专访丨尤斌:身处时代洪流之中,传递正确的微创心脏外科理念

在首都医科大学附属北京安贞医院页面上搜索“尤斌”,可以得到很多来自患者的赞美之词:“医术精湛”、“医者仁心”、“医德高尚”……

其中有一个比较特殊的留言,是一位湖北武汉的先心病患者。他说,“我很庆幸我们能赴京请尤教授帮我们手术,给了我一个不辟胸骨就能完美治愈先心病的机会,这是这辈子最成功的一个决定。”

短短的两行字里,是一个劫后余生的家庭,感恩自己的幸运。

2022年9月23日,“心动在线-微创心脏外科中心手术直播——机器人二尖瓣修复手术”活动圆满结束,作为大会主席的尤斌教授一步步用实际行动践行着自己的理想:他要把这份“幸运”,传递给更多的患者,让更多的人了解“微创心脏外科”。

尤斌

首都医科大学附属

北京安贞医院


01

一次“相遇”,点亮了心中的火焰

毫无疑问的是,微创外科是外科发展史上继麻醉术、无菌术、临床营养治疗学和器官移植术后的又一个伟大的里程碑。20世纪90年代后,微创外科开始在我国医学的各个领域开花结果,但微创心脏外科难度大风险高,仍然是一片少有人踏足的“荆棘地”。

2003年9月,年轻的尤斌教授走进了被医者视为圣地的美国克利夫兰医学中心。在那里,他遇到了此后十数年为之钻研不息的“理想”。

传统的心外科手术为了更好地显露心脏和大血管,需要完全正中劈开胸骨,手术创伤较大。彼时国内已经有了微创心脏外科的初步设想,改为胸骨中上段或者中下段切口的方式,减少了对胸廓完整性的破坏。但尤斌教授认为,那并不是真正意义上的微创心脏外科。

“我到克利夫兰的时候,观摩了他们用微创的方法做二尖瓣的手术,不需要切骨头,只需要肋间一个5cm的切口。这颠覆了我在国内接受的理念,与之相对应的,不论是国外医生的思想,还是医药企业为心外科设计研发的器械,都在围绕着‘微创’的概念。”

在国外研修进学的一年半的时间里,尤斌教授去过哈佛大学附属麻省总医院、多伦多综合医院、波士顿儿童医院、多伦多儿童医院……在那里几乎三分之一比例的二尖瓣患者做的是经肋间微创手术,而2003年国内大部分尝试开展微创心脏外科手术的医院还在采用锯开部分胸骨,这种强烈的对比让尤斌教授意识到,他有责任也有义务让大家看到真正的“微创心脏外科”。

“将心比心,如果我是患者,如果我是一位老年骨质疏松的患者,我更愿意医生不要动我的骨头,减少我的痛苦。”

02

起于微处,兴在远方:安贞微创心脏外科发展之路

2005年2月,尤斌教授踌躇满志踏上了回国的飞机。然而现实很快给他出了一个难题:没有配套的器械可以使用。一直到2009年,转折的契机到来了。

“那时候我们安贞在进行病房调整,我心里一直埋着‘心血管手术微创化’的想法,于是就开始四处打听拜访,哪里能买到器械,哪里有什么政策。”

2010年初,尤斌教授第一次向院里递了申请:我要组建微创心脏外科团队。时任张兆光院长在认真听取了尤斌教授的想法后非常支持,院里拨款一百多万买来了德国的进口器械,由尤斌教授牵头,几位技艺精湛且有志于此的医生以安贞医院为起点,开始了中国心脏外科微创化的发展道路。

·2012年国内首例多支桥微创搭桥术

·2013年国内首例三维腔镜二尖瓣修复手术

·2014年国内首例微创多瓣膜置换术

·2016年国内首例微创Bentall手术(带主动脉瓣人工血管升主动脉替换术)

·2016年国内首例机器人巴鲁氏综合征二尖瓣修复术

·2021年国内首例微创主动脉根部置换+二尖瓣置换+搭桥手术

·2022年国内首例微创David手术(保留瓣膜的主动脉根部置换术)

曾经的心脏外科微创小组在2013年正式改建为微创心脏外科病房,并于2021年4月扩大为微创心脏外科中心。截止2022年6月,科室共施行多种微创心外科手术3000余例。涵盖病种广泛,90%微创瓣膜手术、40%微创冠脉搭桥手术,90%微创先心病手术等。技术种类全面,包括直视小切口、腔镜辅助或全腔镜、机器人、介入手术以及多学科联合的杂交技术等。

一粒小小的火种,在十余年的辛勤耕耘下发出了耀眼的光芒。尤斌教授对未来也有一个清晰的规划:

第一、扩大规模,结合安贞医院北京通州院区的启用情况,将微创心脏外科中心拓展到2个病房;

第二、重点培养中青年医生,维持良好的可持续的老中青三代人才结构;

第三、联合研发国产微创心脏外科器械,扩大“微创化”适用范围。

在可预见的将来,微创手术覆盖的病种会越来越广泛。国产化也会降低器械的使用门槛,预计2025年中心累计微创手术量可以突破6000例。

“打个比方,就像如今的电动汽车,它已经完全跳出了汽油的赛道,在一个全新的赛道里优化自己。随着充电桩、电池续航等问题的改善,电动汽车毫无疑问会比现在更加普及,微创心脏外科也是同理。”

03

攀登华山之巅,从来没有捷径

如果将心脏外科比喻成外科学皇冠上的明珠,那么微创心脏外科无疑是明珠中最亮眼的那一颗。

如今的安贞医院微创心脏外科水平在国内是当仁不让的第一梯队。微创心脏手术难度大,学习曲线长,能够熟练开展此类手术的医院与医生凤毛麟角,“华山之巅”是尤斌教授对此的评价。

“如果你传统手术技术是华山之巅了,那么你微创也能做到华山之巅。”

在尤斌教授看来,想要进阶微创心外的水平,最重要的不是器械,而是医生本人。

“传统的外科手术相当于我们在地上打拳,微创心脏外科就是在梅花桩上练功。因为切口小,手术操作精细度非常高,有些问题你知道怎么解决但你的手摸不着够不到,所以技术的基本功打扎实了,才能往下走。”

此外,微创心脏手术因为需要通过外周血管建立体外循环,多数手术需要单肺通气等,所以对患者的肺功能、血管病变情况、心功能、冠脉病变等情况均有要求,能否接受微创心脏手术还需要对心肺功能、血管条件评估后方可决定,这也对医生的综合素质提出了更高的要求。

在采访中,尤斌教授坦言他的学习曲线拐点是在20-25例,这与深厚娴熟的外科功底密不可分。他的病人上至八九十岁的老人,下至刚出生的婴儿,年龄跨度极大,手术经验丰富。“前几年我都是在不断地积累经验,做了很多全国首例的手术,扩大微创心脏外科的手术范围,随后不断融会贯通找到了一条自己的道路。”

04

突破人体极限:机器人手术

作为机器人心脏外科手术公认的“权威”,尤斌教授认为机器人能使外科医生在尽可能的微创条件下完成复杂的心脏直视手术,将成为心血管微创外科的典型代表和发展方向之一。

“机器人”近年来频频被人们所提及。相比于传统的腔镜,更加精准缝合、更完美的解剖操作,机器人手术的一大优势好比把身体深部结构“放到了医生的眼睛前”。

以二尖瓣修复为例,2016年以来尤斌教授带领团队共计完成320余例机器人外科手术,其中二尖瓣修复占到了65%以上。“机器人辅助二尖瓣修复手术的成功率及中远期效果与小切口、腔镜手术相比有明显优势。”

如今机器人手术在外科领域的应用被广泛接受,但单从心脏外科而言,想要实现全国普及仍有很多棘手的问题。首先某种程度上来说,机器人外科手术的难度比腔镜或者直视小切口等其他微创手术更上一个台阶。

“机器人与其他的微创技术根本性的不同就是,隔着机器进行操作会让你失去触觉,会有隔靴搔痒的感觉,轻重缓急完全要凭借着你的经验和你的功底,要做到你的大脑、你的手、机器人,三者融为一体。”

目前,机器人系统并没有普及到成为手术室的必备装备,这与国产化的问题息息相关。尤斌教授表示,未来随着国产机器人的出现,想要学习的医生会越来越多,安贞团队也将继续机器人心脏外科培训工作,帮助更多的医生度过学习曲线,造福更多的患者。

05

心动在线:搭建微创心脏外科交流平台

时至今日,微创技术已然成为了外科技术中的主流所在,它深刻地影响了外科学的根本理念,而心脏外科正在经历着微创化的快速转型。目前,微创心脏外科手术的开展水平已经成为大型公立医院心脏外科的国家考核标准之一。

尤斌教授认为他有责任也有义务做一件事:“我想传达出一种正确的微创心脏外科手术的理念,什么是可以做的什么是要谨慎的,要永远把病人的安全性、病人的近中远期效果放在第一位。”

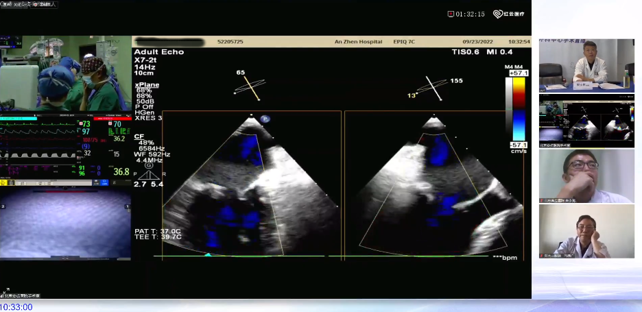
2022年9月23日,尤斌教授担任主席召开的“心动在线-微创心脏外科中心手术直播——机器人二尖瓣修复手术”活动圆满结束。

在会议上,尤斌教授演示了一例机器人二尖瓣修复+三尖瓣修复+房颤射频消融手术,手术过程流畅,手术效果良好,获得了线上观众的一致赞叹。尤斌教授特别强调,机器人在二尖瓣修复手术中有着明显的优势,大家应该积极了解学习。

此外,会议同步安排有《安贞医院微创心脏外科中心科室介绍及特色手术回顾》《微创心脏手术中的心肌保护》、《微创手术护理经验分享》、《达芬奇机器人心脏手术的麻醉管理》学术讲座以及《微创David一例》、《微创搭桥即刻拔管》病例分享,就微创心脏手术技术及面临的困难积极展开讨论,对于促进学科发展有着重要意义。

尤斌教授表示,在会前筹备阶段,讲课的选题以及病例分享经过了精心的挑选。其中分享的微创David手术(难度极高)以及微创搭桥手术后即刻拔管两个病例。“我希望通过这两例病例,让大家知道微创心脏外科能达到什么样的高度,能达到什么样的效果。”

06

关关难过关关过,前路漫漫亦灿灿

在纪录片《手术两百年》中有一段这样的画面,记载了外科手术的缘起:最早的外科医生用锯子斧子等大型工具进行手术,场面往往血腥暴力,病人即使侥幸活下来,术后也要面临感染的问题。也许从那时开始,“微创”就成为全人类共同的追求。

微创外科的问世绝非偶然,而是人文思想和时代进步的必然结果。

随着高精尖医学技术的快速发展,外科学在短短几十年内取得了巨大成就,显露出微创、人工智能、精准医疗、学科交叉、术后加速康复等趋势。

尤斌教授说道,“未来学科之间的界限会越来越模糊。身处洪流之中,心脏外科医生有着天然的学习优势,更要积极适应新事物,坚定方向,正确理解各个趋势的内在涵义,选择合适的患者及适宜的手术方式,实现最理想的治疗效果。”

专家简介

尤斌

首都医科大学附属北京安贞医院

主任医师,教授,博士生导师,北京安贞医院微创心脏外科中心主任;中国非公医疗机构协会心血管外科专业委员会副主任委员;中国医师学会心胸外科分会微创专业委员会副主任委员;中国医师协会机器人医师分会心血管外科专业委员会副主任委员;国家心血管外科专家委员会微创心血管外科分会常委;国家学位中心研究生论文评审专家;北京心血管防治研究会副会长;北京医学会心血管外科分会委员;北京医师协会心胸外科分会理事;北京医学会评审鉴定专家;《中国机器人外科杂志》心外科专业副主编。

从事心外科临床、研究及教学工作30余年。2003至2005年哈佛大学医学院附属麻省总医院、波士顿儿童医院访问学者,期间访问克利夫兰心脏中、多伦多总医院及多伦多儿童医院等,博采众家之长!截止2019年底,主刀各种心脏手术13000余例,是安贞医院技术最全面的专家之一。2009年始致力于将心脏外科手术微创化,2013年率先创建国内微创心外科专业病房,2021年安贞医院顺应心外科发展潮流,成立微创心外科中心,担任中心创始主任。10余年来,先后国内首创微创多瓣膜手术、主动脉根部替换术、多支血管搭桥术、全腔镜人工腱索植入二尖瓣修复术。现在常规开展各种微创心脏手术,其中瓣膜手术微创比例在90%以上,搭桥手术微创比例40%以上。发展并完善和规范了了各种杂交手术。是安贞医院机器人手术第一人,在机器人二尖瓣修复手术领域,手术量及难度均居国内领头羊位置,同时也是安贞医院瓣膜介入(TAVI)手术主要团队的领军人。在微创心外科领域,是国内学界公认的权威。

微创心脏外科中心科室介绍

心脏手术的微创化是心外科的主要发展方向!

北京安贞医院微创心外科中心由2013年成立的心脏外科微创病房发展而来,是一个以各种微创心脏手术为特色专长的心外科诊疗科室。

2009年始,学科创建者尤斌主任致力于心脏外科手术微创化,经过十几年的发展,现在的微创技术种类全面,包括:直视小切口、腔镜辅助或全腔镜、机器人、介入手术以及多学科联合的杂交技术等。微创手术涵盖病种广泛:各种瓣膜手术有80%为微创、冠脉搭桥手术有40%为微创、先心病手术有90%为微创以及大血管介入手术等;技术水平领先:国内于2012年第一例三维腔镜二尖瓣修复手术、2013年第一例多支桥微创搭桥术、2014年第一例微创多瓣膜置换术、2016年第一例微创主动脉根部置换术、2016年第一例机器人巴鲁氏综合征二尖瓣修复术、2021年第一例微创主动脉根部置换+二尖瓣置换+搭桥手术。

北京安贞医院微创心外科中心是国内第一个成立的专业微创心脏外科中心。


微创心脏外科中心团队介绍

中心主任:尤 斌  

中心成员:李 平 迟立群 徐 屹 刘 硕

     许李力 李 光 曲 政 张竞为

      平 梁 林 孙广龙 张富恩

     仲昭澎 柳佳吉 

微创心脏外科知名专家团队出诊时间:

首席专家:尤 斌 每周二上午

电话预约:010-64456413

团队出诊:每周一至周五上午

阅读数: 7491