CMC Week 2022|云上手术直播盛大开幕

\ | /


秋水长天一色,微创物换星移

云上手术直播 10月24日-10月28日

南昌线下大会 10月29日-10月30日

云上手术直播 10月30日-11月04日


“CMC Week 2022 云上手术直播”正式开启————


2022年CMC Week云上手术直播于今日拉开帷幕。参加今天直播启动仪式的主要嘉宾有来自中国医学科学院阜外医院的胡盛寿院士、郑哲书记和王欣教授,来自复旦大学附属中山医院的王春生教授和魏来教授以及来自东道主南昌大学第二附属医院的徐建军教授和吴永兵教授。胡盛寿院士与郑哲书记发表了热情洋溢的开幕致辞,并代表国家心血管病中心热烈祝贺CMC Week 2022开幕,充分肯定了多年来CMC对中国微创心血管外科事业的推动和对年轻医生的培养。CMICS主席王春生教授回顾了微创心血管外科专业委员会成立以来的五年历程:从成立之初到现在队伍不断壮大,说明了我国微创心血管外科欣欣向荣、不断发展,他也希望越来越多的青年医师在微创心血管领域不断进步,取得更大成就。



徐建军教授和吴永兵教授作为本次大会的东道主,在预祝本次直播取得圆满成功的同时也诚挚的邀请心血管外科的同道们本周末齐聚南昌,共襄学术盛会。

CMC Week 2022的首日直播包含七台精彩纷呈的手术。其中四台手术来自复旦大学附属中山医院心外科,分别由王春生教授、魏来教授和赖颢教授主刀。另外三台手术则分别来自广东省人民医院郭惠明教授、西安交通大学第一附属医院闫炀教授及上海市胸科医院朱丹教授。

上半场手术直播由中国医学科学院阜外医院郑哲教授、王欣教授、复旦大学附属中山医院魏来教授和南昌大学第二附属医院吴永兵教授共同主持。


CMC Week 2022


手术直播(一):微创主动脉瓣置换术

术 者:王春生

(复旦大学附属中山医院)

CMICS主席,来自复旦大学附属中山医院心外科王春生教授通过一场微创主动脉瓣置换术为CMC Week的云上手术直播拉开序幕。患者为66岁男性,因“活动后胸闷气促2年”入院,体检:HR 56bpm,胸骨右缘地二肋间可闻及II/6 级DM。心超示:主动脉瓣三叶式,右冠瓣脱垂伴重度反流,左心室明显扩张。既往高血压病史,服用缬沙坦80mg qd及氨氯地平5mg qd。为尽可能保留患者的胸廓完整性,减少出血,王春生教授决定通过右胸第二肋间行微创主动脉瓣置换术。

术中经股动静脉插管建立体外循环,经右胸第二肋间切口进胸,切口长约5cm,不损伤肋骨及乳内动静脉。术中植入25#生物瓣。


在轻松愉快的氛围下,王春生教授行云流水般完成本例教科书级微创瓣膜置换手术。主动脉阻断时间仅为48分钟,几乎与传统开胸手术不相上下。右胸第二肋间切口不破坏胸骨、不影响胸廓稳定性,创伤小,出血少,术后恢复快。与传统正中开胸相比,该技术不仅同样安全有效,而且可以切实改善患者手术体验,明显缩短住院及术后康复时间。患者术后ICU拔管后当日返回普通病房。



手术直播(二):胸主动脉腔内隔绝(Talos)

术 者:赖   颢

(复旦大学附属中山医院)

第二台手术直播由复旦大学附属中山医院心外科大血管亚专科赖颢教授团队完成一例精巧的微创TEVAR手术。患者5年前曾因急性A型主动脉夹层于中山医院行“ David+全弓替换+降主动脉支架象鼻术”,术后恢复良好。由于术后血压控制情况欠佳,随访过程中发现该患者的支架远端降主动脉真腔严重狭窄,假腔进行性扩张。从多方面角度考虑,为了避免该患者降主动脉进行性负性重构,尽可能向远端更大范围地开通真腔血供,避免远期胸腹主动脉替换的开放性大手术,赖颢教授团队选择了Talos®直管型胸主动脉覆膜支架系统为患者实施微创TEVAR手术。

赖颢教授介绍,不管针对A型或B型夹层,远端真腔重塑一直是需要关注的问题。虽然使用长度更长的覆膜支架可实现远端真腔重塑,但脊髓缺血所致截瘫确是极其严重的潜在风险。术中所用支架采用近端覆膜,远端打孔(打孔长度40-100mm不等)设计。在重塑远端真腔同时,保留肋间动脉,预防脊椎缺血相关并发症。同时,赖颢教授表示,Talos®与以往支架相比,释放更加简单,并且硬鞘可以直接跨弓,定位更加精准,极大的增强了稳定性。

整个手术耗时不到一小时,该患者术后真腔即刻扩张,下肢活动正常,于手术室拔除气管插管返回病房,效果满意。



手术直播(三):全腔镜扩大室间隔心肌切除+二尖瓣置换+三尖瓣成形+左心耳缝闭术

术 者:郭惠明

(广东省人民医院)

上午直播的最后一台手术广东省人民医院郭惠明教授。患者为66岁男性,活动后气促1年,药物治疗未见缓解,既往有房颤、高血压病史。心超示:1.肥厚型心肌病,室间隔19 mm;2.二尖瓣重度返流,后叶拴拽;3.三尖瓣中度返流;4.轻度肺动脉高压,PASP 40mmHg;5.左房内径61 mm。心脏CTA提示室间隔非对称性肥厚,心脏MR显示增强延迟,心电图见心房颤动,肺为中重度混合性通气功能障碍。为避免术后SAM现象及左室流出道梗阻,同时尽可能保留患者胸廓完整性、减少出血及肺功能损伤,郭惠明教授决定行全腔镜扩大室间隔心肌切除+二尖瓣置换+三尖瓣成形+左心耳缝闭术。

术中经股动静脉插管建立体外循环,经右胸第四肋间进入胸腔,切口长约4cm。由于患者术前心超提示室间隔基底段明显增厚,仅行二尖瓣手术或致左室流出道梗阻。在充分评估多模态影像学资料并参考基于心脏CTA的三维重建模型,郭惠明教授在经二尖瓣切除肥厚左室心肌后在,以29 #生物瓣置换二尖瓣、29 #成形环环加固三尖瓣环。主动脉开放后各吻合口止血顺利,经食管心脏彩超见左室流出道疏通效果满意、二尖瓣及三尖瓣未见返流,术后心电图未见完全性房室传导阻滞。

在本次直播中,郭惠明教授再次演示了高难度的全腔镜复杂手术。该团队采用基于心脏CTA重建的心肌模型可精确评估肥厚心肌位置、厚度、深度及宽度,从而为全腔镜下操作带来实质性帮助,增强了效果与安全性。郭惠明教授也借这一新技术鼓励年轻心外科医生拥抱新进展,使更多患者受益。



手术直播(四):微创主动脉瓣三维解剖修复+升主动脉置换术

术 者:王春生

(复旦大学附属中山医院)

下午的第一台手术依然是来自复旦大学附属中山医院的王春生教授团队。该病例为42岁男性,心脏超声提示:先天性主动脉瓣二叶式畸形伴重度返流,主动脉窦部及升主动脉增宽,EF:59%,主动脉瓣环前后径:30mm,主动脉窦部:42mm,升主动脉:40mm。综合考虑年轻患者对微创瓣膜修复的渴望及主动脉瓣病变特点,王春生教授决定经微创入路对患者主动脉瓣实施三维解剖修复手术。

手术采用第3肋间胸骨上段切口,行中心体外循环插管。手术采用王春生教授首创的三维解剖修复技术:横断主动脉后,充分游离主动脉根部及左右冠脉开口,将人造血管固定在主动脉瓣基底环水平。再对病变瓣叶进行修复,通过修剪假嵴和瓣叶中心性折叠等技术恢复畸形瓣叶的对称结构。术中同期将扩张菲薄的近端升主动脉管壁行人造血管替换,避免远期潜在的主动脉瘤/夹层可能。术后食道心超提示未见明显主动脉瓣反流,瓣叶启闭正常,最大和平均跨瓣压差仅为8mmHg和4mmHg。术后主动脉瓣环前后径25mm,窦部直径28mm。

王春生教授特别指出,二叶式主动脉瓣反流性病变不单累及累及瓣叶结构,更重要的是主动脉根部的整体病变。而确保修复远期疗效的核心理念之一在于瓣环成形。通过对瓣叶、主动脉瓣基底环、主动脉窦和主动脉窦管交界的同期处理,可实现主动脉瓣的解剖修复,获得良好的远期疗效。主动脉瓣修复手术由于其固有的复杂程度,仅在国外少数中心成规模的常规开展。王春生教授团队在深耕主动脉根部手术多年后,凭借对主动脉根部疾病和解剖结构的深刻理解,已实现常规性主动脉瓣修复并获得良好疗效,体现了这一术式安全性、有效性和良好的可重复性。这场直播展示的不仅是微创心脏手术,更代表了瓣膜修复领域的最新进展。因此受到与会专家和参会观众的极大关注。



手术直播(五):功能性二尖瓣返流经心尖夹合术(Valveclamp)

术 者:魏   来

(复旦大学附属中山医院)

下午第二台手术直播由复旦大学附属中山医院魏来教授主刀。这是一名60岁老年男性,主诉:反复胸闷、气促1年余,体检:心尖部III/6级收缩期吹风样杂音。心功能IV级。既往高血压8年,三尖瓣生物瓣置换术后13年,永久起搏器植入术后7年。患者经多年规范GDMT治疗,但症状仍进行性加重,无法耐受。

患者心电图提示室性早搏二联律,心超提示左房巨大、二尖瓣环极度扩张,前后叶分离无对合高度。同时左心室扩大、后叶栓系,导致极重度二尖瓣反流,EF:48%,经综合考虑为房性+室性功能性二尖瓣反流,预计外科二尖瓣成形手术效果不佳,复发率高。患者为再次心脏手术,且STS评分7.599%,属于常规外科手术高风险,故首选介入治疗。

经CT评估,患者二尖瓣环过大,不适合经导管二尖瓣置换术TMVR,可考虑经导管二尖瓣缘对缘技术TEER,但也面临瓣叶对合高度不足、反流束宽度过大等解剖挑战。

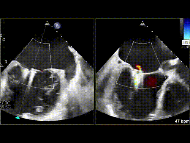
术前二尖瓣极重度反流


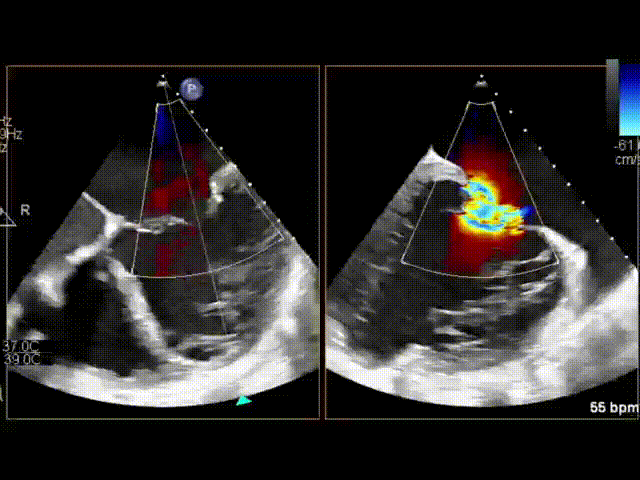
术中通过食道超声再次确认患者二尖瓣反流主要在2区,同时也累及1区和3区,反流极重度(+++++),反流口面积达到8*19mm,单夹无法有效解决反流问题。魏来教授临时改变手术方案,决定先在相对困难的3区尝试夹合,然后在2区平行释放第二个夹子。术中魏教授在心脏超声室潘翠珍教授、李伟教授鼎力配合下,通过娴熟的技术,完美达成了术前的既定方案,术后食道超声提示二尖瓣仅轻度反流(+),平均压差仅3mmHg。魏教授和李伟教授均连声感慨:“出乎意料,手术效果超过预期。”

3区释放第一个夹合器后该区反流消失

2区释放第二个夹合器后反流从极重度减少到轻度


该手术心脏操作仅30分钟不到,整台手术仅用时1小时,术后切口仅4cm(两指),真正做到了微创、高效、快捷,也为心外科医生处理这类疑难病例提供了一种行之有效的方案。



手术直播(六):微创主动脉瓣置换+二尖瓣成形术

术 者:闫   炀

(西安交通大学第一附属医院)

下午的第三台手术直播来自西安交大附属第一医院的闫炀主任。患者为69岁,男性,因10天前夜间休息时无明显诱因出现胸闷、气短,坐位后即缓解,此后活动耐量进行性下降,伴有双下肢轻度浮肿入院,心超示:左心、右房增大伴二、三尖瓣少量反流、升主动脉及主动脉窦部增宽、主动脉瓣中-大量反流、心房颤动;CAG示:LAD7段心肌桥,收缩期压缩30%,LCX13段狭窄30%。手术拟通过右侧胸肋间入路,完成双瓣置换。

该病例手术难点主要在于通过右侧肋间胸骨旁小切口完成微创多瓣膜病变的外科治疗及房颤射频消融治疗,对手术者的技术要求很高,需要有精湛的技术和丰富的实践经验的外科医生方能顺利完成。主要技术要点:1.切口的选择:胸骨旁第三肋间是实施此类手术最为常用的切口,对相关的手术野都可以达到良好的手术暴露。2.瓣膜处理顺序上异于常规切口手术,先部分或者完整处理主动脉瓣后再处理二尖瓣,以避免主动脉瓣暴露困难。3.迷宫手术从此切口可以得到很好的暴露实施,(包括双极和单极消融),可以为患者提供更为彻底的治疗方案。

该手术最大的特色在于为患者实施复杂心脏瓣膜手术及外科射频消融同时避免了常规胸骨正中切口的对患者带来的床上,保持了胸廓的稳定性,出血少,恢复快。同时作为常规手术的发展延伸,学习曲线相对较短,可以进行推广普及。



手术直播(七):经导管主动脉瓣置换术

术 者:朱   丹

(上海市胸科医院)

CMC Week 2022云上手术直播首日的最后一台手术来自于上海胸科医院的朱丹主任。该手术患者为男,72岁,因“反复头晕、黑懵1年”入院。查体:心率84次/分,律齐,主动脉瓣听诊区可及3/6级收缩期杂音。心超示:LVEF 61%,主动脉瓣狭窄(重度),跨瓣压差:峰值159mmHg,平均 98mmHg,二尖瓣反流(轻中度),三尖瓣反流(轻中度)。经评估后决定行经导管主动脉瓣置换术。

患者主动脉瓣狭窄严重,术中存在一定困难,但最终在朱丹教授团队以及麻醉、心超等医生的通力合作以及魏来教授与郭应强教授的场外指导下顺利完成了主动脉瓣的植入。


CMC Week 2022云上手术直播第一日共七台手术,手术多种多样,百花齐放。不仅涉及微创的主动脉瓣,二尖瓣等瓣膜疾病,还有介入瓣膜手术以及主动脉腔内修复。手术直播展现了各专家团队的精湛技术,团队成员之间配合默契,步骤明晰,时间把控准确,充分展示了中国微创心血管外科的巨大进步。心血管外科同道们也表现出了极大的参与热情,直播首日累及观看人数就已经突破了4万余人次。



CMC Week 2022  

10月24日云上手术直播回看


阅读数: 564