CMC Week 2022|云上直播第三天:直挂云帆济沧海 长风破浪会有时

\ | /


秋水长天一色,微创物换星移

云上手术直播 10月24日-10月28日

南昌线下大会 10月29日-10月30日

云上手术直播 10月30日-11月04日


10月26日,CMC Week 2022精彩继续,7场手术直播分别来自四川大学华西医院郭应强教授团队、中国人民解放军总医院姜胜利教授团队、福建医科大学附属协和医院戴小福教授团队、浙江大学医学院附属第一医院马量教授团队、首都医科大学附属北京朝阳医院苏丕雄教授、高杰教授团队、广东省人民医院郭惠明教授、刘健教授团队、浙江大学医学院附属第一医院李伟栋教授团队。

直播上半场由上海德达医院孙立忠教授、江苏省人民医院邵永丰教授、河北医科大学第二医院石凤梧教授、广东医学院附属医院程可洛教授、陆军特色医学中心胡义杰教授共同主持。


CMC Week 2022


手术直播(十三):经心尖TAVR

术 者:郭应强

(四川大学华西医院)


今日,四川大学华西医院心脏大血管外科郭应强教授团队,在郭应强教授、石峻教授、刘路路教授等医师,麻醉科、超声科等多学科团队共同努力下,顺利完成2022中国微创心血管外科大会(CMC)本日首例手术转播——一例重度主动脉瓣关闭不全经心尖TAVR手术。

 该患者是一位高龄患者,高风险外科手术患者,心功能Ⅲ级,射血分数下降,瓣环直径超过24mm。患者辗转多地都拒绝手术治疗,最终由郭应强教授领导的华西团队高效为患者制定手术方案,选择TAVR手术策略。患者主动脉瓣单纯反流,瓣膜无钙化,瓣膜定位困难,瓣膜移位,瓣周漏,传导阻滞风险高。因此选择专用于主动脉瓣反流的器械J-Valve瓣膜。该瓣膜通过定位键能够精准定位主动脉瓣瓣环位置,准确植入瓣膜;同时定位键可以提供额外的纵向支撑力,避免瓣膜移位植入瓣膜也无需过度Oversize,从而降低传导阻滞的风险。另外选用具有冠脉保护功能的J-Valve进行TAVR治疗。尤其针对低冠脉开口患者瓣膜植入前评估冠脉梗阻风险,瓣膜植入时精准植入瓣膜位置,避免冠脉梗阻。手术过程十分顺利,术后患者主动脉瓣膜返流情况立即解决,无瓣周漏,患者血流动力学立即得到改善,血压立即恢复正常。郭应强教授是对经心尖穿刺导管主动脉瓣膜置换术的开创者,也是全球手术例数最多的主动脉瓣膜关闭不全TAVR治疗团队在TAVR治疗复杂高危主动脉瓣膜疾病方面处于全国领先水平。



手术直播(十四):全胸腔镜二尖瓣置换术

术 者:姜胜利

(中国人民解放军总院)

患者为58岁男性,诊断为感染性心内膜炎、二尖瓣赘生物、二尖瓣重度关闭不全、心功能III级、高血压、2型糖尿病。入院后心脏超声示:感染性心内膜炎,二尖瓣前、后叶赘生物附着(A1区左房面1.4*1.0cm附着,P1区左房面2.0*0.7cm附着),前叶A1区穿孔(0.3cm),二尖瓣大量反流,左房、左室明显增大(左室6.0*6.8cm),左室壁稍增厚,EF:70%。

姜胜利教授计划行全胸腔镜二尖瓣手术,争取成形。手术在2.5cm主操作孔中完成,进入左房后发现二尖瓣赘生物和瓣叶受累比术前超声显示的更加广泛,整个A1P1区瓣叶、瓣下结构及部分P2区组织都受累,赘生物对瓣叶侵蚀严重、距离瓣环近,成形难度极大,且可能效果不佳,正所谓'巧妇难为无米之炊',虽然术前手术预案是尽力为患者进行二尖瓣的修复,但是赘生物已经严重侵蚀瓣叶瓣环结构,最终为患者进行二尖瓣置换,精准切除受累瓣膜组织后,植入27mm生物瓣!手术过程非常顺利。最后姜胜利教授还强调了感染性心内膜炎患者一定要加强术后抗感染治疗。




手术直播(十五):全腔镜下双瓣膜置换术

术 者:戴小福

(福建医科大学附属协和医院)

患者为56岁女性,以“反复活动后气促4年,加重3天”为主诉入院。心脏彩超示:风心 二尖瓣狭窄(重度)伴轻度反流、主动脉瓣狭窄(轻度)伴中-重度反流、三尖瓣轻度反流,估测肺动脉收缩压42mmHg。术前同时完善CTA检查未见异常。

手术通过右侧第三肋间入路,完成全腔镜主动脉瓣及二尖瓣置换术,术后超声提示植入人工瓣膜位置功能正常,心脏收缩力正常。

该病例手术难点主要在于通过右侧肋间入路完成多瓣膜病变的全腔镜外科治疗,对手术者的腔镜技术要求高,需要外科医生有娴熟的微创操作能力和丰富的腔镜经验。戴小福教授术后体会:1.患者体型小,体重轻。手术操作空间小,且患者主动脉瓣环小,为17.2mm,运用全胸腔镜技术进行小主动脉瓣环的主动脉瓣处理难度很大,术前评估植入17号Regent 瓣EOA有0.93,为了更好的血流动力学选择了19号Regent, 虽下瓣难点,但病人受益。2.手术采用“二孔法”,在右侧腋前第三肋间作为选择操作孔和腔镜孔,主操作孔切口仅为3cm,但此位置能使两个瓣位的手术视野获得良好的暴露,不失为一种选择方法。3.开放后主动脉切口渗血,补了几针后未见喷血,鱼精蛋白给完后就非常干净了,说明腔镜下缝合主动脉也是非常安全的。该手术最大的特色在于为患者实施全胸腔镜下微创多个心脏瓣膜手术,避免了胸骨锯开所带来的创伤,出血少,可加快康复周期改善病人的手术体验,体现了该团队高超的腔镜水平和该术式的安全性和有效性,目前福建协和心外已将全腔镜多瓣膜手术常规开展。



 本日直播下半场由来自上海交通大学医学院附属仁济医院薛松教授、上海市第十人民医院臧旺福教授、中国医学科学院阜外医院高歌教授、华中科技大学同济医学院附属协和医院李飞教授、郑州大学第一附属医院张伟华教授共同主持。


手术直播(十六):微创二尖瓣成形术

术 者:马   量

浙江大学医学院附属第一医院

患者为74岁男性,诊断为二尖瓣脱垂、小腱索断裂伴重度返流,三尖瓣中度返流。马量教授团队手术方案为:胸腔镜辅助下经右胸小切口二、三尖瓣成形术+左心耳缝闭术。

手术首先建立外周体外循环,右侧股动静脉插管(18号动脉插管,23号静脉插管),手术切口采用右侧腋前线与锁骨中线间的第四肋间,长约6厘米,置入8厘米直径切口保护套,右腋前线第三肋间1厘米切口置腔镜,右腋前线第五肋间1厘米切口置左心引流管及主动脉阻断钳,右胸骨旁第三肋间0.5厘米切口置左房拉钩。采用Del Nido心脏停跳液,房间沟切口进入左房,首先用4-0prolene线连续来回缝合左心耳。探查二尖瓣,与术前超声基本符合,后叶P2区腱索断裂,脱垂,采用两根CV-4人工腱索,置入34号CG环,注水试验二尖瓣关闭效果可,美兰试验对合缘5mm以上。用3-0prolene线连续来回缝合房间沟切口。

再打开右房,探查三尖瓣,瓣环扩大明显,瓣叶质地可,采用4-0prolene线连续缝合,植入28号3D环,注水试验关闭效果可,用5-0prolene线连续来回缝合右房切口。开放主动脉,心脏自动复跳。食道超声显示:二三尖瓣微量反流。

马量教授术后谈到:患者74岁,有观点会认为直接用生物瓣置换,我们还是选择了二尖瓣成形而非置换。我们认为二尖瓣成形术保留二尖瓣的自然完整结构,有着更好的血流动力学,有助于达到最佳的心功能储备,还可避免瓣膜置换相关的并发症,对于改善患者远期预后有着重要意义。而采用胸腔镜辅助下经右胸小切口的微创手术做二尖瓣成形术,与经传统胸骨正中切口有着同样的安全性和有效性,甚至有更好的显露,而且有着减少出血、更快的拔管时间、更短的ICU时间、减少术后疼痛、更小的感染风险和美容需求等优势,值得使用。



手术直播(十七):心脏外科房颤患者一站式治疗手术(射频+心耳夹)

术 者:苏丕雄、高杰

首都医科大学附属北京朝阳医院

患者为60岁男性,发现房颤21年,高血压、糖尿病病史20年。住院诊断:长程持续性房颤、高血压2级、糖尿病。

术前评估:冠脉正常,超声显示左房明显增大(前后径62mm、上下经84mm),食道超声显示左心耳无血栓。CHA2DS2-VASc评分2分,HAS-BLED评分1分。

治疗方案:患者21年房颤,左房明显增大,预估单纯经皮导管射频消融,房颤转窦成功率低。选择“一站式”复合房颤射频消融+左心耳夹闭术。

手术采用左侧胸壁打孔、全胸腔镜下微创技术,双极消融钳隔离左肺静脉,双极消融笔经心外膜消融马氏韧带及附着左房壁区域、左房顶部底部,与经皮导管心内膜隔离右肺静脉及左房顶部底部,完成左房后壁完整“BOX”盒装消融,同时导管消融右房上下腔静脉连线和三尖瓣峡部线。通过这种全胸腔镜左侧胸壁打孔的方法,左心耳夹闭简便、安全、彻底。

手术难点:左房明显增大,腔镜下良好的显露很重要,左肺静脉隔离和马氏韧带以及左房顶部底部的外膜消融要彻底,提高转窦率。

左侧胸壁打孔,全胸腔镜下微创结合经皮导管,“一站式”复合技术治疗长程持续性房颤,完成双房消融+左心耳夹闭,模拟外科Cox-maze III手术,在最小微创下提高房颤转窦率,我们数据显示近中期转窦率可达到80%,抗凝药物免除率100%,为长程持续性房颤患者提供了一种微创、安全、有效的新型复合技术。



手术直播(十八):经心尖TAVR

术 者:郭惠明、刘健

(广东省人民医院)

今日下午的第三台手术直播来自广东省人民医院心外科郭惠明教授与刘健教授手术团队。患者为76岁男性,反复胸闷伴气促1年、加重2周,强心、利尿治疗效果有限,高血压病史20年。

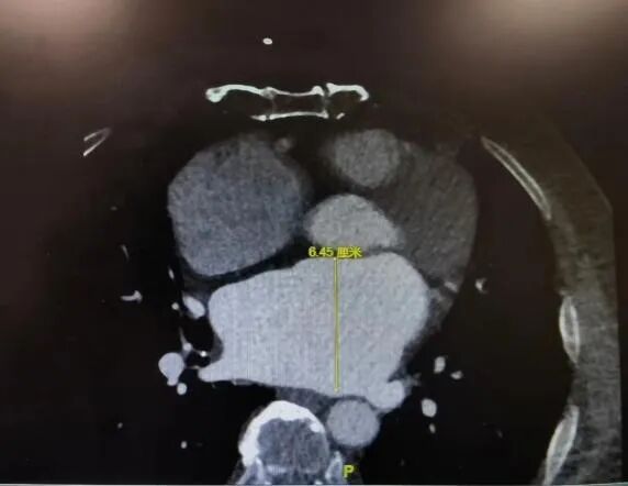
经胸心脏彩超示:主动脉瓣重度返流,缩流颈8.5mm,返流面积8.1cm²;左心扩大,左室舒张末内径66mm,左室收缩末内径40mm,左房45mm,EF62%。基于心脏CTA的评估显示患者为三叶主动脉瓣且无明显钙化,瓣环周长折算直径24.4mm,左冠开口高度9.8mm,左冠瓣瓣叶长度13.5mm,左髂总动脉瘤。NT-proBNP1991.0pg/ml,肌酐174.57umol/L。心电图、肺通气功能、胸片未见异常。

造影见主动脉瓣大量反流  

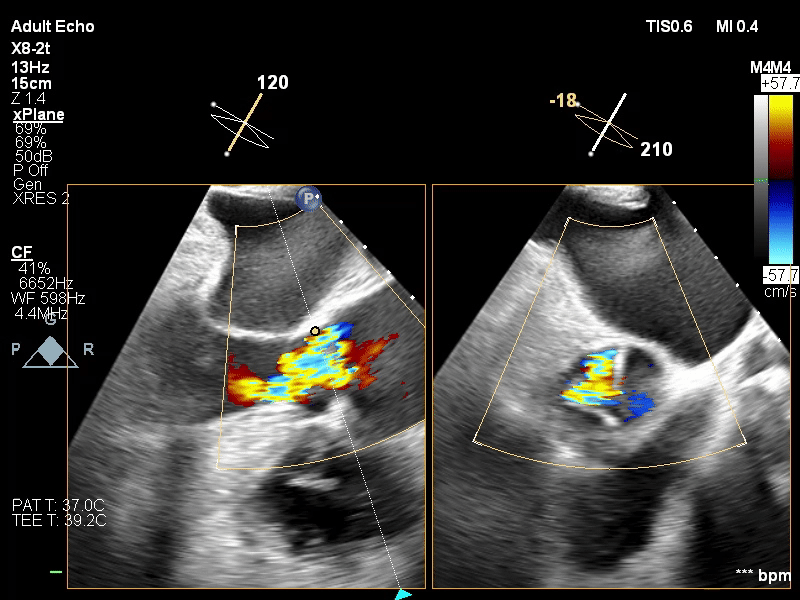
瓣膜释放前经食道超声

该患者体表面积为1.86m²,STS PROM达8.68%。鉴于患者瓣为纯返流病变,且年龄较高、左冠瓣较长、手术风险大,在与患者及家属充分沟通后,郭惠明教授与刘健教授决定给患者行经心尖TAVR,选用27mm瓣膜。

释放瓣膜

造影确定定位键位置与冠脉情况

再次造影无瓣周漏冠脉显影良好

瓣膜释放后食道超声

经DSA透视下定位心尖位置,主刀团队于左腋前线第五肋间做一3.5cm水平切口,从穿刺心尖至退出植入系统、荷包打结仅耗时不到10分钟,整台手术耗时仅56分钟,再次造影及复做经食道心超见瓣膜位置满意,无明显瓣周漏及瓣内返流、左右冠脉显影良好,心尖切口荷包无出血,在做到微创、高效的同时,实现了满意的手术效果。



手术直播(十九):K-Clip经导管三尖瓣修复术

术 者:李伟栋

(浙江大学医学院附属第一医院)

今日下午的最后一台手术由浙大一院心外科李伟栋教授团队担纲,为一位高危的三尖瓣重度反流患者成功进行了经静脉三尖瓣环修复术。

患者为一名70岁的老年女性,二尖瓣置换术9年,三尖瓣重度反流3年,伴有卵圆孔未闭、房颤10余年,心功能不全。经多学科讨论判定为传统外科手术高危患者,决定以K-Clip®为患者行经导管三尖瓣环成形术。

经过术前测量和分析,李伟栋教授团队结合患者的中央型反流伴有后隔长裂隙的情况定下手术策略,即在后瓣靠近隔瓣的位置,植入K-Clip®,进行后瓣偏隔瓣环的缩环成形,以期改善反流。

患者全麻后,右侧颈静脉穿刺,将K-Clip®输送系统送达右心房内。在超声医生指引下,将K-Clip®锚定件到位,打开夹持臂,对靶位进行夹合。  

手术中,术者充分考虑了器械植锚定点须避免对冠脉和传导束的影响,适时地调整了手术策略,在后瓣与隔瓣交界处找到了理想的锚定靶点,仅用一枚K-Clip®夹子,就将三尖瓣反流从术前的重度(4级),下降为微量(0~1级),几乎没有反流。心脏团队和主持专家对反流减少程度非常满意,遂解离夹合件,退出输送系统。

术后评估冠脉血流通畅,生命体征稳定,伤口无出血,即结束手术。手术在30分钟的直播时间内完成。

K-Clip®是汇禾医疗自主研发的经导管三尖瓣环修复系统,复刻经典外科手术,经血管穿刺入路,不需要开胸、创伤小、恢复快、操作简单,使患者得到最大程度的获益。尤其是心外科有大量的瓣膜开胸术后患者,他们经过了主动脉瓣/二尖瓣术后,逐渐出现三尖瓣重度反流,却无法耐受第二次外科手术,生活质量低下甚至威胁生命。经血管的三尖瓣修复术,给他们带来了新的选择、新的希望。

浙大一院是全国使用K-Clip®最多例数的中心,目前已经成功完成39例,是K-Clip®的全国教学基地之一。


今天7台手术直播覆盖了心尖TAVR、全腔镜二尖瓣成形、全腔镜双瓣膜置换、腔镜下房颤一站式治疗,以及经导管三尖瓣修复等技术,并邀请了国外专家实时直播与讨论,全方位、多角度展现了微创技术在这些疾病治疗中的独特优势,既促进了微创技术的交流,也开拓了广大心血管外科医生的微创技术视野。网络累计点击量已超过9万人次。


明日CMC Week 2022云上直播周进入第四天,将为您带来7台精彩的微创心脏手术直播,内容覆盖了经导管主动脉瓣置换、微创主动脉瓣置换+二尖瓣成形术、全胸腔镜微创房颤治疗、二尖瓣夹合术+TAVI、经导管三尖瓣夹合术(TriClip Device)、腋下二尖瓣置换术等技术,敬请期待!



CMC Week 2022

10月27日云上手术直播预告



CMC Week 2022

10月26日云上手术直播回看



阅读数: 365