结构贴合 不动如山~交接对齐 顺其自然| Xcor™在冠脉高风险病例中的应用集萃

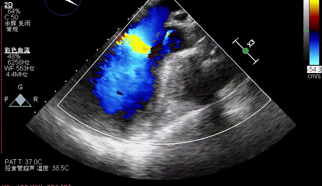
Xcor™系圣德医疗团队基于世界独创的“结构贴合(form-fitting)”的理念研发,是目前全球唯一从支架流出端开始释放且通过创新支撑臂结构实现双锚定的经导管主动脉瓣膜系统(图1)。

从支架流出端开始释放可以在很好保留环上瓣血流动力学效果的同时,规避在释放初期的支架流入端出现“雨伞倒立”效应,并因此导致的瓣膜移位发生。

而6个支撑臂的设计,不仅保证了支架释放早期和瓣叶形成锚定,并且优化的支架流入端径向支撑力避免了术后恶性心律失常的出现。

图1  世界独创的“结构贴合(form-fitting)”

瓣膜和输送系统6大创新点

TAVR手术的瓣叶交界贴合

长支架瓣膜对于冠脉的影响,一直是行业内关注的话题。《经导管主动脉瓣置换术中国专家共识》2022年更新版指出,冠脉阻塞是TAVR少见(0.66%)但致命的并发症。其主要机制是原生瓣叶上翻堵住冠脉开口。冠脉阻塞危险因素中,冠脉开口高度低(<12 mm)是冠脉阻塞的重要危险因素之一。另一方面,也应注意人工瓣叶交界应尽量与冠状动脉开口错开,以便给未来可能的PCI手术留有更多的操作空间。

近期TAVR领域的相关研究提示,若在释放人工支架瓣膜时使人工瓣叶交界与原生主动脉瓣叶交界贴合,将有助于避免未行交界贴合引起的对于未来PCI操作的可能带来的不利影响(图2)。

图2  左侧示交界贴合;右侧示交界未贴合

圣德医疗Xcor™的“极简式”瓣叶交界贴合技术

Xcor™交界贴合准备

图3  示交界结合准备步骤完成后,Xcor™瓣叶交界侧位于侧向冲水口同侧。

Xcor™瓣叶交界对齐的临床应用

三叶瓣:主动进行瓣叶交界对齐,避免介入瓣膜假体瓣叶交界挡住冠脉开口;常规通过术前规划,提供左右窦重合的投照角度将瓣膜假体交界与原生左右窦交界对齐。

二叶瓣:通过术前规划,提供特定的DSA投照角度,主动防止冠脉开口被阻挡。

 Xcor™的支撑臂效果详解

原生瓣叶被支撑臂推开之后,其上缘高度比无支撑臂瓣膜支架低约1mm,有翻边形态,与传统无支撑臂结构瓣膜支架对比,如图4-5:

图4 支撑臂植入后原生瓣叶翻边形态

图5 无支撑臂原生瓣叶腰部结构

翻边径向扩张不足1 mm,由于支架主体的收腰设计,原生瓣叶翻边形成的类圆几何形状与瓣环直径相近。同时,由于降低了原生瓣叶推开至瓣窦内的高度,增加了原生瓣叶、瓣窦与窦管交接形成的“月牙状”冠脉灌注血流通道面积,从而扩大了低冠脉开口的适应症范围。

Xcor™最新案例分享之一

四川大学华西医院郭应强教授团队成功应用南京圣德医疗科技有限公司研制的带结构贴合锚定及全新释放方式的自膨式TAVR产品Xcor™,为一位外科高危高龄重度主动脉瓣狭窄合并轻至中度关闭不全患者实施了经导管主动脉瓣膜置换手术。

患者基本情况

患者男,78岁。

主诉:胸痛30多天

超声心动图提示:主动脉瓣:主动脉瓣重度狭窄(Vmax=4.0 m/s,PGmean=40 mmHg);左冠瓣钙化相对较轻,右冠瓣及无冠瓣明显钙化;瓣下见少至中量反流。三尖瓣:少至中量反流。二尖瓣:瓣环舒张期运动频谱e’<a’;主动脉弓局部瘤样扩张。

临床诊断:主动脉瓣狭窄(重度),主动脉瓣反流(轻-中度);三尖瓣反流(轻度);心功能NYHA分级:IV级;不稳定型心绞痛;COPD;陈旧性脑梗死;2型糖尿病;食管裂孔疝;外周动脉粥样硬化。

术前影像学评估 (3mensio)

瓣环及其他基本平面测量

术前影像学评估(Tavigator™AI术前辅助决策平台)

通过术前测量,对病例深入分析,结合人工智能术前分析辅助决策软件进行三维和二维图像融合,郭应强教授指出本例手术存在以下难点:

• 左冠高度8.3mm,左窦瓣叶长度10.2mm,瓣叶明显增厚,应注意术中冠脉闭塞风险。

• 心室隔膜部长度3.3mm,新发的房室传导阻滞风险较高。

• 瓣叶钙化分布不均匀,右冠及无冠瓣叶可见明显钙化,瓣膜释放过程中存在移位风险。

经过多科室团队的深入分析及讨论,团队制定详细的手术策略:

通过对手术难点的分析,心脏团队经过全面的讨论,制定出相应的手术策略:

1.经由心尖入路,先行20mm球囊预扩,评估冠脉闭塞风险,同时行“极简式”瓣叶交界贴合技术。

2.标准位释放,最大限度降低新发的房室传导阻滞风险。

3.选择植入Xcor™-26瓣膜,充分利用支撑臂结构+径向支撑双重锚定机制避免瓣膜移位发生。

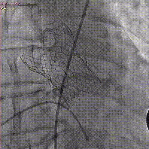
手术关键步骤

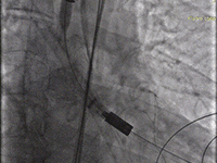
A.主动脉根部造影

B. 20mm球囊预扩张

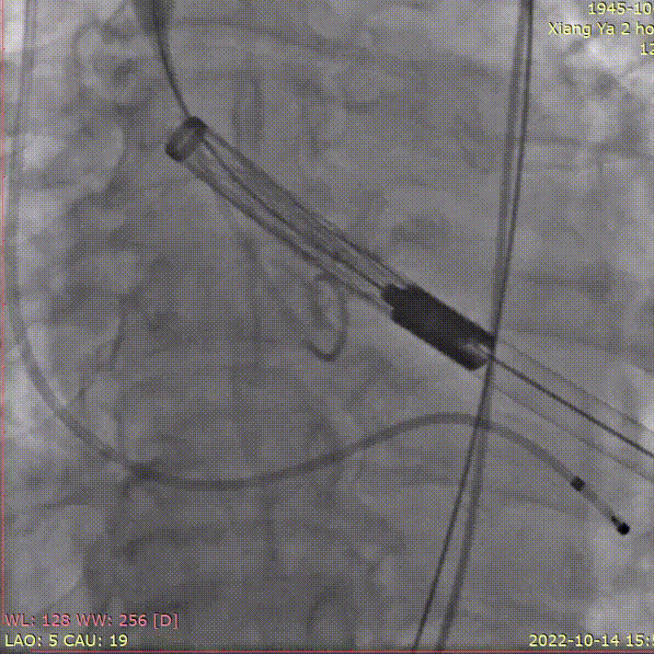
C. 应用交界贴合技术调整人工瓣膜,输送系统内支架最下缘平齐标准位释放瓣膜

D. 瓣膜释放后造影

E.25mm球囊后扩张

F. 最终造影

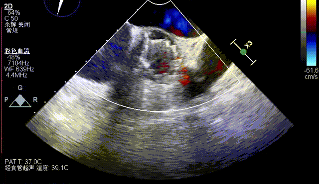
术后即刻评估

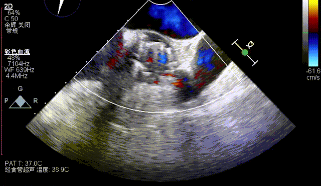
术后即刻TEE示主动面瓣膜最大峰值血流速为1.1m/s,平均跨瓣压差为2mmHg,少量瓣周漏。

术者寄语

四川大学华西医院郭应强教授:

• 本例患者瓣环钙化且分布显著不均匀,容易造成人工瓣膜释放后移位的发生。Xcor™通过特有的6个支撑臂提供了在常规径向支撑力外的额外锚定机制,本例最终释放人工瓣膜后锚定牢固。同时,从上向下的释放机制,不仅释放过程稳定,对于术中定位也很清楚。

• 通过Xcor™交界对齐技术,实现人工瓣叶与原生瓣叶交界对齐,降低术中急性冠脉闭塞风险,并为未来可能的PCI治疗留有更大的操作空间。

Xcor™最新案例分享之二

北京安贞医院心外科瓣膜中心张海波教授团队,在王坚刚主任、王盛宇主任及胡秋明、李岳环、沈经纶、周佳卫、叶青等医师,麻醉医生林培荣,超声科付佳荣等多学科共同努力下,成功应用南京圣德医疗科技有限公司研制的带结构贴合锚定及全新释放方式的自膨式TAVR产品Xcor™,为一位type1型二叶瓣畸形的重度主动脉瓣狭窄患者实施了经导管主动脉瓣膜置换手术。

基本情况

患者男,69岁。

主诉:胸闷2月余。

超声心动图提示:主动脉瓣叶增厚,回声增强;主动脉瓣流速Vmax:407cm/s,最大压差:66 mmHg,平均压差:34mmHg;舒张期主动脉瓣下见少量反流信号;左房增大;TAPSE:20 mm。

临床诊断:主动脉瓣狭窄,心功能III级;冠状动脉粥样硬化性心脏病;COPD。

术前影像学评估 (3mensio)

术前影像学评估(Tavigator™AI术前辅助决策平台)

 AI辅助决策软件术中投照角度分析结果

AI辅助进行植入角度分析防止冠脉开口被阻挡

手术风险术前评估

张海波教授通过术前测量对病例深入分析,同时结合AI术前分析辅助决策软件进行三维和二维图像融合结果,与安贞医院心外科瓣膜中心王坚刚主任、王盛宇主任、郑帅医师、孟斐医师、胡秋明医师、李岳环医师、沈经纶医师、吴凯胜医师等团队多次讨论,并经过侯晓彤副院长、朱俊明主任等医院心外科质量委员会专家集体讨论,指出本例手术风险主要包括:

• Type 1型二叶瓣,重度钙化,瓣叶钙化分布不均匀,瓣膜锚定难度高;

• 主动脉弓及腹主动脉、 髂总动脉可见明显钙化斑块,经股入路难度高;

• 左冠开口高度约13.8mm,但考虑到瓣叶明显增厚、增长,仍有相当的冠脉阻塞风险。

多科室团队制定手术策略

1.经由心尖入路,先行22mm球囊预扩,再次观察主动脉瓣叶评估冠脉梗阻风险。结合术中评估,必要时行左冠冠脉保护。

2.应用Xcor™极简式交界贴合技术,使人工瓣叶交界处远离冠脉开口的方向。

3.采取标准位释放的方式,植入Xcor™-26经导管主动脉瓣膜系统瓣膜,完成TAVR手术治疗。

手术关键步骤

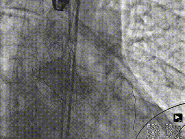
A.预扩张,并同时行主动脉造影

B. 冠脉保护:导丝、球囊、Guidezilla、位于LAD;Guiding回撤至升主动脉适当位置

C. 应用交界贴合技术调整人工瓣膜,标准位释放瓣膜并行释放后造影

D. 瓣膜释放后造影显示瓣膜位置良好

E.后扩张

F. 最终造影显示瓣膜位置良好冠脉开口血流正常,撤出冠脉保护

术后即刻评估

术后即刻TEE示主动脉瓣膜最大峰值血流速为2.4m/s,平均跨瓣压差为11mmHg,支架内未见明显反流或瓣周漏。

术者寄语

首都医科大学附属北京安贞医院张海波教授:

二叶瓣和偏心性钙化是目前TAVR手术的难点,本例手术Xcor™展现了很好的植入效率和治疗效果,患者术后心功能即获得明显改善,手术圆满成功。患者已于术后第4天顺利出院。

• 本例患者原生瓣叶尤其是左冠瓣瓣叶增厚及增长明显,为了进一步降低术中风险,对左冠成功应用冠脉保护技术。同时,通过术前影像分析结合术中评估,在适合的工作角度下,应用Xcor™特有的“极简式”瓣叶交界贴合技术释放瓣膜,为患者未来可能的PCI治疗留下充分的操作空间。术后冠脉血流通畅,撤除冠脉瓣膜,不需要支架植入。

• Xcor™瓣膜装瓣迅速,可以更好地配合术者手术节奏;瓣膜可快速、简单释放,并且释放时支架位置稳定,没有瓣膜移位移位。标准位植入后术后没有恶性心律失常发生,从而进一步降低术中术后并发症的发生率。

Xcor™最新案例分享之三

中南大学湘雅二院刘立明教授、赵元教授团队成功应用南京圣德医疗科技有限公司研制的带结构贴合锚定及全新释放方式的自膨式TAVR产品Xcor™,为一位外科高危高龄重度主动脉瓣狭窄合并中度关闭不全的患者实施了经导管主动脉瓣膜置换手术。

患者基本情况

患者男,76岁。

主诉:反复活动后胸闷、气促2年余,加重10余天。

超声心动图提示:主动脉瓣:主动脉瓣重度狭窄(Vmax=4.8m/s,PGmean=95mmHg);功能性二叶瓣,右无粘连;瓣叶轻度钙化;瓣下见中量反流。

临床诊断:主动脉瓣狭窄(重度),主动脉瓣反流(中度);心功能NYHA分级:Ⅲ级;高血压病2级(极高危)

术前影像学评估 (3mensio)

术前影像学评估(Tavigator™AI术前辅助决策平台)

手术风险、难点

患者左冠脉开口高度11.0mm,左冠窦瓣叶长度14.3mm, 瓣叶明显增厚,有轻度钙化。应注意术中有冠脉闭塞风险。患者未见明显心室隔膜部,新发的房室传导阻滞风险较高。

手术策略

通过对手术难点的分析,心脏团队经过全面的讨论,制定出相应的手术策略:

1.经由心尖入路,不需要球囊预扩。

2.应用Xcor™极简式交界贴合技术,0位释放最大限度降低新发的房室传导阻滞风险。

3.选择植入Xcor™-26瓣膜,充分利用支撑臂结构+径向支撑双重锚定机制避免瓣膜移位发生。

手术关键步骤

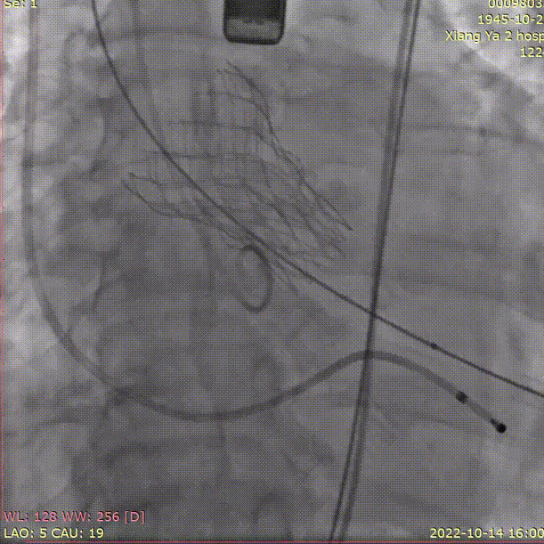
A.主动脉根部造影

B. 不前扩,输送系统一步到位


C. 应用交界贴合技术调整人工瓣膜,到安全梢固定位置,定位好,不需要回收,直接释放

D. 瓣膜释放后造影

E.球囊后扩

F. 最终造影

术后即刻评估

术后即刻TEE示主动面瓣膜最大峰值血流速为2.1 m/s,平均跨瓣压差为8.6 mmHg,少量瓣周漏。

术者寄语

中南大学湘雅二医院赵元教授:

• Xcor™输送系统24F,柔软且通过性好,不需要预扩可以直接进行瓣膜释放。术中定位清晰释放稳定。

• 本例患者未见明显室间隔膜部,采取0位释放策略,可以更好的减少术后恶性心律失常和起搏器植入。

• Xcor™支架支撑臂结构增加了原生瓣叶、瓣窦与窦管交接形成的“月牙状”冠脉灌注血流通道面积,并且由于支架主体的收腰设计不增加冠脉开口高度向外直径,从而保护了冠脉,扩大了低冠脉开口的适应症范围。

• Xcor™极简释放,手术操作简单易学。

专家简介

郭应强

四川大学华西医院

华西医院副院长,心脏大血管外科教授,主任医师,博士生导师,美国胸外科学会(AATS)会员,国际微创心胸外科学会(ISMICS)会员,国家心血管病专家委员会微创心血管外科专业委员会副主任委员;亚洲心脏瓣膜病学会中国分会心脏瓣膜病介入治疗技术学术委员会副主任委员;中国医药教育协会心脏外科专业委员会副主任委员;四川省学术技术带头人;《中国胸心血管外科临床杂志》编委。

张海波

首都医科大学附属北京安贞医院

心外科主任医师、博士生导师、教授、九病区副主任,主持国际合作课题、国家自然科学基金、北京市科委等科研课题十余项。长期进行瓣膜修复、TAVI等瓣膜介入手术、房颤、人工心脏和心脏移植等研究。中国医师协会心外科分会全国委员兼结构心脏病委员会副主委、房颤委员会副主委。亚洲心脏瓣膜学会中国分会常委兼秘书长、瓣膜病介入委员会副主委兼秘书长。中国研究型医院学会心脏瓣膜病专委会秘书长、房颤委员会常委。首都医科大学心外科学系委员。获得北京市科委科技新星、北京市委组织部优秀人才、北京市科技进步奖、教育部科研优秀成果奖、北京市卫生局学科骨干、北京市优秀青年知识分子、中国医师协会中国心外科好医师、生命时报荣耀医者青年创新奖、国之医者青年新锐等奖励和称号。

刘立明

中南大学湘雅二医院

心血管外科主任,成人心血管外科主任,心脏瓣膜病中心主任。国家心血管病专家委员会微创心血管外科专业委员会副主任委员,中国研究型医院学会房颤专业委员会副主任委员,中国医师协会心血管外科医师分会常委兼副总干事,中国医师协会心血管外科医师分会首届心律失常专业委员会副主任委员、第三届瓣膜病学术委员会副主任委员、首届胸腔镜学术委员会副主任委员,亚洲心脏瓣膜病学会中国分会常委,国际微创胸心外科学会委员。

赵元

中南大学湘雅二医院

心血管外科副主任医师,副教授,外科学(心胸外)博士学位,硕士生导师,2000年毕业于原湖南医科大学临床医学七年制,2003年获得中南大学外科学(心胸外)博士学位,同年留校附二医院心胸外科工作至今。2008年在上海交通大学附属仁济医院进修冠脉外科,2010年赴美国著名的Mayo Clinic和Cleveland Clinic医学中心进修成人心血管外科,2011年至2012年在国家留学基金委资助下赴美国Cornell大学Weill医学院从事临床实验研究。年均独立完成心外手术200余台, 熟练掌握瓣膜置换、复杂先天性心脏病修补以及心房颤动改良MAZE等多种手术及危重患者的围术期抢救与处理。2004年起率先开始应用IABP抢救围术期危重患者,迄今已达100余例,省内应用最早,例数最多,成功率达到国内先进水平,已发表相关文章3篇,并获院级医疗新技术奖一项。获中南大学医疗新技术二等奖一项,主持和负责湖南省科技厅和省自然科学基金青年基金项目二项。2007年荣获中南大学第四届青年教师“三十佳”教学竞赛 “十佳讲课”光荣称号

阅读数: 1702