病例荟萃第二十四期|薛亚军:Telescope™-AGT技术处理CTO病变一例

薛亚军  北京清华长庚医院


简要病史


男 69岁。

主诉:间断胸闷8年,再发2月。

查体:血压170/87,脉搏76次/分,双肺未及干湿罗音,心律齐。

既往:高血压20年,最高200/100mmHg,否认高脂血症、糖尿病史。


检查结果

检查结果-超声电动图

检查结果-CTA

临床诊断

冠状动脉粥样硬化心脏病变,不稳定心绞痛,窦性心率,心界不大,心功能Ⅰ级 (NYHA分级)。高血压病3级(极高危)。

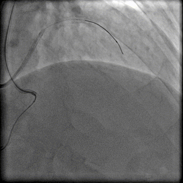
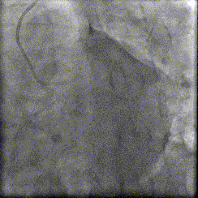
冠脉造影

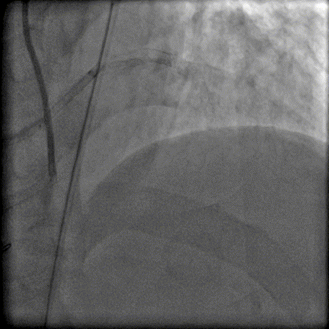
LM未见异常,LAD原支架内血流通畅,支架近端可见局限性偏心狭窄90%,中远段未见狭窄或闭塞,前向血流TIMI-3级;中间支近中段弥漫性狭窄50%-60%。

LCX近段、中段、远段及分支均未见狭窄或闭塞,前向血流TIMI-3级。

RCA原支架内100%闭塞,前向血流TIMI-0级;可见LAD向RCA发出侧支,侧支血流1级。

手术策略和器械选择

【手术策略 】

术前规划
周密的术前规划是CTO PCI成功的关键,主要包括以下几个方面:
  • 进行诊断性血管造影检查,尽可能识别所有侧支血管;
  • 评价闭塞病变的复杂性(包括近端纤维帽、钙化、迂曲、病变长度、远端纤维帽处血管分叉、远端血管质量,以及有无可以利用的侧支血管);
  • 制定血管通路和导引导管支持计划;
  • 确定开通策略(正向导丝开通 vs 正向内膜下重回真腔 vs 逆向技术);
  • 评估患者是否需要机械循环支持;
  • CTO开通技术主要包括正向导丝开通(AW)、正向内膜下重回真腔(ADR)、逆向导丝开通(RW)与逆向内膜下重回真腔(RDR)。
本例手术策略
  • 前降支近端狭窄,难度较小,先考虑开通,以利于LAD至RCA逆向技术实施;

  • 同期开通右冠,考虑正向与逆向结合,必要时启动逆向;

  • 启动逆向,建议更早的使用AGT。

介入经过及结果

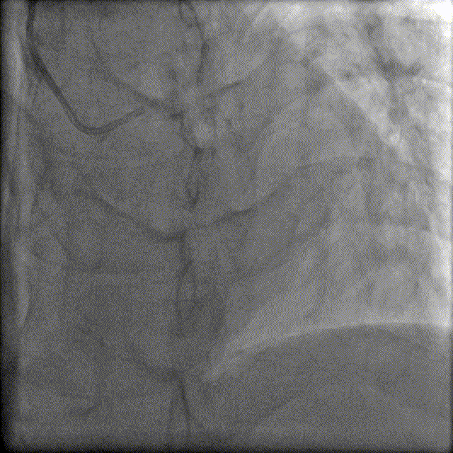
6F EBU3.5指引导管置于LM, 6F AL0.75 SH指引导管置于RCA,Runthrough 指引导丝至LAD远端, 2.0×15mm Sprinter球囊、2.5×6mm Wolverine切割球囊以10atm×15秒扩张LAD病变。

于LAD近段植入4.0×18mm Resolute Integrity支架,与LAD原支架衔接2mm,以10atm×15秒释放;4.0×15mm NC Sprinter球囊以12-16atm×15秒后扩。重复造影见残余狭窄<10%,无夹层和血栓,前向血流TIMI-3级。

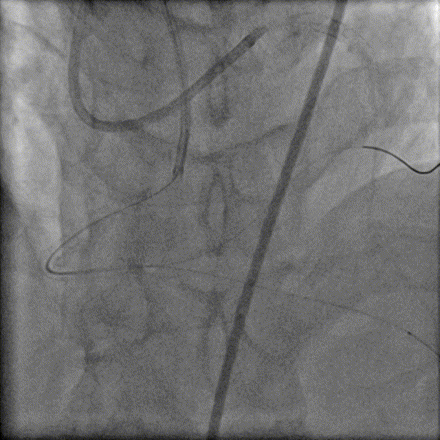
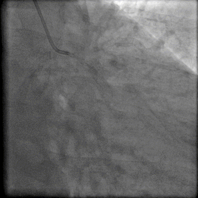
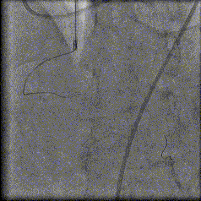
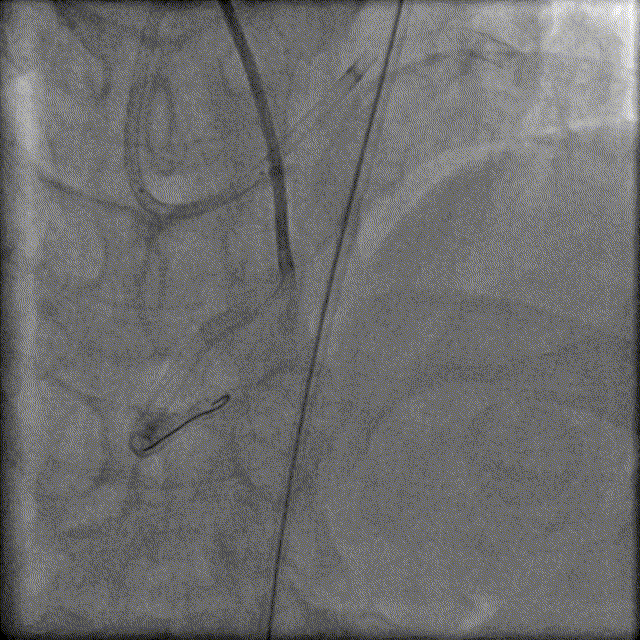
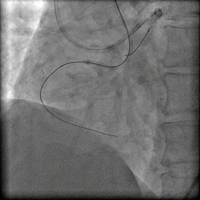
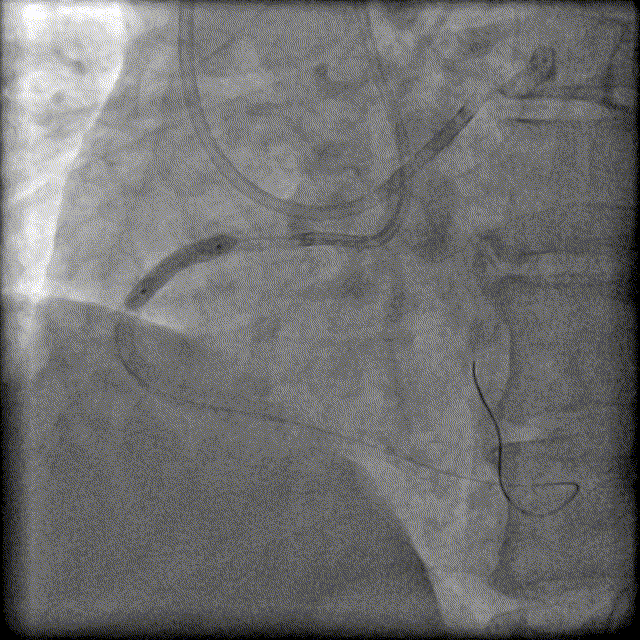
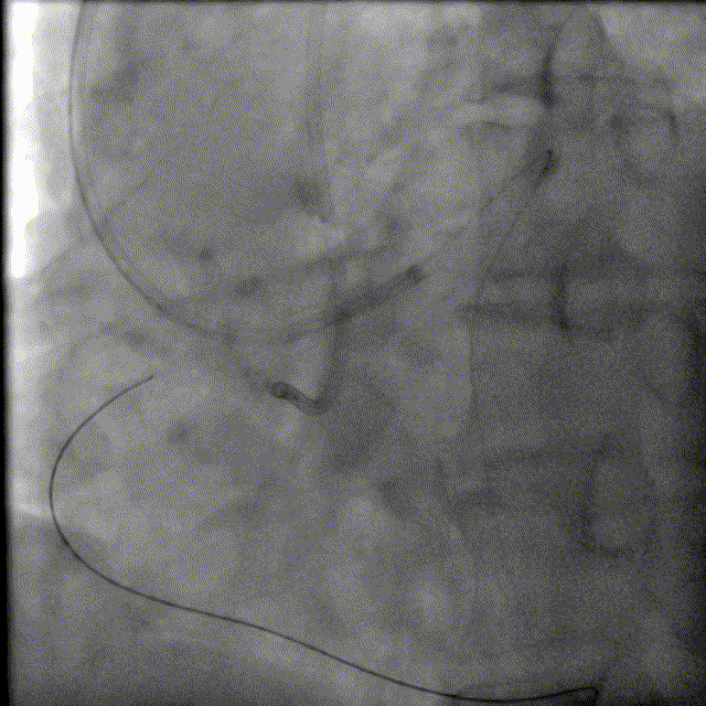
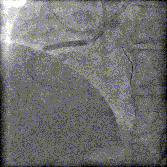
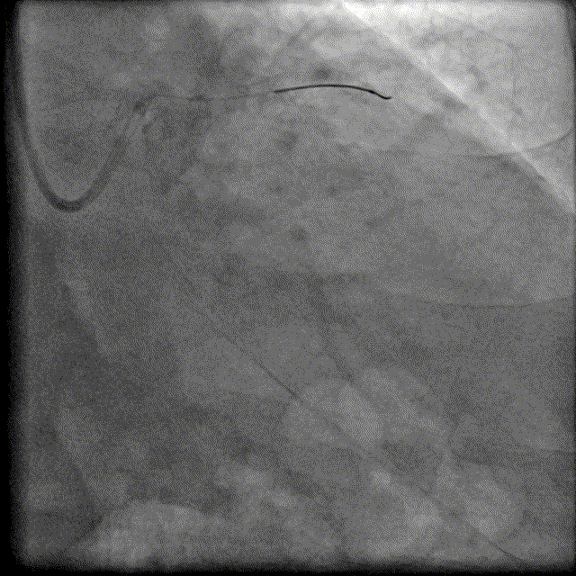
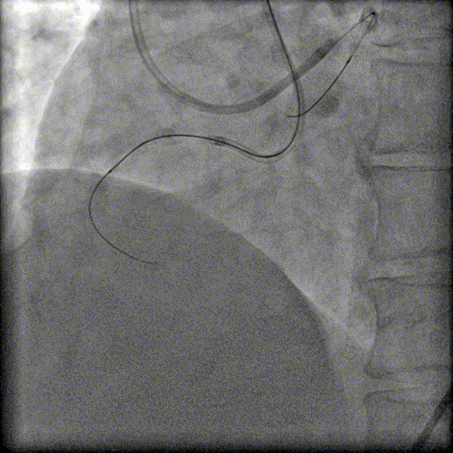
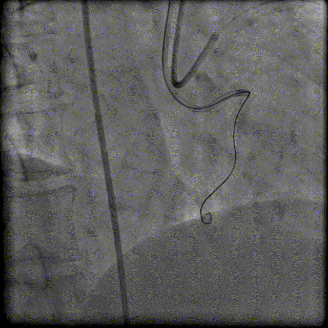
130cm Finecross微导管穿Runthrough 指引导丝到达RCA近端病变处,Fielder XTA、Pilot200指引导丝反复尝试无法通过RCA闭塞病变,随后尝试逆向侧枝开通RCA病变。

150cm Finecross微导管,Sion、Sion black指引导丝反复尝试无法通过LAD-RCA间隔支侧枝及心外膜侧枝血管有困难。

重复造影无造影剂渗漏。

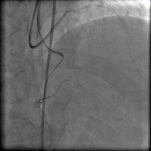
换用较为粗大的心外膜侧。

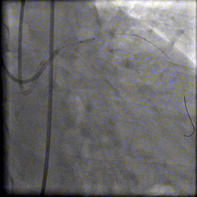
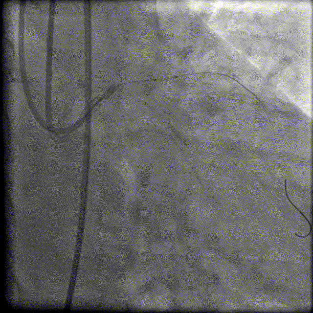
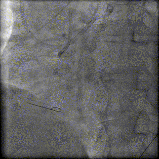
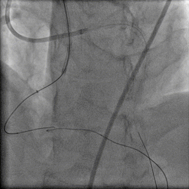
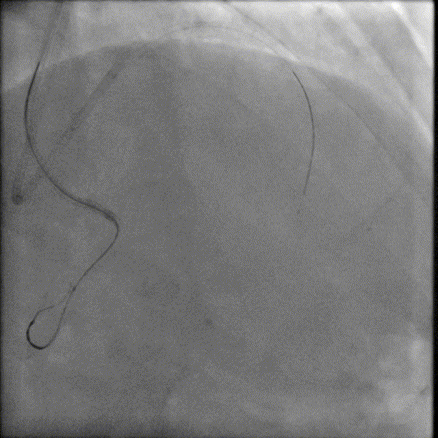
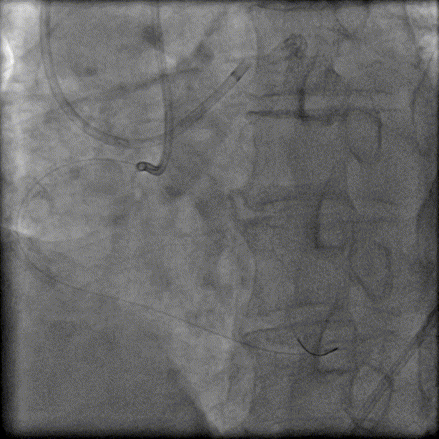
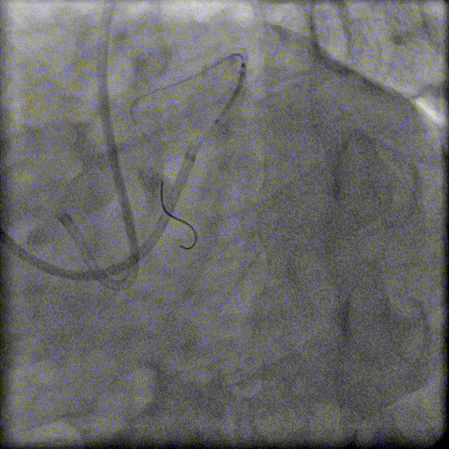
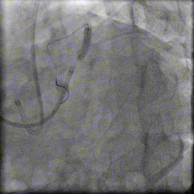
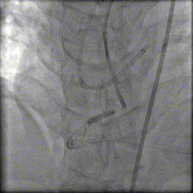
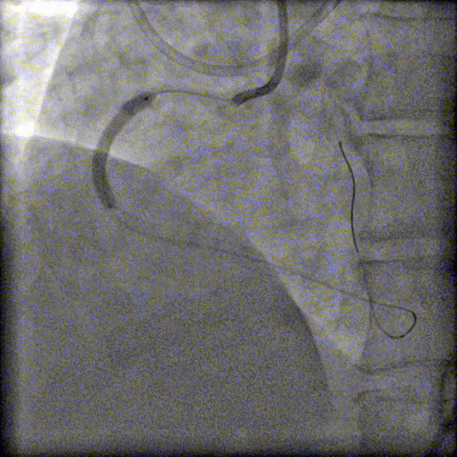
换用Instantpass微导管(170cm)支撑下送Fielder XT-R导丝通过LAD-RCA心外膜侧枝逆向通过RCA闭塞病变,推送微导管后交换Gaia Third导丝,RCA正向送Telescope™导引延长导管进行主动迎接Gaia Third导丝。
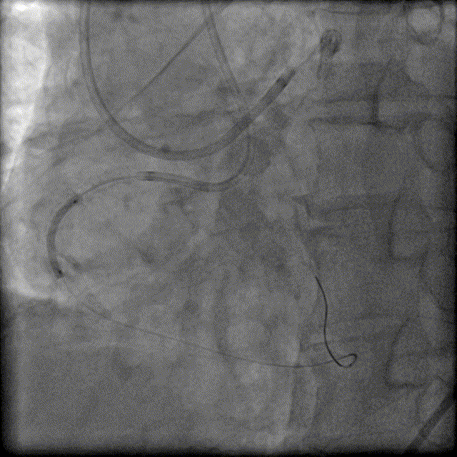
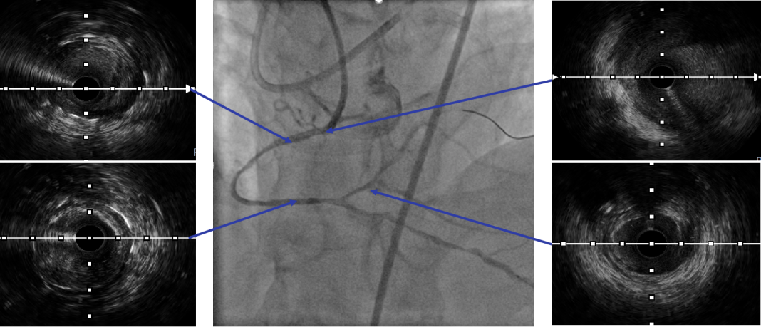
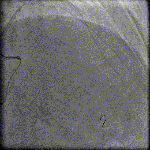
建立轨道后,交换为Runthrough 导丝后,行IVUS检查证实导丝位于血管真腔。

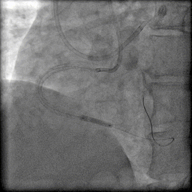
利用IVUS精确选择支架落脚点。

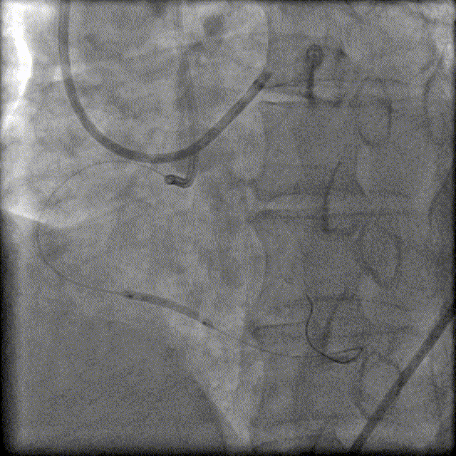
1.5×15mm、2.0×15mm、2.0×20mm、2.0×15mm Emerge球囊以10atm×15秒扩张PLA及RCA病变。

于PDA-RCA开口近段病变处植入2.5×30mm、2.75×30mm、3.0×30mm、3.5×22mm Resolute Integrity支架,2.0×15mm Emerge球囊主动拘禁保护PLA。

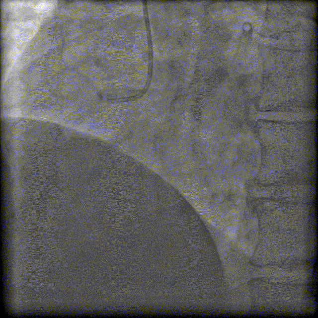
3.0×15mm、3.5×15mm NC Sprinter球囊以12-16atm×15秒后扩。

IVUS显示支架贴壁良好,未见夹层,RCA中远段MSA 7.41mm²,术毕。

总结

建议进行周密的术前规划、使用系统性的病变开通策略,以提高CTO PCI的成功率。
血管内成像可以促进CTO再通、改善长期疗效。
使用有效的器械,可系统性地将不良影响降至最小。

专家介绍

-  薛亚军 -

清华长庚医院

清华大学, 清华长庚医院, 副主任医师,硕士生导师。

科研与学术工作经历:

(1) 2015-05 至 今, 北京清华长庚医院, 心内科, 副主任医师 。

(2) 2014-04 至 2015-04, 山西中医学院附属中西医结合医院, 心内科, 副主任医师。

主要研究方向:

科研重点在冠状动脉微循环机制研究,以第一作者发表SCI论文8篇、核心期刊论文20余篇,先后承担国家中医药科技发展基金、国家“十一五”科技支撑计划课题、国家自然科学基金,清华大学国家重点实验室开放课题、北京市属医院科研培育计划项目等研究工作。 

主要学术职务:

中华医学会心血管分会信息化学组委员兼秘书,海峡两岸医药卫生交流协会心脏重症专家委员会委员,海峡两岸医药卫生交流协会老医学专业委员会青年委员会委员,北京医学会老年医学会心血管学组委员,中国医疗保健国际交流促进会心律与心电分会心电学组委员,国家老年疾病临床医学研究中心-心血管病防治联盟委员会委员,北京医师协会心内科专科医师分会理事,北京医师协会高血压专业专家委员会第二届青年委员。

近五年主持或参加的国家自然科学基金项目/课题: 

(1) 国家自然科学基金委员会, Sirt5去琥珀酰化在急性心脏缺血缺氧中的作用及机制研究, 2020-01-01 至 2023-12-31,在研, 参与。

近五年主持或参加的其他科研项目/课题(国家自然科学基金项目除外): 

(1) 清华大学附属北京清华长庚医院, 北京市属医院科研培育计划, PX20210902, 内皮祖细胞移植对冠状动脉微栓塞后心肌细胞自噬作用的影响研究, 2021-01 至 2023-12, 在研, 主持 。

(2) 北京市卫计委, 北京市卫生发展科研专项, 首发2020-4-2243 , 冠脉慢性完全闭塞性病变介入手术机器人体系构建, 2020-01 至 2022-12,,在研, 参与 。

(3) 清华大学, 低维量子物理国家重点实验室项目, 自体心脏干细胞移植治疗冠状动脉血管功能障碍的实验研究, 2016-10 至 2018-10, 结题, 主持 。

长按二维码关注“一脉同行”

阅读数: 876