海神之戟、克难攻坚——国内首款“斜面旋切”棘突球囊导管力克重度纤维化病变,助力高阻力病变优化治疗

冠脉介入治疗中高阻力病变十分多见,因伴有器械通过困难等问题,常为广大介入医师所苦恼。随着PCI技术的不断精进,高阻力病变的应对策略选择逐渐增多,其中通过“斜面旋切”棘突球囊等改变病变的形态和性质便是一类处理高阻力病变的有效措施。“斜面旋切”棘突球囊凭借360°切割效果、避免较大夹层等显著优势,为众多专家所瞩目。近日,天津市胸科医院李曦铭教授、马宇教授团队应用“斜面旋切”棘突球囊对重度纤维化病变行充分预处理,使得后续器械顺利通过,最终成功完成高阻力病变介入治疗一例。该例手术的顺利开展,生动展示了“斜面旋切”棘突球囊在助力高阻力病变优化治疗时,获得理想预处理效果方面的巨大优势,为广大术者更好地处理复杂病变介入治疗提供了指导与借鉴。

病患基本信息和病史

基本情况:女性,69岁,主因“后背疼痛1周余”入院。

现病史:入院前1周余活动量增加时感左侧后背疼痛,伴左侧脖颈部、左肩及左臂疼痛,无心悸、出汗,无胸闷,无反酸、暖气,无惡心、呕吐,无头晕、头痛,无黑矇及晕厥,症状持续2-3分钟可缓解,症状发作逐渐频繁,就诊外院考虑冠心病,现为进一步诊治收入院。

既往史:高脂血症病史10余年。

体格检查:无明显阳性体征。

实验室检查:LDL 5.2 mmol/L。

入院诊断:冠状动脉粥样硬化性心脏病,不稳定型心绞痛,心功能II级(NYHA)。

术前检查与治疗策略

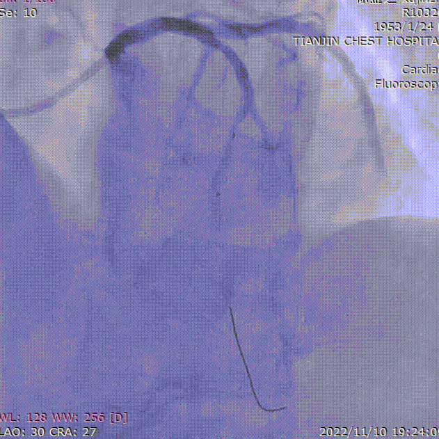
冠脉造影:右冠未见明显狭窄,LAD中段管状狭窄90%。

左冠多体位造影

右冠造影

治疗策略:冠脉造影发现LAD中段狭窄,但并未明确病变部位斑块性质。因此,考虑选择使用OCT评估病变性质,并决定进一步处理措施,同时针对LAD中段病变进行干预。若病变部位存在高阻力病变,考虑优先使用带有360°全覆盖“梯形”棘突丝的“斜面旋切”棘突球囊进行预处理,评估病变改变的形态,再决定后续操作。

手术流程

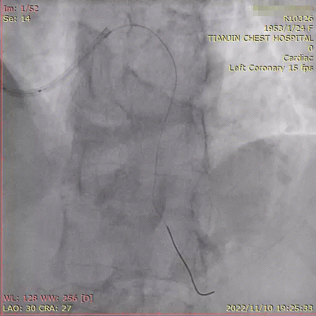
术中送6FXB3.5指引导管至左冠开口,送SION导丝通过LAD病变到达远端。行LADOCT检查示,病变长度为10.95mm,全程以纤维斑块为主,MLA1.77mm²,斑块负荷34%,全程未见TCFA、斑块破裂、钙化结节、血栓等高危斑块特征,近段参考直径为1.58 mm,远段参考直径为1.43 mm。

OCT影像

之后,先沿导丝送入赛诺医疗半顺应性球囊Tytrak2.5*15 mm至LAD病变部位进行预处理。

Tytrak球囊预扩张

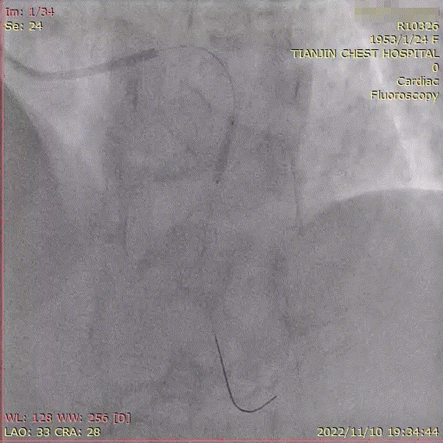
因存在严重残余狭窄,考虑进一步处理,遂送入2.75*10 mm “斜面旋切”棘突球囊,顺利到位后,以8-12 atm*5 s反复多次扩张狭窄病变处,扩张后顺利推送通过病变,通过性良好;重复造影提示病变段狭窄减轻,残余狭窄<30%,未见明显夹层。

送入棘突球囊

棘突球囊处理病变效果理想

再次OCT检查示,“斜面旋切”棘突球囊预处理效果理想,可见多角度切痕,充分割裂阻力斑块,病变准备充分,MLA处纤维环打开,少量内膜撕裂,未见明显夹层、血肿。

OCT影像复查

而后结合OCT影像以1:1比照血管直径选取2.75*15 mm DCB球囊,完全覆盖病变段后以10 atm扩张释放90 s助药物释放吸收。

药物球囊扩张

术后造影显示LAD中段局部狭窄基本消失,远端血流TIMI 3级;术后再次行OCT示,MLA达到2.68mm²,管腔丢失明显改善,且无严重夹层、撕裂等形成,手术效果满意。

术后造影复查

术后OCT复查

术后用药

1、阿司匹林0.1 g Qd

2、氯吡格雷75 mgQd

3、瑞舒伐他汀10 mg Qn

4、地尔硫卓缓释胶囊90 mg Q12h

5、普罗布考0.25 g Bid

6、曲美他嗪缓释片35 mg Bid

术后评语

该病例为LAD中段90%严重狭窄,病变直径<2.8 mm,病变长度为10.95 mm,全程以纤维斑块为主,属于小血管高阻力病变。高阻力病变是临床中遇到的较常见的复杂病变,通常表现为器械通过困难甚至无法通过的病变段,可导致后续操作困难。如何提高冠脉高阻力病变手术成功率备受关注与讨论,解决上述问题的关键是获得理想的病变预处理效果。

针对本病例以纤维斑块为主的特点,以全面打开纤维环、减少弹性回缩的预处理为策略,决定选用“斜面旋切”棘突球囊,希望通过改变高阻力病变的形态和性质以助力后续器械的顺畅通过。
从术中操作来看,通过性较强,且在较低压强下可获得更多规则裂痕;同时,“斜面旋切”棘突球囊的金属丝呈梯形状,且三条360°全方位布局。在处理斑块后没有造成血管的纵向撕裂,避免出现较大夹层。可以说,“斜面旋切 ”棘突球囊治疗冠脉疾病具有良好的安全性及有效性,也正是在这款新型“斜面旋切”棘突球囊的助力下,最终获得了较好的预处理效果。该产品的问世,为冠心病患者提供先进技术和优质治疗方案的同时,可推动我国复杂冠脉介入诊疗水平再上新台阶。

专家简介

李曦铭

天津市胸科医院

心内科主任医师,博士研究生导师,天津市“131”第一层次人才;天津大学附属天津市胸科医院科教科科长;天津市医学会心血管病分会青委会副主任委员、天津市医学会介入医学分会常务委员、中华医学会心血管病学分会基础医学组委员、天津市医师协会介入医学分会常务委员、天津市中西医结合学会介入医学专业委员会常务委员、中国老年学和老年医学学会老年病学分会心血管病精准医疗专家委员会常务委员等;主要从事冠心病的介入诊疗工作,是卫健委冠心病介入诊疗培训基地导师。完成国家级课题2项,天津市级课题10余项,发表论文60多篇,其中SCI/EI20多篇,获天津市科学技术进步二等奖一项、三等奖2项。

马宇

天津市胸科医院

心内科主治医师,天津市心脏重症专业委员会青年委员,中国民族医药学会整合分会委员,天津健康教育协会心肺康复专委会委员。在心血管领域从事临床工作10年,积累了丰富的临床和科研工作经验,掌握心内科常见病、多发病以及危重病的诊断和治疗工作,参加2021中华医学会第二十三次全国心血管年会暨第十二届海峡心血管病高峰论坛优秀论文交流。已发表论文4篇,其中核心期刊2篇,SCI论文2篇,目前主持天津市卫健委青年基金课题1项。

阅读数: 4413