病例荟萃第三十一期 | 支伟:Telescope™辅助处理右冠脉开口畸形伴钙化一例

支伟 河北医科大学第二医院


简要病史


男性,55岁。

主诉:间断胸痛2年,加重10天入院。

现病史:患者于2年前活动后出现胸痛,伴剑突下烧灼感、伴肩背部放射痛,无其他伴随症状,经休息约1-2分钟后缓解,后症状间断发作,10天前患者上述症状再次发作,程度较前加重,后就诊于当地医院,查心电图提示II、III、avF、V1-V3导联呈QS型。

心脏彩超提示:EF35%,左室前壁、下壁及心尖部运动减低,左心扩大,二尖瓣中度反流;为行进一步诊治收入我科。

既往史:既往高血压病史2年,血压最高160/110mmHg,平素口服替米沙坦、尼莫地平控制血压,平素血压波动于130/90mmHg;既往糖尿病病史2年,平素口服二甲双胍、格列苯脲控制血糖,未规律检测。

个人史:否认烟酒等不良嗜好。

检查结果

【体格检查】

● T36.4℃ P70次/分 R15次/分 BP140/103mmHg;

● 神清,双肺呼吸音清,未闻及干湿性啰音。心率70次/分,律齐,各瓣膜听诊区未闻及杂音。腹软,无压痛及反跳痛,肝脾肋下未触及。双下肢无水肿。

【实验室检查】

● 糖化血红蛋白:10.1%;

● 血小板聚集率ADP:79.4%;

● 低密度胆固醇:1.17mmol/L;

● 血常规、肾功能、电解质、肝功能等未见明显异常。

【辅助检查】

● 心电图:窦性心律,心率70次/分,II、III、avF、V1-V3导联呈QS型,II、III、avF导联T波倒置。

● 心脏彩超:左心扩大(LA39mm,LV57mm),二尖瓣轻度关闭不全,室间隔中下段、左室下壁下段、左室心尖部室壁变薄,运动消失,左室侧壁下段、下壁基底段、中段运动幅度减低,余节段未见明显异常;左室射血分数减低(EF 41.4%)。

临床诊断

【临床诊断】

● 冠心病

● 不稳定型心绞痛

● 陈旧性心肌梗死

● 心力衰竭 NYHA IIIC

● 高血压病2级 极高危

● 2型糖尿病

【用药情况】

● 阿司匹林肠溶片 100mg QD

● 替格瑞洛 60mg BID

● 阿托伐他汀钙片 20mg QN

● 硝苯地平控释片 30mg QD

● 呋塞米 20mg QD

● 螺内酯 20mg QD

● 恩格列净 10mg QD

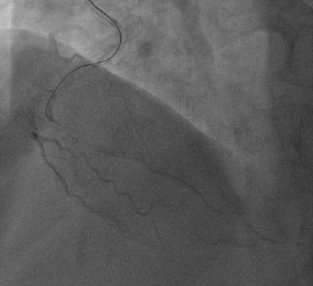
冠脉造影

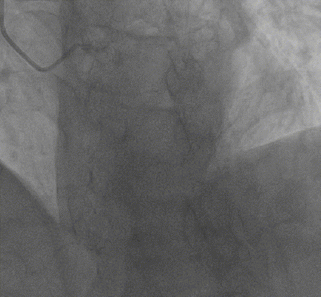
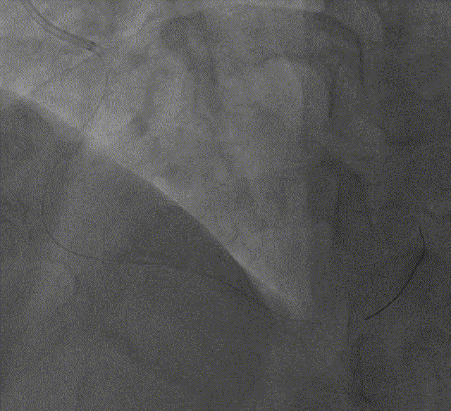
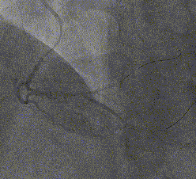
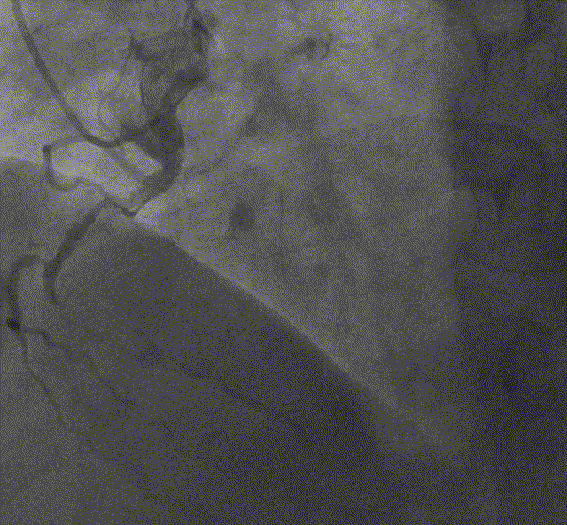
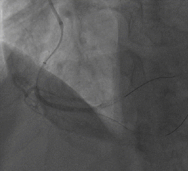
LM远端局限狭窄约50%;LAD自D1后慢性完全闭塞,可见桥侧支;LCX中段长短、段不规则狭窄最重约90%;可见左冠向右冠侧支循环

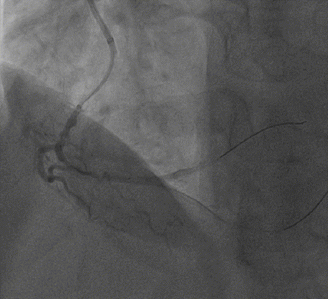
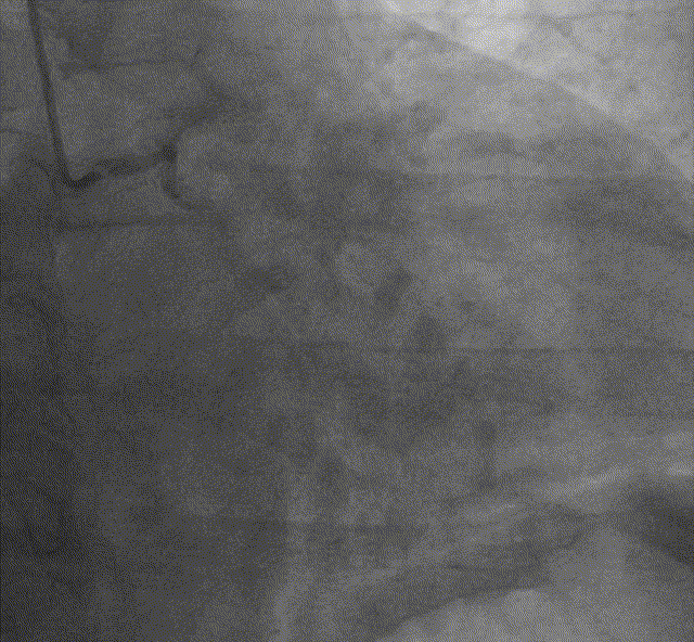
RCA开口畸形,第一转折长段不规则狭窄伴钙化最重约70%,自第二转折次全闭塞

处理策略

【手术策略】

● CABG

● PCI

【器械选择】

● 指引导管SAL 1.0

● XT-A+穿通导管/微导管

● 缺少1.25、1.5球囊(集采、疫情导致小球囊供应短缺)

● Tazuna 2.0*15mm球囊

介入经过及结果

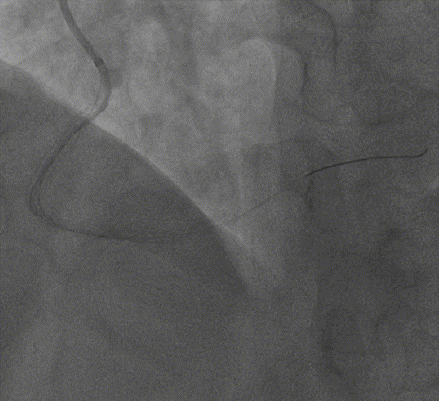
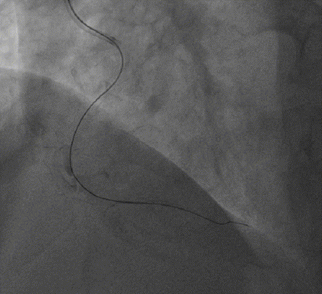
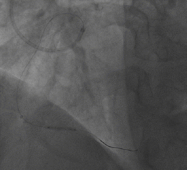
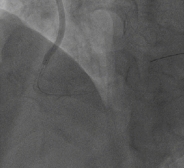
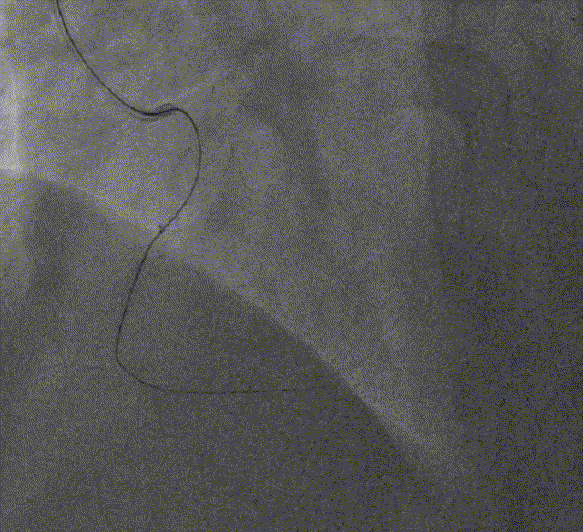
XT-A导丝到位闭塞部位近端

XT-A+微导管顺利通过闭塞部位

问题

【PCI】

● 指引导管SAL 1.0

● 术中微导管、穿通导管尝试均难以通过闭塞部位

● 缺少1.25、1.5球囊(集采、疫情导致小球囊供应短缺),Tazuna 2.0*15mm球囊掘进困难

【解决办法】

1.更换指引导管(指引导丝无法保留)

2.边支锚定球囊(可能造成边支损伤)

3.Telescope™导引延长导管(RCA为次全闭塞,存在侧支循环,缺血耐受性好)

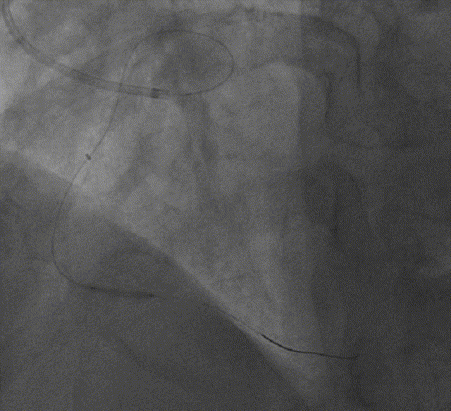
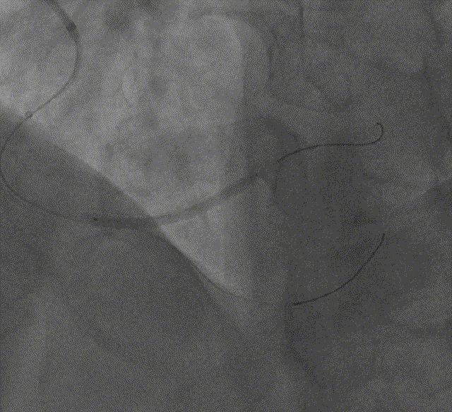
Telescope™导引延长导管前进+Tazuna2.0*15mm球囊*2(期间更换一次)掘进交替进行

更换XT-A为SION blue导丝,Tazuna 2.0*15mm反复扩张

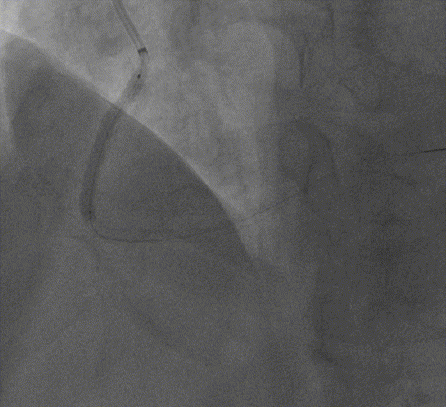
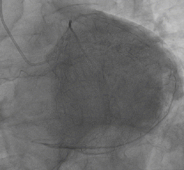
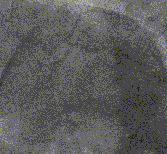
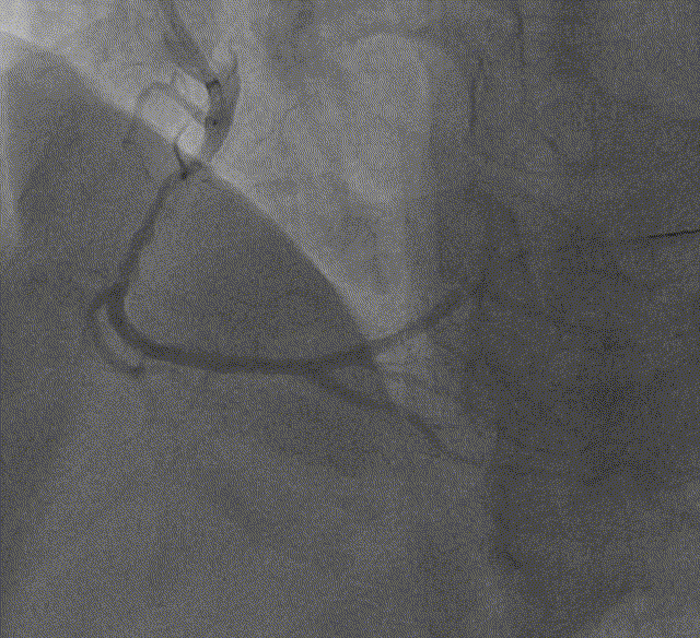
于PL送入SION blue导丝、Tazuna 2.0*15mm球囊扩张PL,Telescope™导引延长导管支持下植入2.5*36mm、3.0*33mm、3.5*36mm支架各一枚

Telescope™导引延长导管支持下植入2.5*36mm、3.0*33mm、3.5*36mm支架各一枚

Telescope™导引延长导管支持下植入2.5*36mm、3.0*33mm、3.5*36mm支架各一枚

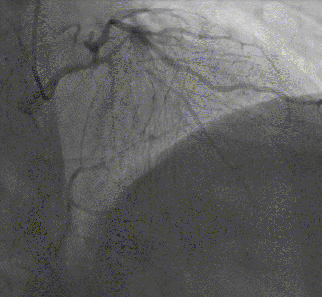
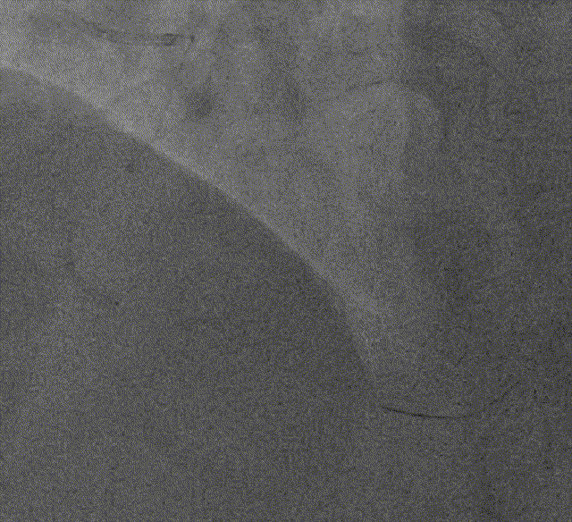
最终结果

PCI术后治疗

【出院带药】

● 阿司匹林肠溶片 100mg QD

● 替格瑞洛 60mg BID

● 阿托伐他汀钙片 20mg QN

● 硝苯地平控释片 30mg QD

● 沙库巴曲缬沙坦 50mg BID

● 呋塞米 20mg QD

● 螺内酯 20mg QD

● 恩格列净 10mg QD

● 阿卡波糖 50mg TID

经验体会及总结

Telescope™导引延长导管的应用体会

● 提供较好的额外支撑力,弥补指引导管支撑力不足,避免强支撑导管对冠脉口的损伤;

● 为迂曲、钙化病变,提供顺滑、可靠的输送平台,减少支架脱载的情况;

● 缩短手术时间,提高手术效率;

● 轻柔操作,缩短延长导管冠脉内停留时间,避免造成冠脉长时间缺血。

讨论

LM远端偏心钙化斑块,可能影响器械通过,LCX中段、ladcto及LM病变处理顺序及策率

专家介绍

-  支伟 -

河北医科大学第二医院


河北医科大学第二医院,心内科主治医师,硕士研究生学位。心肌梗死急诊救治绿色通道抢救组成员,长期从事冠脉介入工作,致力于冠状动脉病变的腔内影像学及血管生理学研究。参与多项省自然基金课题,目前参与十三五重大专项课题分中心课题相关工作,国内核心期刊发表多篇论文。

长按二维码关注“一脉同行”

阅读数: 434