近日,首都医科大学附属北京安贞医院心外科瓣膜中心在纪智礼书记和张宏家院长大力支持下,由心脏外科瓣膜中心张海波教授团队应用J-Valve为一名主动脉瓣生物瓣膜置换术后以及二尖瓣生物瓣膜置换术后患者同时完成TAVR和TMVR。
病例特点:双瓣生物瓣毁损,加上严重红细胞破坏溶血的老年病例。经过科室王坚刚主任、王盛宇主任,以及郑帅、孟斐、李岳环、沈经纶、吴凯盛、周佳卫等医生多次讨论,认为该患者年老体弱,溶血数月,饮食和睡眠很差,经过协和医院等多家大三甲医院血液科检查,排除血液病,诊断为生物瓣毁损相关的溶血。常规再次开胸体外循环双瓣置换手术创伤很大,患者难以承受。计划进行心尖穿刺途径,一个穿刺点,心脏跳动下完成双生物瓣介入瓣中瓣手术,另外双瓣均计划进行非顺应强力球囊后扩张,以增加塑型和避免遗漏微小瓣周漏。
病史简介
73岁老年体弱男性,主诉血尿3月,间断胸闷4个月。诊断:主动脉瓣生物瓣膜置换术后,主动脉瓣狭窄。二尖瓣生物瓣膜置换术后,二尖瓣关闭不全。合并重度贫血,多次输血情况下血红蛋白仍然只有6克。既往曾在2012年行双瓣置换术。有输血史。
心脏超声:主动脉瓣开放受限。二尖瓣可见瓣叶脱向左房侧,一侧瓣叶根部可见2.2mm回声中断,可见血流信号穿过。CDFI:二尖瓣房侧见多束中大量偏心性反流信号,最大S=8.3cm²,CW:主动脉瓣最大流速:520cm/s,最大压差108mmHg,平均压差:61mmHg,估测AVA:0.37cm²。超声诊断主动脉瓣重度狭窄,二尖瓣狭窄并重度关闭不全。
CT分析
主动脉瓣:患者主动脉瓣生物瓣置换术后,原生物瓣品牌似St.Jude,生物瓣环显示欠清,呈不规则细丝状。瓣环内径18.3mm,瓣环外径20.7mm:


开口面积142.7mm²和瓣架高度10.3mm:


LCA开口高度:8.9mm,RCA开口高度:13.8mm:


流出道:24.9mm,窦管交界:30.5mm,升主动脉:40.3mm:



投照角度(LAO 14,CRA 1)、左室二尖瓣轴线角度(121度)和入路角度(153度):



二尖瓣:患者二尖瓣生物瓣换瓣术后:原生物瓣似为St.Jude,生物瓣金属环平均内径25.4mm,外径27.7mm,瓣架高度12.6mm:


开口面积272.8mm²、瓣架高度12.6mm和入路角度160°:



双侧髂总动脉轻-中度钙化。
手术策略
手术预案:患者重度贫血,可能跟二尖瓣生物瓣叶小漏或者新发生细小瓣周漏有关。除了介入瓣中瓣技术之外,主动脉瓣和二尖瓣均备有非顺应Gold Atlas强力球囊,计划进行后扩张,除了有利于介入瓣塑性和扩大瓣口面积之外,还可以把原有生物瓣环扩大挤压消除微小瓣周漏。还要备体外循环。
瓣膜型号选择:主动脉瓣21#,二尖瓣27#。
球囊选择和扩张策略:主动脉瓣后扩非顺应Gold Atlas强力球囊20#。二尖瓣后扩非顺应Gold Atlas强力球囊26#。
手术步骤

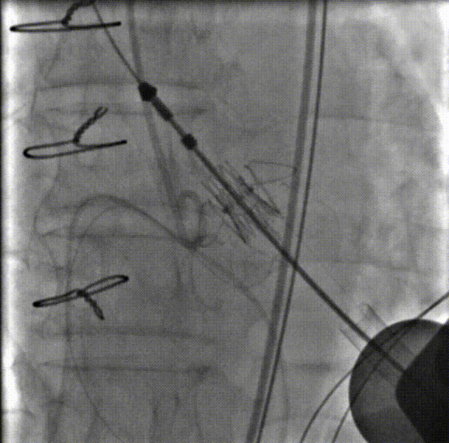
术前造影

瓣膜仓入位

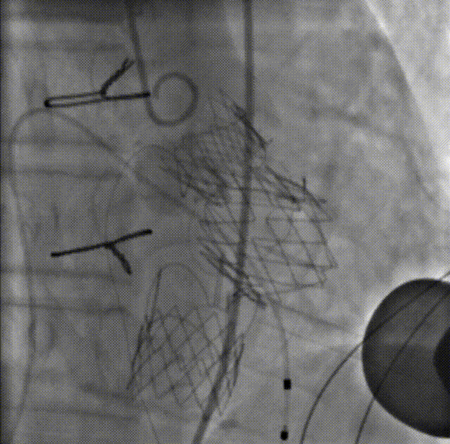
瓣膜仓打开

锁丝释放

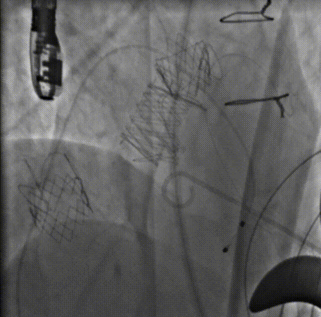
第一个主动脉瓣锁丝释放后,瓣膜脱落进入主动脉。球囊拖瓣膜至降主动脉

二次瓣膜仓入位

瓣膜打开

球囊后扩

二尖瓣入位

球囊后扩

主瓣造影

左室造影
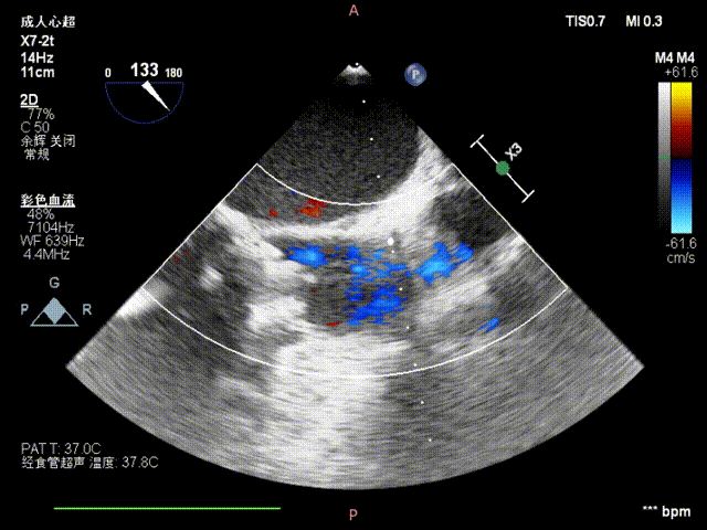
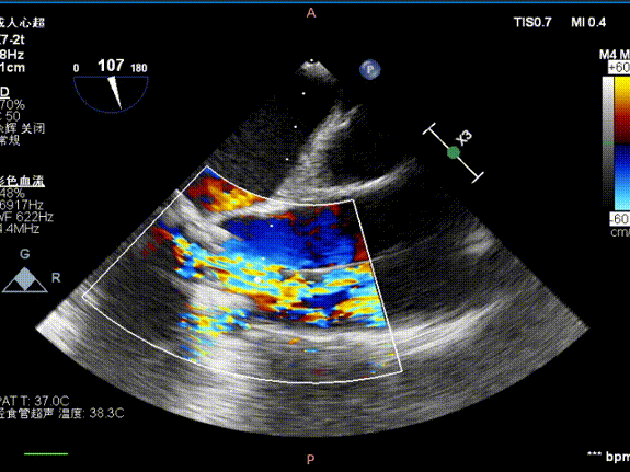
手术超声结果
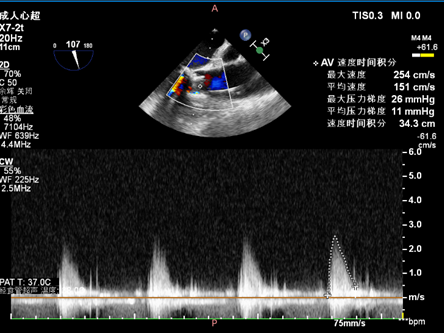
主瓣

术前

术后
术前术后流速压差对比,术前最大速度464cm/s,平均速度316cm/s,最大压力梯度86mmHg,平均压力梯度46mmHg;术后最大速度254cm/s,平均速度151cm/s,最大压力梯度26mmHg,平均压力梯度11mmHg:


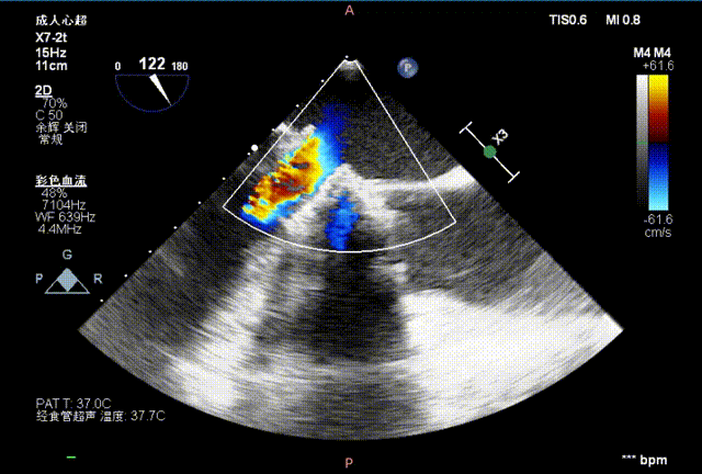
二尖瓣

术前

术后
术前术后流速压差对比,术前最大速度265cm/s,平均速度189cm/s,最大压力梯度28mmHg,平均压力梯度16mmHg;术后最大速度194cm/s,平均速度137cm/s,最大压力梯度15mmHg,平均压力梯度8mmHg:


闭合外周入路,手术顺利完成。患者术后在手术室,瓣膜损毁问题得到了即刻解决,溶血也消失,尿液呈现淡黄色清亮,患者术后2小时在监护室顺利拔除气管插管,术后6天顺利出院。


术前术后尿液对比
张海波教授所在的首都医科大学附属北京安贞医院心脏外科9病区团队,多年来在瓣膜病治疗领域深耕不辍,率先在国内开展生物瓣损毁瓣中瓣、一站式多瓣膜介入等技术,复杂瓣膜病治疗经验和水平在全国名列前茅。此次张海波教授团队成功为患者完成双生物瓣衰败后的TAVR+TMVR,帮助患者重获“心”生,也为更多复杂瓣膜病患者带来福音和希望。
专家简介
张海波
首都医科大学附属北京安贞医院
首都医科大学附属北京安贞医院心外科主任医师,博士生导师,教授,九病区副主任。主持国际合作课题、国家自然科学基金、北京市科委等科研课题十余项。
长期进行瓣膜修复、TAVI等瓣膜介入手术、房颤、人工心脏和心脏移植等研究。
中国医师协会心外科分会全国委员兼结构心脏病委员会副主委,房颤委员会副主委。亚洲心脏瓣膜学会中国分会常委兼秘书长,瓣膜病介入委员会副主委兼秘书长。中国研究型医院学会心脏瓣膜病专委会秘书长,房颤委员会常委。首都医科大学心外科学系委员。
获得北京市科委科技新星,北京市委组织部优秀人才,北京市科技进步奖,教育部科研优秀成果奖,北京市卫生局学科骨干,北京市优秀青年知识分子,中国医师协会中国心外科好医师,生命时报荣耀医者青年创新奖,国之医者青年新锐等奖励和称号。
