2月11日,新疆维吾尔自治区人民医院杨毅宁教授团队成功应用J-Valve完成两例具有挑战性的横位心TAVR病例。其中一例为窦部扩张+横位心,另外一例为升主动脉增宽+横位心,且两例患者均为主动脉瓣关闭不全(反流)。
病例一:窦部扩张与横位心
病史简介:71岁女性,因心慌、胸闷、气短4月入院。
CT分析


双侧冠脉开口高度可LCA:13.9mm,RCA:21.8mm:


横位心:


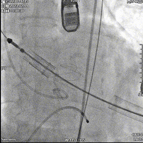
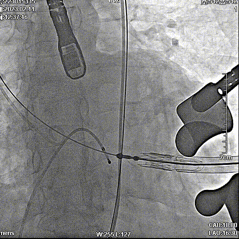
手术步骤





拔除股动脉血管鞘,缝合股动脉。手术顺利结束。
病例二:升主增宽+横位心
病史简介:66岁男性,主因间断胸闷气短3年余,加重1周入院。
入院心电图:窦性心律。
心脏彩超:主动脉瓣口见反流束达心尖,反流束根部宽9mm,降主动脉起始处见全舒张期反流。诊断主动脉窦部扩张,瓣口重度反流。
入院诊断:(1)中-重度主动脉瓣关闭不全;(2)高血压3级(很高危)。
CT分析
主动脉瓣三叶式,瓣叶基本等大,瓣叶稍增厚,瓣叶未见明显钙化。患者主动脉瓣环周长折算直径约26.8mm:





降主动脉及左侧髂总动脉迂曲。
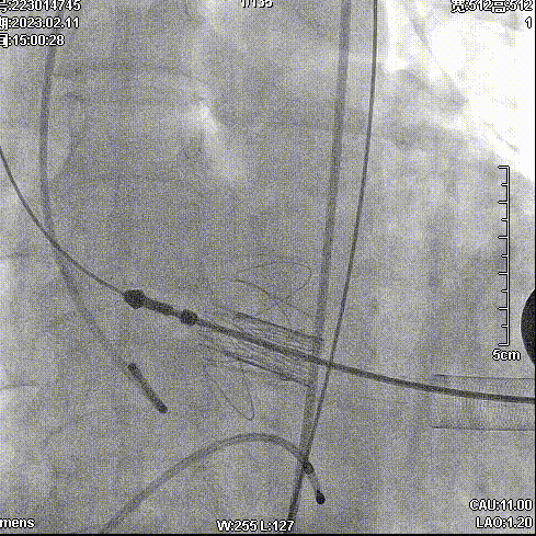
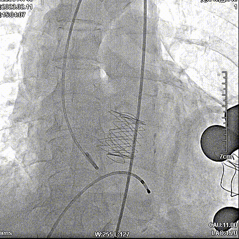
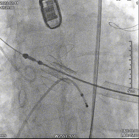
手术步骤





拔除股动脉血管鞘,缝合股动脉。手术顺利结束。
新疆维吾尔自治区人民医院作为新疆自治区最早开展TAVR手术的医院之一,近年来在心血管病学科学术带头人杨毅宁的带领下,积极开展各类瓣膜介入新技术,为周边地区瓣膜疾病患者重获“心”生保驾护航。此次连续两例手术的顺利完成,再次彰显了杨毅宁教授团队在TAVR手术方面的不凡实力。
专家简介
杨毅宁
新疆维吾尔自治区人民医院
院长,心血管内科专家。擅长冠心病、先天性心脏病及瓣膜病的介入治疗及相关基础研究。2004年和2007年分别于新加坡国立大学医院导管室和德国Mainz Johannes Gutenberg大学临床医院心内科研修冠状动脉介入治疗。在临床工作中不断开拓创新,在疑难危重症治疗方面,成功开展和推广IVUS、OCT、远隔缺血适应治疗、TAVR、ECMO等新技术。2017年入选"国家百千万人才工程"并被授予"有突出贡献中青年专家"荣誉称号,第十二届"中国医师奖"获得者,先后入选教育部新世纪优秀人才计划,自治区"天山雪松计划"科技创新领军人才后备,"天山英才"培养计划第一层次。2017年入选新疆自然科学专家库。
主持国家重点研发计划1项,国家自然科学基金6项,教育部新世纪优秀人才计划项目1项等20余项研究。
以第一作者或通讯作者身份发表学术论文250余篇,其中SCI收录论文60余篇。荣获自治区科技进步奖10项,其中一等奖4项、二等奖6项、荣获中华医学科技奖2项,2020年被评为自治区“最美工作者”。
新疆维吾尔自治区人民医院心脏中心是新疆自治区内率先独立常规开展经导管主动脉瓣置换术(TAVR)的单位。团队在院长杨毅宁教授的带领下蓬勃发展,技术实力雄厚,得到全国TAVR专家的认可和肯定。
