2月10日,重庆市人民医院陈灏教授团队应用J-Valve成功挑战一例超大瓣环重度反流的TAVR病例。术前,团队针对患者情况进行了充分分析,制定了完备的手术策略和预案;手术过程中,团队默契配合,精准释放瓣膜;术后患者获益明显,手术最终取得圆满成功。
病史简介
患者为66岁女性,因“心累、气促、喘累2月余,伴胸痛、胸闷2周”入院。
外院彩超提示:左房、左室增大,主动脉窦部及升部增宽;室间隔基底部明显增厚;主动脉瓣增厚并钙化,轻中度狭窄,明显关闭不全,重度反流;二尖瓣轻度反流;左室舒张功能减退;
入院诊断:1.心脏瓣膜病;2.主动脉瓣关闭不全(重度)伴狭窄;3.二尖瓣关闭不全(轻-中度);4.心功能III级:5.右肾囊肿;6.主动脉窦部及升部增宽;7.心脏扩大。
CT分析
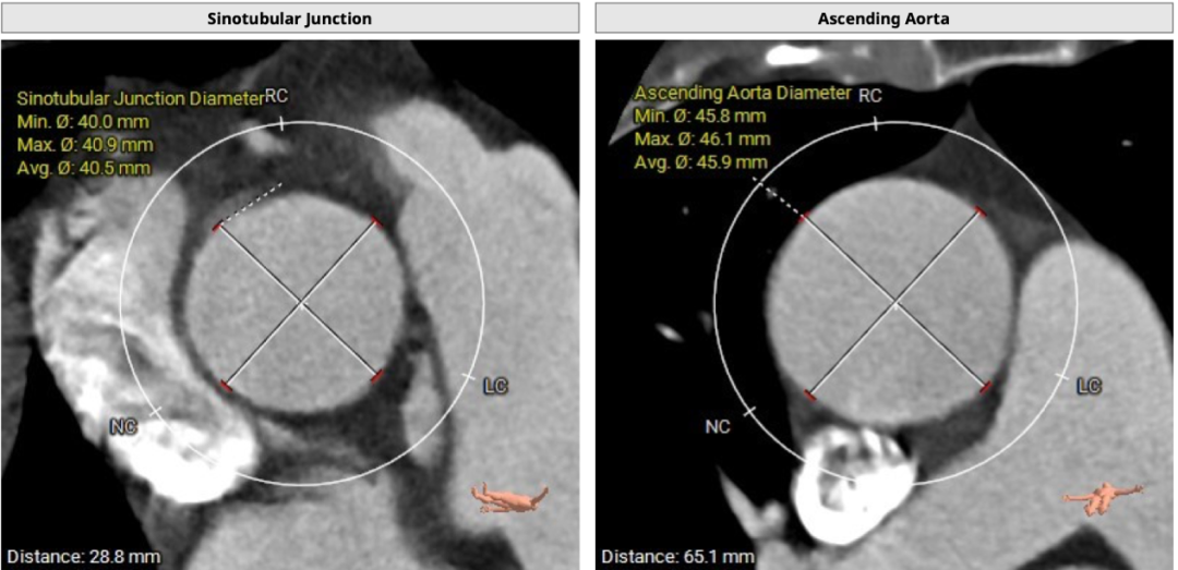
患者主动脉瓣三叶式,瓣叶基本等大,窦部增宽,瓣叶增厚,瓣叶游离缘轻度钙化。主动脉瓣环周长折算直径约29.6mm,瓣环周长为92.9mm。

左室流出道凸出

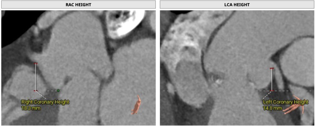
双侧冠脉开口高度可,LCA:14.8mm,RCA:18.3mm

升主动脉增宽

主动脉弓部散在钙化。心室角度60°。

29mm瓣膜植入效果

手术步骤
放置临时起搏导线,经股总动脉置入血管鞘,行主动脉根部造影。

穿刺心尖,直头导丝跨瓣。将输送系统定位件送至瓣环平面以上。造影确定位置和深度。

瓣膜精准定位释放,复查造影评估支架瓣膜位置、形态满意;复查超声提示,无瓣周漏,患者血流动力学即刻改善。

拔除股动脉血管鞘,缝合股动脉。手术顺利结束。
本次手术是重庆市人民医院心脏血管外科TAVR团队成功完成的又一例具有挑战性的病例,患者为大瓣环,瓣环直径达29.6mm,且主动脉瓣重度反流,术中瓣膜定位等操作需要更加谨慎精准,手术的圆满成功体现了术者精湛的专业技术,极大鼓舞了团队士气;J-Valve瓣膜系统也在术中发挥优势,提供了有效助力。
在陈灏教授带领下,重庆市人民医院心脏血管外科TAVR团队不断突破,积累了丰富经验,相信未来,团队将持续探索新技术,为广大地区内患者健康保驾护航。
专家简介
