2022年09月01日,九江市第一人民医院心血管病医院陈玲院长团队联合超声科、胸外科、重症医学科、麻醉科、护理等多学科心脏瓣膜团队,成功使用TaurusElite瓣膜为一例重度钙化的Type1型(L-R钙化融合嵴)二叶瓣患者行TAVR手术。该患者因长期反复胸闷伴有晕厥多次住院治疗,心脏彩超显示主动脉瓣重度狭窄伴轻度返流,陈玲院长团队与患者及其家属充分沟通后,经充分的术前讨论评估患者手术风险及获益后,决定采用创伤小、恢复快的TAVR术式。患者术后跨瓣压差明显改善,血流动力学稳定,临床症状明显改善,手术效果十分优异。
患者基本情况
患者77岁女性,入院心脏彩超提示:主动脉瓣二瓣化畸形(多发钙化)重度狭窄伴轻度返流;最大血流速:5.4M/S;MPG:83mmhg;有效面积0.5cm²;左室壁肥厚;二尖瓣、三尖瓣轻度返流。
结论:主动脉瓣重度狭窄,左房稍大,左室壁肥厚,二、三尖瓣轻度反流。
术前讨论
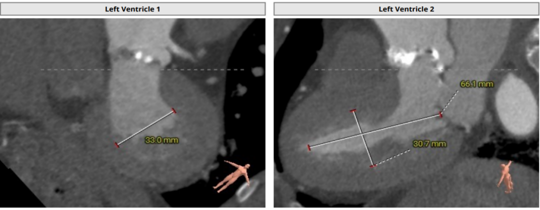
术前CT评估
Type1型二叶式主动脉瓣,瓣叶增厚,L-R钙化融合嵴,左冠瓣及无冠瓣对合缘局部钙化,并可见无冠窦向左室流出道延伸长钙化;左室流出道呈微敞口型;
左冠开口偏低,右冠脉开口高度尚可,左右冠瓣叶冗长,切线位测量左右冠瓣叶长度>瓣叶附着缘到冠脉开口距离;左主干及回旋支局部钙化;
窦管交界内径适中,瓦氏窦内径适中,升主动脉内径稍扩张;
左室腔内径尚可,心室壁增厚;
瓣环水平夹角为51°,主动脉弓角度尚可,弓距尚可;
主动脉弓及腹主动脉局部散在钙化,腹主动脉远端及左侧髂总动脉局限性扩张,动脉未见明显扭曲,右侧髂外血管内径偏细。
主动脉根部及外周入路血管
主动脉根部
冠脉阻挡风险及左室大小评估
手术风险预估
Type1型二叶瓣,L-R间钙化融合嵴,无冠瓣瓣叶重度钙化,无冠瓣及左冠瓣对合缘局部钙化,瓣叶增厚,综合预估瓣膜锚定难度适中,瓣膜植入受纤维融合嵴挤压可能产生形变、移位风险,瓣周漏风险及瓣中瓣风险适中;
左右冠脉开口高度尚可,左右冠瓣叶冗长,切线位测量瓣叶大于冠脉开口下缘距离;左主干及回旋支局部钙化,综合评估瓦式窦内径及L-R融合嵴、瓣叶钙化等结构影响,植入瓣膜后冠脉风险适中;
左室腔内径尚可,心室壁增厚,射血分数67%,术中适当补液,关注血流动力学变化;
瓣环水平夹角为51°,主动脉弓角度尚可,弓距尚可,预计输送器过弓、跨瓣操作难度适中;
主动脉弓及腹主动脉局部散在钙化,腹主动脉远端及左侧髂总动脉局限性扩张,动脉未见明显扭曲,右侧髂外血管内径偏细;入路规范操作,小心通过,避免入路血管相关并发症。
手术策略建议
采用全麻+TTE的手术方式;
推荐右侧股动脉为主入路,左侧为辅助入路;
使用TaurusAtlas20mm球囊预扩,预装TaurusElite AV23瓣膜,于左右重合位瓣环平面0mm定位释放,释放后多角度观察瓣膜释放形态及植入深度。
手术过程
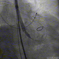
术前根据CT评估及既往病史,予以双侧冠状动脉造影评估冠脉情况,结果提示:左右冠显影正常,左冠回旋支中段可见中度狭窄病变,可予以药物治疗随访。
左冠造影
右冠造影
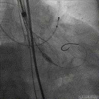
主动脉根部造影可见主动脉瓣少量反流,综合术前讨论窦部结构、左冠风险预估,采用20mm球囊预扩,可以模拟瓣膜植入对左冠脉的影响。术中见明显腰征,无造影剂渗漏,左冠显影良好。
根部造影
球囊扩张
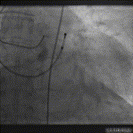
预装TaurusEliteAV23瓣膜,输送系统顺利过弓、跨瓣,初始于瓣环平面下2mm精准定位释放,释放过程中瓣膜锚定出现下滑。
瓣膜定位
瓣膜释放下滑
予以完全回收瓣膜后,将瓣膜重新定位于瓣环平面0mm精准定位释放。
瓣膜再次定位
瓣膜再次定位
瓣膜释放后流入端形态稍受限伴少量反流,予以20mm球囊后扩张瓣膜形态、位置良好,冠脉血流灌注正常,弓部造影未见异常。
球囊后扩
后扩后造影
术前左室收缩压:220 mmHg,升主动脉收缩压 112 mmHg,主动脉瓣跨瓣压差108mmHg;术后左室收缩压:128 mmHg,升主动脉收缩压 121 mmHg,术后压差仅7mmHg,左室升主动脉跨瓣压差基本消失。
总结
典型的主动脉瓣狭窄临床诊断特征为:呼吸困难,胸闷心绞痛以及晕厥。本例患者症状体征及辅助检查均非常典型。患者因长期反复胸闷伴有晕厥多次住院治疗,且高龄合并冠心病及糖尿病等基础疾病,一般状况欠佳,无法耐受外科开胸手术。经多学科心脏瓣膜团队充分讨论患者病情、手术意愿及手术指征,与家属反复沟通后决定采用创伤小、恢复快的TAVR手术方式解决患者病痛。患者及家属有强烈的微创换瓣手术意愿,但家属也强烈要求术中尽量安全稳定,术后并发症少。根据患者术前心脏彩超、CT分析等评估适宜行TAVR手术,TAVR手术指征明确。CT分析提示患者为Type1型二叶式主动脉瓣,瓣叶重度钙化,左右窦间可见钙化融合嵴。因瓣膜植入后受钙化嵴挤压影响存在一定瓣膜移位及植入后下滑致传导阻滞等风险;此外,患者窦部空间较小,左冠开口高度较低,瓣叶冗长,可能存在左冠堵塞风险,对瓣膜释放位置及精准度要求较高,需要术者快速、精准释放的操作能力及手术团队的密切配合。
手术过程中,在完成跨瓣操作后,20mm球囊预扩有明显腰征、无造影剂渗漏、冠脉显影良好,预装TaurusElite AV23瓣膜到位,输送系统快速、顺利地完成过弓、跨瓣操作,于瓣环平面0mm定位释放;针对本例患者瓣叶增厚伴重度钙化及L-R钙化融合嵴,左右窦间存在钙化融合嵴的特点,TaurusElite瓣膜高密度流入端设计提供了足够的径向支撑力,保证了瓣膜的锚定力,瓣膜内外双裙边设计也能有效减少瓣周漏。这也是此次手术进展顺利、植入位置良好、术后即刻明显改善血流动力学的关键。
术中TaurusElite系统展现了其柔顺的过弓应对外周血管迂曲扩张病情、多次稳定可回收功能以及精准定位释放的操作体验,给术者提升了极大的信心去挑战更多更复杂的病例。
专家简介
陈玲
九江市第一人民医院
九江市第一人民医院心血管病医院执行院长;主任医师,医学博士,硕士生导师。美国哥伦比亚大学医学中心留学、德国汉堡圣乔治医院心电生理中心访问学者、江西省百千万人才、江西省卫生健康突出贡献中青年专家、九江市“双百”“双千”人才、九江市第六批专业技术拔尖人才、江西欧美留学人员委员会理事;九江市医学会心血管分会主任委员、九江市胸痛质控中心主任委员、江西省胸痛质控中心副主任委员、江西省医学会心电生理与起搏分会副主任委员、中国医师协会高血压专业委员会委员、江西省医学会心血管介入分会常务委员。
