2023年伊始,南方医科大学南方医院修建成教授团队精诚携作,在瓣膜病介入诊疗技术上不断磨炼,再创新的成绩!2月2日,团队成功使用Evolut PRO完成一例极重钙化Type 0型二叶瓣TAVR手术;2月9日,团队再次应用Evolut PRO完成一例外科瓣衰败后TAVR IN SAVR手术。

病例一
极重钙化Type 0型二叶瓣
患者为70岁男性,心脏彩超显示左房、右房增大,主动脉瓣增厚、钙化,重度狭窄并轻度关闭不全(Vmax 587cm/s,MaxPG 138mmHg,MeanPG 67mmHg,有效瓣口面积0.66cm²),室间隔与左室后壁增厚,并合并轻度二尖瓣、三尖瓣反流。
Type 0 型二叶瓣,钙化较重。LCA与RCA起源于同个窦部,高度可。主动脉弓部与根部角度尚可,主动脉弓部钙化团块。下肢入路尚可,右股动脉前壁钙化团块。瓣环26.7mm,LVOT 26.9mm,STJ 32.7mm。




LCA与RCA起源于同个窦部

主动脉弓部与根部角度尚可,主动脉弓部钙化团块


冠脉开口重合体位受限

备用Near overlap体位



下肢入路尚可,右股动脉前壁钙化团块
该病例难点在于Type 0型二叶瓣往往窦部方向不规律,冠脉开口方向多变,暂无像三叶瓣一样成熟的Commissural alignment及冠脉通路保留技术实施方案。术前进行CT分析,模拟冠脉起源重叠体位,预估Evolut PRO三个commissural post的分布与左右冠脉开口的关系,使用该体位验证若Hat marker朝前,则C paddle(commissural post)应于左右冠脉开口中间。
瓣膜:Evolut PRO 29mm。
预扩张球囊:20mm。
主入路:左股动脉,股骨头中点以上,20F APT动脉鞘。
辅入路:右股动脉,股骨头上1/3以上。
跨瓣、球扩、释放体位:RAO 6°, CAU 23°。
术中注意:1.避开弓部钙化;2.确认Hat marker方向,尽可能保留冠脉通路。

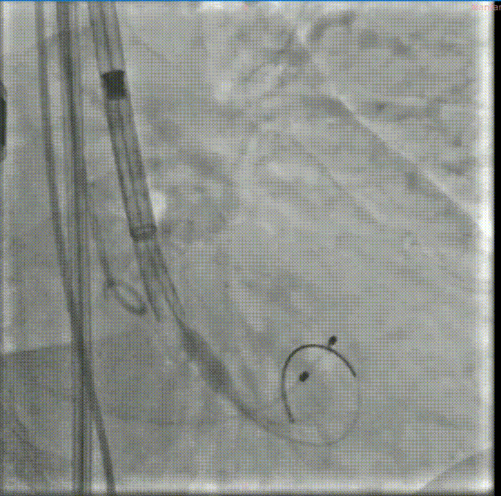
主动脉根部造影

20mm纽曼球囊预扩张
系统过弓时控制导丝避开主动脉弓部钙化。

递送系统过弓
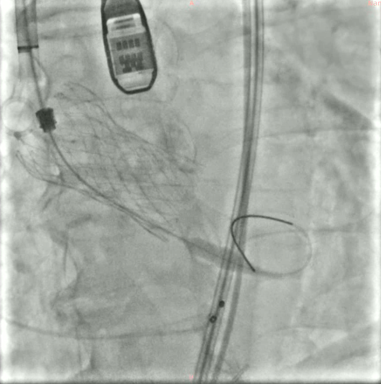
Hat marker偏向影像左侧,符合对齐预测,C paddle位置的瓣膜对合柱将放置于左右冠开口之间,保留冠脉通路。

方向确认与预释放

瓣膜释放
瓣膜释放的前半段深度3mm,后半段受钙化挤压导致轻微下滑至5mm。

深度造影

释放前深度评估

释放后造影
导丝回退至鼻锥内释放张力避免鼻锥勾挂瓣膜。术中,Near Overlap体位下Hat marker轻微偏向右侧,确认C paddle应于左右冠脉开口中间,成功保留LCA与RCA通路。微量PVL,术后压差7mmHg;自体瓣环面瓣架呈椭圆状。环上瓣膜工作高度瓣架呈良好圆形,瓣膜开口面积良好。翻山造影确认主入路无严重血管并发症,手术结束。
病例二
高龄、外科术后生物瓣重度关闭不全
患者为89岁男性,主因呼吸困难2天。2009年曾行主动脉瓣换瓣手术及冠状动脉搭桥手术,合并多发胸腰椎压缩性骨折,胸8椎体成形术后。







外科瓣架到冠脉距离。

预扩/释放角度RAO 35° CAUD 29°,跨瓣角度/备选植入角度RAO 27° CAUD 24°,3 Cusps Coplanar view RAO11° CAUD 12°。

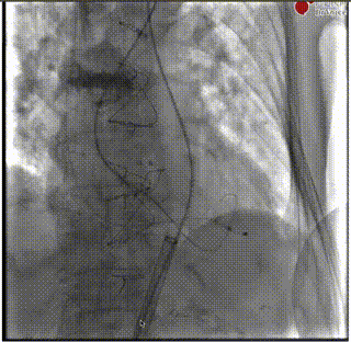
导丝跨瓣

交换猪尾

输送系统过弓

释放初期预释放

释放到50%回收

快速起搏下释放到80%

释放前造影确定位置和深度

完全释放

最后造影

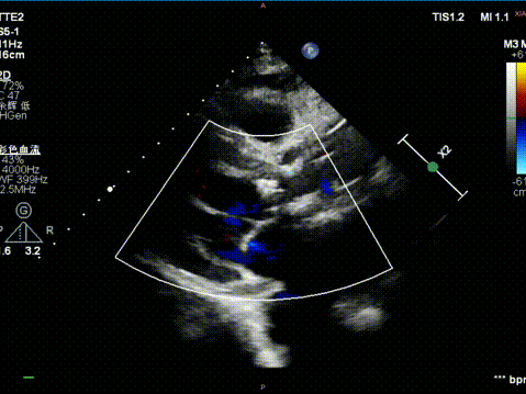
术后超声
闭合血管入路,完成手术。本例难点在于SAVR术后结构性瓣膜衰败导致主动脉瓣反流,原外科瓣膜未见钙化,术前经充分沟通,确定植入深度于瓣架第一节点与第二节点间,保证瓣架底部在外科瓣膜环上具有足够锚定力。术中,瓣架完全释放前小弯侧深度稍大于大弯侧,微量PVL,在最终时提示术者对递送系统轻微施加推力,释放后两侧深度达到平衡,PVL消失,平均压差2mmHg,舒张压即刻恢复正常。

修建成教授在术后接受采访时表示:“近期两例手术,我们全体成员在术前与技术团队进行了充分沟通与分析。针对第一例,考虑了环上瓣为二叶瓣患者带来优异的血流动力学获益,同时有预见性地制定了冠脉通路保留方案;第二例通过精细操作,在外科瓣膜中释放自膨瓣同样带来完美结果。手术的成功实施,充分体现了现阶段我院结构性心脏病介入团队不断总结手术经验,走向成熟,在保证手术安全性与成功率基础上,追求精益求精。术前根据患者临床情况与解剖特点,结合手术器械的特点与优势,制定个性化预案,从而保证患者临床获益最大化。”
两台非常具有特点的手术病例,在多学科团队的严密配合下得以顺利实施,不仅有赖于团队术前反复针对病例进行全面分析,多方制定手术策略,而且也依赖于术者精湛的技术与丰富的经验。
由修建成教授带领的心内科结构性心脏病介入团队,近年来在结构领域不断发展的趋势下,积极探索各类瓣膜介入技术,取得了重要的进步。团队不仅在主动脉瓣、二尖瓣等领域积极进取,不断提升手术水平,积累各类病例诊疗经验,而且目前在研多项临床研究项目。2023年,相信修建成教授团队将继续用实干的精神,用一台台成功的手术,不断造福患者,踔厉奋发,书写新的成绩。
专家简介
修建成
南方医科大学南方医院
副教授,主任医师,医学博士,博士研究生导师,心血管内科副主任,导管室主任,增城分院心血管内科主任。CRF成员,美国哥伦比亚大学医学中心博士后,美国导管介入委员会委员,美国纽约长老会医院IVUS fellow,美国心血管病研究所研究员,德国柏林心脏病中心、瑞典林雪平大学医学中心访问学者。
专长为冠心病及心血管危重症的诊治。长期担任CCU医疗组长,危重症病人救治经验丰富;擅长复杂冠脉病变及慢性完全性闭塞性病变的介入治疗,中国慢性闭塞病变俱乐部会员,广州慢性闭塞病变手术演示专家;在精准PCI领域有很深的造诣,中国血管内超声专家共识制定专家;带领团队在南方医院独立开展经导管主动脉置换手术(TAVR),南方瓣膜联盟专家;熟练掌握OCT、IVUS、FFR指导PCI和准分子激光、冠脉旋磨成形等复杂技术辅助PCI。
主持科技部重大专项子课题一项,国家自然科学基金三项及多项省部级课题,参与“973”、“863”、国家“十一五”科技支撑计划、科技部重大专项子课题等多项重点课题以及十余项大型多中心临床试验,在研国家级课题经费300余万。曾获广东省科技进步二等奖及广州军区医学创新奖一等奖,两项发明专利。发表论文80余篇,其中SCI 20余篇。是中国心脏介入大会(CIT)工作组专家,CIT、CCT等国内著名心血管会议主席团成员。
第九届中华医学会心血管病学会分会青年委员,第九届中华医学会心血管病学会分会动脉粥样硬化与冠心病学组委员,广东省介入性心脏病学会冠脉影像与功能学分会副主任委员兼秘书长,广东省医学会心血管病学分会第十届委员会青年委员会副主任委员等职。是中国心脏介入大会(CIT)工作组专家,CIT、CCT等国内著名心血管会议主席团成员。
