仁心“人速”|广东省人民医院郭惠明、刘健教授团队应用极简式交界对齐技术完成Xcor™临床试验华南首例入组

2022年12月14日,在广东省心血管病研究所、广东省人民医院庄建教授、陈寄梅所长指导下,由心外科郭惠明教授、刘健教授领衔,谢年谨教授、郭海江教授、张煜源教授,以及麻醉科柴云飞教授、曹忠明、鲁超教授,心血管辅助诊断科费洪文教授、朱伟教授,心手术室陈晓霞、卢嫦青、刘晶老师,心外ICU罗丹东、李柳苑教授,以及护理团队谢雪均、郭娜老师等共同协作下,通过极简式技术,成功使用南京圣德医疗科技有限公司研制的自膨式TAVR产品Xcor™,为一位69岁的重度主动脉瓣狭窄老年男性患者顺利实施了经导管主动脉瓣膜置换手术。

入院时基本情况

患者,男,69岁。

主诉:反复胸痛、胸闷4年,加重3个月。

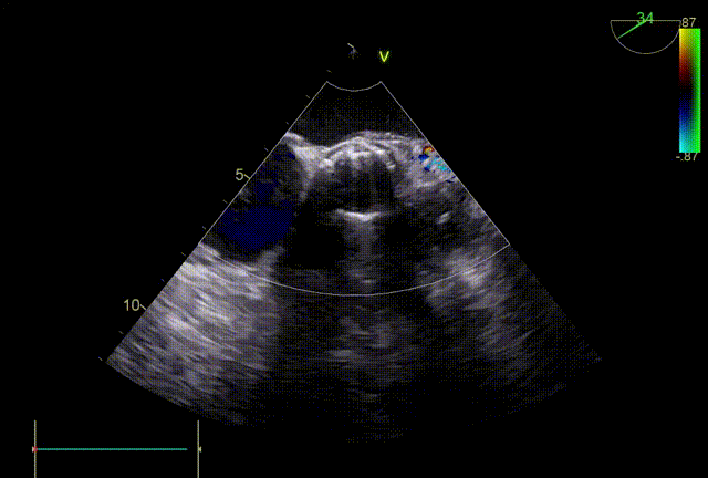
超声心动图提示:三叶式主动脉瓣,瓣叶钙化合并重度狭窄及轻度反流;二尖瓣轻关闭不全;左房增大,左室壁增厚。主动脉瓣口收缩期Vmax=4.7m/s;PGmean=48mmHg;EOA=0.71cm²。

主要临床诊断:主动脉瓣重度狭窄伴轻度反流;冠心病;冠脉支架植入术后;高血压3级;右侧肾动脉狭窄。

术前影像学评估

主动脉瓣瓣环及其他基本平面测量

主动脉瓣瓣上及瓣下多平面测量

外周血管评估

Tavigator™AI术前辅助决策平台

手术风险术前评估

经过医院多学科团队术前测量对病例深入分析,同时结合AI术前分析辅助决策软件进行三维和二维图像融合结果,指出本例难点/要点主要包括:

• 三叶式主动脉瓣,轻度钙化,瓦氏窦较小(直径约26-28mm),应注意瓣膜、预扩和/或者后扩球囊型号的选择;

• 患者心室隔膜部长度3mm,仍需注意新发房室传导阻滞风险;

• PCI术后,应为未来可能的Redo-PCI或者Redo-TAVR手术留有较大的操作空间。

• 外周血管入路最狭窄处直径无法满足经动脉TAVR手术器械的输送要求。

多科室团队制定手术策略

• 全麻下经心尖入路,植入Xcor™-23经导管主动脉瓣膜。使用较小球囊(18mm)预扩病变,同时再次评估/确认钙化情况及人工瓣膜尺寸选择合理性。

• 标准位释放瓣膜,尽可能降低新发房室传导阻滞风险。

• 通过术前影像分析及模拟,术中采用右窦居中投照角度,应用Xcor™独有的极简式交界对齐技术实现交界对齐。

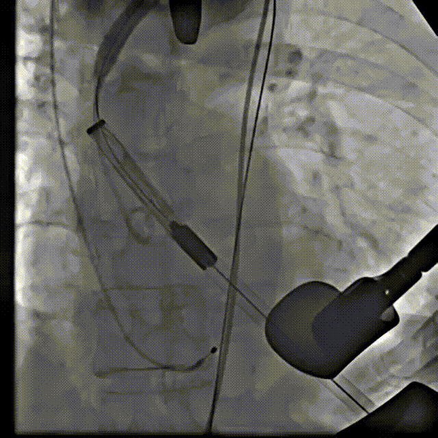
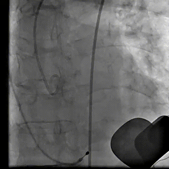
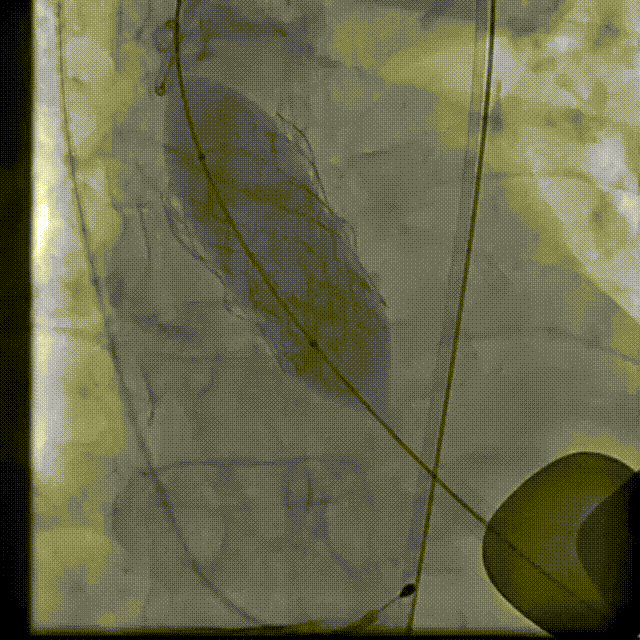
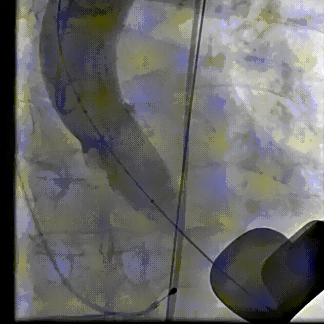
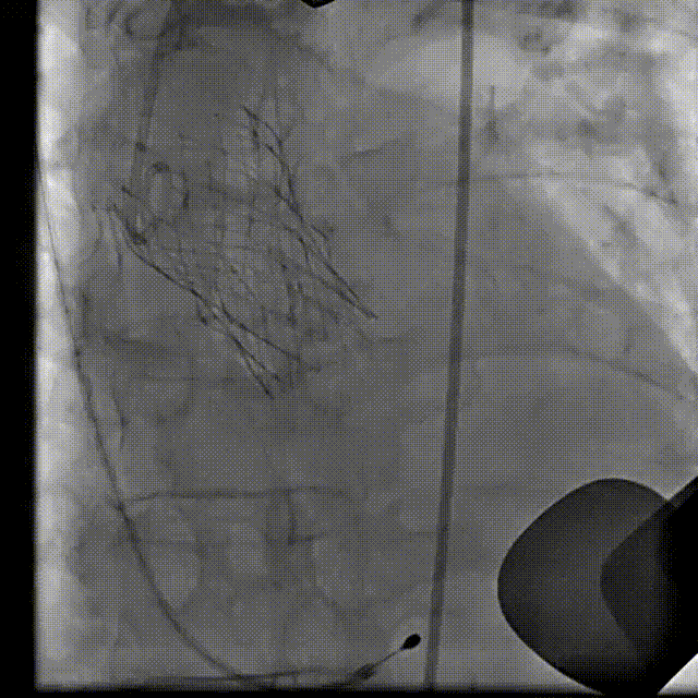
手术关键步骤


主动脉根部造影

18 mm球囊预扩张

输送系统到位

瓣膜交界对齐释放

22 mm球囊后扩

最终造影

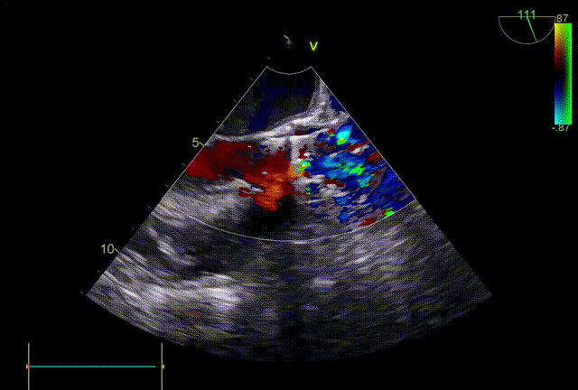
术后即刻TEE

主动脉瓣短轴切面

主动脉瓣长轴切面

术后即刻TEE示:主动脉瓣膜峰值血流速为1.2m/s,最大压差为5mmHg,平均压差为2mmHg。未见明显人工主动脉瓣反流及瓣周漏。

术者寄语

广东省人民医院心外科郭惠明教授:

在心外科、心内科、心血管麻醉科、手术室、心外重症监护室、心脏超声、放射影像及围术期护理等多学科团队齐心协力下,我们成功完成了本例TAVR手术。

本例手术有以下难点和特点:

• 本例患者为相对瘦小的老年男性,合并冠心病,外周血管条件不佳,因此选择了经心尖TAVR术式。

• 考虑到瓦氏窦容积小,并考虑影像分析整体结果,我们选择了Xcor™产品系列的最小型号(Xcor™-23)。同时通过标准位释放,在满足良好匹配原生瓣环直径的同时,规避了可能的大尺寸瓣膜对于瓦氏窦等结构可能的不良影响。术后亦无新发房室传导阻滞。

• 本例虽为本中心应用Xcor™产品的第一例临床试验入组,但是通过周密的术前评估以及术中应用Xcor™独有的极简式释放技术,快速实现了从预扩张至瓣膜交界对齐释放完成,释放效果佳,术后血流动力学指标改善明显。


专家简介

郭惠明

广东省人民医院

主任医师,博士研究生导师。广东省人民医院广东省心血管病研究所心外科副主任和微创专业、冠心病外科、房颤外科等学科带头人。担任国际微创胸心外科学会成员(ISMICS)、美国胸外科协会委员(AATS membership)、亚洲心脏瓣膜病学会中国分会常委、国家心血管病专家委员会微创心血管外科专委会副主任委员、中国医师协会心血管外科分会常委和微创学组副组长、中华医学会胸心血管外科分会委员、中国研究型医院学会房颤专委会副主任委员、广东省医学会心血管外科学分会副主委等。本单位心外科在2021年“复旦排行榜”为全国第三,为全国完成全腔镜心脏手术数量最多(800例每年)、手术模式最复杂的中心,腔镜手术基本覆盖了所有的心脏外科手术。除了常规手术,高危高龄患者也接受了全方位的微创治疗模式。郭惠明团队已经建立了良好的人才梯队和微创心脏中心,拥有五套腔镜(其中一套为3D腔镜)心脏手术设备,可以同时开展5台以上全腔镜心脏手术,在成人心血管外科领域尤其是腔镜微创心脏外科拥有崇高的学术地位。被授予国家卫生部微创技术培训基地、华南腔镜心血管外科培训基地和TAVI培训基地,接受了国内外多家心脏中心外科医师的培训,使本单位的腔镜技术得以推广和受益于患者。目前致力推动建立多学科心脏团队,开展心脏杂交手术,以治疗复杂和高危患者。特别是在“孤立性房颤”和“三支血管病变冠心病”的分期内、外科杂交治疗模式被誉为“广东模式”,得到业界的广泛认可。2016年荣获“中国医师协会心血管外科好医师奖”之“优秀中青年医师奖”(金刀奖);2015~2016年度《中国名医百强榜》中被评选为微创心脏外科专业前五强,2016-2017年度《中国名医百强榜》中被评选为微创心脏外科专业第一名;2018年度“国家名医.优秀风范”。先后荣获中华医学二等奖、广东省自然科学一等奖、广东省科技二等奖等。发表SCI文章80多篇。既往课题资助金额超过300万,在研课题资助金额超过100万,涉及多项国家级、省级、市级课题。与牛津大学、多伦多大学有合作项目。

刘健

广东省人民医院

副主任医师,医学博士,硕士研究生导师,广东省人民医院房颤中心专家委员会副主任。Heart Center, Linkoping University Hospital, Sweden、Deutsches Herzzentrum Berlin (DHZB)访问学者。专业方向为心血管疾病的微创手术治疗。擅长微创小切口、完全胸腔镜心脏外科手术及经导管介入瓣膜手术。是国内极少数同时掌握经皮介入手术、全腔镜手术、各类小切口及常规开胸心脏手术的复合型微创心血管病专家。为患者提供从微创小切口到全腔镜再到经导管介入的个体化微创治疗方案。

担任中华医学会胸心血管外科学分会青委会委员,中国医师协会心血管外科医师分会青委会委员,中国研究型医院学会心房颤动防治专业委员会委员,亚洲瓣膜病学会中国分会介入治疗技术学术委员会委员,国家心血管病专家委员会微创心血管外科专委会委员,国际微创心胸外科学会会员(MemberofISMICS),广东省人民医院房颤中心专家委员会副主任委员,中国医师协会心血管外科医师分会心律失常专业委员会委员,中国医师协会心血管外科医师分会微创专业委员会委员,中国生物医学工程学会免疫治疗工程分会第一届委员会青年委员,《中华生物医学工程杂志》中青年编委,《中华生物医学工程杂志》、《中国胸心血管外科临床杂志》等杂志审稿专家。

阅读数: 2023