病例荟萃第二十五期|王立新:Telescope™导引延长导管在钙化迂曲病变应用一例

王立新 北京大学第三医院延庆医院


简要病史


患者,男性,67岁。

间断胸闷17小时,伴气短、出汗、乏力。

高血压30年,2型糖尿病30年,高脂血症1年。

体温:36.5℃   脉搏:90次/分  呼吸:19次/分  血压:113/63mmHg。

口唇无发绀,颈静脉无怒张,双肺呼吸音清,未闻及干湿啰音,心界不大,心率90次/分,心律齐,各瓣膜听诊区未闻及病理性杂音,腹软,无压痛及反跳痛,肝脾肋下未及,双下肢不肿。

实验室检查:

CK 359u/L, TNL 18.9ug/L, NT-proBNP  1040pg/ml;

GLU 6.8mmol/L, CHO 2.99mmol/L,LDL-c  2.18mmol/L;

HbA1C 6.6%。

心电图

胸片

超声心动图

临床诊断

【临床诊断】

  1. 冠状动脉粥样硬化性心脏病,急性下壁正后壁心肌梗死,心功能I级(Killip's  分级)

  2. 2型糖尿病

  3. 高血压病2级(极高危)

  4. 高脂血症

【危险评分】

  • TIMI评分:5分  中危

  • GRACE评分:134分 中危

【用药情况】

  • 阿司匹林 100mg qd

  • 替格瑞洛  90mg  bid

  • 瑞舒伐他汀钙 10mg qn

  • 术前比伐芦定以0.75mg/kg推,术中以1. 75mg/kg.h静脉泵入

冠脉造影

回旋支:近段钙化,全程管壁不光滑,远段狭窄50%-60%。

左主干:钙化;

 前降支:全程管壁不光滑,开口及近中段钙化,发出D1后狭窄40-50%。可见S-RCA远段形成1级侧支。

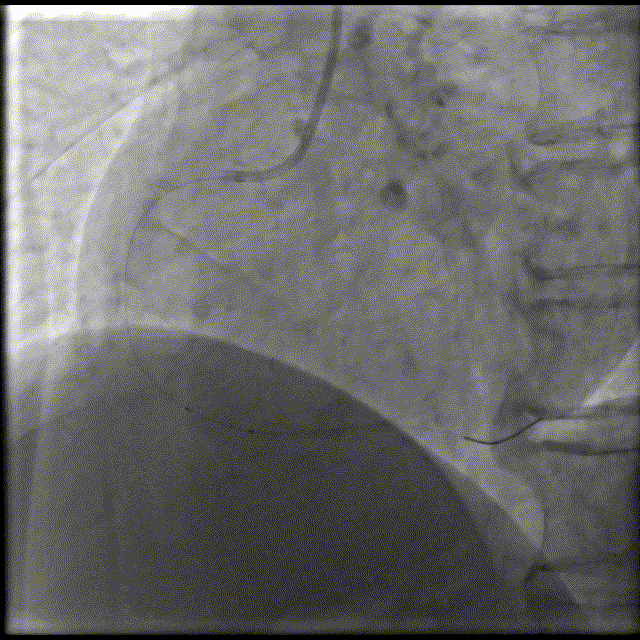
右冠脉:近中段钙化,中段狭窄40-50%,远段100%闭塞。

右冠近中段可见钙化

介入经过及结果

6F JR4.0GC

GW:Runthrough

球囊:2.0x15mm,8-12atm

球囊扩张不充分,可见夹层,加压再扩张。

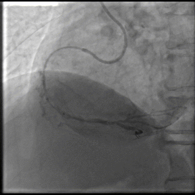
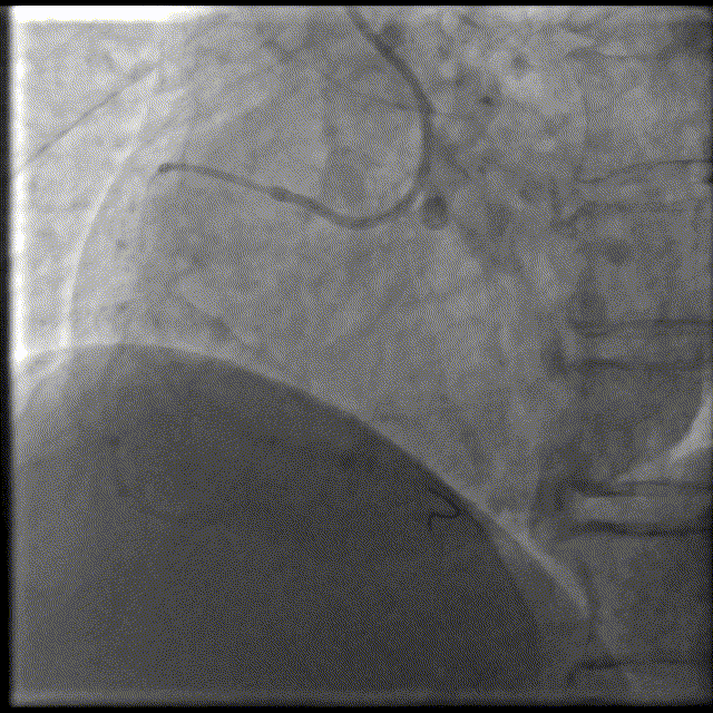
头位造影:RCA近中段钙化迂曲,第二转折处中度狭窄。

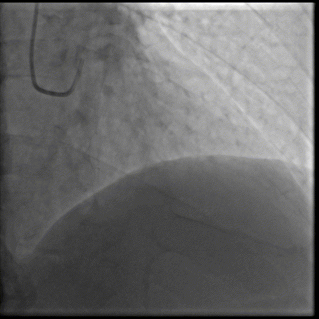
2.75x28mm支架,不能通过近中段。

Telescope™导引延长导管的操作过程及优势

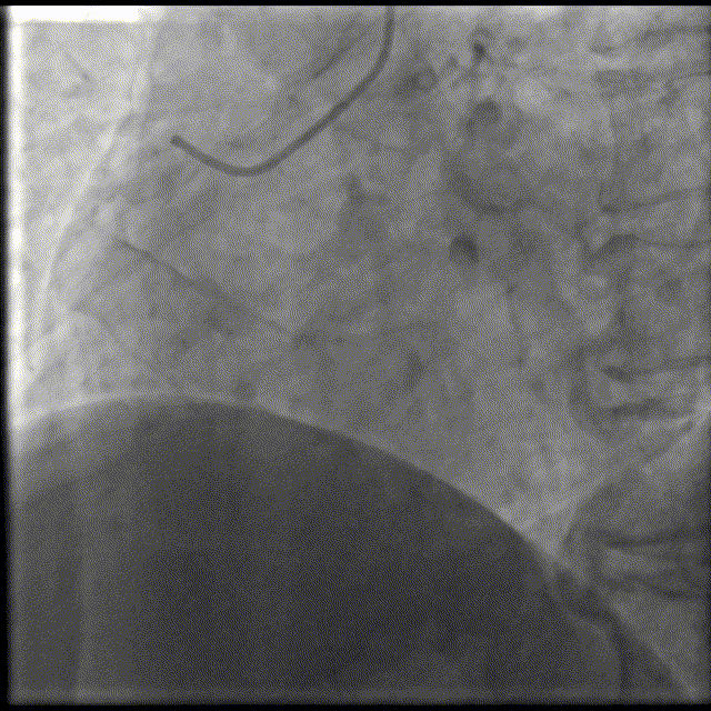
换用6F GC,Telescope™导引延长导管辅助下,2.5x15mm,14-16atm。

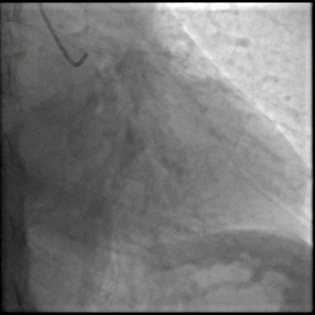
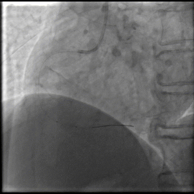
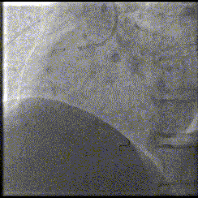
Telescope™导引延长导管辅助下,BAT技术,导引延长导管深达第二转折处,2.75x28mm支架顺利到位,12atm释放。

介入经过及结果

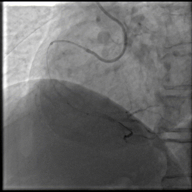
Telescope™导引延长导管辅助下,BAT技术,3.0x15mm,14-16atm后扩张。

Telescope™导引延长导管辅助下,BAT技术,导引延长导管深达第二转折处,2.75x28mm支架顺利到位,12atm释放。

PCI术后结果及随访

  • 即刻结果:支架成功植入

  • 远期结果:随访,强化抗血小板

  • 后期的处理?可能存在的风险?:支架血栓风险,近中段内膜有否损伤

经验体会及总结

Telescope™导引延长导管的操作体会

  • 球囊、支架进入Telescope™导引延长导管无剐蹭器械的情况,其他导引延长导管有支架通过困难情况发生。

  • 输送性好,柔软、结合BAT技术可通过迂曲钙化病变,真正深插!

  • 头端柔软,安全性好、支撑性好,减少内膜损伤、夹层风险。

专家介绍

-  王立新  -

北京大学第三医院延庆医院


北京市延庆区医院心内科常务副主任,主任医师,副教授;北京市延庆区心血管学科带头人、北京医师协会心血管病学分会理事、北京医学会心血管病学分会委员、北京心脏学会理事、北京市胸痛中心联盟委员、首都医科大学心血管病学系委员、北京市中西医结合学会脑心同治专业委员会委员

长按二维码关注“一脉同行”

阅读数: 442