病例荟萃第二十九期|王欢:Telescope™辅助逆向开通CTO一例

王欢 空军军医大学西京医院


简要病史


患者男性,57岁

间断胸闷半年

半年前于当地医院造影发现“三支病变”,尝试开通CTO失败

既往糖尿病病史

LDL:1.61

心脏超声:EF 59%

临床诊断

冠状动脉粥样硬化性心脏病

不稳定性心绞痛

心功能Ⅱ级

2型糖尿病

治疗方案(药物治疗)

阿司匹林

替格瑞洛

瑞舒伐他汀

琥珀酸美托洛尔

达格列净

尼可地尔

依洛优单抗

治疗方案(介入治疗·冠脉造影)

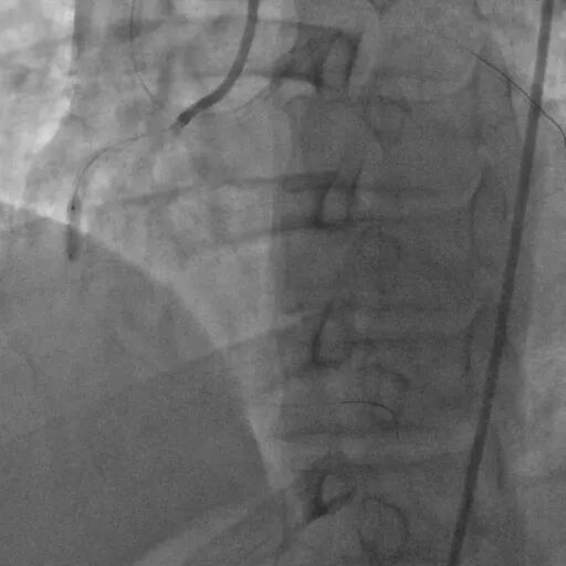
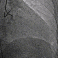
LCX近段30%狭窄,OM1 80%狭窄,OM2 90%狭窄,LAD近段100%狭窄,D1高位发出,80%狭窄。

冠脉造影

RCA中段支架内增生 80%,PL 100%。

手术策略和器械选择

手术策略

首选正向开通CTO。

正向开通不成功的情况下一旦启动逆向必须优先处理RCA狭窄。

开通CTO同时要保证重要分支不能丢失。

介入经过及结果

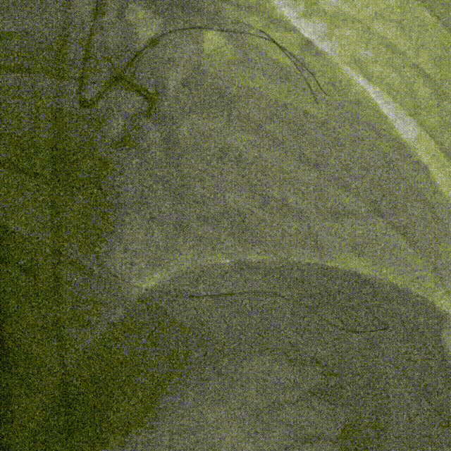
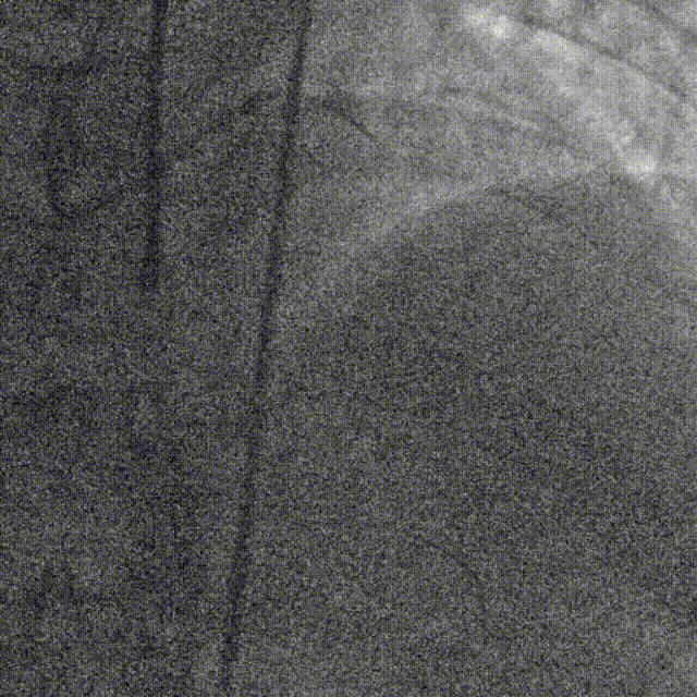
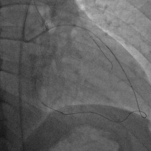
双侧造影明确LAD开口位置和临近血管关系。

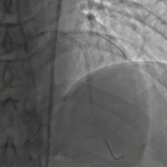
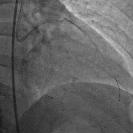
Corsair135辅助下先后尝试使用P200/G3导丝未能突破近端纤维帽,最终CP12突破后进入血管结构内,同时进行多角度确认。

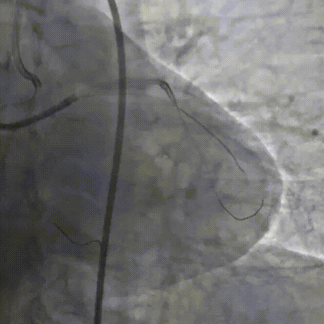
尝试调整导丝重回真腔未成功,直接使用XTA导丝knuckle。

跟进corsair并交换LP球囊后,先后尝试G3/CP12/8-20等导丝穿刺均失败。

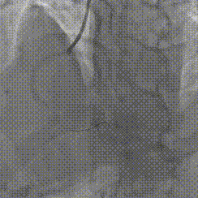
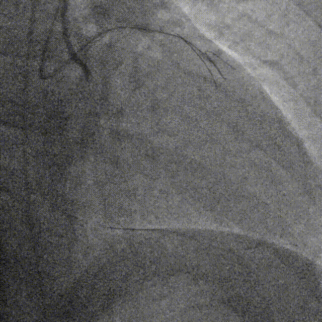
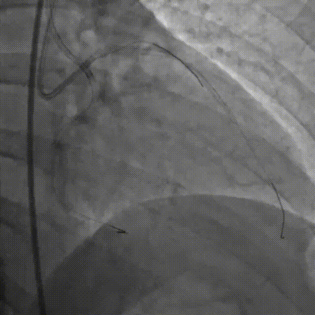
直接尝试逆向,RCA中段3.0*10切割后,使用Finecross150+SUOH03通过心外膜逆向进入LAD,FC轻松跟进。

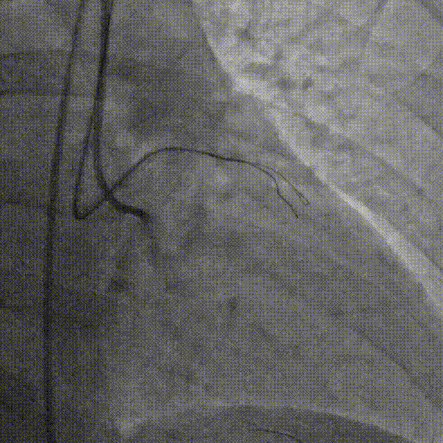
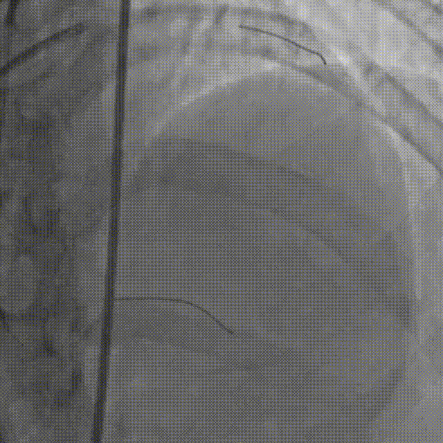
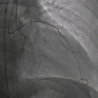
使用P200导丝攻击远端纤维帽前进困难,更换G3进入LAD近段内膜下,直接使用Telescope™导引延长导管辅助下AGT技术,r-CART后G3顺利进入Telescope™导引延长导管。

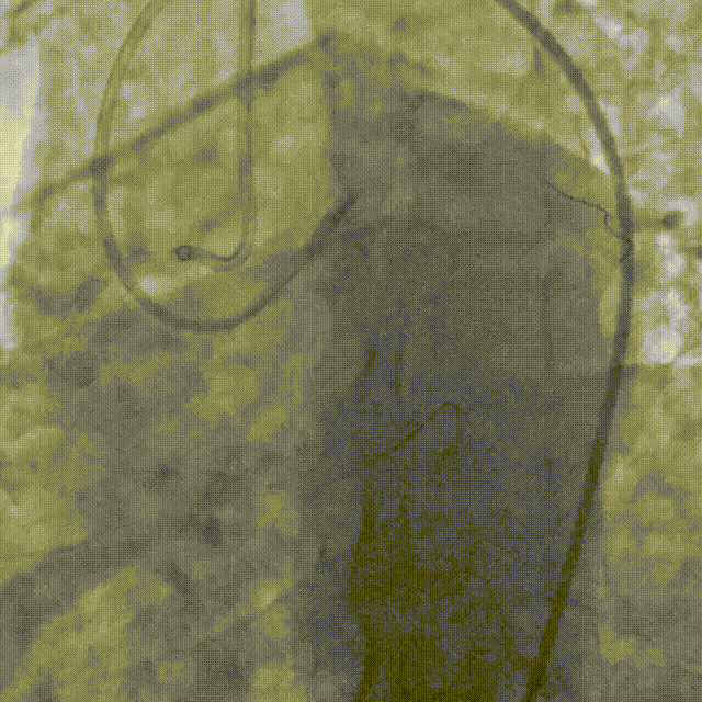
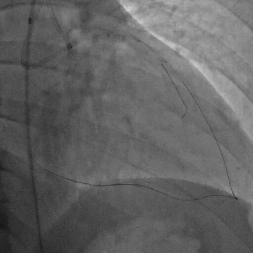
直接使用G3导丝rendezvous,球囊扩张后行IVUS检查确定血管直径及支架落脚点。

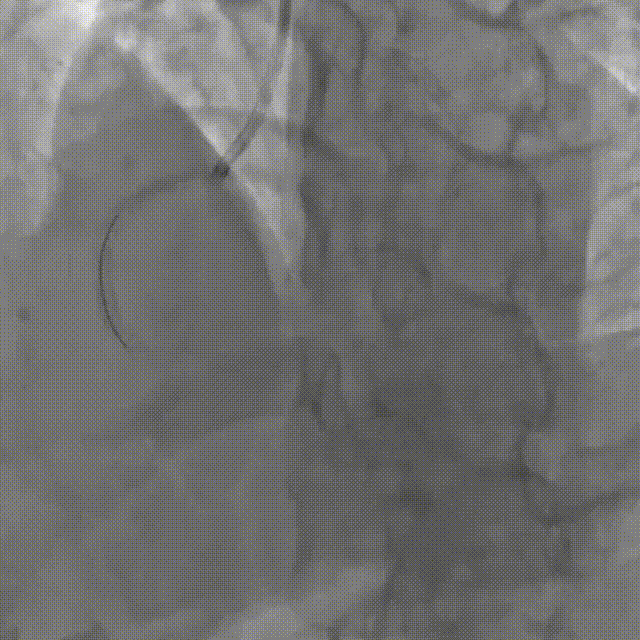
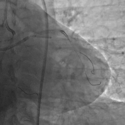
D1释放DCB,LAD植入支架后D1血流影响,工作导丝找回后使用球囊扩张并kissing。

造影发现LAD远端病变仍较重,释放DCB。

复查造影并行ivus检查 支架贴壁良好 无累及夹层。

RCA中段扩张后出现夹层,植入DES。

经验体会及总结

开通CTO时应注意多种技术结合转换,高效开通亦有益于成功率的提高。

Telescope™导引延长导管通过性优越,在进行逆向开通CTO的AGT操作过程中可能带来更好的效果。

开通CTO应注意重要分支的保护,所有分支保留的开通才是“完全开通”。

专家介绍

-  王欢  -

空军军医大学西京医院

陕西省医师协会会员,年均完成各类介入手术近千例。擅长结合血管腔内影像学,正、逆向导丝技术及旋磨、激光、器械辅助的ADR技术等,完成包括左主干、严重扭曲钙化、慢性闭塞病变(CTO)等复杂冠脉的介入治疗;心脏内科心脏瓣膜病团队及ECMO团队成员。

长按二维码关注“一脉同行”

阅读数: 542