可为符合特别审查资格的创新医疗器械,多个核心主要产品正在临床试验中。
专家简介
杨剑
空军军医大学西京医院
刘洋
空军军医大学西京医院
孟欣
空军军医大学西京医院


