严道医声网讯
2016年5月9日,国家心血管病中心阜外医院牛国栋教授像往常一样开始了一天繁忙的工作。不平常的是,今天上午,牛国栋教授要在一项新型的影像融合技术指导下,完成一台冷冻球囊消融治疗阵发性房颤手术。

患者病情概述(女,70岁)
既往病史:2年前,患者无明显诱因发作性心慌,伴胸闷。经就诊医院HOLTER诊断为阵发性房颤。采用药物治疗1年余,无劳力性胸闷、胸痛发作。2月前劳累受凉后心慌明显,到院就诊。
现病史:复查HOLTER示:窦性心律,阵发性房颤,房早伴部分差传,短阵房速,无长RR间歇。
心电图如下图所示:

超声心动图示:左房增大,余房室腔内径正常范围;室间隔及左、右室壁厚度正常,运动协调,收缩幅度正常;各瓣膜形态、结构、启闭运动未见明显异常。大动脉关系、内径正常;心包腔未见异常。
手术策略
术者牛国栋教授介绍到:今天这台手术将要应用一项新技术——利用西门子与美敦力公司共同探索的CT影像融合技术与术中X线影像进行三维融合辅助冷冻球囊消融术。术前,需要通过CT进行扫描,把心脏的三维影像保留并融合到手术操作中,通过实时透视屏幕上的三维影像进行手术。

手术过程
术前:测量肺静脉直径


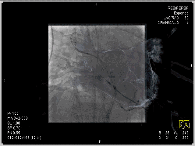
左上肺静脉造影及融合

影像融合下用于冷冻球囊的定位

右上肺静脉消融补点及起搏验证,可于X线直视下展示消融导管头端与CT影像的空间相关性


动态影像融合引导房颤冷冻消融治疗

应用体会
牛国栋教授介绍到:在进行房颤冷冻球囊消融时,在X线造影下观察到的只是平面投影结构。由于肺静脉和心脏结构的复杂性,在进行导管操作时,往往会出现一些困难。结合影像融合技术,可以三维地呈现肺静脉分叉情况和心房结构,能指引导管操作、球囊定位,缩短进入肺静脉的时间即X线曝光时间,从而进一步降低射线量。随着这项技术的不断探索完善,我认为对于CRT植入术、左心耳封堵术、冷冻球囊消融术等有一定帮助。
本次手术中,患者右肺分支比较多,通过影像融合CT导入,帮助我们准确判断了肺静脉分支的位置。射线量暂未观察到明显变化。但是,由于CT建模在心房舒张期,术中心房处于收缩舒张交替状态,为了确保模型和真实心脏运动完全贴靠,还需要继续探索和努力。
X线影像融合技术发展前景广阔,未来凡涉及X射线指导下的介入均可使用,本台手术是该技术在国内首次应用到电生理领域,也是我国紧跟国际心血管介入前沿技术发展的一次新尝试。
编者的话
作为一名医学编辑,在与各位医生接触的过程中,无时无刻不感受到他们工作的认真敬业和对技术的不断探索与追求。一切的一切,都只为了更好地为患者提供有效的治疗。在用心对待患者之余,医生们常常需要不断学习掌握最新的技术、方法,我们时常在敬佩之余自愧不如。希望能够尽我们所能,以尽可能客观、公正的态度,去记录他们的每一次探索与付出。他们,一直在前进的道路上,从未片刻停歇!我们,怎敢言弃!