2023年2月16日,上海市第十人民医院心内科徐亚伟教授团队应用唯迈医疗ETcath 200介入手术机器人成功完成一例冠状动脉严重狭窄病变支架植入手术及血管内超声检查,本次手术由徐亚伟教授隔室操作冠脉介入机器人完成。

患者信息
患者为75岁女性,患者因胸骨后出现压迫性疼痛,放射至肩背部,伴胸闷、头晕、头痛,于外院就诊。近日,无明显诱因上述症状加重,遂来上海市第十人民医院就诊。
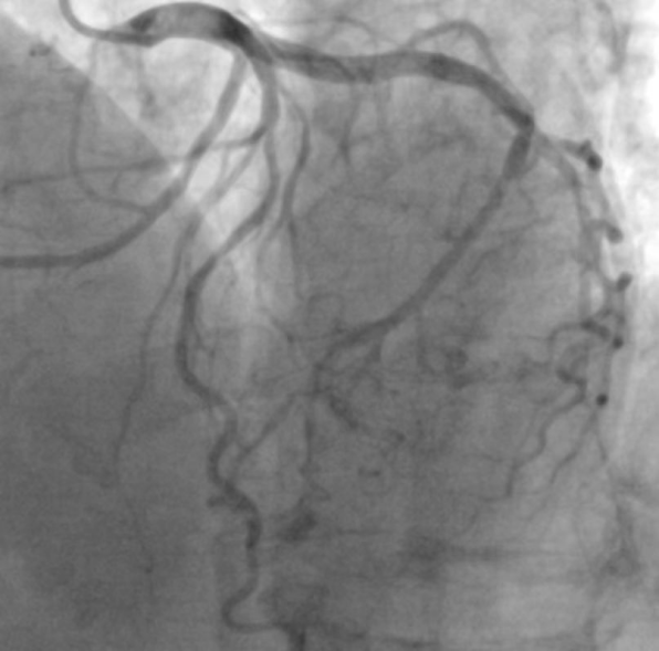
该患者因右侧桡动脉搏动较弱,本次手术穿刺左侧桡动脉,术中造影提示前降支血管重度狭窄,严重影响心肌供血,这是导致该患者频繁胸痛的罪魁祸首。经充分评估,徐亚伟教授决定应用ETcath 200介入手术机器人通过隔室操作为其进行冠状动脉介入治疗。
徐亚伟教授应用ETcath 200介入机器人对指引导管进行精准调整,使其到达冠状动脉口部,建立器械输送通路,并使用机器人的多种模式操作导丝,避免导丝进入分支,顺利将指引导丝推送至病变远端,应用机器人循导丝推送IVUS进行评估,测得管腔面积仅剩余2.31mm²。

造影图像

术前IVUS图像
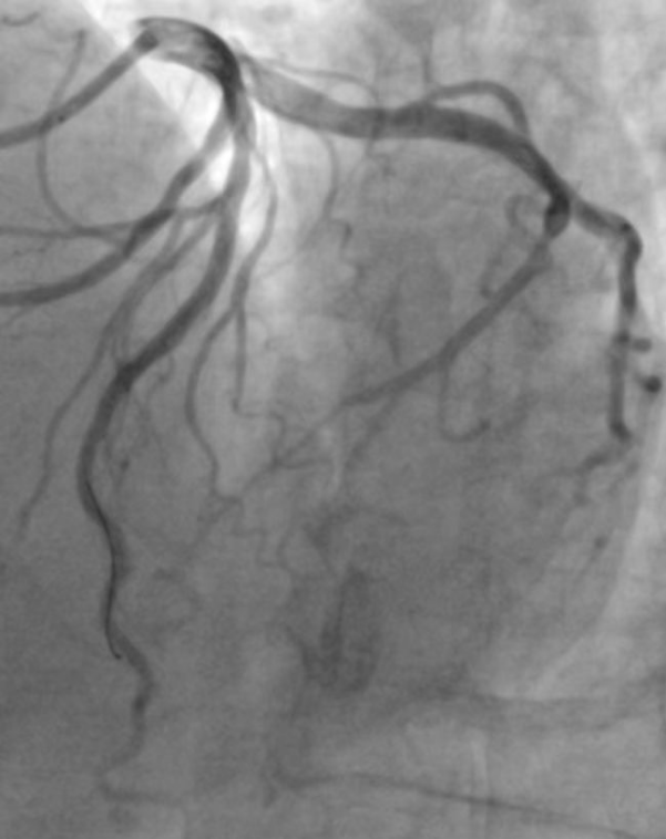
徐教授应用机器人将支架送至病变处,精准定位后植入2.75 * 38mm支架,随后使用3.0 * 15mm球囊进行后扩张,经多体位造影及IVUS检查确认,支架贴壁良好,支架内未见明显残余狭窄,远端血流TIMI 3级,病变处管腔面积增至5.87mm²。

支架置入后即刻造影图像

术后IVUS图像
徐教授全程在手术室外通过控制台控制ETcath 200介入手术机器人进行手术器械操作,顺利完成手术。ETcath 200对手术器械精准精细化的操作以及阻力反馈功能极大提高了患者术中安全,减少患者术中出现并发症的可能,最大程度的减少术者射线下暴露的时间及所遭受的辐射剂量,术者手术过程中无需穿着铅衣,实现了真正的“减负”。介入手术机器人助力手术顺利完成,为医患双方的生命健康提供了全方位保障。

此次唯迈医疗ETcath 200介入手术机器人在上海市第十人民医院的临床应用,使优质医疗资源与智慧医疗设备完美交融,汇聚合力,以呵护人民群众生命健康为根本追求,共谱智能化医疗崭新篇章。
专家简介
徐亚伟
上海市第十人民医院
主任医师,二级教授,博士生导师,同济大学终身教授,第二届“国之名医”,上海市第十人民医院心脏中心主任,同济大学医学院泛血管病研究所所长。国家重点研发计划项目首席科学家,中华医学会内科学分会副主任委员,中国医师协会心血管内科医师分会副会长,上海市医师协会心血管内科医师分会会长,世界华人心血管医师协会常务副会长兼秘书长(WACC),中国医院协会心脏康复管理委员会常务副会长兼秘书长,中国胸痛中心联盟副主席,中国房颤中心联盟副主席,中国房颤中心联盟左心耳封堵工作委员会主任委员,中国房颤中心房颤学院副院长,中国心脏康复联盟执行主席,上海市胸痛中心联盟执行主席等。多年来从事心血管疾病的临床和科研工作,能熟练进行冠心病导管介入治疗、房颤冷冻消融术、左心耳封堵术、心脏生理性永久起搏器安装术、先天性心脏病介入治疗、动脉粥样硬化性外周血管病介入治疗、激光销蚀术、冠状动脉内膜旋磨术等多种介入治疗技术。擅长经桡动脉径路整体治疗冠心病,致力于急性心肌梗死救治三十余年。
