重庆医科大学附属第二医院殷跃辉、苏立教授团队成功完成Evolut PRO TAVR系统首次植入
2023-02-21 10:34
2023年2月10日,重庆医科大学附属第二医院殷跃辉、苏立教授团队联合医院麻醉、超声、放射等多学科团队,成功应用Evolut PRO TAVR系统治疗一名主动脉瓣中度狭窄伴重度关闭不全患者。该病例瓣叶单边增厚,中度主狭伴重度反流,且冠状动脉粥样硬化,阻塞风险高;术者认为介入瓣膜的多次稳定回收性,对手术的成功起至关重要的作用。

患者为76岁女性,因“反复喘累半月”入院。心脏彩超显示,左房、左室增大,升主动脉增宽,肺动脉增宽。收缩期主动脉瓣口流速350cm/s,平均压差:27mmHg,最大压差49mmHg,舒张期主动脉瓣口左室侧见大量红色为主的花色血流信号,速度438cm/s;EF 48%。诊断主动脉瓣中度狭窄伴重度关闭不全、左房、左室增大、心包积液(少量)、左室收缩功能降低、二尖瓣重度关闭不全、三尖瓣轻度关闭不全。既往患有高血压。










主动脉根部造影

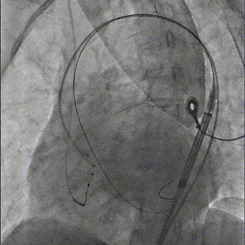
过弓

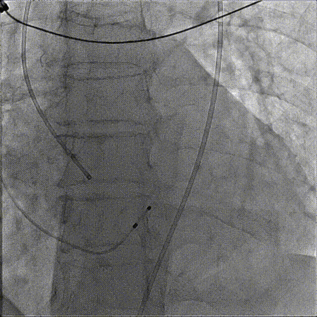
定位造影

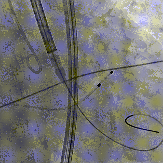
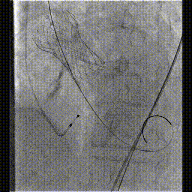
初始定位及释放

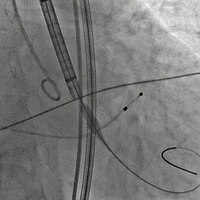
释放中评估

完全释放

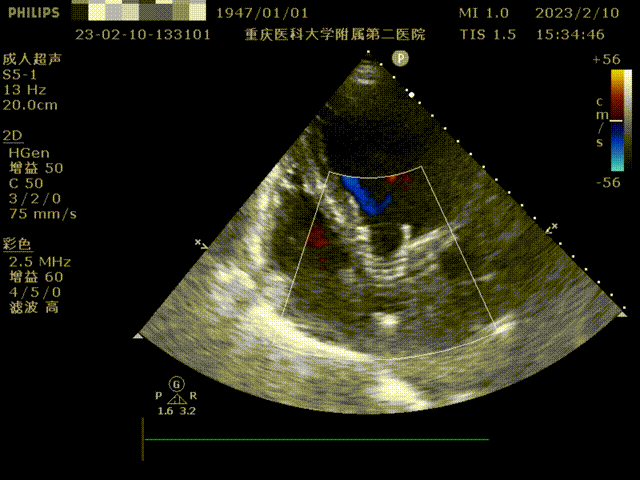
术后超声提示无反流

术后压力
专家简介
