2023年2月21日,新疆维吾尔自治区人民医院心内科团队应用美敦力Evolut PRO瓣膜系统,分别为一例Type 0型二叶瓣患者和一例Type 1型钙化嵴二叶瓣患者完成TAVR植入手术。经过术前仔细地分析评估和术中精准的操作,两例手术均顺利完成,患者症状均得以明显改善。

病例一:Type 0型二叶瓣
58岁男性,因胸闷入院。超声检查显示,主动脉瓣增厚、钙化,开放受限,心率维持80-90/min时测主动脉瓣口面积约0.6cm²,流速436cm/s,峰值压差76mmHg,平均压差44 mmHg。诊断主动脉瓣钙化重度狭窄,轻微反流;二尖瓣口轻度反流。
瓣环及左室流出道:


Type 0二叶瓣,瓣叶风湿性增厚伴钙化:

主动脉瓣根部:

主动脉瓣的开口面积的估计(在瓣环平面5mm 以上测量):

左冠近端钙化:

心室角度51度:

主动脉弓:

植入视图:

股动脉入路:


Type0型二叶瓣自身具有定位困难的挑战,植入策略的观点也各有不同,对瓣膜性能要求更高,既需要在二叶瓣特殊结构挤压下牢固锚定,又要贴合鱼嘴状结构最大限度避免瓣周漏的发生。同时此患者合并存在主动脉弓距小,弓角锐角的特点,对瓣膜系统的整体通过性能提出挑战。
主入路:右侧股动脉
辅入路:左侧股动脉
导引鞘:20Fr大鞘/InLine Sheath
球囊预扩:20mm球囊
瓣膜选型:29mm
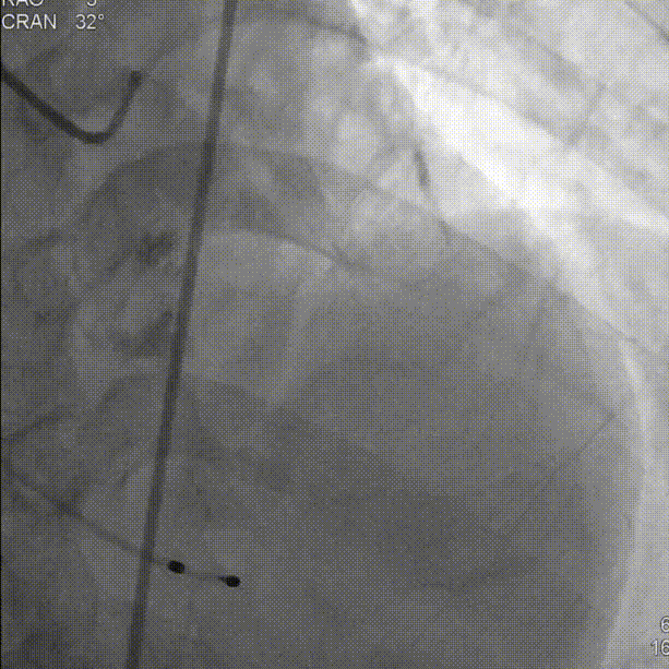
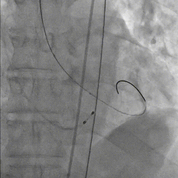
于右室放置起搏导线。超声引导下穿刺外周动脉,左右冠脉造影未见明显狭窄:


主动脉根部造影:

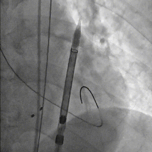
直头导丝跨瓣:

导管测压,压力阶差60mmHg:

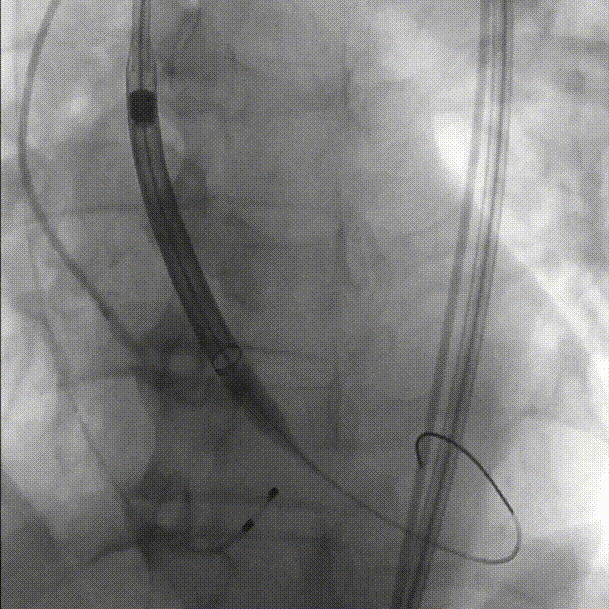
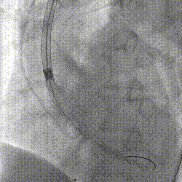
瓣膜装载良好:

球囊预扩张:

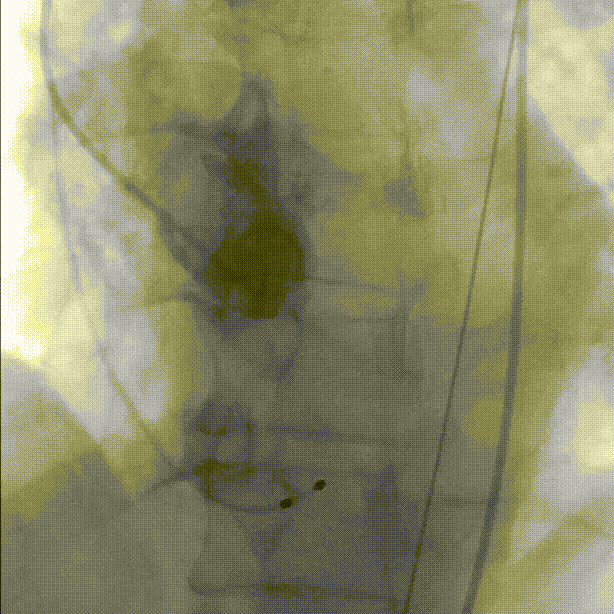
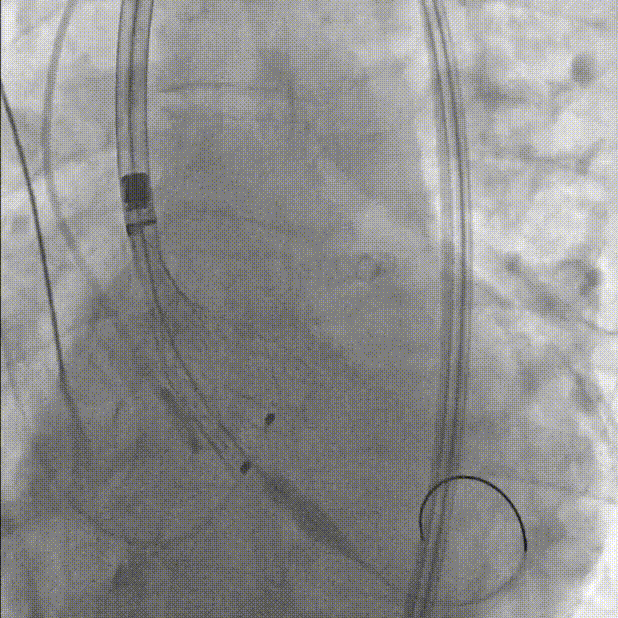
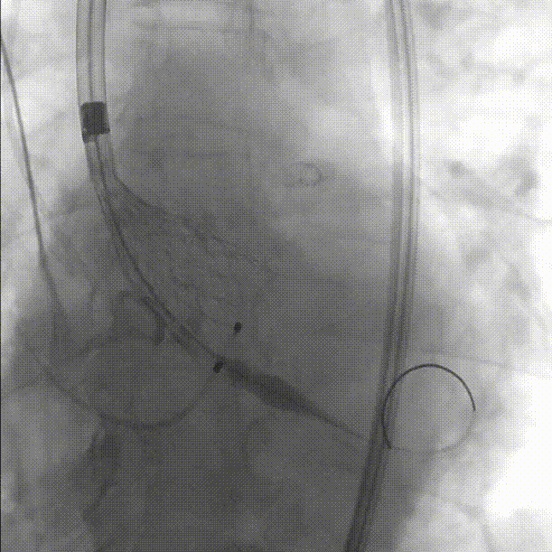
初始定位,左右窦重叠视图开始释放:

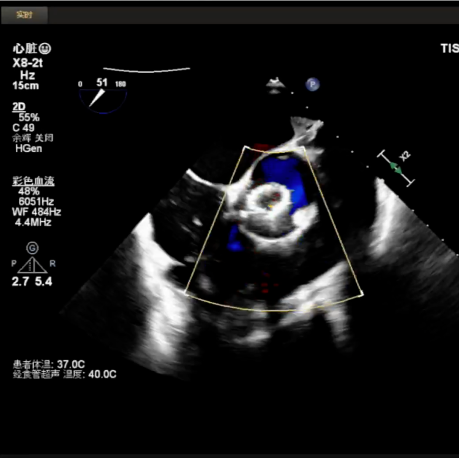
释放中期,快速起搏下释放到80%切换视图,并借助食管心超评估深度和反流情况:



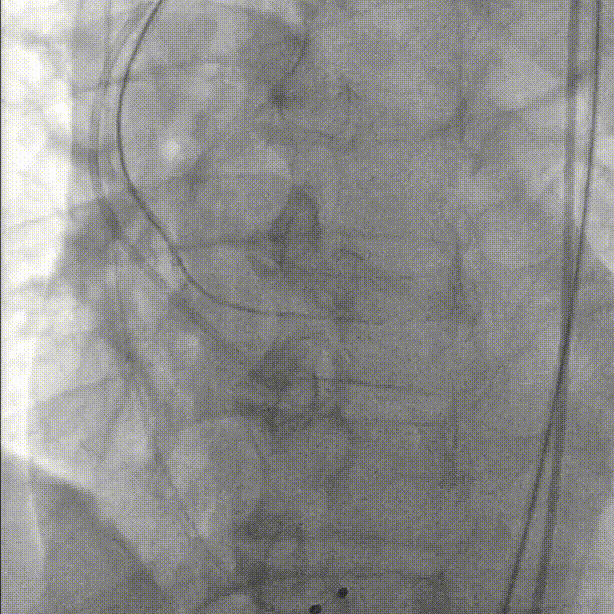
完全释放和瓣膜脱钩:

术后导管测压压差为2mmHg:

最终根部造影:无反流,冠脉灌注良好:

超声复查,支架形态满意,手术结束:

Evolut PRO在此类结构中具有明显优势,短瓣架、胶囊整体可打弯的属性使得其在此类入路中轻松应对,同时瓣架软硬适中,结合高吊设计,可以更好地解决二叶瓣所带来的问题,自适应二叶瓣鱼嘴状开口,有效锚定和避免瓣周漏的同时,保障有效的环上开口,极大提升了二叶瓣患者的血流动力学及远期预后。
病例二:Type 1钙化嵴
92岁男性,胸闷气促入院。超声显示主动脉瓣前向流速增快,峰值压差108mmHg,平均压差73mmHg,估测瓣口面积约0.6cm²。诊断主动脉瓣口钙化,瓣口重度狭窄;二尖瓣轻中度反流。
瓣环及左室流出道:


主动脉瓣根部,Type 1二叶瓣有钙化嵴:

环上开口预估:


冠脉高度:

心室角度51度:

主动脉弓:

植入视图:

股动脉入路:


患者Type1型二叶瓣,左右窦之间存在融合嵴,瓣叶增厚增长且钙化重,可以为瓣膜提供很好的锚定,但同时又有瓣膜展开受限的挑战,会导致瓣周漏的发生,因此权衡瓣膜尺寸以及瓣周漏成为此例手术的重点和难点。
主入路:右侧股动脉
辅入路:左侧股动脉
导引鞘:20Fr大鞘/InLine Sheath
球囊预扩:20mm球囊
瓣膜选型:26mm
美敦力Evolut PRO植入术后,最终根部造影,未见反流,冠脉灌注良好,手术结束。
美敦力Evolut PRO瓣膜操作简单,定位清晰,可以很好的根据手术策略执行瓣膜释放,同时具备稳定的可回收功能,大大提高了手术的成功率。
此前,新疆维吾尔自治区人民医院心内科团队率先在新疆开展Evolut PRO植入,携手Evolut PRO为新疆瓣膜疾病患者造福。此次单日成功完成两例TAVR,标志着新疆维吾尔自治区人民医院心内科团队TAVR技术的稳步成长,期待未来,Evolut PRO将继续助力新疆维吾尔自治区人民医院心内科团队,为更多新疆自治区乃至周边瓣膜病患者重获“心”生保驾护航。
专家简介
杨毅宁
新疆维吾尔自治区人民医院
李国庆
新疆维吾尔自治区人民医院
王钊
新疆维吾尔自治区人民医院
郭自同
新疆维吾尔自治区人民医院



