化繁为简 以柔克刚 钙化处理新神器——广西医科大学第一附属医院心内科李浪教授团队完成冲击波球囊处理长钙化病变1例

近期,继广西医科大学第一附属医院心内科李浪教授团队完成广西第一例使用Shockwave冲击波导管治疗重度钙化病例后,该团队完成了一系列使用Shockwave冲击波导管治疗左主干、开口病变、迂曲等特殊钙化病变的介入治疗,现分享一例Shockwave冲击波导管治疗长段钙化病变。

Case1 患者信息

患者男性,80岁,胸闷痛10年。

危险因素:高血压未控制,糖耐量异常。

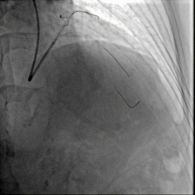
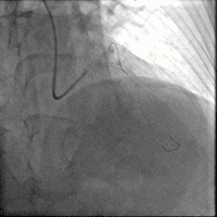
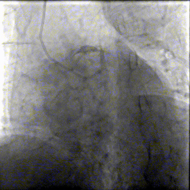
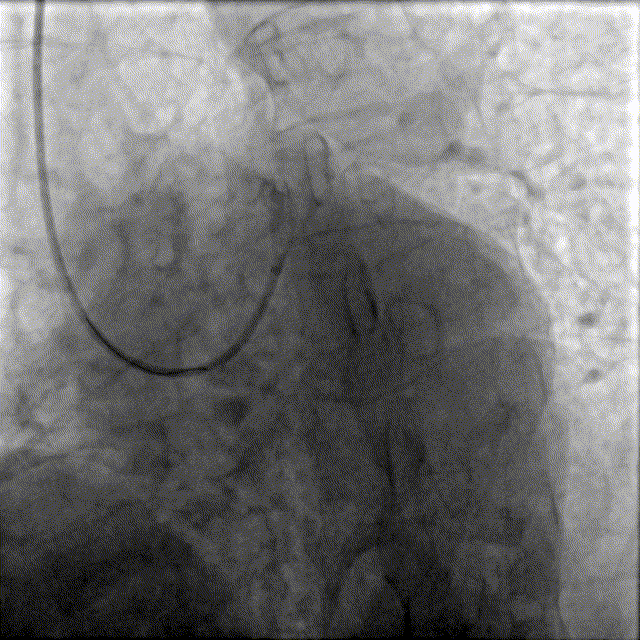
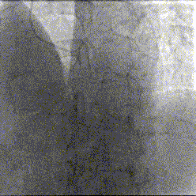
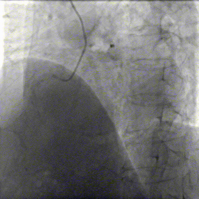
造影如下

患者左主干前三叉1,0,1型病变,主干末端偏心40%狭窄;前降支病变自开口延续至中段,口部80%狭窄,中段80%狭窄,病变位置钙化严重;回旋支近段约30%轻度狭窄,第一及第二钝缘支开口80%局限病变。

分析该造影结果

1.左前降支病变适宜PCI治疗,三叉虽为101病变但主干偏心狭窄,管腔狭窄程度有限,三叉位置策略采用精确定位前降支开口还是单支架跨越(CrossOver)方式,可先以IVUS精确测量主干管腔面积指导选择。

2.回旋支口部管腔未见严重病变且发出角度大,故可采用导丝保护策略,以简化手术过程。

3.前降支系钙化病变,预处理需采取针对钙化斑块的消蚀或碎裂策略。钙化病变较长,旋磨碎屑量大,慢血流风险高,且旋磨过程分支不可保护,如出现回旋支开口夹层则补救处理迟滞。另外,左右头位可见主干与前降支成角较大,且病变位置血管僵硬,故而旋磨穿孔风险很大。因此,该例决定采用冲击波球囊碎裂钙化,冲击波可在安全穿过软组织同时碎裂浅层和深层钙化。

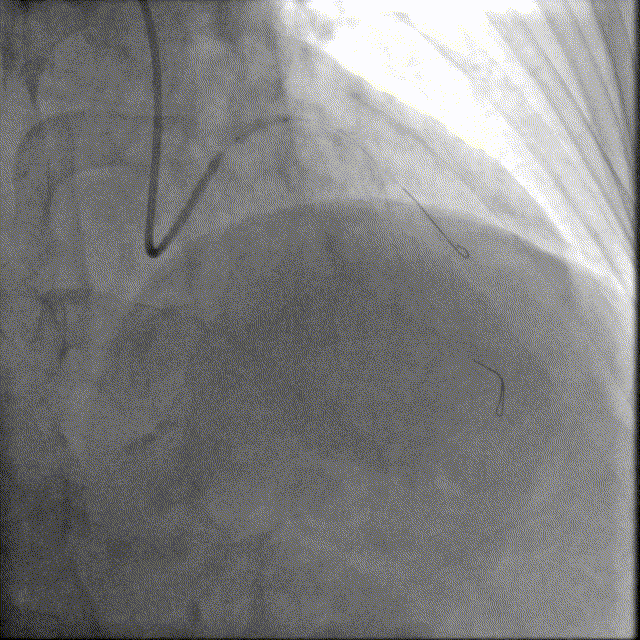
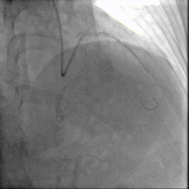
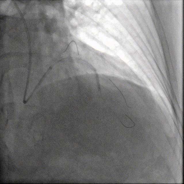
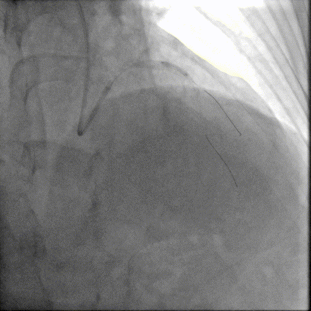
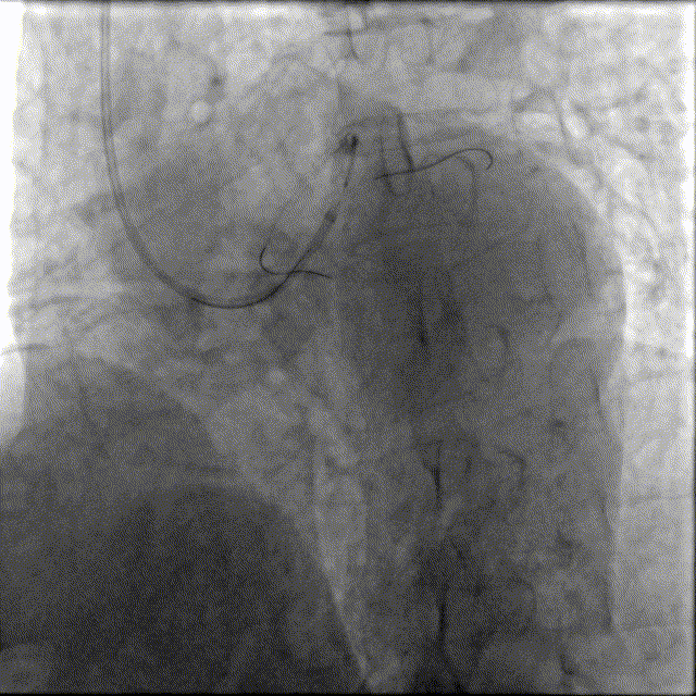
选择EBU指引导管,以2.0预扩张球囊及2.5×12mm耐高压球囊预扩前降支近段病变,可见不同程度的球囊膨胀欠佳。

IVUS见左主干远段MLA:7.05mm²;前降支近段MLA:2.68mm²,中段MLA:2.63mm²,前降支近段至中段可见多发钙化小节突入管腔,局部90°-270°钙化,前降支开口至中段管腔直径约2.5-3.5mm,严重钙化段管腔直径约2.85-3.5mm。

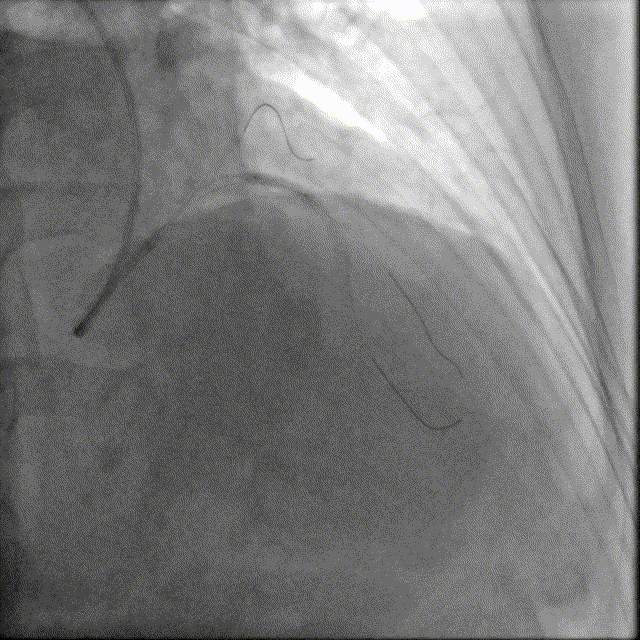
根据IVUS结果,调整术式为精确定位前降支开口,预处理方式用3.0mm×12mm shockwave冠脉血管内冲击波导管。

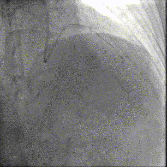
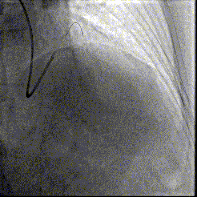
冲击波导管送至左前降支,由中段至开口依次以4atm压力初始冲击扩张,6atm压力巩固扩张,共冲击扩张10秒×8个周期,可见球囊逐渐膨胀充分。此阶段在处理前降支开口时预置回旋支保护导丝。

预处理效果满意。

复查IVUS提示前降支原近中段钙化斑块、钙化小节碎裂,未见明显夹层。

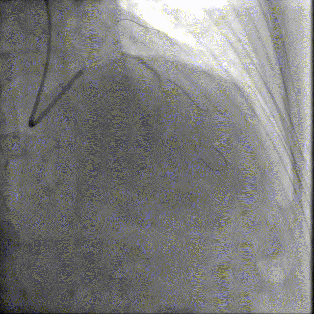
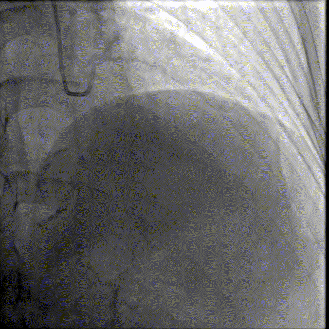
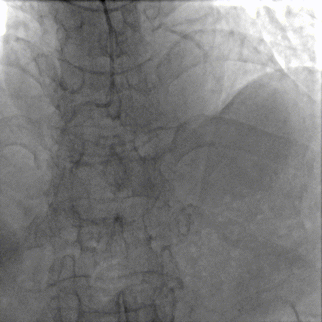
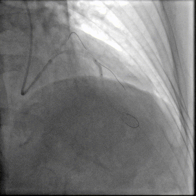
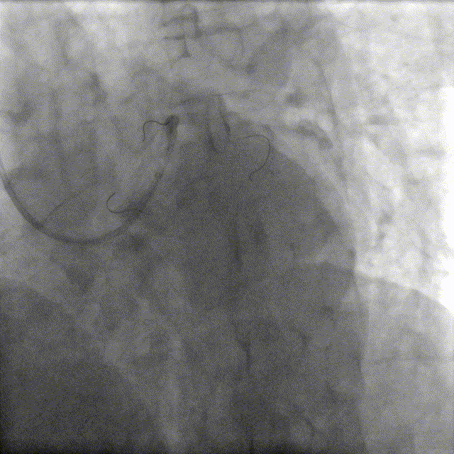
于前降支中段近段口串联2.5mm×18mm、3.0mm×18mm DES。

前降支开口精确定位植入3.5mm×18mm DES。

2.5mm-3.5mm后扩球囊后扩张。

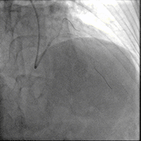
最终结果满意,复查IVUS支架膨胀、贴壁良好!

术后点评

这个病人既涉及前降支开口又有长段钙化两种复杂情况,使用Shockwve冲击波导管做到化繁为简,在前降支成角较大,且病变位置血管僵硬,故而旋磨穿孔风险很大,使用Shockwave可以安全有效进行治疗,在长段钙化病变,相比旋磨碎屑量大,慢血流风险高,且旋磨过程分支不可保护,如出现回旋支开口夹层则补救处理迟滞,使用Shockwave则可以很好避免以上情况,做到以柔克刚,减少慢血流风险,是钙化处理新神器。

本次李浪教授团队在手术中使用的Shockwave血管内冲击波治疗技术在2022年5月刚刚在我国正式获批上市。通过球囊内的电极发生脉冲产生的声压力波可以选择性地作用血管壁内膜和中膜下的钙化病灶,使钙化病变松解又不影响血管内膜的完整性,达到钙化斑块修饰的效果,即刻扩大管腔面积,为后续的支架顺利置入和展开提供充分的管腔条件,也弥补了目前对于严重钙化病变预处理技术的一些不足,真正做到血管扩张且无损伤。

广西医科大学第一附属医院作为广西心血管介入治疗技术质控中心和国家卫健委冠心病介入诊疗技术培训基地,我们将加强该技术的规范化操作与应用的培训,推广普及该项技术。随着冠状动脉血管内钙化斑块碎裂技术进入广西地区,相信会给越来越多的冠心病严重钙化狭窄患者介入治疗带来福音。

专家简介

孙羽涵

广西医科大学第一附属医院

博士,主治医师,中国介入心脏病学大会学术委员,中国研究型医院心血管专业委员会青年委员。

阅读数: 2047