新年伊始,Hanchor Valve确证性临床正式启动。2023年1月11日,复旦大学附属中山医院葛均波院士及其团队的周达新教授、潘文志教授、陈莎莎医师、张蕾医师,心超李伟教授,心麻胡艳医师等,成功应用康德莱医械(HK1501)旗下子公司上海翰凌医疗器械有限公司研制的带有锚定结构的球扩式TAVR产品Hanchor Valve为两位外科高危重度主动脉瓣关闭不全(AR)患者实施了经股动脉入路经导管主动脉瓣置换手术,此次为该产品确证性临床试验中AR组的首两例入组。手术非常成功,导管操作时间分别为16分钟和15分钟。

复旦大学附属中山医院葛均波院士团队术后合影
病例1
为一typeⅠ型二叶式重度主动脉瓣关闭不全患者,瓣环大,股动脉入路迂曲。
术前CT
TypeⅠ型二叶式主动脉瓣,左右冠窦融合,主动脉瓣瓣环直径29 mm,双侧髂总动脉及髂外动脉走形迂曲。



主动脉瓣根部解剖
手术效果
成功植入Hanchor Valve(TAV29)瓣膜,术后无反流及瓣周漏。术前左室内压力为111/13 mmHg,主动脉压力为106/45 mmHg;术后左室内压力为90/7 mmHg,主动脉压力为89/48 mmHg。

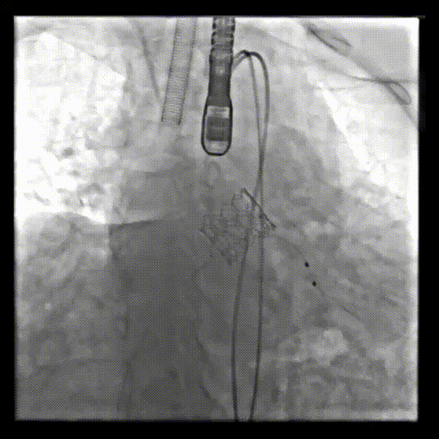
术前造影

术后造影
病例2
为一三叶式单纯重度主动脉瓣返流,横位心,大主动脉窦的患者。
术前CT
主动脉瓣三叶式,心脏明显横位,无冠窦扩张脱垂、瓣叶长,主动脉瓣瓣环直径26.4 mm。



主动脉根部解剖
手术效果
成功植入Hanchor Valve(TAV29)瓣膜,术后无反流及瓣周漏。术前左室内压力为111/-5 mmHg,主动脉压力为106/53 mmHg;术后左室内压力为96/2 mmHg,主动脉压力为96/57 mmHg。

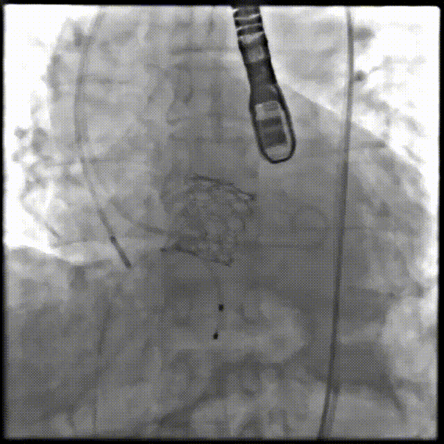
术前造影

术后造影
翰凌医疗的Hanchor Valve经导管主动脉瓣膜系统为全球首创并拥有完全自主知识产权,其独特的锚定结构设计,可实现瓣膜的精准自主定位。这也是全球首款经股入路的既可治疗主动脉瓣狭窄又可治疗主动脉瓣关闭不全的球扩式经导管主动脉瓣膜系统。Hanchor Valve确证性临床试验由葛均波院士作为PI ,在全国10多家头部医院进行。
这两例手术的成功,标志着首款经股入路治疗单纯性主动脉瓣关闭不全的TAVR产品正式进入上市前的确证性临床阶段,国产瓣膜的本土化创新研究又迈出了重要一步。