嘉境 · 瓣旅|清华大学第一附属医院苗立夫主任团队一天内成功完成两例低EF值高难度TAVR

2022年9月16日,清华大学第一附属医院苗立夫主任团队,在心脏中心、麻醉科、超声科、放射科、护理部等多学科团队的倾力协助和技术支持下,成功为两名心功能极差的患者实施全麻、ECMO备台下,高难度TAVR手术。瓣膜植入后均工作稳定,未出现并发症,术后患者症状明显改善,充分体现了术者团队精湛的技艺。

病例一 患者基本信息

女性,73岁。间断胸闷2年余,加重半月,卧位出现喘憋,伴咳嗽,活动耐力下降至2m,超声心动图提示:主动脉瓣峰值流速3.9m/s,峰值压差62mmHg,瓣口面积0.7cm²,EF值34%。主动脉瓣重度狭窄并中量反流,二尖瓣、三尖瓣中量反流;全心增大,升主动脉及主肺动脉宽。

主动脉根部评估

根部概览

钙化概览

功能性二叶瓣,左无钙化融合,心室腔明显扩大。

多平面分析

敞口状流出道,瓣上限制较重,瓣膜释放后存在一定下滑风险。

冠脉分析

左冠开口较低,双侧瓣叶冗长,预估双侧冠脉均存在一定遮挡风险。

外周分析

外周概览(钙化)

外周概览

入路血管走形良好,无明显附壁钙化,弓部条件良好,预估过弓、跨瓣顺利。

手术难点及策略分析

  • 功能性二叶瓣,左无钙化融合,瓣叶中重度钙化,瓣膜锚定力可,瓣上限制较重,流出道敞口状,预估瓣膜释放后存在一定下滑风险;

  • 冠脉开口高度偏低,双侧瓣叶冗长,预估双侧冠脉均存在一定遮挡风险,必要时冠脉保护;

  • EF值34%,心腔增大,心功能较差,术中潜在循环崩溃及心室损伤风险;

  • 预计采用20mm球囊预扩,根据球扩结果决定是否行冠脉保护,植入TaurusElite AV23瓣膜,备26号瓣膜,工作位充分评估冠脉风险,确认无误再行释放,ECMO备台,必要时辅助。

手术过程

1.根据术前测量分析,采取右侧股动脉作为主入路,左股为辅入路,冠脉造影显示双侧冠脉灌注良好。

左冠造影

右冠造影

2.置入猪尾进行根部造影,造影可见主动脉根部大量钙化,瓣叶活动度低,冠脉灌注良好,中量反流。

根部造影

3.20mm球囊预扩,轻微腰征,冠脉显影良好,无造影剂渗漏

20mm球囊预扩

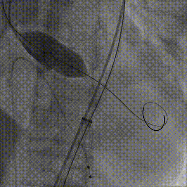
4.TaurusElite AV23号瓣膜定位及释放。瓣膜初始定位0位,开花后120次起搏,释放到工作位后造影显示锚定充足,位置良好,冠脉未见遮挡,继续缓慢旋转手柄,轻推输送器,瓣膜逐一脱钩,顺利释放。

瓣膜初始定位

瓣膜释放过程

工作位造影

瓣膜脱钩

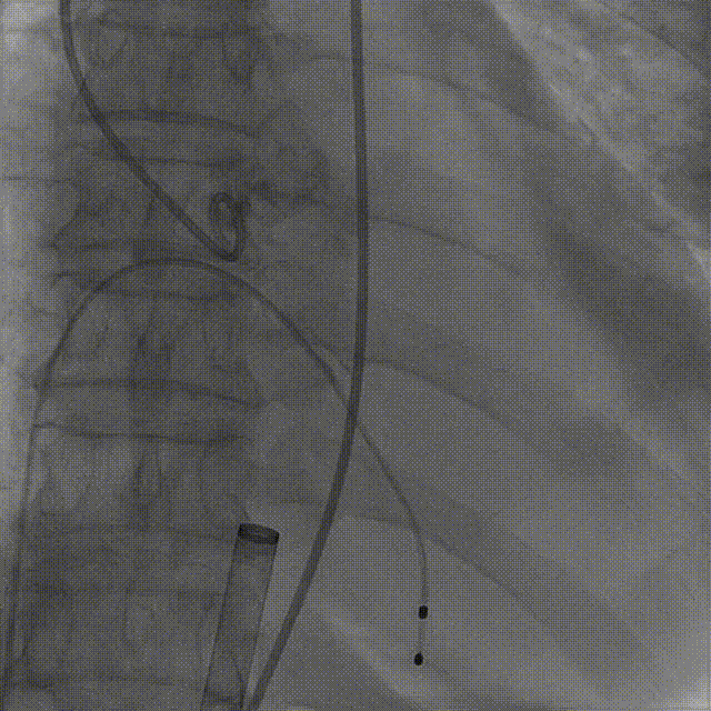
5.释放后多体位观察造影,提示瓣膜位置良好,展开良好,双侧冠脉未见遮挡,微量瓣周漏。

最终造影1

最终造影2

6. 超声提示瓣膜植入后活动良好,微量瓣周漏,压差7mmHg,流速1.8m/s,舒张压回升到70mmHg以上,造影检查入路血管,无造影剂外渗,手术顺利结束。

入路造影检查

病例二 患者基本信息

男性,84岁。间断胸闷20余年,加重7月,再发10天,夜间不能平卧,双下肢中重度凹陷性水肿。超声心动图提示:主动脉瓣峰值流速5.3m/s,峰值压差114mmHg,瓣口面积0.5cm²,EF值34%。主动脉瓣重度狭窄并少量反流,二尖瓣中量反流,三尖瓣大量反流;全心增大,升主动脉宽,肺动脉高压。

主动脉根部评估

根部概览

钙化概览

三叶瓣,窦部空间可,心室明显扩大。

多平面分析

敞口状流出道,瓣上限制较重,瓣膜释放后存在一定下滑风险。

冠脉分析

冠脉开口高度可,未见冗长瓣叶,预估冠脉遮挡风险较低。

外周分析

外周概览(钙化)

外周概览

入路血管走形良好,无明显附壁钙化,弓部条件良好,预估过弓、跨瓣顺利。

手术策略及难点分析

  • 三叶瓣,瓣叶中重度钙化,瓣膜锚定力可,瓣上限制较重,预估瓣膜释放后存在一定下滑风险;

  • EF值34%,心腔增大,心功能较差,术中潜在循环崩溃及心室损伤风险;

  • 预计采用22mm球囊预扩,植入TaurusElite AV26瓣膜,工作位充分评估瓣膜位置、形态、冠脉灌注及瓣周漏情况,确认无误再行释放,ECMO备台。

手术过程

1.根据术前测量分析,采取右侧股动脉作为主入路,左股为辅入路,置入猪尾进行根部造影,造影可见主动脉根部瓣叶活动度低,冠脉灌注良好,少-中量反流。

根部造影

2.22mm球囊预扩,无明显腰征,冠脉显影良好,无造影剂渗漏。

22mm球囊预扩

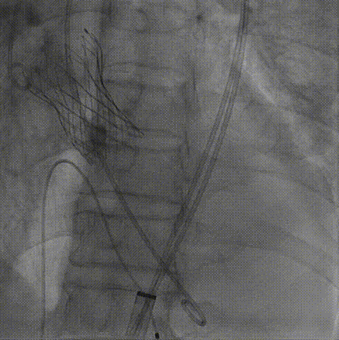
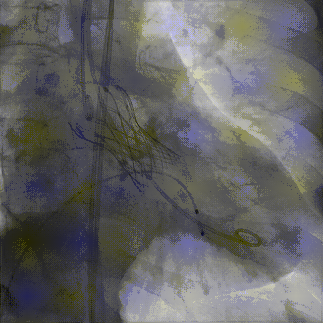
3.TaurusElite AV26号瓣膜定位及释放。瓣膜初始定位0位,开花后120次起搏,释放到工作位后造影显示瓣膜位置较深,形态敞口状,预估释放后存在进一步下滑风险,决定回收调整。

第一次瓣膜初始定位

第一次工作位造影

4.瓣膜第一次释放下滑明显,第二次初始定位瓣上2mm,缓慢释放开花,提拉输送器,快速释放到工作位,造影显示位置良好,少量瓣周漏,决定脱钩

第二次瓣膜初始定位及释放

第二次瓣膜脱钩

5.瓣膜释放后造影显示位置良好,冠脉未见遮挡,少量瓣周漏,超声提示瓣膜植入后活动良好,少量瓣周漏,导管测压提示压差2mmHg,造影检查入路血管,无造影剂外渗,手术顺利结束。

case2最终造影

入路造影检查

专家简介

苗立夫

清华大学第一附属医院

医学博士,主任医师,清华大学第一附属医院心内科主任兼导管室主任。毕业于中国协和医科大学,2005年获郑裕彤基金资助在香港大学医学院Queen Mary医院研修,并取得Medical Council of Hong Kong执业资格。

擅长危重冠心病救治、复杂冠脉病变治疗。作为术者完成冠脉介入治疗1万余例,擅长各类分叉病变术式、冠脉内旋磨、桥血管病变治疗及慢性闭塞病变技术,处理复杂多支、分叉病变、迂曲病变、钙化病变、桥血管病变、支架内闭塞病变及重度血栓负荷病变的成功率、近远期疗效均居国内前列。是国内开展准分子激光冠脉内斑块消蚀术治疗桥血管病变及支架内闭塞病变、ECMO支持下复杂高危冠脉病变介入治疗的先行者和 “介入无植入”理念的倡导者之一。在国内外率先开展婴幼儿冠状动脉瘤合并急性心肌梗死的冠脉内溶栓和取栓治疗,先后指导和协助国内30余家三甲医院开展复杂冠脉介入治疗。

目前为中国医师协会心血管内科医师分会心血管疾病临床研究工作组委员、中华医学会心血管病学分会肺血管病学会委员、北京医师协会心血管内科医师分会理事、北京医学会心血管病学分会委员兼心血管创新与转化学组副组长、中国心胸血管麻醉学会心肺复苏委员会理事、中国优生优育协会母婴心血管结构与代谢专业委员会常务理事、世界中医药联合会介入心脏病专业委员会常务理事、中国心脏内外科医师联盟理事、北京市心血管介入质控与持续改进专家委员会成员、中国医药信息学会心功能学会常务理事、中国循证心血管医学杂志编委、中青年冠脉介入沙龙常务理事、中国经导管瓣膜病介入治疗联盟工作组会员、中国行业医院心血管病学术委员会常务理事、京津冀蒙冠心病专家沙龙副理事长、中国人体健康科技促进会肿瘤医学影像专业委员会副理事长、北京市胸痛中心联盟理事、北京围手术期医学研究会心血管远程医学专业委员会常务委员、北京市伍联德基金会医疗专家组成员、北京市职称评审专家组成员、北京市医学会朝阳区分会医疗技术鉴定专家组成员。先后获得“清华大学先进工作者”、“人民好医生”、“人民好医生2020年度代表”及“华信好医生”荣誉称号。

尹燕平

清华大学第一附属医院

医学硕士,副主任医师。北京医学会健康教育和管理学组委员。从事心血管疾病诊治工作二十年,对危重症抢救具有较高水准。在北京朝阳医院、人民医院、日本札幌心血管病中心等国内外多家著名冠心病介入诊疗中心进修学习,能够熟练处理复杂冠脉病变,擅长急性心肌梗死的急诊介入和抢救。熟练应用光学相干断层成像、血管内超声等先进的腔内诊断技术,对冠脉复杂病变进行精准治疗。在国内核心期刊发表多篇专业论著,参与多项国内临床研究。

崔永亮

清华大学第一附属医院

心脏内科副主任医师 医学硕士、北京高血压防治协会心血管代谢医学专业委员会委员、北京医学会心血管分会青年委员、中青年冠脉介入沙龙青年委员、心血管病精准医疗专家委员会青年委员、《临床医学研究与实践》青年编委、湘雅医学期刊社青年编委。毕业于中南大学湘雅医学院。2018年于新加坡国立大学医院导管室进修学习。熟悉大内科业务,精于心血管专业,具有丰富的临床经验,擅长疑难心血管疾病、复杂冠心病介入诊断及治疗术,在冠脉分叉病变介入治疗、左主干病变介入治疗、IABP及ECMO支持下CHIPs病变介入治疗、冠脉慢性闭塞性病变CTO介入治疗方面积累了丰富的临床经验,熟练掌握正向、逆向导丝技术及ADR技术,形成了软硬导丝相结合的技术特点;熟练掌握冠状动脉准分子激光斑块销蚀术(ELCA)、冠脉钙化病变旋磨术、冠脉生理学检查FFR测压、腔内影像学IVUS、OCT在冠脉优化治疗中的应用。在国内外核心期刊已发表专业论文10余篇,多篇论文及手术病例在国内外大型会议发言并获奖,参编译专著3部。

阅读数: 2878