病例荟萃第二十一期|陈涛:使用Telescope™导引延长导管成功干预LCX高阻力病变

陈涛  西安交通大学第一附属医院


病例摘要


王某,女性,74岁,陕西省商洛市人,2022-05-18入院

病史简要发作性胸痛4年,加重2月,4年前活动时出现胸痛,呈闷痛,位于胸前区,手掌范围大小,持续3-5分钟左右,休息可缓解,未予重视及诊治,4年来上症间断发作。2月前上症加重,就诊我院行CAG+PCI提示:冠脉三支病变,已干预LAD,拟干预余冠脉病变,今日就诊我院。

既往史高血压病史15年,心房颤动病史半年。

个人史:否认吸烟饮酒史。


体格检查

  • 全身查体:T36.5℃,P95次/分,R19次/分,Bp130/100mmHg,

  • 一般情况可,无皮肤湿冷,面色苍白,烦躁不安、颈静脉怒张,

  • 双肺呼吸音清,未闻及干湿性啰音,

  • 心界不大,心率103次/分,律不齐,心音低,各瓣膜区未闻及杂音,

  • 双下肢无水肿,病理征阴性。

入院后心电图

异位心律 心房颤动

心动超声

左室舒末/收末前后径:46/31mm,

左房:35mm,

二尖瓣反流:1.0cm²,

主动脉瓣三叶式,瓣膜增厚、钙化,启闭尚可,

EF:60%。

超声提示:

左房增大,

左室舒缓功能减低,

老年性主动脉瓣,二尖瓣退行性改变。

主要实验室检查

血常规、凝血、电解质、肝肾功、心肌损伤标志物无异常,

B型前脑尿钠肽:625.00 pg/mL。

初步诊断

冠状动脉粥样硬化性心脏病,

不稳定型心绞痛,

冠状动脉支架植入术后状态,

心功能Ⅱ级(NYHA分级),

心律失常,

持续性心房颤动,

高血压3级(很高危)。

诊疗计划

完善相关检查,

冠心病二级预防治疗,

行CAG+PCI术干预余冠脉病变。

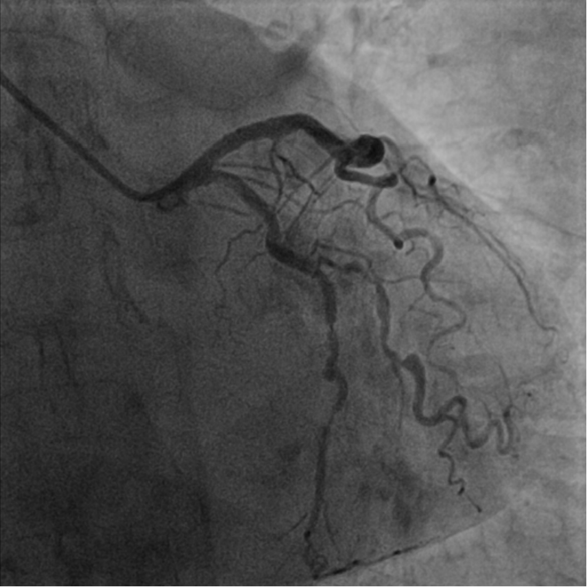
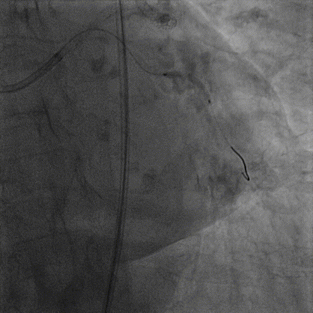
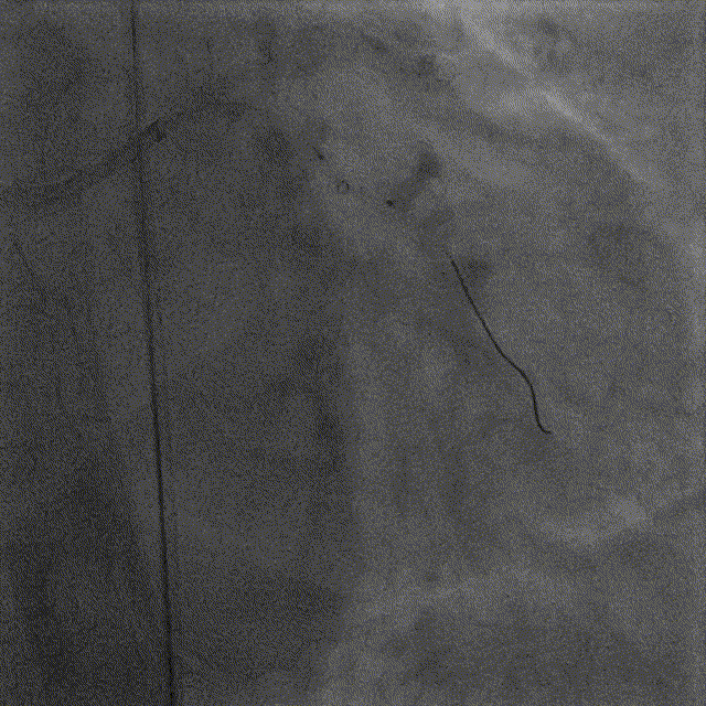
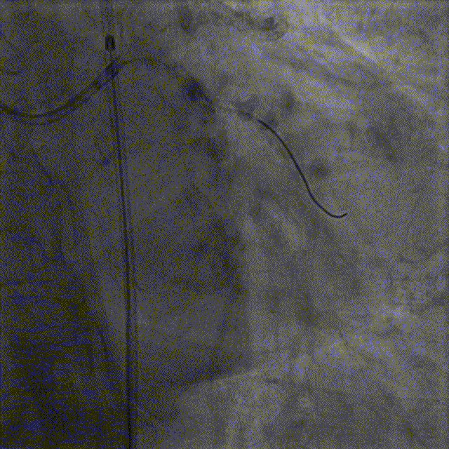
冠脉造影

冠脉三支病变 右冠优势型,

LAD 6-7 原支架无狭窄,

LCX 11-12 90% (迂曲钙化),

LCX 13 80-90%,

RCA 1-3 50-80% 弥漫性病变。

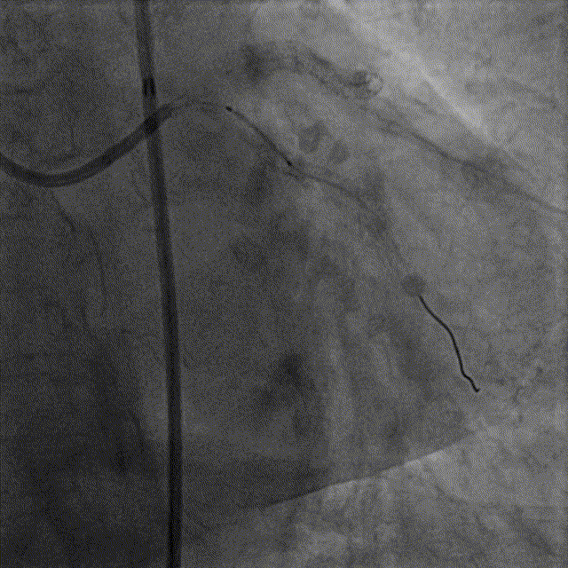
策略

拟干预LCX11-12,行PCI术,

LCX13段开口狭窄程度不重,中远端严重扭曲,

暂不介入干预。

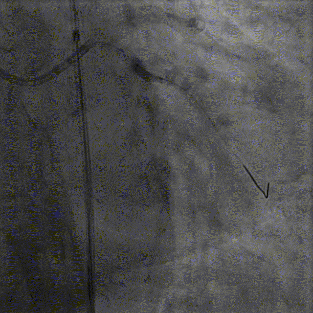
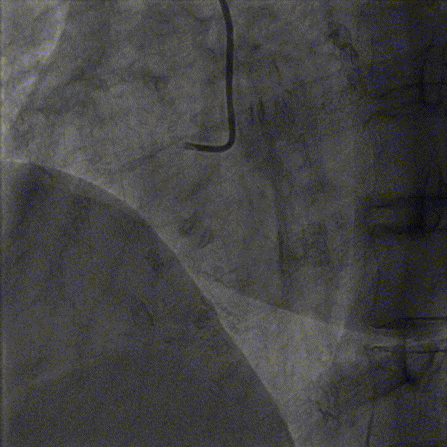
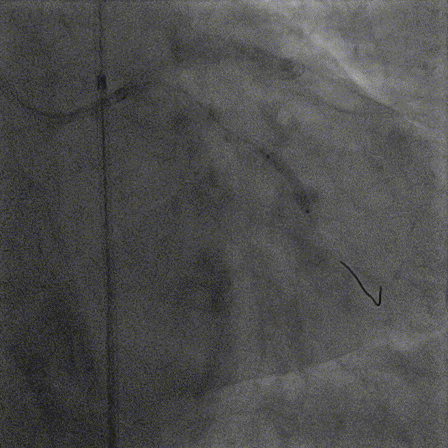
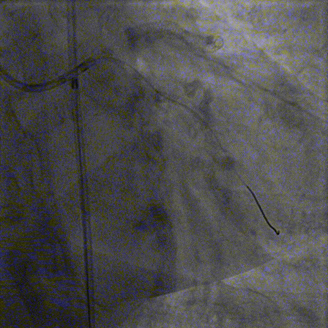
工作导丝通过困难

微导管辅助Pilot50通过病变

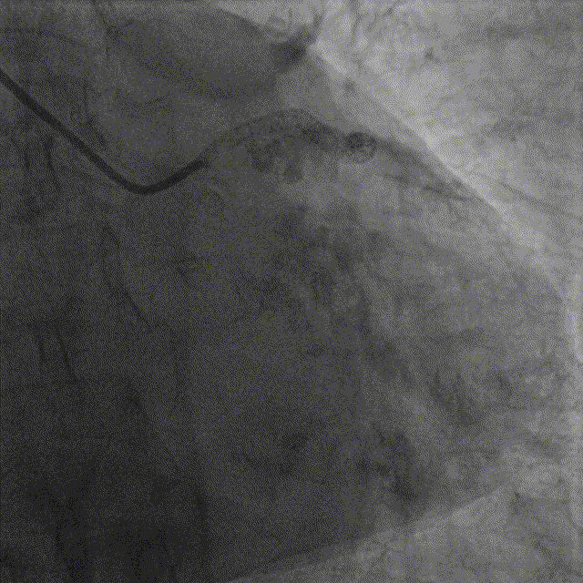
预扩张2.0*2.0mm

1.5*1.5mm预处理病变远端

2.0*2.0mm预处理病变远端

LCX预处理后

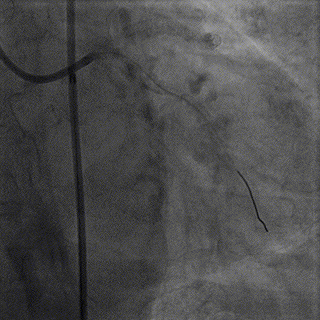
支架输送困难,遇到高阻力,不能通过LCX迂曲钙化病变。

可选择如下策略:

  1. 双导丝技术,

  2. 更大直径顺应性球囊或非顺应性球囊再次充分预处理病变,

  3. 其他血管锚定,

  4. 换7F指引导管增加支撑性。

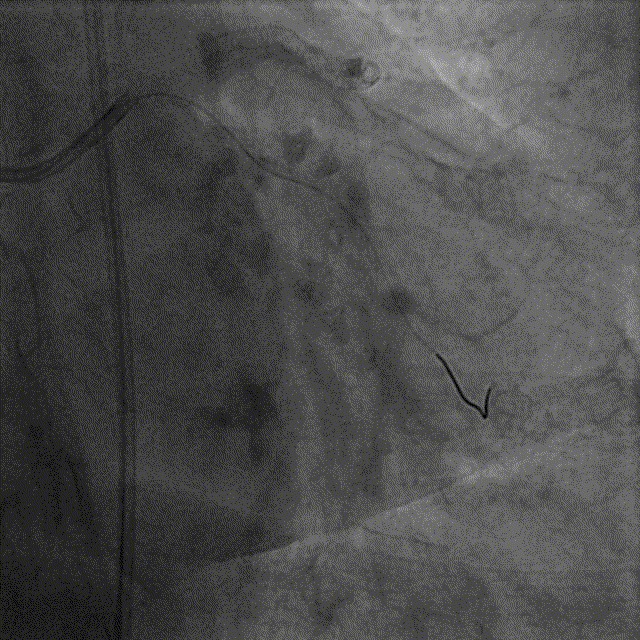
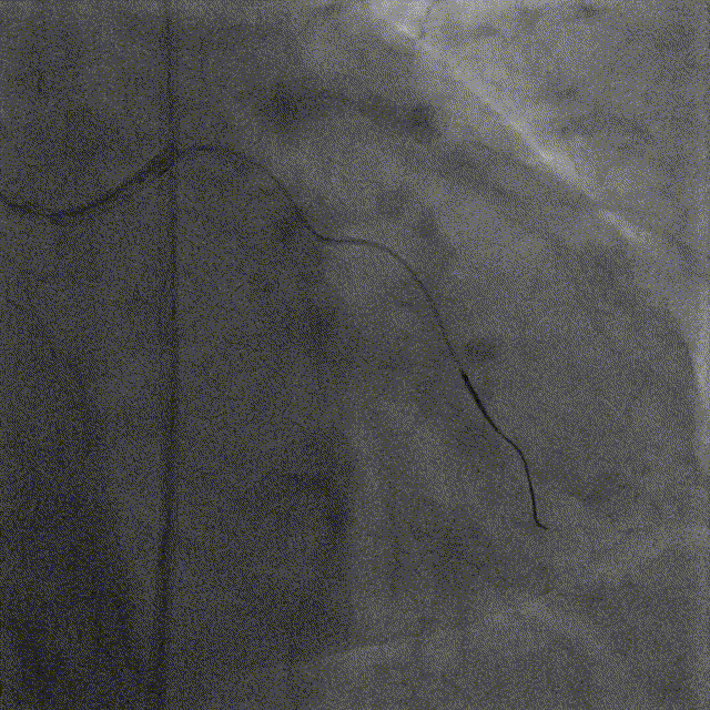
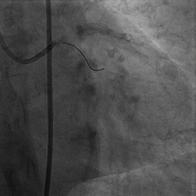
  5. 启用Telescope™导引延长导管

Telescope™导引延长导管,安全高效,

2.5*33mm DES

后扩张2.5*15mm

第一枚支架后

2.5*13mm DES

2.5*13mm 后扩张

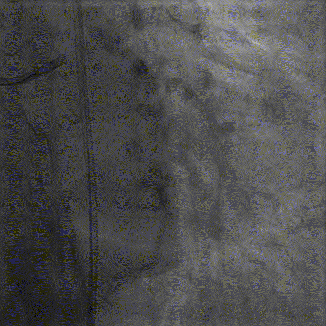
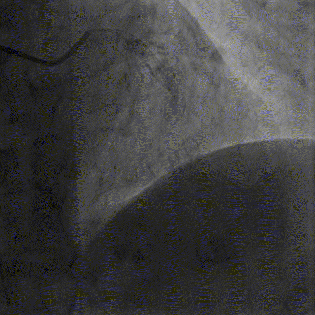
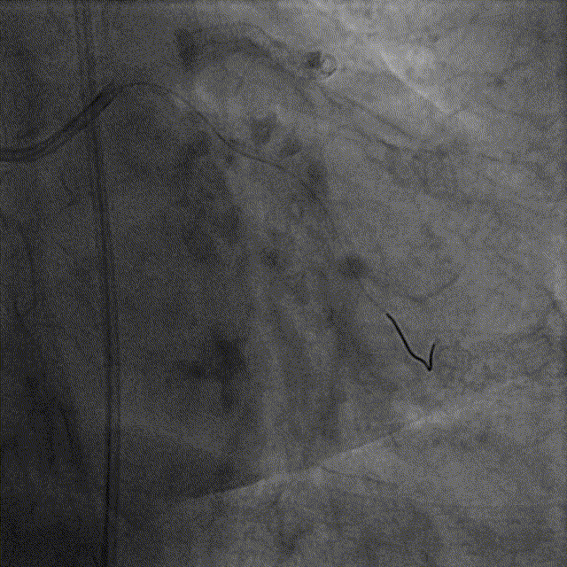
最终结果

术后Telescope™导引延长导管形态,顺应迂曲血管走形

认识高阻力病变

高阻力病变:是指各种原因导致血管阻力和病变阻力显著增高,导致器械通过困难。扭曲、成角、弥漫的严重钙化病变是高阻力病变的主要原因。

病变特征

1. 迂曲、成角、钙化,

2. 导丝通过有走砂石路手感,“涩”,

3. 小球囊通过困难,阻力大,

4. 球囊扩张后有腰征。

临床特征

流行病学资料显示,冠状动脉钙化随年龄增加而增加,在40~49岁人群中的发生率约为50%, 在60~69岁人群中的发生率约为80%。冠状动脉狭窄程度越高,通常伴有钙化的概率也越大。高龄、脂质代谢异常、糖尿病、甲状旁腺功能亢进、慢性肾病、肾替代治疗、 高钙血症及既往行冠状动脉旁路移植术是冠状动脉钙化病变的高发人群。

高阻力病变对介入手术的影响

冠状动脉钙化病变的存在,尤其是严重内膜钙化病变和钙化结节,明显增加了PCI的难度和风险,其难度在于如下几点:

( 1)钙化病变往往伴随血管成角、扭曲病变,以及对血管扩张的反应较差,所以增加了介入相关器械通过的难度,增加了PCI相关并发症(如介入器械不能到位、支架脱落、导丝断裂、支架纵向压缩等)的风险。

( 2)钙化病变属于高阻力病变,球囊难以充分扩张,甚至会发生球囊破裂等情况。通常需要较高的压力扩张钙化病变,发生血管夹层、穿孔、破裂、无复流等概率明显增加。

( 3)在未充分扩张的钙化病变段内置入支架,容易出现支架膨胀不全、贴壁不良、支架不规则变形,从而导致各期的支架内血栓形成、支架内再狭窄等风险增加 。

选择有利的介入器械 工欲善其事必先利其器

病例小结

  1. LCX由于其解剖学特征,往往与指引导管同轴性差,同时LCX常常伴有迂曲钙化,导致器械输送困难。

  2. 在使用Telescope™导引延长导管时,往往使用Inchworm技术和球囊锚定技术相结合,将Telescope™导引延长导管送到合适的位置。

  3. 该病例在遇见高阻力病变时,及时使用Telescope™导引延长导管,具有良好输送性,顺应迂曲的血管走形,缩短了手术时间,提高了手术成功率,并且TruFlex™软性多聚物头端提高安全性,避免损失近端血管。避免了暴力操作引起血管夹层血肿增大,支架脱载等并发症。

专家介绍

-  陈涛 -

西安交通大学第一附属医院

医学博士,副主任医师,研究生导,毕业于暨南大学临床医学系,2012年获西安交通大学内科学博士学位,期间公派赴美国埃默里大学(Emory University)医学院学习2年,中国医师协会心血管病内科医师分会预防与康复学组委员,中华中医药学会介入心脏病学分会常务委员,中华中医药学会心血管病分会委员,陕西省中医药学会心血管病专业委员会副主任委员,陕西省保健协会高血压专业委员会常务委员,陕西省国际医学交流促进会心血管专业委员会委员,陕西省医师协会高血压专业委员会委员,陕西省中西医结合学会第一届脑心同治专业委员会 委员兼秘书,主持国家自然科学基金(面上项目)1项,省部级课题3项。发表SCI论文5篇。

长按二维码关注“一脉同行”

阅读数: 618