嘉境 · 瓣旅|河南大学淮河医院心血管内科团队应用TaurusElite完成重度主动脉瓣狭窄TAVR手术1例

2022年10月13日,河南大学淮河医院心内科在程冠昌教授、何瑞利主任的指导下,张韩主任联合心脏外科、麻醉科、导管室、手术室、超声医学科、输血科、影像科、重症监护医学科(CCU、ICU)、心脏康复、护理等TAVR多学科团队应用TaurusElite为67岁女性完成重度主动脉瓣狭窄TAVR手术1例,开启了本院结构性心脏病治疗的新篇章,为老年重症瓣膜病患者带来福音。

67岁的张阿姨患重度主动脉瓣狭窄伴轻度关闭不全,近一年来一活动就胸痛、胸闷,偶尔还有晕倒的情况,这些症状反复发作,情况越来越严重,近半月来都没有办法平躺着休息,严重影响生活质量,慕名来河南大学淮河医院张韩主任的门诊,经细致问诊和细致的查体,确诊重度主动脉瓣狭窄伴轻度关闭不全,合并心力衰竭,冠脉疑似重度狭窄,传统的开胸手术风险极大,心血管内科联合多学科专家团队会诊讨论后,最终决定为其行经导管主动脉瓣置换术(TAVR)。为充分保障术中的安全,张韩主任及心脏瓣膜团队成员对患者进行了详细的术前评估,术中多学科密切协作:麻醉科张义轩主任,邱平洋主任全程为患者保驾护航,心脏外科车建波主任、王一主任娴熟完成股动脉游离,张韩主任、钟晓鸣主任、李彦明主任完成了动脉穿刺、置入导丝导管、跨瓣、起搏、球囊扩张、瓣膜植入释放等系列手术操作,经过2个小时成功为该患者实施TAVR手术。患者术后经超声医学科张晓红主任团队检查,即刻超声显示无明显瓣周漏,瓣膜形态良好,血流动力学得到明显改善。术后经过重症医学科、心内科的细心治疗,患者已经康复出院,此次手术的成功,将会明显提高患者的生活质量。

患者基本信息

患者女性67岁

主诉:活动后胸痛、胸闷、甚至晕倒,近半月无法平躺休息

经彩色多普勒超声:EF:39%,主动脉瓣增厚、粘连,回声增强,开放受限,闭合欠佳,主动脉瓣口有效面积约0.5cm²,主动脉瓣上湍流,Vmax470cm/s.

超声诊断:重度主动脉瓣狭窄伴轻度关闭不全;二尖瓣中度关闭不全

术前CT评估

主动脉根部测量

三叶式主动脉瓣,中重度钙化并增厚,水平夹角45°;LVOT敞口

冠脉测量

冠脉开口高度可,切线角度测量,未见冗长瓣叶

主动脉弓测量

主动脉弓部宽度、角度可

外周入路

腹主动脉及左右髂总动脉有附壁钙化分布,左右髂外动脉及左右股动脉血管内径稍细,余血管内径可

术前讨论

1.三叶式主动脉瓣,中重度钙化,人工瓣膜锚定力尚可,左室流出道呈敞口型,综合多平面分析,预估瓣膜释放后有向下位移风险及瓣周漏可能 

2.左右冠开口高度可,综合瓦氏窦及窦管交界内径综合判断,预估左右侧冠脉阻挡风险相对较低 

3.左室心腔内径偏大,射血分数39%,结合超声及患者情况,术中密切观察血流动力学变化,可预装瓣膜并湿备体外循环 

4.非横位心,主动脉弓角度及弓距可,预估术中输送器过弓、跨瓣顺利 

5.外周入路尚可,术中注意规范轻柔操作,避免入路血管损伤及相关并发症

手术策略

1.推荐右侧股动脉为主入路,左侧为辅助入路。

2.推荐18m球囊预扩,预装AV23瓣膜,建议瓣环下零位左右定位释放。

3.建议充分利用瓣膜系统部分及完全可回收功能,确认瓣膜基本稳定及瓣周漏效果后再完全释放。

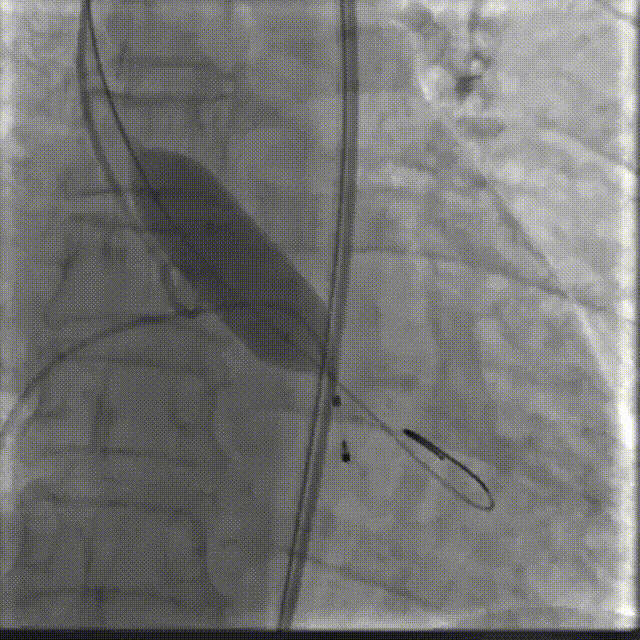
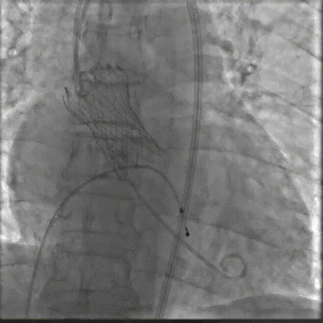
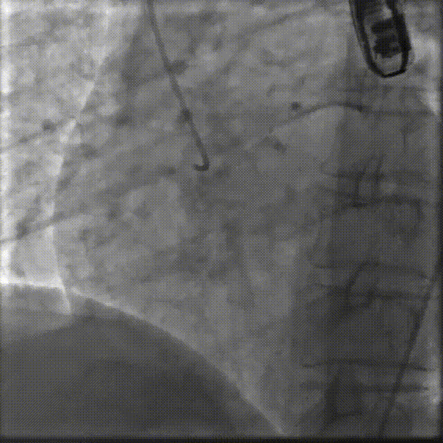
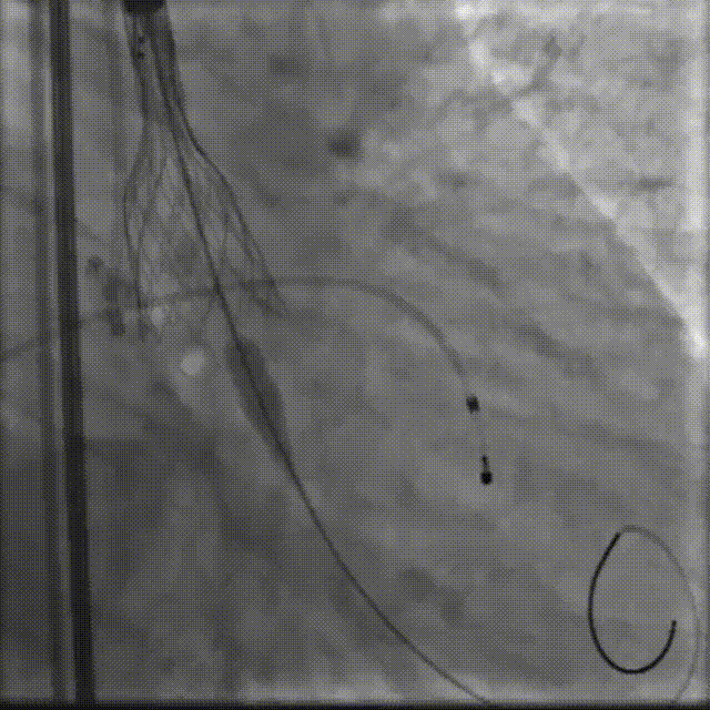
手术影像

主动脉根部造影

18mm球囊预扩

球扩后瓣膜开始定位

工作位造影:位置理想

最终造影:位置理想,形态良好,无漏

撤出大鞘

超声对比

心功能已经正常,左室大小接近正常,术前二尖瓣中度关闭不全同样得到改善。

专家简介


程冠昌

河南大学淮河医院

二级教授,研究生导师,享受河南省政府特殊津贴,现任中国医师协会心血管专业委员会委员,河南省医学会心血管病专业委员会副主任委员、河南省介入心脏病学组组长,河南省介入心脏病质控委员会副主任委员,河南省胸痛中心质控委员会副主任,河南省卫生科技创新型人才工程卫生科技领军人物。 


何瑞利

河南大学淮河医院

主任医师  医学硕士  硕士生导师,心内科主任。

研究方向:心脏介入治疗、心脏起搏、射频消融、先天性房间隔缺损、室间隔缺损、动脉导管未闭封堵术。现任河南省医学会心血管分会委员会常委、河南省医学会心血管分会基层委员会副组长、开封市医学会心电生理专业委员会主任委员、开封市医学会心血管专业委员副主任委员。

李彦明

河南大学淮河医院

教授,医学博士,硕士研究生导师,河南省学术技术带头人,河南大学淮河医院心血管内科一病区主任,河南省医学会心血管病学委员会常务委员,河南省医学会心脏起搏与电生理专业委员会常务委员,开封市医学会心血管内科专业委员会副主任委员,开封市医学会心脏起搏与电生理专业委员会副主任委员。擅长冠心病、高血压、心力衰竭、心律失常的诊断与治疗,擅长起搏器植入、冠脉支架植入、先天性心脏病介入封堵、心律失常射频消融及房颤冷冻消融等心血管介入治疗技术。

张韩

河南大学淮河医院

硕士研究生导师,医学硕士,副主任医师 ;河南省心脏起搏与电生理学会委员,开封市起搏与电生理委员会委员,河南省卒中学会房颤分会副主任委员;2007年毕业于浙江大学医学院,自毕业后一直从事心血管内科临床、教学和科研工作,曾在北京安贞医院进修学习心律失常射频消融术、浙江大学第二医院进修学习经皮主动脉瓣置换术和经皮二尖瓣钳夹术;擅长高血压、冠心病、心肌病、心脏瓣膜病、心衰等心血管疾病的诊治,对心血管疑难危重病例的救治,心血管疾病的介入诊疗有丰富的经验,尤其擅长心律失常射频消融术及起搏器植入术和结构性心脏病及肺血管疾病的介入治疗。

钟晓鸣

河南大学淮河医院

硕士研究生,河南大学淮河医院心血管内科副主任医师,中部复杂冠脉病变介入治疗青年委员,河南省医学会心血管病分会委员,河南省医学会女介入医师分会委员,河南省中西医结合学会心血管病分会委员,河南省医师协会心血管内科医师分会委员,河南省医院协会心肺复苏分会委员,开封市医学会心血管病分会委员,开封市医学会起搏电生理协会秘书,开封市医学会急诊分会委员。

阅读数: 1739