技术创新为高龄二尖瓣反流患者带来巨大获益——广东省人民医院郭惠明教授团队经导管二尖瓣修复(TEER)手术进入快速康复时代!

近日,广东省人民医院心外科郭惠明、刘健教授微创瓣膜团队成功应用国产经股二尖瓣瓣膜修复系统为一位76岁外科手术高风险的重度二尖瓣反流患者进行了经皮介入修复。手术仅在右侧腹股沟做一0.5cm穿刺口,手术过程约56分钟,术中食道超声提示二尖瓣关闭良好、夹合器稳定、组织桥良好、跨瓣压差满意。患者术后20小时复查超声未见明显二尖瓣反流,随即步行出院。

此次手术标志着广东省人民医院心外科微创瓣膜团队经股静脉二尖瓣修复TEER技术在国内率先进入快速康复时代。

病例介绍

患者基本情况:76岁老年男性,因“气促3个月,加重2周”入院。既往脑梗塞及高血压病史,腹主动脉支架植入术后。入院评估心脏彩超提示:二尖瓣重度反流(后叶P2脱垂,部分腱索断裂),三尖瓣中度反流,左室收缩末内径43 mm,估测肺动脉收缩压40 mmHg。STS PROM达8.96%。

入院诊断

1. 二尖瓣后叶腱索断裂并重度反流;2. 三尖瓣关闭不全(中度);3. 肺动脉高压;4. NYHA心功能IV级;5. 高血压2级;6. 脑梗死后遗症;7. 腹主动脉瘤(腹主动脉支架植入术后) 。

术前评估

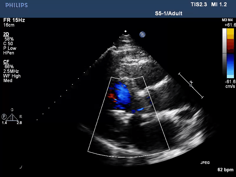
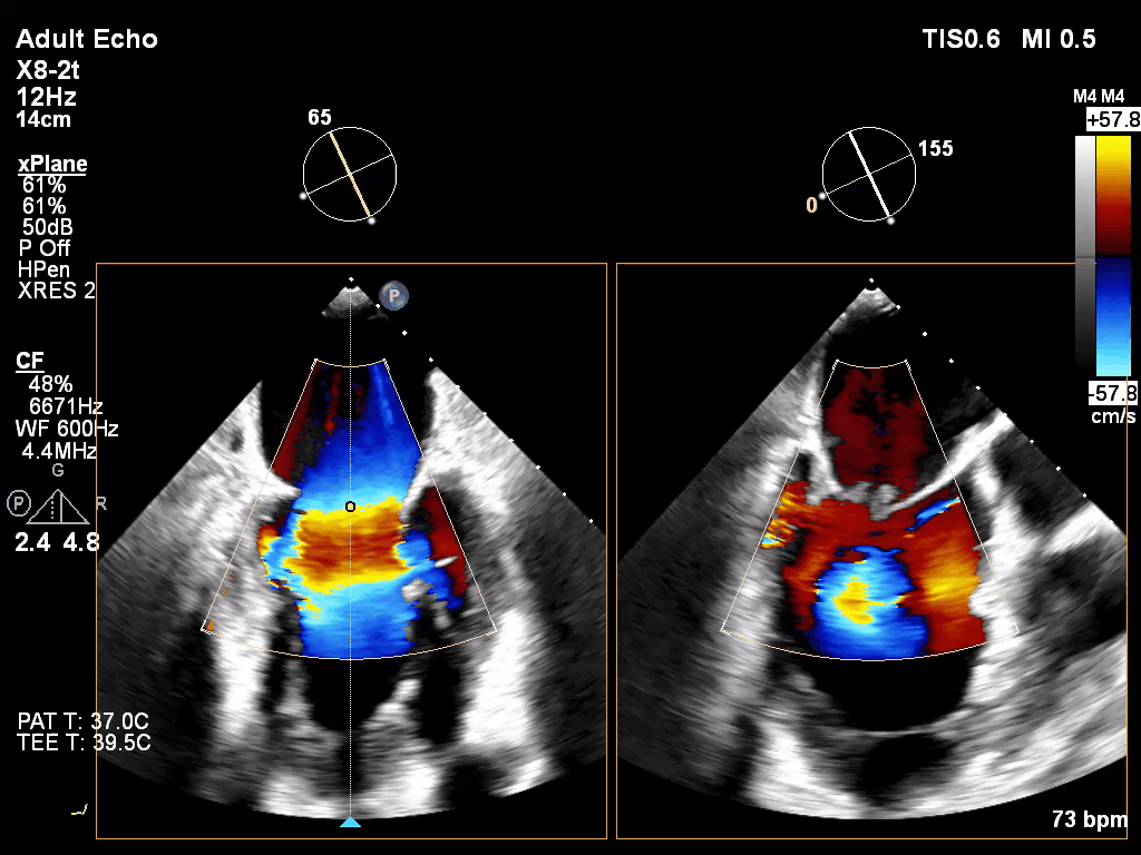
经食道超声心动图(TEE)提示:二尖瓣病变Carpentier II型,DMR,二尖瓣2区反流及P2腱索断裂并瓣叶脱垂,Gap 6 mm,Width 15 mm, 瓣口面积6.7 cm²,2区前叶长20 mm,后叶长19 mm。MR4+,反流束来自于2区,偏心性反流束,指向前叶;VC 11 mm。房间隔穿刺空间约4.5 cm。

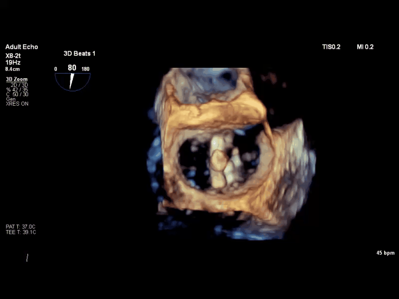
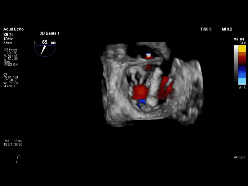
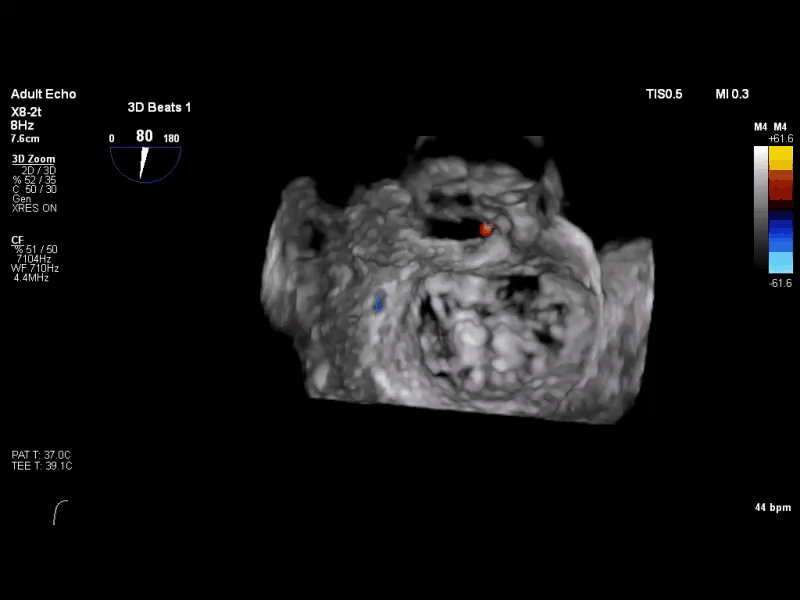
术前TEE 3D

术前TEE 3D COLOR

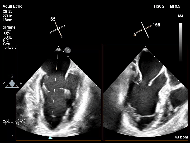
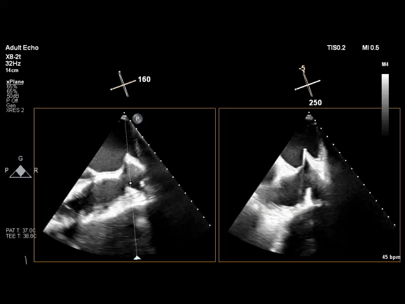
术前TEE XPLANE

术前TEE XPLANE COLOR

手术过程

患者治疗过程在庄建教授、陈寄梅所长指导下,由郭惠明、刘健教授及团队成员郭海江、谢年谨、刘方舟教授,以及超声科费洪文、朱伟教授,麻醉科柴云飞、曹忠明教授,心手术室陈晓霞、刘小民、刘晶教授,心外ICU罗丹东教授等共同协作下完成。

经术前积极抗心衰等治疗,心功能较前改善。术前准备妥后手术于全麻下进行,经右侧股静脉--房间隔途径,4Ch切面确认穿刺高度满意,穿刺房间隔后交换置入Superstiff至左上肺静脉,之后置入导引鞘及夹合器输送系统,在TEE引导下,将2枚G12P型号的夹合器顺利植入到二尖瓣A2/P2区,确定夹合器位置稳定。彩色多普勒超声提示:二尖瓣微量反流,MG 2 mmHg,肺静脉多普勒波形由反向恢复正常,左房压显著下降。多切面证实夹合组织充分后释放,撤除器械输送系统后右侧腹股沟皮肤穿刺口加压包扎,术毕。手术室内超快通道拔除气管插管后送ICU监护。

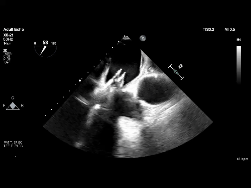
房间隔穿刺

22F大鞘置入

3D视野下调整第一个夹合器轴向

3D视野下调整第二个夹合器轴向

最终植入位置

患者术后自觉良好,无明显不适,出院时心脏彩超复查超声二尖瓣可见2个夹合器影,反流量0+。予安排出院,此时距离手术不到24小时。

出院前

二尖瓣反流(mitral regurgitation, MR)是我国常见的心脏瓣膜病,文献报道预计目前我国需要治疗的MR患者约为750万。随着人口老龄化,发病率呈上升趋势。外科手术进行二尖瓣修复或者置换是治疗MR的首选方案,但外科手术需要体外循环及心脏停跳,限制了高龄或外科高风险患者得到及时、有效治疗。经导管二尖瓣缘对缘修复术(transcatheter edge-to-edge repair, TEER)因其创伤小、恢复快的特点,为高龄及外科手术高危患者提供新希望。TEER借鉴外科缘对缘二尖瓣修复术,采用二尖瓣夹合装置,经股静脉(或心尖)途径,在经食道超声心动图及X线造影机引导下夹住二尖瓣反流区的前、后瓣叶并使之接合,使收缩期二尖瓣瓣叶的间隙减少或消失,从而减少或消除二尖瓣反流。

在国际上,TEER巳成为目前证据最多的MR介入技术并已得到广泛应用。在我国,随着临床实践和经验的不断丰富以及临床效果的验证,TEER正进入应用快通道。为进一步减少创伤,国家心血管病中心结构性心脏病介入质控中心潘湘斌教授团队率先提出纯超声引导介入二尖瓣修复让患者除了减少可见的外科创伤,还可以减少不可见的X线损伤,技术国际领先。广东省人民医院、广东省心血管病研究所心外科郭惠明、刘健微创瓣膜团队在潘湘斌教授团队协助下成为国内第二个可独立应用纯超声引导介入二尖瓣修复的团队。

本例患者手术过程不到1个小时,患者术后24小时内出院,远远超出了患者及家属预期。相信这一技术必将造福越来越多的国内尤其是大湾区内高龄高危二尖瓣反流患者。郭惠明、刘健教授团队正不断创新运用最新技术及器械,为不同心脏瓣膜病患者提供从微创小切口到全腔镜再到经导管介入的个体化、全链条微创治疗方案,为健康中国、健康广东贡献力量。

专家简介

郭惠明

广东省人民医院

主任医师,教授,博士生导师, 现任广东省人民医院、广东省心血管病研究所心脏外科副主任,微创专业组、冠心病外科、房颤外科三学科带头人。担任AATS、ISMICS会员,亚洲心脏瓣膜病学会(AAHVD)中国分会常委,国家心血管病微创心血管外科专委会副主委,中国医师协会心血管外科医师分会常委和微创学组副组长,中华医学会胸心血管外科学分会委员,中国研究型医院学会心房颤动专业委员会副主委,广东省医学会心血管外科分会副主委,广东省医学会微创外科分会常委等。

荣获2016年“中国医师协会心血管外科好医师奖”之“原金刀奖”,2016-2017年度《中国名医百强榜》微创心脏外科专业第一名,2018年国家名医盛典《国之名医·优秀风范》。

刘健

广东省人民医院

副主任医师,博士研究生,硕士研究生导师,广东省人民医院房颤中心专家委员会副主任。Heart Center, Linkoping University Hospital,Sweden、Deutsches Herzzentrum Berlin (DHZB)访问学者。专业方向为心血管疾病的微创手术治疗。擅长微创小切口、完全胸腔镜心脏外科手术及经导管介入瓣膜手术。是国内极少数同时掌握经皮介入手术、全腔镜手术、各类小切口及常规开胸心脏手术的复合型微创心血管病专家。为患者提供从微创小切口到全腔镜再到经导管介入的个体化微创治疗方案。

担任中华医学会胸心血管外科学分会青委会委员,中国医师协会心血管外科医师分会青委会委员,中国研究型医院学会心房颤动防治专业委员会委员,国家心血管病专家委员会微创心血管外科专委会委员,国际微创心胸外科学会会员(MemberofISMICS),中国医师协会心血管外科医师分会心律失常专业委员会委员,中国医师协会心血管外科医师分会微创专业委员会委员,中国生物医学工程学会免疫治疗工程分会第一届委员会青年委员,《中华生物医学工程杂志》中青年编委,《中华生物医学工程杂志》、《中国胸心血管外科临床杂志》等杂志审稿专家。

阅读数: 3056