迎难而上,险中求胜——华南理工大学附属第六医院成功为一位冠脉高风险Type0型二叶式主动脉瓣重度狭窄患者施行TAVR


 经典病例

近日,华南理工大学附属第六医院(佛山市南海区人民医院)心血管内科张彤、何伟民、潘伟、邹军教授领导组成的心脏瓣膜团队顺利使用VitaFlow LibertyTM完成经导管主动脉瓣置换术(TAVR),成功救治了一位冠脉高风险Type0型二叶式主动脉瓣重度狭窄患者。


此案例中,患者主动脉瓣为Type0型二叶瓣,患有主动脉瓣重度狭窄伴轻度反流,且患者冠脉开口较低,术中存在冠脉堵塞风险,手术具有一定难度和挑战性。华南理工大学附属第六医院心血管内科团队经过术前缜密的分析和讨论,制定了完备的手术策略,最终顺利完成手术,术后患者血流动力学得到明显改善,延长了患者的生存期。

患者信息

患者女,61岁



主诉:活动后气促3年,伴胸闷、心悸等不适。



既往史:糖尿病病史10年,高血压病史6年,SBP最高达210mmHg。



诊断:

  • 主动脉瓣重度狭窄伴轻度反流

  • 冠心病

术前评估

超声检查

  • 左心房稍大;

  • 升主动脉增宽;

  • 室间隔与左室壁稍厚;

  • 主动脉瓣重度狭窄并轻度反流;

  • 二尖瓣轻微反流;

  • 左室充盈功能减弱;

  • 左心室舒张末期内径:42mm;

  • 左心室收缩末期内径:23mm;

  • 主动脉瓣口流苏峰值:412cm/s;

  • 主动脉瓣跨瓣压差:60mmHg。

CT测量

瓣环周长:67.2mm

LVOT周长:67.5mm

瓣环上4mm:66.3mm

瓣环上6mm:65.4mm

左冠开口高度:13.2mm

右冠开口高度:11.7mm

瓣环角度:59°

升主动脉周长:109.9mm

主动脉瓣钙化情况

入路情况

手术过程

术前分析及策略制定

术前张彤教授组织讨论,分析手术风险并总结此病例特点:

  • 重度主动脉瓣狭窄伴轻度关闭不全;

  • 瓣环周长为67.2mm,均径20.9mm,LVOT 周长为67.5 mm,均径20.2 mm;

  • 瓣上4mm/6mm周长分别为66.3mm和65.4mm;

  • 瓣环及流出道无钙化,瓣膜存在移位风险;

  • 冠脉开口低,存在冠脉堵塞风险;

  • 两侧股动脉入路无迂曲、无钙化,分叉高度均可。左侧血管平均最小内径为6.1mm,右侧血管平均最小内径为6.1mm。

手术策略:

  • 以右侧股动脉为主入路;

  • 选用18mm球囊进行预扩;

  • 植入VitaFlow®TAV24瓣膜。

术中操作

主动脉根部造影

18mm球囊预扩

支架预埋

瓣膜首次定位释放

瓣膜释放至2/3

回收瓣膜再释放

多体位下观察植入深度

释放完成

术后造影

入路造影

术后评估

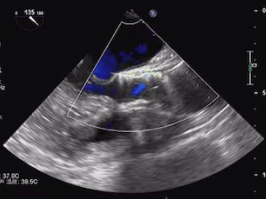
术后超声显示:释放后瓣膜位置形态良好,瓣叶活动可,患者的跨瓣压差由术前的60mm/Hg改善至术后的6mm/Hg,术后患者血流动力学得到明显改善,获益明显。

术后讨论

随着我国社会老龄化程度加深,患有严重退行性主动脉瓣狭窄的高龄人群扩大,主动脉瓣狭窄已成为影响人类寿命和社会健康的重要疾病之一。据统计,该疾病发病率在75岁以上人群中达2.5%,在85岁以上人群中可达8%,是仅次于高血压和冠心病的第三常见的心血管疾病。一旦患者出现症状,若不及时进行治疗,平均生存期仅为2至3年,可见该疾病已成为严重威胁老年人健康和生命的老年病。


经导管主动脉瓣置换术(TAVR)是指通过输送系统将人工辦膜送至主动脉瓣环的位置并释放、固定于主动脉瓣环,来代替患者发生病变的主动脉瓣的手术。相比传统的外科手术,经股动脉介入TAVR,无需体外循环,无需进行开胸手术,几乎没有明显的失血情况,麻醉时间更短,创伤小、恢复快,手术优势明显,为有外科手术禁忌症或者手术风险高的患者带来了治愈希望。


此例TAVR就医者主动脉瓣为二叶瓣,患有重度主动脉瓣狭窄,且存在冠脉风险,患者主动脉瓣环无钙化,人工瓣膜存在移位可能,这对术者的操作技术及主动脉瓣置换系统均提出了挑战。华南理工大学附属第六医院(佛山市南海区人民医院)心血管内科团队不惧艰险,迎难而上,成功开展TAVR救治了主动脉瓣重度狭窄患者,展现了术者精湛的技术和救死扶伤的决心,为AS患者带来了福音。 

专家信息





张彤

华南理工大学附属第六医院

心血管内科副主任医师

副主任医师,医学博士 ;心血管内科二区行政主任,广东省心脏起搏与电生理学会委员,广东省医学会胸痛学组委员,黑龙江省心脏起搏与电生理学会委员 。在日本丰桥心脏中心学习冠心病及电生理介入治疗。擅长冠心病介入手术、心律失常射频消融术、永久起搏器植入术、先天性心脏病的介入治疗。作为独立术者开展如下介入诊疗:IVUS,FFR,血管内镜操作,左主干以及冠心病CTO病变的介入治疗,钙化病变旋磨治疗;His起搏,左束支起搏,ICD、CRT植入;室上速、房性以及室性心律失常的射频消融,肥厚型梗阻性心肌病的化学消融,Marshall静脉的化学消融术,左心耳封堵术、先心病及外周血管病变的治疗、主动脉夹层介入治疗以及TAVR手术。主持完成黑龙江省教育厅、卫计委、中医药管理局课题各一项。以第一作者发表SCI论文3篇,核心期刊论文5篇。获黑龙江省卫计委及哈尔滨医科大学医疗新技术奖2项。



潘伟

华南理工大学附属第六医院

心血管内科主任医师

主任医师,医学博士;博士后合作导师,硕士生导师;佛山市杰出青年医学人才,南海区名医;《血栓与止血学》编委会常务编委,《中国当代医药》审稿专家,广东省医学会心血管病学分会动脉粥样硬化与冠心病学组成员,中国胸痛中心培训讲师,佛山市胸痛中心质量控制工作专家组秘书;发表SCI论文8篇。参编国际指南一部。参编著作11部,其中副主编著作3部。参与国家自然基金3项。主持省市级课题2项。参与省市级课题6项。




何伟民

华南理工大学附属第六医院

心血管内科副主任医师

内科三支部(心内科支部)党委副书记,内科专业基地教学主任,广东省医师协会心脏重症医师分会委员,大湾区心脏协会结构性心脏病分会委员,广东省中西医结合学会冠心病专业委员会委员,广东省医学教育协会心脏内科学专业委员会委员,广东省老龄产业协会心血管康复专业委员会常委,广东省精准医学应用学会心脏康复分会委员,南海区心血管内科医疗质量控制中心秘书。获2018年南海区“最美南海医家人”称号。擅长冠心病、各种心律失常、心力衰竭、瓣膜疾病、高血压等多种心血管疾病的诊治。熟练掌握冠心病支架植入、血管内超声、钙化病变旋磨治疗、左心耳封堵、经皮主动脉瓣置换(TAVR)等介入治疗操作。主持和参与多个省市级科研立项,获南海区科技进步二等奖,在国内外杂志发表论文多篇。



邹军

华南理工大学附属第六医院

心内科主任医师,医学博士

华南理工大学博士后合作导师
华南理工大学、南方医科大学、广东医科大学硕士研究生导师。佛山市南海区高层次人才(四级),佛山市南海区医学学科带头人,广东省中西医结合学会心血管介入专业委员会委员,广东省康复医学会心血管病分会理事,广东省药学会第一届肺血管病专家委员会委员,佛山市中西医结合学会心血管专业委员会常务委员。
临床方向:冠心病的介入诊疗、起搏器植入;科研方向:植物化学物与动脉粥样硬化、冠心病的基础与临床。主持省部级课题2项、市厅级课题5项。在核心期刊发表论著30余篇,其中SCI论文15篇,取得专利1项。

阅读数: 976