匠心修行,巧换心门——成都医学院第一附属医院成功为两位主动脉瓣重度狭窄患者施行TAVR


 经典病例

近日,成都医学院第一附属医院王沛坚教授团队再次独立完成经导管主动脉瓣置换术(TAVR),成功救治了两位主动脉瓣重度狭窄患者。


两起病例中,就医者均为主动脉瓣重度狭窄患者,手术均具一定风险性,给术者带来了挑战。成都医学院第一附属医院心血管内科在多学科共同协助配合下,经过术前仔细分析,讨论并制定了手术策略,术中通力合作,最终顺利完成手术,术后患者关键指标均获明显改善,术后无并发症发生,手术效果好,延长了患者生存期,提高了患者的生活质量。手术的完美开展表现了王沛坚教授团队对于TAVR技术的运用娴熟,造福于辖区广大心脏瓣膜疾病患者。

病例1:Type0型二叶式重度主狭患者

患者信息

患者男,57岁



主诉:劳力性呼吸困难12年,加重1个月。



既往史:否认糖尿病、高血压等慢性病史,否认乙肝、结核等传染病史。



入院查体:心率为86次/分,血压为140/101mmHg。心律齐,心音遥远,主动脉瓣听诊区闻及收缩期喷射样余音。



诊断:

  1. 主动脉瓣重度狭窄伴轻度关闭不全;

  2. 二、三尖瓣轻度反流;

  3. 慢性心力衰竭,心功能Ⅲ级。

术前评估

超声检查

  • 左心扩大;

  • 升主动脉增宽;

  • 左室壁增厚;

  • 左室壁节段性运动异常;

  • 主动脉瓣重度狭窄伴轻度关闭不全;

  • 左室收缩及舒张功能减低;

  • 主动脉瓣瓣膜增厚,可见钙化结节;

  • 二、三尖瓣轻度反流;

  • 主动脉瓣跨瓣压差:89mm/Hg;

  • 主动脉瓣瓣口流速:5.56m/s;

  • 左室射血分数:49%;

  • 左室流出道峰值流速:0.64m/s。

CT测量

主动脉根部CT测量

瓣环周长:90.3mm

LVOT周长:97.1mm

瓣环上4mm:82.7mm

瓣环上6mm:85.6mm

左冠开口高度:21.4mm

右冠开口高度:16.3mm

左窦瓣叶长度:20.8mm

右窦瓣叶长度:19.1mm

STJ周长:129.8mm

升主动脉周长:157.5mm

法氏窦

周长:133.9mm;左冠状窦直径:45.4mm;无冠状窦直径:31.8mm

主动脉瓣钙化积分:787mm2

入路情况

手术过程

术前分析及策略制定

术前王沛坚教授联合医务部、放射科、肝胆血管外科、胸心外科、肾内科、感染科、呼吸科、临床药学科、麻醉科等多个科室进行会诊讨论,分析并总结此病例特点:

  • 该患者主动脉瓣为纵裂式二叶瓣

  • 重度主动脉瓣狭窄伴轻度关闭不全

  • 瓣叶重度钙化

  • 主动脉窦、升主动脉扩张;

  • 瓣环周长为 90.3 mm,平均径23mm;LVOT周长为97.1 mm,平均径29.9mm;

  • 入路两侧血管迂曲可,双侧血管直径可。

手术风险评估:

  • 左冠开口高度可、瓣叶长度可、窦宽相对瓣膜可;右冠开口高度可、瓣叶长度可、窦宽相对瓣膜可 。综合评估冠脉风险低;

  • 瓣环及流出道解剖结构较大,主动脉窦、升主动脉扩张,存在瓣膜移位可能,建议瓣中瓣准备;

  • 主动脉弓角度较小且升主动脉扩张,直径达到50mm,术中操作需谨慎,有升主动脉破裂及夹层风险,建议备圈套器。

  • 心室大,术中需注意循环风险。

手术策略:

  • 全麻下行TF-TAVR,选用22mm球囊进行预扩;

  • 以右侧为主入路,使用22F大鞘或内联鞘;

  • 使用PS-35-275XS预塑形导丝,植入VitaFlow®TAV27瓣膜。

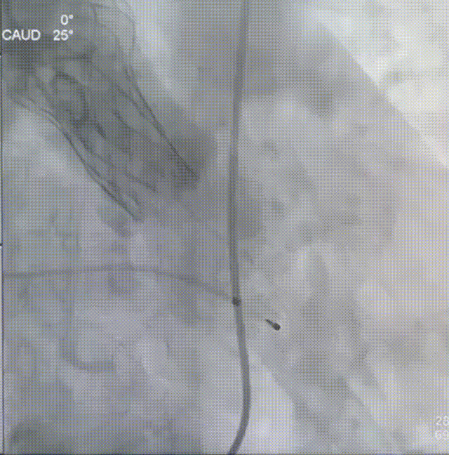
术中操作

主动脉根部造影

22mm球囊预扩

瓣膜定位

瓣膜释放

瓣膜锚定

瓣膜完全释放

24mm球囊后扩

完成植入

术后评估

术后即刻超声显示:释放后瓣膜工作正常,DSA下未见瓣周漏,植入效果良好。患者的跨瓣压差由术前的89mm/Hg改善至术后的2mm/Hg,患者获益明显。

病例2:重度主狭患者

患者信息

患者女,76岁



主诉:胸闷痛15年,伴夜间阵发性呼吸困难2周。



既往史:曾行右侧胫骨平台骨折切开复位内固定术及右胫骨平台骨折术后骨性愈合内固定取出术;否认肝炎、结核或其他传染病史。



入院查体:心率为92次/分,血压为124/53mmHg。患者心音有力,心律齐,主动脉瓣区可闻及吹风样杂音,余瓣膜区未闻及明显杂音。



诊断:

  1. 主动脉瓣重度狭窄;

  2. 慢性支气管炎样变伴感染;

  3. 双侧胸腔少量积液;

  4. 主动脉壁钙化;

术前评估

超声检查

  • 左心房增大;

  • 二尖瓣轻度狭窄;

  • 主动脉瓣重度狭窄;

  • 二尖瓣、三尖瓣、主动脉瓣、肺动脉瓣轻度反流;

  • 中度肺动脉高压;

  • 左心室收缩功能轻度减低;

  • 双侧颈总动脉及颈内动脉阻力指数增高;

  • 双侧颈总动脉粥样硬化斑块形成;

  • 主动脉瓣跨瓣压差:83mm/Hg;

  • 主动脉瓣瓣口流速峰值:5.07m/s;

  • 左室射血分数:49%。

CT测量

主动脉根部CT测量

瓣环周长:73.1mm

LVOT周长:79.3mm

瓣环上4mm:71.2mm

瓣环上6mm:70.4mm

左冠开口高度:7.1mm

右冠开口高度:13.7mm

左窦瓣叶长度:15.2mm

右窦瓣叶长度:16.6mm

STJ周长:88.6mm

升主动脉周长:112.3mm

法氏窦

右冠状窦直径:28.8mm;左冠状窦直径:30.8mm;无冠状窦直径:32.5mm

入路情况

双侧入路CT测量

入路双侧血管迂曲

手术过程

术前分析及策略制定

术前王沛坚教授组织多科室进行讨论,分析并总结此病例特点:

  • 该患者主动脉瓣为三叶瓣;

  • 主动脉瓣重度狭窄

  • 瓣叶增厚,轻度钙化;

  • 瓣环周长为 73.1mm,平均径23.2mm;LVOT周长为79.3mm,平均径24.2mm;

  • 入路两侧血管迂曲,双侧血管直径可。

手术风险评估:

  • 左冠开口高度低、瓣叶长,建议球囊预扩评估冠脉风险;右冠开口高度可、瓣叶长度可、窦宽相对瓣膜可 ;综合评估冠脉风险低;

  • 瓣叶及窦底有钙化,存在术后瓣周漏风险; 

  • 主动脉弓严重钙化,有卒中风险,建议临床评估是否使用栓塞保护装置。

手术策略:

  • 以右侧为主入路,备22大鞘或内联鞘;

  • 使用20mm球囊预扩;

  • 使用PS-35-275XS预塑形导丝,植入VitaFlow® TAV24瓣膜。

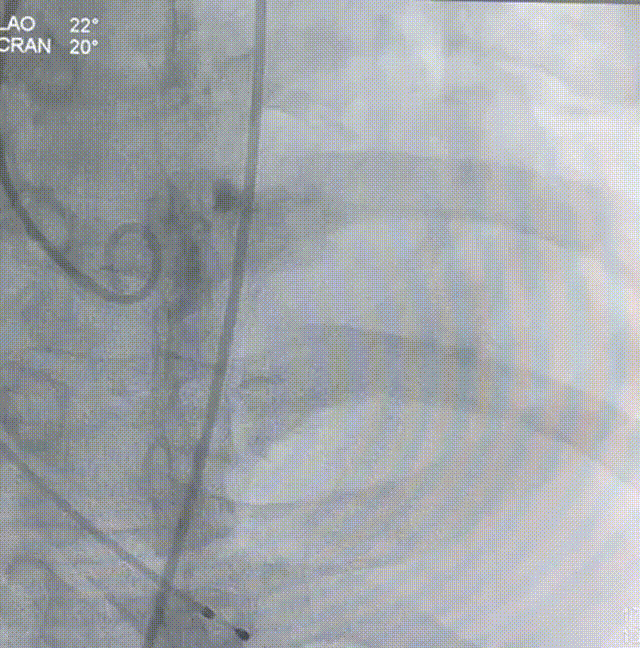
术中操作

22mm球囊预扩

瓣膜定位

瓣膜释放至75%

瓣膜脱钩

瓣膜完全释放

22mm球囊后扩

完成植入

术后评估

术后即刻超声显示:释放后瓣膜工作正常,患者的跨瓣压差由术前的83mm/Hg改善至术后的4mm/Hg,患者获益明显。

术后讨论

  案例1中,患者主动脉瓣为Type0型二叶瓣,患有主动脉瓣重度狭窄伴轻度反流,其瓣叶重度钙化(钙化积分近800mm2),手术风险较高,且存在瓣膜移位可能及升主动脉破裂或夹层的风险。案例2中,患者患有主动脉瓣重度狭窄,其入路两侧血管迂曲,左冠开口低存在冠脉堵塞风险,主动脉弓钙化严重,手术难度大。在多学科协作下,成都医学院第一附属医院心血管内科团队不畏艰险,凭借精湛的技术,顺利为两位主动脉瓣膜病患者完成经导管主动脉瓣置换术(TAVR),术后即刻造影及超声均提示人工瓣膜植入位置及形态良好,无瓣周漏,无传导阻滞,手术取得圆满成功。患者苏醒后顺利转入病房,目前两位患者均已顺利出院。上述成功案例说明成都医学院第一附属医院心血管内科团队在心脏瓣膜疾病诊治领域不断积累经验,开拓进步,为辖区心脏瓣膜疾病患者带来了治愈的希望。

  经导管主动脉瓣置换术(TAVR)是指通过输送系统将人工辦膜送至主动脉瓣环的位置并释放、固定于主动脉瓣环,来代替患者发生病变的主动脉瓣的手术。相比传统的外科手术,其无需体外循环,无需进行开胸手术,几乎没有明显的失血情况,麻醉时间更短,创伤小、恢复快,可以给患者带来更好的预后,减少各种并发症的发生,减轻患者痛苦,全面改善患者的生活质量,延长患者生存期,是外科高危患者治疗主动脉瓣狭窄的优选。

专家信息


周鹏

成都医学院第一附属医院

成都医学院第一附属医院业务副院长,主任医师,教授,硕士研究生导师,全国卫生计生系统先进个人,四川省学术与技术带头人,四川省卫健委学术与技术带头人,四川省卫生健康领军人才,四川省卫生计生委有突出贡献中青年专家,首届“四川好医生”,四川省首届新时代健康卫士”。中国医师协会心血管内科医师分会委员,四川省老年医学会动脉硬化专委会主任委员,四川省老年医学会冠心病专委会副主任委员,四川省国际医学交流促进会高血压专业委员会副主任委员,四川省医师协会心血管分会常务委员。从事心血管内科临床、科研、教学工作20余年,参与起搏器植入、冠脉造形及血管内超声、冠脉旋磨、冠脉支架植入、射频消融、先心病导管治疗、肥厚性心肌病化学消融、外周血管造影等各类心脏介入诊疗手术4000余例次,对顽固性高血压、心衰、心律失常、冠心病诊治方面有丰富的临床经验。荣获“四川省高等学校优秀共产党员”、“四川省科技进步奖二等奖”1项,“四川省医学科技奖二等奖”2项。主持及参加国家自然科学基金、四川省科技厅科研项目、四川省教育厅创新团队项目等国家级、省厅级课题30余项,在国内外发表学术论文50余篇,出版著作4部。




王沛坚

成都医学院第一附属医院

成都医学院临床医学院、第一附属医院临床医学系主任,心血管内科主任及介入中心负责人,四川省老年医学临床医学研究中心副主任,医学博士,博士后,主任医师,教授,硕士研究生导师。第五届“白求恩式好医生”,四川省杰出青年基金获得者。四川省学术与技术带头人(后备人选),四川省卫健委学术与技术带头人(后备人选),西部之光访问学者,四川省卫计委首届新时代健康卫士。擅长复杂冠脉病变介入治疗,高血压的微创诊疗(RDN/AVS/SAAE等),左心耳封堵术,TAVR等。中国医师协会高血压专业委员会高血压相关代谢工作组委员、中国优生优育协会母婴心血管结构与代谢专业委员会常委、四川省老年医学会动脉硬化专委会副主任委员、北京健康促进会周围血管病与难治性高血压专家委员会委员、四川省老年医学会心血管专委会常委、四川省康复医学会心血管专委会常委。主持国家自然科学基金2项,主持四川省杰出青年学术与技术带头人资助计划,四川省科技厅中央引导地方财政专项等各类科研项目30余项,参与国内多中心临床研究10余项,主持注册临床研究2项,发表SCI论文50余篇,累计影响因子超过200,被引用2000余次,H指数18;获四川省科技进步奖二等奖1项,军队科技进步奖二等奖1项,四川省医学科技奖二等奖2项,成都医学院科学技术进步奖三等奖1项,国家级专利5项,参编专著2部。

阅读数: 862