12月25日,海口市人民医院白树堂教授带领的心血管外科团队,成功应用J-Valve系统为一位高龄重症二尖瓣生物瓣衰败患者完成救治。患者基础情况较差,为外科手术高危患者,十天前因急性失代偿性左心功能衰竭接受抢救,气管插管呼吸机辅助呼吸,无法接受术前CT辅助诊断。对于介入瓣膜置换手术而言,术前的瓣膜解剖适应症评估主要依靠影像学结果,通过影像学检查评价原生物瓣膜形态,瓣环内径,是选择合适介入瓣膜的关键。如果没有术前CT检查,将给手术带来很大的困难。海口市人民医院心外科团队依据长期积累的经验,决定经心尖二尖瓣瓣中瓣置换(TMVR-ViV)是患者的首选治疗方案。通过充分的术前多学科团队交流和评估保障手术的安全和效果,术中依靠TEE及DSA引导来完成手术。
经检索,该例经心尖二尖瓣瓣中瓣手术为海南省首例。手术效果满意,术后患者恢复瓣膜功能,症状明显缓解。

海口市人民医院微创瓣膜团队合影
患者基本情况
女性,81岁。主诉6年前出现感冒后胸闷、气促,心悸、乏力,近2月情况加重。既往7年前行二尖瓣生物瓣置换术、三尖瓣成形环成形术、左房减容术,有糖尿病史12年。
术前诊断
心脏瓣膜病:二尖瓣生物辦重度关闭不全、二尖瓣生物瓣功能障碍、三尖瓣轻度关闭不全、主动脉瓣轻度关闭不全;急性失代偿性左心衰竭;肺动脉高压;快速型心房颤动;心功能IV级;室性早搏;心脏扩大。急性肾损伤:2型糖尿病;重症肺部感染;支气管扩张;双下肢动脉斑块形成:多发脑梗塞;左肾小结石。
手术方案
二尖瓣瓣中瓣植入、经静脉临时起搏器植入术。
手术困难
1. 无术前CT评估数据;需根据术中情况决定具体手术方式;
2. 现有25#生物瓣无钢丝固定生物瓣的三个角,术中该三个角显影定位困难,导致瓣中瓣安放困难;
3. 患者年龄大,病情重,抗打击能力较差。
4. 患者患有严重支气管扩张疾病。
5. 患者合并多种疾病,给手术带来很大挑战。
手术过程
该患者原二尖瓣生物瓣型号为25mm,经术中超声测量,决定为其植入一枚23mmJ-Valve瓣膜。在DSA引导下定位心尖,心尖穿刺后建立通道。利用加硬导丝,置入J-Valve植入器。术中,通过观察定位件跳动的形态判断瓣膜位置,同时可以清晰感觉到力的反馈。定位件稳稳锚定原瓣架,可看到三个定位件随着心脏搏动而自然摆动。确定好位置后释放瓣膜,锁丝脱钩,瓣膜与植入器完全分离。观察瓣周漏与瓣膜形态,TEE示瓣膜位置合适。

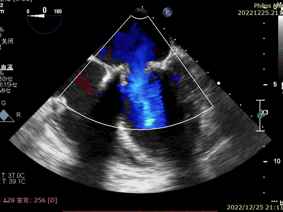
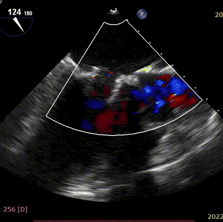
术前TEE显示大量反流

3D条件下测量衰败生物瓣瓣环内径

加硬导丝建立轨道,置入瓣膜输送系统

打开定位件,调整位置

释放J-Valve瓣膜后造影可见瓣膜形态良好

术后TEE显示反流情况明显改善

患者术后第二天拔管,恢复良好
总结
目前使用生物瓣膜的比例在不断升高,但生物瓣膜会随时间的推移及各种因素影响导致衰败,使其长期的耐久性有限,即结构性退化。通常患者需要再次行瓣膜置换术,而传统外科开胸手术创伤大,患者常因不能耐受而放弃外科手术治疗。经心尖瓣中瓣技术治疗二尖瓣生物瓣衰败(TMVR-ViV ) 作为再次外科开胸换瓣手术的更佳治疗方案,安全、可靠,且能够快速缓解患者的症状,提高生活质量和预期。
本次手术使用的J-Valve瓣膜系统为经心尖入路,操作路径短同轴性更好,因此给术者的力反馈更佳,即便在术前没有CT评估的情况下,也为手术操控性及安全性提供一定保障。同时,其独特的定位件夹持原生物瓣架的功能,具有巧妙的锚定优势。为临床提供更多的治疗方案选择。
白树堂教授及心外科团队进行了完整的手术策略及充分的术前准备,大大减轻了患者和家属的顾虑,手术过程顺利,患者获益良好,恢复健康。
专家简介
白树堂
海口市人民医院
心脏外科主任,主任医师,教授、硕士生导师。
海南省政协委员;海口市人大代表、市人大常委会委员;海南省医学会胸心血管外科专业委员会副主任委员;海南省医学会小儿外科专业委员会副主任委员;海口市医学会胸心血管外科专业委员会主任委员;国家心血管病专家委员会微创专业委员会第一届委员会委员;首届中国研究型医院学会心脏瓣膜病学专业委员会委员;亚洲心脏瓣膜病学会中国分会委员;中国非公医疗机构协会心血管外科专业委员会常务委员;海南省医疗纠纷人民调解协会副会长;海南省医师协会人文医学分会人文医学专家。
