贞于笃行 安于至善|北京安贞医院团队成功完成健适杰成经血管介入瓣膜中国临床研究入组

1月10日,首都医科大学附属北京安贞医院周玉杰教授、张海波教授带领的瓣膜团队首次使用杰成医疗(健适医疗成员企业)的经血管介入生物主动脉瓣膜系统成功为三位高危主动脉瓣病变患者实施救治。三位患者包括了主动脉瓣单纯反流、单纯狭窄、狭窄合并反流,以及二叶瓣的不同情况,完美体现了杰成经股主动脉瓣膜狭窄及反流的双适应症优势。

健适杰成新一代经血管介入生物主动脉瓣置换术的临床研究在京安贞医院党委和各级院领导的鼎力支持下,由玉杰副院长张海波主任,以及王志坚主任郭永和主任带领TAVR团队成功完成安贞医院首次入组。老年心血管病中心史冬梅主任、瓣膜外科中心王坚刚主任统筹协调,麻醉科王晟主任、超声科何怡华主任、张纯主任、手术室许斌护士长亲自坐镇,手术室、导管室、麻醉科、体外循环科、超声科、放射科、护理部等多学科精英团队协同配合,通过团队严格、充分的术前讨论及全面评估,保障了手术方案的科学性以及患者的安全性,取得了极好的临床效果,帮助患者恢复生活质量。随着未来该系统在临床更广泛的应用,将为本土众多主动脉瓣膜病患者的精准治疗提供多元化临床选择。

图为安贞医院瓣膜团队合影

患者1情况

87岁老年男性,主因“间断胸闷2月,加重伴下肢水肿1周”入院。

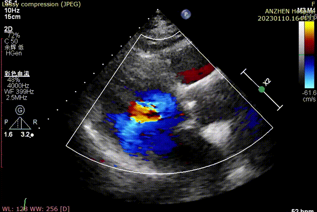
超声心动图提示:主动脉瓣脱垂并重度关闭不全,二尖瓣脱垂并中-重度关闭不全,左心增大,升主动脉轻宽,三尖瓣中度反流。EF:55%。

临床诊断:主动脉瓣脱垂并重度关闭不全、二尖瓣脱垂并中-重度关闭不全、心功能III级,慢性淋巴细胞白血病。

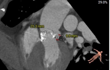
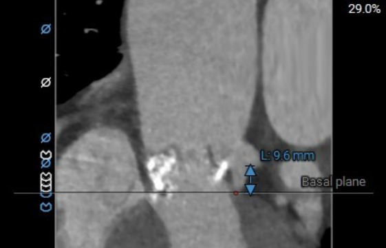
术前主动脉CTA评估:主动脉瓣三叶式,瓣叶基本等大,瓣叶稍增厚,左右瓣叶游离缘轻微钙化;主动脉瓣环周长折算直径约27.6mm;双侧冠脉开口高度可LCA:13.7mm,RCA:17.3mm;左侧冠脉轻度钙化;术中建议造影角度RAO:4°,CAU:22°;降主动脉及双侧髂总动脉轻微钙化,走行迂曲;双侧髂总动脉稍增宽;双侧髂外动脉迂曲。

瓣环:27.6mm

瓣上2mm:26.7mm

瓣上4mm:27.5mm

瓣上6mm:28.1mm

窦管交界:30.8mm

LVOT:28.8mm

升主动脉大小:35.5mm

左冠高度:13.7mm

右冠高度:17.3mm

右窦居中位:LAO:4° CAU:22°

主动脉瓣环夹角:44°

血管三维重建

手术策略

该例患者为87岁超高龄老人,合并疾病多,联合瓣膜病,外科开胸手术风险极高,单纯主动脉瓣反流,CT提示主动脉瓣环周长折算直径约27.6mm,计划采用28mm的杰成主动脉瓣膜,术中需确保定位件位于三窦窦底,精准释放,同时需密切监测患者的生命体征及血流动力学,尽可能缩短手术时间。

手术过程和结果

术中经股动脉切开建立血管通路,患者为单纯反流患者,无明显钙化,无需球囊预扩张,术中建立轨道后直接将输送器送入主动脉瓣目标位置,轻松实现定位件的正确入窦,后成功释放28mm瓣膜。经DSA造影和超声等综合评估显示瓣膜释放位置完美,瓣膜工作稳定,术后即刻主动脉瓣反流消失,人工主动脉瓣瓣环内无反流,无瓣周漏,患者临床症状和血流动力学明显改善。

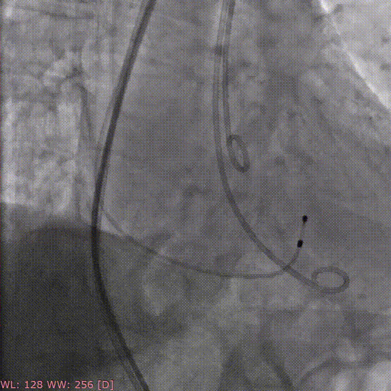
术前造影

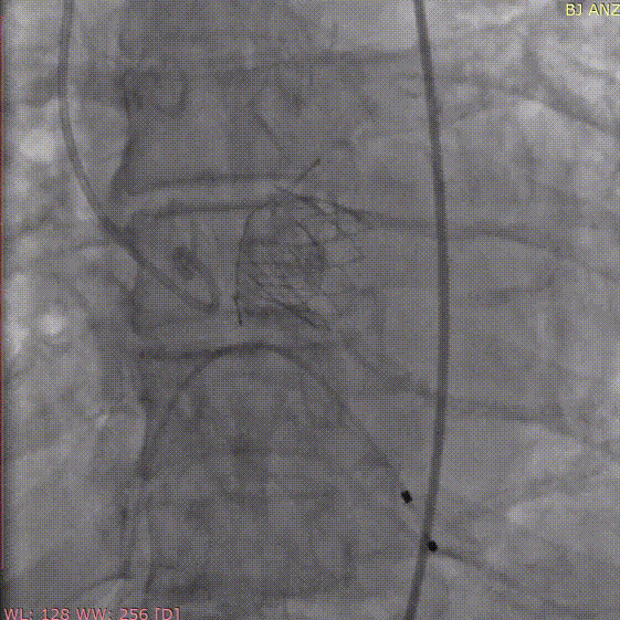
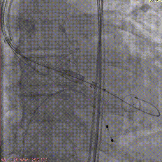
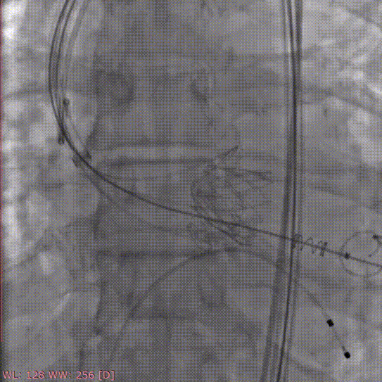
定位件入窦

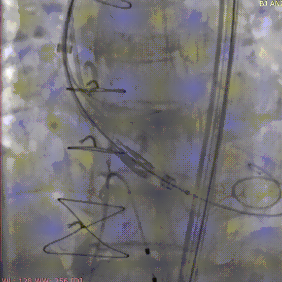
释放瓣膜

术后造影

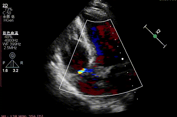
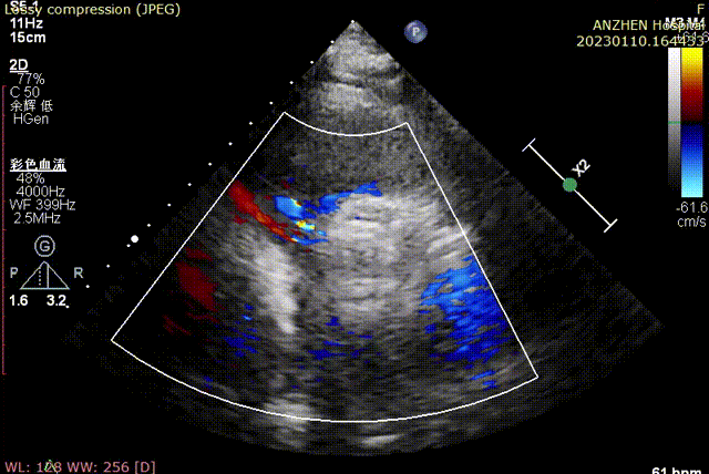
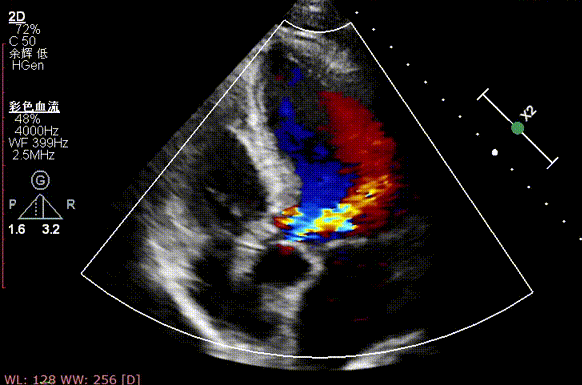
术前超声

术后超声

患者2情况

男性,67岁,主诉因“间断胸闷一年余,加重伴喘憋1周”入院。

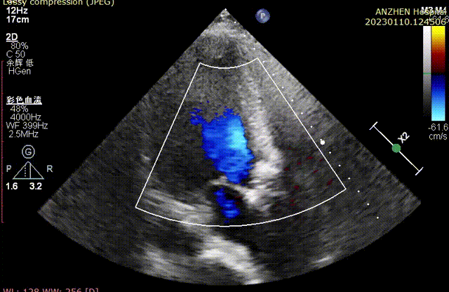
超声心动图提示:主动脉瓣重度狭窄并中度关闭不全;主动脉根部为三窦三叶,左无冠瓣融合,瓣叶明显增厚、钙化,开放受限,瓣口面积0.83cm²;主动脉瓣上峰值流速:468cm/s、峰值压力阶差:88mmHg,平均压差:54mmHg;主动脉瓣下见中量反流信号,缩流颈4mm,反流面积5.0cm²;EF:63%。

临床诊断:主动脉瓣重度狭窄并中度关闭不全、冠状动脉粥样硬化、心功能III级、高脂血症、陈旧性脑梗死、慢性阻塞性肺疾病、双侧胸腔积液。

术前主动脉CTA评估:主动脉瓣三叶式,瓣叶基本等大,瓣叶增厚、黏连,瓣叶游离缘中-重度钙化,左-无、右-无交界钙化融合。主动脉瓣环周长折算直径约28.6mm;左侧冠脉开口高度稍低LCA:9.6mm,RCA:13.7mm;右冠及左冠分支轻度钙化;左室流出道轻度钙化。升主动脉增宽;双侧髂外动脉迂曲,余未见明显迂曲。

瓣环:28.6mm

瓣上2mm:27.1mm

瓣上4mm: 24.9mm

瓣上6mm:23.2mm

开口面积

升主动脉大小:47.1mm

窦管交界:36.3mm

LVOT:29.9mm

升主动脉大小:47.1mm

右冠高度:13.7mm

左冠高度:9.6mm

左冠瓣叶长度:21.3mm

右窦居中位:LAO:7° CAU:3°

主动脉瓣环夹角:53°

血管三维重建

手术策略

患者为老年男性,合并慢性阻塞性肺疾病、胸腔积液及陈旧性脑梗,外科手术风险高。主动脉瓣重度狭窄及合并反流,瓣口面积小,术中跨瓣有一定难度。术中采用局麻方式,降低麻醉风险,计划采用25mm球囊进行预扩张,根据预扩张情况选择25mm/28mm的杰成主动脉瓣膜,植入瓣膜后根据瓣膜形态及血流动力学参数决定是否进行后扩张。患者左冠开口高度偏低,为9.6mm,杰成瓣膜总体冠脉闭塞风险较低,但术中仍需评估冠脉风险。另主动脉瓣环夹角53°,存在横位心,预估手术难度较大,术中需注意器械同轴性。

手术过程和结果

术中采用局麻强化,经股动脉穿刺建立血管通路,首先采用25mm球囊对病变部位进行预扩张,预扩时无明显腰征及反流,之后将杰成主动脉瓣输送器送入主动脉瓣目标位置,轻松实现定位件的正确入窦,后成功释放25mm瓣膜,之后采用25mm球囊进行后扩张。

经DSA造影和超声等综合评估显示瓣膜释放位置完美,瓣膜工作稳定,术后即刻主动脉瓣上峰值流速:202cm/s、峰值压力阶差:15mmHg,平均压差:7mmHg,人工主动脉瓣瓣环内无反流,微量瓣周漏,患者临床症状和血流动力学明显改善。

术前造影

定位件入窦

释放瓣膜

术后造影

术前超声

术后超声

患者3情况

女性,72岁,主诉因“反复活动时胸闷2月余,加重伴头晕1周”入院。

超声心动图提示:主动脉瓣钙化并重度狭窄;升主动脉增宽;室间隔增厚;二叶式主动脉瓣,瓣叶钙化增厚、交界粘连,开放受限,瓣口面积0.50cm²;主动脉瓣上流速:Vmax 457cm/s、PG:84mmHg,平均压差46mmHg;LVEF:62%,GABG术后。

临床诊断:主动脉瓣重度狭窄、冠心病、冠脉搭桥术后、心功能III级、高血压3级(极高危)、2型糖尿病、高脂血症、颈动脉狭窄。

术前主动脉CTA评估:主动脉瓣二叶式type1型,L-R融合,瓣叶增厚、黏连,瓣叶游离缘、根部及融合脊中-重度钙化;主动脉瓣环周长折算直径约25.2mm;双侧冠脉开口高度可;双冠分支轻度钙化;术中建议造影角度LAO:9°,CRA:11°;左室流出道稍凸出;主动脉弓及降主动脉多发钙化,腹主动脉重度钙化。

瓣环:25.2mm

瓣上2mm:24.3mm

瓣上4mm:20.2mm

瓣上6mm:16.8mm

Valsava 大小

窦管交界:28.7mm

LVOT:25.5mm

升主动脉大小:40.5mm

左冠高度:12.8mm

右冠高度:16.4mm

左冠瓣叶长度:17.8mm

右冠瓣叶长度:13.0mm

右窦居中位:LAO:9° CAU:11°

主动脉瓣环夹角:56°

血管三维重建

手术策略

患者为老年女性,冠脉搭桥术后,二次外科开胸风险极高,为保证手术安全,邀请心外科支持,做好手术应急预案。CT提示主动脉瓣二叶式type1型,L-R融合,瓣叶增厚、黏连,瓣叶游离缘、根部及融合脊中-重度钙化;主动脉瓣狭窄严重,瓣口面积小,需耐心跨瓣。计划采用22mm球囊预扩张,根据球囊扩张情况,可以选择22mm/25mm的杰成主动脉瓣膜,植入瓣膜后根据瓣膜形态及血流动力学参数决定是否进行后扩张。患者颈动脉存在狭窄,术中起搏时的低血压状态有可能造成脑供血不足,增加脑梗风险,术中预扩时应迅速,减少低血压时间,杰成瓣膜释放时无需快速起搏,常规血压状态下即可快速释放,极大的缩短了起搏和低血压时间。另外该例患者外周血管纤细,股动脉直径仅5.7mm,考虑采用18F血管鞘,并注意外周血管保护,尽力避免血管并发症。

手术过程和结果

术中采用局部麻醉,经股动脉穿刺建立血管通路,首先采用22mm球囊对病变部位进行预扩张,预扩时无明显腰征及反流,之后将杰成主动脉瓣输送器送入主动脉瓣目标位置,轻松实现定位件的正确入窦,后成功释放22mm瓣膜,之后采用22mm球囊进行后扩张,整个手术过程行云流水,仅用时20分钟。经DSA造影和超声等综合评估显示瓣膜释放位置完美,瓣膜工作稳定,术后即刻主动脉瓣上峰值流速:204cm/s、峰值压力阶差:16mmHg,平均压差:8mmHg,人工主动脉瓣瓣环内无反流,微量瓣周漏,患者临床症状和血流动力学明显改善。

术前造影

定位件入窦

释放瓣膜

术后造影

术前超声

术后超声

专家点评

周玉杰教授点评:健适杰成这项技术没有先例,它独创的定位件设计解决了全球性的困惑。狭窄和反流的双适应症为更多主动脉瓣患者带来微创的机会,但过去只能通过经心尖入路实现,现在终于再次实现突破,在延续过去的J-Valve优势基础上拓展到经血管入路,成功给病人带来了福音,给行业带来变革,给中国介入瓣膜技术进军全球化发展开辟了新的道路。

张海波教授点评:安贞医院是国内最早能够全面开展心脏四大瓣膜(主动脉瓣、二尖瓣、肺动脉瓣、三尖瓣)介入手术治疗的中心,一直以来都致力国内的瓣膜病介入临床新技术发展。过去我们使用J-Valve完成了很多突破,包括在二尖瓣、三尖瓣生物瓣毁损的瓣中瓣治疗、超大瓣环病例等等,取得了良好的临床效果。本次手术突破性的成功,将为广大瓣膜病患者提供更多的治疗选择。

  +

+

新一代经血管介入生物主动脉瓣系统 

拥有全球知识产权的杰成医疗瓣膜产品,获得国内外专家的高度认可。除已上市的J-Valve经心尖介入生物主动脉瓣置换系统以外,新一代经血管系统已在各大心血管中心逐步开展临床研究。

J-Valve经心尖介入生物主动脉瓣置换系统是全球首款获官方批准可有效治疗主动脉瓣关闭不全(反流)和狭窄双适应症的TAVR系统。该系统具有自主定位装置,在国内首次提出并应用原生辦叶配合短支架设计,大幅度降低辦周漏及Ⅲ°传导阻滞发生率,起搏器植入率的五年临床随访结果仅7.4%。它是我国经首个批量逆向输出欧美地区的高端医疗器械产品。

此次周玉杰教授、张海波教授团队手术应用的杰成经血管介入瓣膜,在延续了上一代J-Valve系统优势的基础上,采用经股动脉(经血管)入路,为患者提供了更多的入路选择,同时具有手术时间更短,手术创伤更小,病人恢复更快等优点,将给更多的主动脉瓣狭窄及重度反流患者带来福音。


阅读数: 3888